HOME-Au
HOME-Au
24h
24h
USA
USA
GOP
GOP
Phim Bộ
Phim Bộ
Videoauto
VIDEO-Au
Donation
Donation
News Book
News Book
News 50
News 50
worldautoscroll
WORLD-Au
Breaking
Breaking
 

Go Back   VietBF > World > World News|Tin Thế Giới > World News |Tin Thế Giới 2006-2019


 
Thread Tools
 
 
  #1  
Old  Lightbulb Một người nghiện heroin sẽ có phim chụp X-quang như thế nào
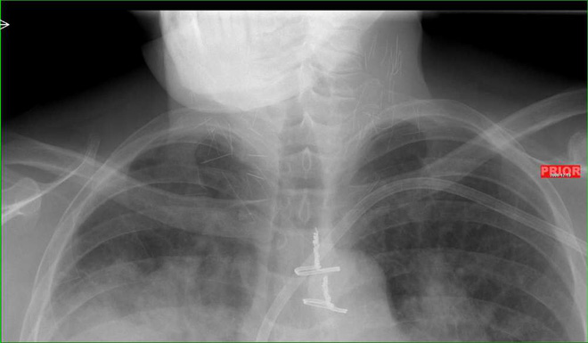
Mới đây một hình X-quang đã được chia sẽ lên mạng. Nhiều người nhìn bức hình đã phải giật mình. Trong cơ thể người nghiện có rất nhiều mũi kim.




Bất chấp sự tồn tại của nhiều chất gây nghiện bất hợp pháp, thì tính đến nay heroin vẫn là loại ma túy nguy hiểm bậc nhất, là chất gây nghiện cực kỳ mạnh mẽ đến mức "giang hồ" phải đặt cho nó một cái tên rùng rợn: Cái chết trắng.

Tác hại của heroin có lẽ không cần phải bàn đến. Nó giúp con người ta cảm thấy thư giãn thoải mái trong phút chốc, để rồi phải sống cả đời phụ thuộc vào nó. Đến khi thiếu thuốc, nó khiến con người ta sẵn sàng làm bất kỳ điều gì, kể cả cướp của, giết người để thỏa mãn cơn nghiện.

Và mới đây, một bức hình chụp X-quang phần cổ của một con nghiện heroin lâu năm đang được chia sẻ với tốc độ chóng mặt. Quan trọng hơn, ai nhìn thấy nó cũng phải rùng mình.
Bạn có quan sát thấy những đường thẳng chi chít ở 2 bên cổ không? Bạn nghĩ đó là gì? Câu trả lời là những mũi kim tiêm.

Bức hình được một bác sĩ không rõ tên chia sẻ trên diễn đàn Reddit từ 4 năm trước, nhưng nay được cư dân mạng... đào mộ lại.
Theo đó, bệnh nhân là một con nghiện heroin lâu năm, đến bệnh viện trong tình trạng viêm phổi nặng. Nhưng đến khi đưa vào máy chụp X-quang, người ta phát hiện ra hàng tá mũi kim gãy vẫn còn trong cổ anh ta.

Theo thông tin từ vị bác sĩ, bệnh nhân này có vẻ như đã sử dụng heroin bằng cách tiêm chích. Khi tiêm vào cổ, thuốc lên quá nhanh khiến anh ta mất ý thức, buông tay và làm gãy kim tiêm.

Tính thực hư của câu chuyện vẫn còn đang bỏ ngỏ, vì người chủ tài khoản đăng bài gốc đã tự xóa account của mình. Tuy nhiên, trong quá khứ đã từng xuất hiện khá nhiều trường hợp tương tự, thậm chí được đăng trên các tạp chí khoa học hẳn hoi.

Ví dụ như vào năm 2006, trang tin từ công ty y dược UBM Patient Care đã đăng tải trường hợp của một bệnh nhân 53 tuổi, có tiền sử lạm dụng heroin trong 30 năm. Và bên trong cổ của ông có tới 17 mũi kim gãy.

