HOME-Au
HOME-Au
24h
24h
USA
USA
GOP
GOP
Phim Bộ
Phim Bộ
Videoauto
VIDEO-Au
Home Classic
Home Classic
Donation
Donation
News Book
News Book
News 50
News 50
worldautoscroll
WORLD-Au
Breaking
Breaking
 

Go Back   VietBF > Other News|Tin Khác > School | Kiến thức > School | Kiến thức 2006-2019


 
 
Thread Tools
  #1  
Old  Arrow Chữa sâu răng tại nhà không cần đến nha sĩ tốn kém
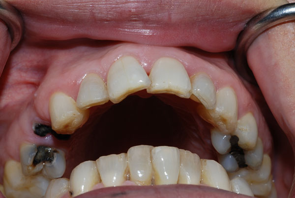
Có những người chăm sóc răng cẩn thận vẫn bị sâu răng. Tốn tiền đi nha sĩ nhiều lần nhưng chiếc răng sâu vẫn hành hạ bạn? Dùng lá dâu đúng cách, bạn có thể chữa sâu rau hiệu quả và không tốn kém chút nào.



Nguyên nhân gây sâu răng

Sâu rằng là căn bệnh rất phổ biến, chiếm tới 90% trong số các bệnh thường gặp về răng miệng. Tỷ lệ này ở người Việt là khá cao.

Vi khuẩn gây sâu răng luôn tồn tại trong khoang miệng, khi có điều kiện thích hợp từ nguồn thức ăn, sản sinh và tiết ra chất hữu cơ, plyore, enzyme thuỷ phân chất lòng trắng trứng (một thành phần trong nước miếng).

Các chất này hòa tan chất hữu có và phân hủy chất vô cơ trong kết cấu răng. Khi đó các vi khuẩn bám vào răng tạo thành các đốm khuẩn, tấn công răng và gây sâu răng.

Dùng lá bàng non

Nguyên liệu bao gồm
- 1 nắm lá bàng non
- 1 thìa cafe muối biển sạch
- Nước lọc

Cách làm

- Bước 1: Lá bàng rửa sạch, để ráo nước rồi thái nhỏ

- Bước 2: Cho lá bàng, muổi biển và nước lọc vào máy xay sinh tố xay nhuyễn

- Bước 3: Sử dụng lưới lọc, lọc bỏ phần bã, cho phần nước thu được vào lọ thủy tinh, bảo quản trong tủ lạnh để dùng dần.

Cách sử dụng

- Bước 1: Ngày đầu tiên sử dụng, bạn ngậm một ngụm nước lá bàng khoảng 1 phút rồi súc miệng thật kỹ. Khoảng 4 tiếng bạn lại lặp lại một lần. Bạn nên lắc đều trước khi sử dụng

- Bước 2: Ngày thứ 2 và thứ 3, Trước khi đi ngủ, bạn đánh răng như bình thường rồi súc miệng lại bằng nước lá bàng. Lưu ý là sau khi súc miệng bằng nước lá bàng thì không súc miệng lại bằng nước mà cứ để vậy đi ngủ.

Điều cần chú ý

- Bạn nên sử dụng nước lá bàng để sưc miệng hàng ngày để phòng ngừa các bệnh về răng miệng

- Phương pháp này cũng đặc biệt hữu hiệu với người bị nhiệt miệng, lở loét miệng. Bạn chỉ cần chấm nước bàng vào vị trí vết loét là được.

- Nếu thấy răng có biểu hiện vàng thì bạn cũng đừng lo lắng. Hết súc miệng bằng nước bàng răng sẽ trở lại như bình thường.


Chữa sâu răng từ nhựa đu đủ

Nguyên liệu:

Quả đu đủ non.

Cách dùng:

Cắt quả đu đủ non, lấy tăm bông thấm nhựa rồi bôi trực tiếp vào chỗ sâu răng. Lưu ý không được nuốt.

Liều dùng:

Dùng liên tục hàng ngày cho tới khi không còn triệu chứng đau nhức nữa thì thôi.
VIETBF Diễn Đàn Hay Nhất Của Người Việt Nam

HOT NEWS 24h

HOT 3 Days

NEWS 3 Days

HOT 7 Days

NEWS 7 Days

HOME

Breaking News

VietOversea

World News

Business News

Car News

Computer News

Game News

USA News

Mobile News

Music News

Movies News

History

Thơ Ca

Sport News

Stranger Stories

Comedy Stories

Cooking Chat

Nice Pictures

Fashion

School

Travelling

Funny Videos

Canada Tin Hay

USA Tin Hay

VietBF Homepage Autoscroll

VietBF Video Autoscroll Portal

Home Classic

Home Classic Master Page

VietBF iPad Music Portal

Tin nóng nhất 50h qua

Phim Bộ Online

Phim Bộ



sunshine1104
R10 Vô Địch Thiên Hạ
Release: 07-17-2017
Reputation: 25190


Profile:
Join Date: Feb 2015
Posts: 80,080
Last Update: None Rating: None
Attached Thumbnails
Click image for larger version

