HOME-Au
HOME-Au
24h
24h
USA
USA
GOP
GOP
Phim Bộ
Phim Bộ
Videoauto
VIDEO-Au
Home Classic
Home Classic
Donation
Donation
News Book
News Book
News 50
News 50
worldautoscroll
WORLD-Au
Breaking
Breaking
 

Go Back   VietBF > Other News|Tin Khác > School | Kiến thức > School | Kiến thức 2006-2019


 
 
Thread Tools
  #1  
Old  Default Đau nhức răng mấy cũng khỏi nhờ nguyên liệu ngay trong nhà bếp của bạn
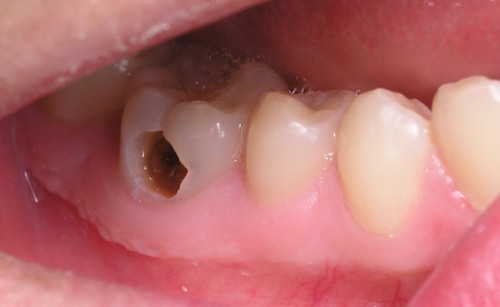
Những ai đã từng bị đau nhức răng mới biết nỗi khổ của bệnh này. Tỷ lệ đau nhức răng do viêm nhiễm và sâu răng ở Việt Nam khá cao. Chỉ cần 1 củ gừng, răng đau đến mấy cũng sẽ khỏi tức thì nếu bạn làm theo cách hướng dẫn.

Trong gừng có chất giúp giảm đau, tiêu viêm rất hiệu quả, do đó một công dụng nổi bật của gừng chính là chữa đau răng.

Nguyên nhân gây sâu răng

Sâu răng là căn bệnh rất phổ biến, chiếm tới 90% trong số các bệnh thường gặp về răng miệng. Tỷ lệ này ở người Việt là khá cao.

Vi khuẩn gây sâu răng luôn tồn tại trong khoang miệng, khi có điều kiện thích hợp từ nguồn thức ăn, sản sinh và tiết ra chất hữu cơ, plyore, enzyme thuỷ phân chất lòng trắng trứng (một thành phần trong nước miếng).

Các chất này hòa tan chất hữu có và phân hủy chất vô cơ trong kết cấu răng. Khi đó các vi khuẩn bám vào răng tạo thành các đốm khuẩn, tấn công răng và gây sâu răng.



Trước khi đến nha sĩ, bạn có thể dùng gừng để hết cơn đau răng

Dân gian có câu nói truyền miệng “Đông ăn củ cải, hạ ăn gừng, khỏi phiền bác sĩ kê đơn thuốc”, ngoài những tác dụng làm gia vị cho các món ăn thì gừng còn cực tốt cho sức khỏe.

Theo Đông y, gừng có vị cay, tính ấm có tác dụng tán hàn, ôn trung, tiêu đờm, giải độc. Trong các vị thuốc đông y một số bệnh có tính hàn hay nhiệt thì đều có vài lát gừng vì thế gừng có tác dụng chữa các bệnh như cảm cúm, đau đầu, đau bụng kinh, phòng chống bệnh sỏi mật và đặc biệt là sâu răng. Cách chữa đau răng bằng gừng sau đây sẽ cực kỳ hiệu quả, các bạn có thể tham khảo.

Cách chữa đau răng từ gừng

Bạn hãy rửa sạch một củ gừng, cạo vỏ rồi đập dập. Dùng phần gừng đó cắn chặt vào chỗ răng đau giữ trong khoảng 15 – 20 phút cho tinh chất gừng tiết ra. Khi tinh chất gừng tiết ra hết, bạn không cảm thấy cay nữa thì hãy lấy củ gừng khác và làm như vậy.

Lặp đi lặp lại nhiều lần cho đến khi bạn cảm thấy đỡ đau răng thì thôi nhé. Chữa đau răng bằng gừng theo cách này cực đơn giản mà hiệu quả thật bất ngờ, bạn hãy thử mà xem. Nhất là trường hợp đau răng do sâu răng.



Chữa răng đau bằng gừng được nhiều người lựa chọn

Chú ý:

- Nếu bạn không thể chịu đựng được việc nhai nhỏ những miếng gừng tươi, bạn có thể đặt những lát gừng mới thái ở dưới đáy của cốc. Đổ nước sôi lên cốc nước có chứa gừng để tạo thành một loại trà gừng và cho phép chúng được ngâm trong nước nóng ít nhất 20 phút.