"Kim gãy và lưu lại trong cơ thể khi tiêm ma túy là hiện tượng không hiếm" - một bác sĩ từ công ty cho biết. "Từng có một nghiên cứu cho thấy có thể 20% con nghiện heroin đã trải nghiệm cảm giác kim gãy khi đang tiêm chích".

Tất nhiên, những mũi kim này sẽ đem lại tác hại nhất định. Nếu như bằng cách nào đó chúng lọt được vào mạch máu, nó có thể đi đến bất kỳ đâu trong cơ thể. Đã từng có trường hợp bác sĩ để mẩu kim khâu gãy trong quá trình phẫu thuật, và rồi sau vài năm, bệnh nhân bị đau lưng dữ dội vì một "vật thể lạ" nơi cột sống.

Cái gọi là "vật thể lạ" ấy, bi kịch thay, chính là mũi kim. Và vụ việc đó đã tốn của vị bác sĩ nọ tới $500.000 (hơn 11 tỷ VND) bồi thường.
Theo thống kê, mỗi ngày trên thế giới có gần 600 người chết vì ma túy trên toàn cầu. Trong đó riêng tại Mỹ có tới 50.000 người chết vì heroin mỗi năm (số liệu năm 2014). Không chỉ gây hại cho người sử dụng, heroin hay tất cả các loại ma túy đều có tác động rất tiêu cực cho xã hội.

Và với bức ảnh trên, hy vọng chẳng còn ai muốn thử sử dụng chất gây nghiện nữa.
Dịch trang: EnglishEnglish DeutschDeutsch FrançaisFrançais EspañolEspañol ItalianoItaliano PortuguêsPortuguês
NorskNorsk NederlandsNederlands DanskDansk SuomiSuomi PolskiPolski ČeštinaČeština РусскийРусский
日本語日本語 한국어한국어 中文(简体)中文(简体) 中文(繁體)中文(繁體) MagyarMagyar TürkçeTürkçe
العربيةالعربية ไทยไทย LatinaLatina हिन्दीहिन्दी Bahasa IndonesiaBahasa Indonesia Bahasa MelayuBahasa Melayu
VIETBF Hybrid Community Content Hub

HOT NEWS 24h

HOT 3 Days

NEWS 3 Days

HOT 7 Days

NEWS 7 Days

HOME

Breaking News

VietOversea

World News

Business News

Car News

Computer News

Game News

USA News

Mobile News

Music News

Movies News

History

Thơ Ca

Sport News

Stranger Stories

Comedy Stories

Cooking Chat

Nice Pictures

Fashion

School

Travelling

Funny Videos

Canada Tin Hay

USA Tin Hay

VietBF Homepage Autoscroll

VietBF Video Autoscroll Portal

Video Classic Master

iPad News Portal

VietBF iPad Music Portal

Tin nóng nhất 50h qua

Phim Bộ Online

iMusic Pro Max



johnnydan9
R10 Vô Địch Thiên Hạ
Release: 06-15-2017
Reputation: 21449


Profile:
Join Date: Nov 2007
Location: LCN
Posts: 55,869
Last Update: None Rating: None
Attached Thumbnails
Click image for larger version

Name:	content-1496766660-injec-1497511941699.jpg
Views:	0
Size:	36.1 KB
ID:	1056025   Click image for larger version

