HOME-Au
HOME-Au
24h
24h
USA
USA
GOP
GOP
Phim Bộ
Phim Bộ
Videoauto
VIDEO-Au
Home Classic
Home Classic
Donation
Donation
News Book
News Book
News 50
News 50
worldautoscroll
WORLD-Au
Breaking
Breaking
 

Go Back   VietBF > Other News|Tin Khác > School | Kiến thức > School | Kiến thức 2006-2019


 
 
Thread Tools
  #1  
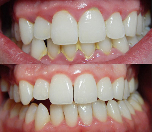
Old  Default Răng trắng tinh, cao răng bay sạch nếu bạn dành 3 phút mỗi tối với nguyên liệu tự nhiên này
Mong muốn có một hàm răng trắng tinh và sạch sẽ giờ đây chỉ là chuyện nhỏ. Bạn sẽ không cần đến nha sĩ để lấy cao răng nữa nếu bạn dành ra 3 phút mỗi tối. Hãy làm theo chỉ dẫn sau đây đảm bảo bạn sẽ có nụ cười tỏa nắng, ai cũng mê luôn.

Cao răng là một chất lắng cặn cứng của các muối vô cơ gồm canxi carbonat và phosphate phối hợp với cặn mềm (mảnh vụn thức ăn, các chất khoáng trong môi trường miệng), vi khuẩn, xác các tế bào biểu mô, sự lắng đọng sắt của huyết thanh, bám rất chắc vào bề mặt răng hoặc dưới mép lợi (còn gọi là vôi răng). Lâu ngày các mảng bám cao răng dày hơn, gây mất thẩm mỹ răng.



Làm điều này 3 phút buổi tối, cả đời chẳng phải đến nha sỹ lấy cao răng
Ngoài việc phục vụ cho việc nấu nướng trong nhà bếp, chanh và muối còn có tác dụng làm đẹp cho răng, giúp bạn lấy lại hàm răng trắng sáng chỉ trong thời gian ngắn sử dụng.

Nguyên liệu cần chuẩn bị như sau, nửa quả chanh tươi, nửa thìa cà phê muối và 1 muỗng cà phê baking soda.

Cách thực hiện khá đơn giản, bạn ha hỗn hợp nước cốt nửa trái chanh với baking soda và muối tạo thành hỗn hợp sền sệt. Tuy nhiên, trước hết, bạn phải dùng nước ấm để đánh răng với kem như thông thường, nước ấm sẽ giúp làm mềm mảng bám và kem sẽ loại bỏ 1 phần vi khuẩn trong khoang miệng.

Kế tiếp, nhúng bàn chải vào hỗn hợp vừa pha phía trên, chà sạch toàn bộ hàm răng, từ trong ra ngoài, chà trên dưới. Chà khoảng 2-3 phút để làm sạch sâu các mảng bám răng. Cuối cùng, súc miệng lại bằng 1 cốc nước muối ấm pha loãng.

Thực hiện phương pháp này 2-3 lần một tuần, bạn sẽ chẳng còn phải lo lắng gì về việc phải đến nha sỹ lấy cao răng và chắc chắn, bạn sẽ tự tin hơn với nụ cười tỏa nắng của mình.


Chanh và muối có tác dụng lấy cao răng cực tốt
Ngoài ra, vỏ chanh cũng có tác dụng cực tốt trong việc lấy cao răng. Chỉ cần vỏ chanh tươi, một thìa cà phê bột nở, một thìa muối biển, bạn đã có ngay "tiên dược" làm đẹp cho răng.