Name:	2.2..jpg
Views:	0
Size:	260.7 KB
ID:	1071737   Click image for larger version

Name:	2.22.jpg
Views:	0
Size:	39.8 KB
ID:	1071738  
sunshine1104_is_offline
Thanks: 4
Thanked 4,051 Times in 3,567 Posts
Mentioned: 4 Post(s)
Tagged: 0 Thread(s)
Quoted: 22 Post(s)
Rep Power: 92
sunshine1104 Reputation Uy Tín Level 7sunshine1104 Reputation Uy Tín Level 7
sunshine1104 Reputation Uy Tín Level 7sunshine1104 Reputation Uy Tín Level 7sunshine1104 Reputation Uy Tín Level 7sunshine1104 Reputation Uy Tín Level 7sunshine1104 Reputation Uy Tín Level 7sunshine1104 Reputation Uy Tín Level 7sunshine1104 Reputation Uy Tín Level 7sunshine1104 Reputation Uy Tín Level 7sunshine1104 Reputation Uy Tín Level 7sunshine1104 Reputation Uy Tín Level 7sunshine1104 Reputation Uy Tín Level 7sunshine1104 Reputation Uy Tín Level 7sunshine1104 Reputation Uy Tín Level 7sunshine1104 Reputation Uy Tín Level 7sunshine1104 Reputation Uy Tín Level 7sunshine1104 Reputation Uy Tín Level 7sunshine1104 Reputation Uy Tín Level 7sunshine1104 Reputation Uy Tín Level 7sunshine1104 Reputation Uy Tín Level 7
 
User Tag List


Thêm một sĩ quan trẻ gốc Việt qua đời, nguyên nhân không như tin đồn “tào lao, tự tử” trên Facebook Tịch thu và bắt hàng loạt lãnh đạo công ty nhà Cường “đô la” Peter Arnett qua đời: tiếng nói độc lập từ chiến trường Việt Nam đến Baghdad
Cuộc chiến giành Warner & CNN: tiền mặt, thế lực, và bóng dáng Nhà Trắng Sự thật khó nghe: Trung Quốc giàu lên nhanh nhất khi .... Ngoại trưởng Nga thú nhận: Mỹ đã hứa trao lãnh thổ Ukraine cho Moscow
Chánh Văn phòng Tòa Bạch Ốc gây cú sốc về ông Trump trong cuộc phỏng vấn với Vanity Fair Thuế quan thổi ngược chiều: việc làm tay chân co lại, và “nhiệt” chính trị hạ dần Một dòng “sông” trong biển lệch nhịp: vì sao mặt biển Nhật Bản đang phình lên – và nghề cá lao đao
Khủng hoảng “affordability” ở Mỹ Trump mở cửa chip H200 cho Trung Quốc và cuộc chiến giành “quyền viết luật” cho trí tuệ nhân tạo Google và giấc mơ thay thế smartphone bằng cặp kính AI
Trump, Netflix và Paramount: Cuộc chiến thâu tóm Warner Bros. biến Hollywood thành bàn cờ chính trị Trung Quốc bứt tốc xuất khẩu, nông dân Mỹ sống bằng trợ cấp VN: Sợ áp lực mỗi khi ra tòa, Hoa hậu Thùy Tiên chấp nhận bản án 2 năm tù
Lại to tiếng: Ông Trump nói nữ ký giả của CNN là "ngu ngốc và độc ác" Zelensky chạy đua ngoại giao: London, Brussels, Rome và cái bóng hòa kế của Trump New Orleans trong vòng vây ICE: Chiến dịch “Catahoula Crunch” và nỗi lo của người Việt
“Huyền thoại ‘Trung Quốc là Singapore phóng đại’ đang sụp đổ như thế nào?” Trung Tá Nhảy Dù Bùi Quyền: Từ thủ khoa Võ Bị đến chiếc ghế trống sau 60 năm gặp lại Làm gì có “giải phóng” mà tôn vinh “chiến sĩ giải phóng”?
Cuba cá đầy biển, ngư dân vẫn đói: Khi thiên nhiên hào phóng nhưng thể chế “thắt nút cổ chai” Quận Cam: Người già gốc Việt sống trong nhà tiền chế, run rẩy trước mỗi lá thư cảnh cáo Doanh nghiệp châu Âu lặng lẽ tháo chạy khỏi Trung Quốc, nguyên nhân?
Năm tiếng trong Điện Kremlin: Hòa bình Ukraine đang đến gần? Một tổng thống lim dim, một thế giới nín thở Trump, Venezuela và cơn bão “tội ác chiến tranh” ở Washington
5 bí mật trên buồng lái mà phi công hiếm khi kể cho hành khách Đồng chí 3 X và chiếc bình xịt gây tê Hồi ký Trịnh Xuân Thanh và thương vụ 50 triệu đô đưa Nguyễn Cao Kỳ về nước
Vì sao Việt Nam vẫn vắng bóng Nobel Văn học? Khi sự thật bị nhào nặn: Nga, Trung Quốc và cuộc chiến bẻ cong hình ảnh dân chủ ‘Đổ bộ lên mặt trời ban đêm’ – khi ngu dốt ngồi lên ngai quyền lực
Xuất khẩu lao động – khi một quốc gia đóng gói tương lai của mình gửi ra nước ngoài Vụ kiện chất độc da cam – khi cộng sản Việt Nam tự làm nhục mình trước thế giới Nhiều người hỏi mình: “Qua Mỹ trễ vậy có hối hận không?”
Lũ quét miền Trung, Khánh Hoà, Nha Trang, “kỷ lục của kỷ lục” +video 12 ngày trên đất Mỹ: Những điều mắt thấy tai nghe của một bà mẹ Việt Khi ‘cái tôi’ phình to hơn thực tài của người Việt Cộng
Bài học nhớ đời khi lao vào bán hàng Amazon theo trend Pokémon Nghỉ hưu ở Texas: Thiên đường mới sau ‘giấc mơ California Nơi sóng radio chết lặng và những chuyện không thể giải thích
Bà Ngô Đình Nhu trên tầng 11 Paris: từ ánh đèn Dinh Độc Lập đến căn hộ cô quạnh “Đánh từ sẵn”: một đêm gõ cửa và cả đời bất an của chú Ba Lợi Người thầy tội nghiệp và nỗi đau hai chữ “lưu dung”