Name:	content-1496766788-rhc4niq-1497511934617.jpg
Views:	0
Size:	48.6 KB
ID:	1056026  
johnnydan9_is_offline
Thanks: 40
Thanked 564 Times in 514 Posts
Mentioned: 2 Post(s)
Tagged: 0 Thread(s)
Quoted: 1 Post(s)
Rep Power: 75
johnnydan9 Reputation Uy Tín Level 7johnnydan9 Reputation Uy Tín Level 7
johnnydan9 Reputation Uy Tín Level 7johnnydan9 Reputation Uy Tín Level 7johnnydan9 Reputation Uy Tín Level 7johnnydan9 Reputation Uy Tín Level 7johnnydan9 Reputation Uy Tín Level 7johnnydan9 Reputation Uy Tín Level 7johnnydan9 Reputation Uy Tín Level 7johnnydan9 Reputation Uy Tín Level 7johnnydan9 Reputation Uy Tín Level 7johnnydan9 Reputation Uy Tín Level 7johnnydan9 Reputation Uy Tín Level 7
Dịch trang: EnglishEnglish DeutschDeutsch FrançaisFrançais EspañolEspañol ItalianoItaliano PortuguêsPortuguês
NorskNorsk NederlandsNederlands DanskDansk SuomiSuomi PolskiPolski ČeštinaČeština РусскийРусский
日本語日本語 한국어한국어 中文(简体)中文(简体) 中文(繁體)中文(繁體) MagyarMagyar TürkçeTürkçe
العربيةالعربية ไทยไทย LatinaLatina हिन्दीहिन्दी Bahasa IndonesiaBahasa Indonesia Bahasa MelayuBahasa Melayu
 
User Tag List


Châu Âu Trong "Cơn Bão Lửa" Năng Lượng: Gói Cứu Trợ Khẩn Cấp Và Cuộc Chiến Sinh Tồn Giữa Thời Chiến Iran Cuộc Chiến AI Xuyên Lục Địa: Mỹ Tố Trung Quốc "Đánh Cắp" Chất Xám Quy Mô Công Nghiệp Bằng Công Nghệ Chưng Cất Khi "Cây Bút" Đối Đầu "Họng Súng": FBI Bị Tố Dùng Quyền Lực Ngầm Để Trù Dập Phóng Viên Tờ New York Times
Cơn Địa Chấn Tại Meta Facebook: Sa Thải 8.000 Nhân Viên Để "Dọn Đường" Cho Kỷ Nguyên Trí Tuệ Nhân Tạo Đại Án "Bánh Sinh Nhật Ma" Rúng Động Trung Quốc: Phạt Kỷ Lục 3,6 Tỷ Tệ Và Những Màn Đối Đầu Như Phim Hành Động Nghịch Lý Phố Wall: Chứng Khoán Mỹ Lên Đỉnh Lịch Sử Bất Chấp "Chảo Lửa" Trung Đông Và Giá Dầu 100 Đô
Cú "Quay Xe" Lịch Sử: Spirit Airlines Và Canh Bạc Cứu Trợ 500 Triệu Đô Giữa Cơn Bão Lửa Trung Đông HÙNG CAO: TỪ CẬU BÉ TỊ NẠN SÀI GÒN ĐẾN NGƯỜI CHÈO LÁI HẢI QUÂN HOA KỲ Những chuyện hài hước nhất hôm nay +83 videos
Mỹ khả năng rút khỏi chiến trường Trung Đông, kế hoạch đánh sập Độc tài Iran thất bại? Bầu trời Trung Đông “dậy sóng”: Emirates, Qatar, Etihad đồng loạt huỷ chuyến, hành khách rối như tơ vò Trump cần thêm 200 tỷ USD để đánh Iran, dân Mỹ tha hồ đóng tiền "ngu"
Mỹ siết luật mạnh tay: Gian lận an sinh xã hội có thể bị trục xuất ngay lập tức Ferrari “đạp phanh” tại Trung Đông: Chiến tranh Iran làm rung chuyển thị trường siêu xe Giá vé máy bay quốc tế có thể tăng gấp đôi từ 1/4/2026
Joe Kent rời ghế phản khủng bố: tiếng nói “ngược dòng” giữa cơn bão chiến tranh Iran Mỹ đánh giá Iran “chưa sụp nhưng đã suy”: khoảng trống quyền lực mở ra, nguy cơ biến thành “Triều Tiên thứ hai” Israel tiếp tục “săn đầu não”: giết chết Bộ trưởng Tình báo Iran (Esmail Khatib), Tehran rơi vào vòng xoáy hỗn loạn
Chiến dịch ‘Epic Fury’, Tóm tắt tình hình mới nhất Đêm Lửa Tehran: Đòn Đánh Mỹ–Israel, Cái Chết Của Khamenei Và Cơn Địa Chấn Hormuz Bão lửa Trung Đông lan rộng: Iran tuyên bố ‘không đàm phán’, Gulf rung chuyển vì nổ lớn, và cú ‘bắn nhầm’ làm rơi 3 tiêm kích Mỹ tại Kuwait
Lần đầu tiên trong lịch sử: F-22 Raptor xuất hiện trên bầu trời Israel Ngày thứ hai sau cuộc tấn công của Mỹ và Israel vào Tehran và tiêu diệt hết lãnh đạo đầu não của Iran, chuyện gì đang diễn ra? Nguyên nhân các vũ khí, radar, tên lửa đánh chặn của Nga-Trung hoàn toàn vô dụng trước đòn tấn công của Mỹ
Nguyên nhân Mỹ đánh một phát trúng liền giết chết Giáo Chủ Iran Vì sao Iran không dựng Giáo Chủ giả mà công bố là đã chết? 5 quân nhân gốc Việt trên hàng không mẫu hạm Mỹ tham gia đánh Iran