Cách làm: Thái nhỏ vỏ chanh, trộn đều với bột nở và muối biển đã chuẩn bị. Để tạo độ đặc sệt vừa phải cho hỗn hợp, cho thêm một thìa cà phê nước sôi để nguội và trộn đều. Có thể sử dụng hỗn hợp này thay cho kem đánh răng, hoặc dùng sau khi vệ sinh răng miệng bằng kem bình thường.
VIETBF Diễn Đàn Hay Nhất Của Người Việt Nam

HOT NEWS 24h

HOT 3 Days

NEWS 3 Days

HOT 7 Days

NEWS 7 Days

HOME

Breaking News

VietOversea

World News

Business News

Car News

Computer News

Game News

USA News

Mobile News

Music News

Movies News

History

Thơ Ca

Sport News

Stranger Stories

Comedy Stories

Cooking Chat

Nice Pictures

Fashion

School

Travelling

Funny Videos

Canada Tin Hay

USA Tin Hay

VietBF Homepage Autoscroll

VietBF Video Autoscroll Portal

Home Classic

Home Classic Master Page



PinaColada
R11 Tuyệt Thế Thiên Hạ
Release: 11-06-2016
Reputation: 136971


Profile:
Join Date: Oct 2013
Posts: 119,196
Last Update: None Rating: None
Attached Thumbnails
Click image for larger version

Name:	11.jpg
Views:	0
Size:	85.8 KB
ID:	957600   Click image for larger version

Name:	12.jpg
Views:	0
Size:	50.2 KB
ID:	957601  
PinaColada_is_offline
Thanks: 9
Thanked 7,864 Times in 6,993 Posts
Mentioned: 2 Post(s)
Tagged: 0 Thread(s)
Quoted: 23 Post(s)
Rep Power: 138
PinaColada Reputation Uy Tín Level 9PinaColada Reputation Uy Tín Level 9PinaColada Reputation Uy Tín Level 9PinaColada Reputation Uy Tín Level 9PinaColada Reputation Uy Tín Level 9
PinaColada Reputation Uy Tín Level 9PinaColada Reputation Uy Tín Level 9PinaColada Reputation Uy Tín Level 9PinaColada Reputation Uy Tín Level 9PinaColada Reputation Uy Tín Level 9PinaColada Reputation Uy Tín Level 9PinaColada Reputation Uy Tín Level 9PinaColada Reputation Uy Tín Level 9PinaColada Reputation Uy Tín Level 9PinaColada Reputation Uy Tín Level 9PinaColada Reputation Uy Tín Level 9PinaColada Reputation Uy Tín Level 9PinaColada Reputation Uy Tín Level 9PinaColada Reputation Uy Tín Level 9PinaColada Reputation Uy Tín Level 9PinaColada Reputation Uy Tín Level 9PinaColada Reputation Uy Tín Level 9PinaColada Reputation Uy Tín Level 9PinaColada Reputation Uy Tín Level 9PinaColada Reputation Uy Tín Level 9PinaColada Reputation Uy Tín Level 9
The Following User Says Thank You to PinaColada For This Useful Post:
2756 (11-06-2016)
 