- Sau đó, uống trà gừng và làm sạch xung quanh răng bị đau trước khi nuốt.

- Gói phần chưa sử dụng của củ gừng trong một mảnh bọc nhựa và lưu trữ nó trong tủ lạnh khi không sử dụng.

- Tiếp tục chịu khó áp dụng biện pháp này trong nhiều ngày. Nếu tình trạng đau răng không cải thiện, hãy đến gặp nha sĩ.
VIETBF Diễn Đàn Hay Nhất Của Người Việt Nam

HOT NEWS 24h

HOT 3 Days

NEWS 3 Days

HOT 7 Days

NEWS 7 Days

HOME

Breaking News

VietOversea

World News

Business News

Car News

Computer News

Game News

USA News

Mobile News

Music News

Movies News

History

Thơ Ca

Sport News

Stranger Stories

Comedy Stories

Cooking Chat

Nice Pictures

Fashion

School

Travelling

Funny Videos

Canada Tin Hay

USA Tin Hay

VietBF Homepage Autoscroll

VietBF Video Autoscroll Portal

Home Classic

Home Classic Master Page



pizza
R11 Tuyệt Thế Thiên Hạ
Release: 05-29-2017
Reputation: 237144


Profile:
Join Date: Sep 2014
Posts: 106,637
Last Update: None Rating: None
Attached Thumbnails
Click image for larger version

Name:	391.jpg
Views:	0
Size:	22.2 KB
ID:	1046569   Click image for larger version

Name:	392.jpg
Views:	0
Size:	33.2 KB
ID:	1046570  
pizza_is_offline
Thanks: 7
Thanked 8,101 Times in 7,211 Posts
Mentioned: 6 Post(s)
Tagged: 0 Thread(s)
Quoted: 41 Post(s)
Rep Power: 129
pizza Reputation Uy Tín Level 10pizza Reputation Uy Tín Level 10pizza Reputation Uy Tín Level 10pizza Reputation Uy Tín Level 10pizza Reputation Uy Tín Level 10pizza Reputation Uy Tín Level 10pizza Reputation Uy Tín Level 10
pizza Reputation Uy Tín Level 10pizza Reputation Uy Tín Level 10pizza Reputation Uy Tín Level 10pizza Reputation Uy Tín Level 10pizza Reputation Uy Tín Level 10pizza Reputation Uy Tín Level 10pizza Reputation Uy Tín Level 10pizza Reputation Uy Tín Level 10pizza Reputation Uy Tín Level 10pizza Reputation Uy Tín Level 10pizza Reputation Uy Tín Level 10pizza Reputation Uy Tín Level 10pizza Reputation Uy Tín Level 10pizza Reputation Uy Tín Level 10pizza Reputation Uy Tín Level 10pizza Reputation Uy Tín Level 10pizza Reputation Uy Tín Level 10pizza Reputation Uy Tín Level 10pizza Reputation Uy Tín Level 10pizza Reputation Uy Tín Level 10pizza Reputation Uy Tín Level 10pizza Reputation Uy Tín Level 10
 