 

iPad Videos Portal Autoscroll

VietBF Music Portal Autoscroll

iPad News Portal Autoscroll

VietBF Homepage Autoscroll

VietBF Video Autoscroll Portal

USA News Autoscroll Portall

VietBF WORLD Autoscroll Portal

Video Classic Master Page

Super Widescreen

iPad World Portal Autoscroll

iPad USA Portal Autoscroll

Phim Bộ Online
Lên đầu Xuống dưới Lên 3000px Xuống 3000px

Tin nóng nhất 24h qua

Tin nóng nhất 3 ngày qua

Tin nóng nhất 7 ngày qua

Tin nóng nhất 30 ngày qua

Albums

Total Videos Online

Tranh luận sôi nổi nhất 7 ngày qua

Tranh luận sôi nổi nhất 14 ngày qua

Tranh luận sôi nổi nhất 30 ngày qua

10.000 Tin mới nhất

Tin tức Hoa Kỳ

Tin tức Công nghệ
Lên đầu Xuống dưới Lên 3000px Xuống 3000px

Duo Series Movies Portal

Duo Music Portal

Phim Bộ

Tỷ Giá

Thời Tiết

Tin Nóng Nhất 50h

Super News

School Cooking Traveling Portal

Enter Portal

Series Shows and Movies Online

Home Classic Master Page

Donation Ủng hộ $3 cho VietBF
Lên đầu Xuống dưới Lên 3000px Xuống 3000px
Diễn Đàn Người Việt Hải Ngoại. Tự do ngôn luận, an toàn và uy tín. Vì một tương lai tươi đẹp cho các thế hệ Việt Nam hãy ghé thăm chúng tôi, hãy tâm sự với chúng tôi mỗi ngày, mỗi giờ và mỗi giây phút có thể. VietBF.Com Xin cám ơn các bạn, chúc tất cả các bạn vui vẻ và gặp nhiều may mắn.
Welcome to Vietnamese American Community, Vietnamese European, Canadian, Australian Forum, Vietnamese Overseas Forum. Freedom of speech, safety and prestige. For a beautiful future for Vietnamese generations, please visit us, talk to us every day, every hour and every moment possible. VietBF.Com Thank you all and good luck.

Lên đầu Xuống dưới Lên 3000px Xuống 3000px

All times are GMT. The time now is 04:44.
VietBF - Vietnamese Best Forum Copyright ©2005 - 2026
User Alert System provided by Advanced User Tagging (Pro) - vBulletin Mods & Addons Copyright © 2026 DragonByte Technologies Ltd.
Log Out Unregistered

Page generated in 0.11293 seconds with 13 queries