User Tag List


Bài học Nokia giữa mùa đông Phần Lan: Thua từ bên trong trước khi thua thị trường Liuzhi – Bóng tối mới phủ xuống giới doanh nhân Trung Quốc 5 tiểu bang vàng cho nghề nail – hair – spa của người Việt tại Mỹ
Phố Tây Bùi Viện náo nhiệt và bóng dáng nhà canh tân cuối thế kỷ XIX Từ mafia thuốc lá đến tú bà Chemnitz: Vết nhơ kéo dài của một bộ phận người Việt Đông Đức Khi xe Trung Quốc viết lại trật tự ngành ô tô thế giới
Dự luật ‘một quốc tịch Mỹ’: ồn ào trên mặt báo, nhưng rất khó thành hiện thực Netflix nuốt chửng Warner Bros: Địa chấn 72 tỷ đô làm rung chuyển Hollywood Apple rung chuyển: Lãnh đạo lần lượt ra đi, Tim Cook trước cơn bão AI
Kế hoạch y tế mới của Trump: Chưa kịp ra mắt đã vỡ trận ngay trong nội bộ Cộng Hòa Cuộc trả thù chính trị của Trump: Từ vụ Comey, Letitia James đến đòn nhắm vào Mark Kelly Cơn say trên mây: Ai chịu trách nhiệm về hành khách nhậu nhẹt trên máy bay?
Giáng Sinh thắt lưng buộc bụng mà vẫn đủ ấm và đủ vui Mùa mua sắm Giáng Sinh 2025: Kinh tế chữ K và ảo giác “chi tiêu vẫn tăng” DOGE – thí nghiệm quyền lực thất bại của Trump và Musk
Ukraine, Trump và bản hòa ước mong manh giữa tiếng drone gầm rú Dũng Taylor: Căng thẳng đỉnh điểm giữa người Việt MAGA và người Việt Dân Chủ Hùng Cao về thăm Việt Nam: Từ đứa bé tị nạn đến kiến trúc sư an ninh Thái Bình Dương
“Ngày Tri Ân Trump” ở Little Saigon: khi tượng đài chiến sĩ bị biến thành sân khấu chính trị “Giải thưởng Neville Chamberlain” cho Trump và bản thỏa thuận 28 điểm bẩn thỉu Biển lửa Hồng Kông: giàn giáo tre bốc cháy, chung cư Tai Po hóa địa ngục giữa trời
Từ iPod đến “Delete Day”: Hành trình Gabriela Nguyễn thoát khỏi cơn nghiện mạng xã hội “Cha già dân tộc” đã khép lại: khi thần tượng chính trị bị kéo xuống mặt đất DOGE đã chết: “cải cách” 135 tỷ đô la đốt sạch tiền thuế của người Mỹ
VinFast VF 8 ở Mỹ: từ cáo buộc “sạc rùa bò” đến nguy cơ mất lái và lệnh triệu hồi hàng loạt Trump, Putin và ván cờ hòa bình Ukraine: khi “hạn chót” chỉ còn là lời nói gió bay 1.000 tỷ USD bốc hơi: Bitcoin bước vào thời kỳ ‘dành cho người thường’ và cơn say tiền số tan vỡ

 
Lên đầu Xuống dưới Lên 3000px Xuống 3000px

iPad Videos Portal Autoscroll

VietBF Music Portal Autoscroll

iPad News Portal Autoscroll

VietBF Homepage Autoscroll

VietBF Video Autoscroll Portal

USA News Autoscroll Portall

VietBF WORLD Autoscroll Portal

Home Classic

Super Widescreen

iPad World Portal Autoscroll

iPad USA Portal Autoscroll

Phim Bộ Online

Tin nóng nhất 24h qua

Tin nóng nhất 3 ngày qua

Tin nóng nhất 7 ngày qua

Tin nóng nhất 30 ngày qua

Albums

Total Videos Online
Lên đầu Xuống dưới Lên 3000px Xuống 3000px

Tranh luận sôi nổi nhất 7 ngày qua

Tranh luận sôi nổi nhất 14 ngày qua

Tranh luận sôi nổi nhất 30 ngày qua

10.000 Tin mới nhất

Tin tức Hoa Kỳ

Tin tức Công nghệ
Lên đầu Xuống dưới Lên 3000px Xuống 3000px

Super News

School Cooking Traveling Portal

Enter Portal

Series Shows and Movies Online

Home Classic Master Page

Donation Ủng hộ $3 cho VietBF
Lên đầu Xuống dưới Lên 3000px Xuống 3000px
Diễn Đàn Người Việt Hải Ngoại. Tự do ngôn luận, an toàn và uy tín. Vì một tương lai tươi đẹp cho các thế hệ Việt Nam hãy ghé thăm chúng tôi, hãy tâm sự với chúng tôi mỗi ngày, mỗi giờ và mỗi giây phút có thể. VietBF.Com Xin cám ơn các bạn, chúc tất cả các bạn vui vẻ và gặp nhiều may mắn.
Welcome to Vietnamese American Community, Vietnamese European, Canadian, Australian Forum, Vietnamese Overseas Forum. Freedom of speech, safety and prestige. For a beautiful future for Vietnamese generations, please visit us, talk to us every day, every hour and every moment possible. VietBF.Com Thank you all and good luck.

Lên đầu Xuống dưới Lên 3000px Xuống 3000px

All times are GMT. The time now is 10:37.
VietBF - Vietnamese Best Forum Copyright ©2005 - 2025
User Alert System provided by Advanced User Tagging (Pro) - vBulletin Mods & Addons Copyright © 2025 DragonByte Technologies Ltd.
Log Out Unregistered

Page generated in 0.13358 seconds with 13 queries