 
Lên đầu Xuống dưới Lên 3000px Xuống 3000px

iPad Videos Portal Autoscroll

VietBF Music Portal Autoscroll

iPad News Portal Autoscroll

VietBF Homepage Autoscroll

VietBF Video Autoscroll Portal

USA News Autoscroll Portall

VietBF WORLD Autoscroll Portal

Home Classic

Super Widescreen

iPad World Portal Autoscroll

iPad USA Portal Autoscroll

Phim Bộ Online

Tin nóng nhất 24h qua

Tin nóng nhất 3 ngày qua

Tin nóng nhất 7 ngày qua

Tin nóng nhất 30 ngày qua

Albums

Total Videos Online
Lên đầu Xuống dưới Lên 3000px Xuống 3000px

Tranh luận sôi nổi nhất 7 ngày qua

Tranh luận sôi nổi nhất 14 ngày qua

Tranh luận sôi nổi nhất 30 ngày qua

10.000 Tin mới nhất

Tin tức Hoa Kỳ

Tin tức Công nghệ
Lên đầu Xuống dưới Lên 3000px Xuống 3000px

Super News

School Cooking Traveling Portal

Enter Portal

Series Shows and Movies Online

Home Classic Master Page

Donation Ủng hộ $3 cho VietBF
Lên đầu Xuống dưới Lên 3000px Xuống 3000px
Diễn Đàn Người Việt Hải Ngoại. Tự do ngôn luận, an toàn và uy tín. Vì một tương lai tươi đẹp cho các thế hệ Việt Nam hãy ghé thăm chúng tôi, hãy tâm sự với chúng tôi mỗi ngày, mỗi giờ và mỗi giây phút có thể. VietBF.Com Xin cám ơn các bạn, chúc tất cả các bạn vui vẻ và gặp nhiều may mắn.
Welcome to Vietnamese American Community, Vietnamese European, Canadian, Australian Forum, Vietnamese Overseas Forum. Freedom of speech, safety and prestige. For a beautiful future for Vietnamese generations, please visit us, talk to us every day, every hour and every moment possible. VietBF.Com Thank you all and good luck.

Lên đầu Xuống dưới Lên 3000px Xuống 3000px

All times are GMT. The time now is 09:32.
VietBF - Vietnamese Best Forum Copyright ©2005 - 2025
User Alert System provided by Advanced User Tagging (Pro) - vBulletin Mods & Addons Copyright © 2025 DragonByte Technologies Ltd.
Log Out Unregistered

Page generated in 0.10842 seconds with 13 queries