User Tag List


Bi kịch quán bún ốc Trần Hưng Đạo: 3 mẹ con chết ngạt sau cửa cuốn khóa kín ‘America Alone’ – Khi Trump vẽ lại trật tự thế giới theo cách của mình Cuộc chơi liều lĩnh của Trump với Tu chính án 14 và quyền có quốc tịch khi chào đời
LeBron James: Chấp nhận đánh mất kỷ lục 1.297 trận chỉ để làm một đường chuyền đúng Ciel Tower – khách sạn cao nhất thế giới Chiếc nhẫn cưới ‘mất tích’ và nghi ngờ Phó Tổng Thống Mỹ bỏ cô vợ Ấn Độ
Karoline Leavitt: Từ ‘thánh cô nói láo’ đến biểu tượng của Trump 2.0 Bong bóng AI, khí hậu nổi giận và năm 2026 Khi Vingroup phải vay trái phiếu lãi 12%: Phao cứu sinh hay bước đi liều mạng?
Từ Geneva đến Kyiv: Kế hoạch 28 điểm của Trump và thế lưỡng nan của Ukraine Nước Nga trên ván bài cuối: biết không thể thắng nhưng vẫn lao vào cuộc chiến đến cùng Tiền thuế đã đi đâu, khi dân miền Trung đói rét trên nóc nhà chờ chết?
Nellie Bly – 72 ngày vòng quanh thế giới và cú đòn vào mọi định kiến về phụ nữ “Góa phụ đen” ở nước Nga: khi cái chết của người lính trở thành một mô hình kinh doanh Lá thư cuối của Kurt Vonnegut: hãy sáng tạo chỉ để tâm hồn mình lớn lên
Trung Quốc vỡ trận công nghiệp: khi “Made in China” bước vào thập niên suy thoái mới Bốn ngày trên nóc nhà: khi người dân miền Trung thực sự bị bỏ rơi giữa lũ dữ Không một lời cảnh báo: Miền Trung chết chìm trong lũ thủy điện “đúng quy trình”
Biệt kích Chung Tử Ngọc – Từ ngọn đồi lửa đạn đến sáu năm lao tù cộng sản Một mạng người đáng giá bao nhiêu – từ vụ tai nạn ở California đến những xác người trong lũ Việt Nam Mercury – đoàn tàu Art Deco biến tốc độ thành cái đẹp hữu hình
Hoa Kỳ-Ukraine đạt sự đồng thuận cho kế hoạch hòa bình với 19 điểm mới Tấm chăn thơ rách nát giữa địa ngục cộng sản – từ hố xí tập thể đến bến bờ tị nạn Morgan Geyser trốn khỏi giám sát: Bóng ma Slender Man trở lại sau vụ đâm bạn 19 nhát chấn động nước Mỹ
New Delhi ngạt thở: Khi Pháo đài Đỏ hóa đen và người dân chỉ còn ước được… hít thở Red Bull – từ lon nước vàng ở Bangkok đến đế chế nội dung làm thay đổi thế giới Kế hoạch 28 điểm của Trump: Hoà bình cho Ukraine hay bản hợp đồng nhượng bộ cho Nga?

 
Lên đầu Xuống dưới Lên 3000px Xuống 3000px

iPad Videos Portal Autoscroll

VietBF Music Portal Autoscroll

iPad News Portal Autoscroll

VietBF Homepage Autoscroll

VietBF Video Autoscroll Portal

USA News Autoscroll Portall

VietBF WORLD Autoscroll Portal

Home Classic

Super Widescreen

iPad World Portal Autoscroll

iPad USA Portal Autoscroll

Phim Bộ Online

Tin nóng nhất 24h qua

Tin nóng nhất 3 ngày qua

Tin nóng nhất 7 ngày qua

Tin nóng nhất 30 ngày qua

Albums

Total Videos Online
Lên đầu Xuống dưới Lên 3000px Xuống 3000px

Tranh luận sôi nổi nhất 7 ngày qua

Tranh luận sôi nổi nhất 14 ngày qua

Tranh luận sôi nổi nhất 30 ngày qua

10.000 Tin mới nhất

Tin tức Hoa Kỳ

Tin tức Công nghệ
Lên đầu Xuống dưới Lên 3000px Xuống 3000px

Super News

School Cooking Traveling Portal

Enter Portal

Series Shows and Movies Online

Home Classic Master Page

Donation Ủng hộ $3 cho VietBF
Lên đầu Xuống dưới Lên 3000px Xuống 3000px
Diễn Đàn Người Việt Hải Ngoại. Tự do ngôn luận, an toàn và uy tín. Vì một tương lai tươi đẹp cho các thế hệ Việt Nam hãy ghé thăm chúng tôi, hãy tâm sự với chúng tôi mỗi ngày, mỗi giờ và mỗi giây phút có thể. VietBF.Com Xin cám ơn các bạn, chúc tất cả các bạn vui vẻ và gặp nhiều may mắn.
Welcome to Vietnamese American Community, Vietnamese European, Canadian, Australian Forum, Vietnamese Overseas Forum. Freedom of speech, safety and prestige. For a beautiful future for Vietnamese generations, please visit us, talk to us every day, every hour and every moment possible. VietBF.Com Thank you all and good luck.

Lên đầu Xuống dưới Lên 3000px Xuống 3000px

All times are GMT. The time now is 16:57.
VietBF - Vietnamese Best Forum Copyright ©2005 - 2025
User Alert System provided by Advanced User Tagging (Pro) - vBulletin Mods & Addons Copyright © 2025 DragonByte Technologies Ltd.
Log Out Unregistered

Page generated in 0.12699 seconds with 13 queries