HOME-Au
HOME-Au
24h
24h
USA
USA
GOP
GOP
Phim Bộ
Phim Bộ
Videoauto
VIDEO-Au
Home Classic
Home Classic
Donation
Donation
News Book
News Book
News 50
News 50
worldautoscroll
WORLD-Au
Breaking
Breaking
 

Go Back   VietBF > World Box| Thế Giới > World News|Tin Thế Giới > World News |Tin Thế Giới 2006-2019


 
 
Thread Tools
  #1  
Old  Question Bác sĩ chết lặng trước kết quả chụp cắt lớp não của bệnh nhân
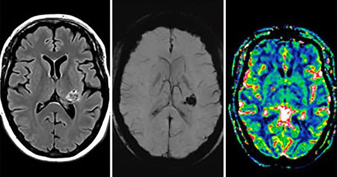
Một người phụ nữ cho biết cô nghe được những lời nói siêu nhiên. Bác sĩ đã chụp cắt lớp não của người phụ nữ này. Không ai còn dám nói cô bị cho là tâm thần sau khi xem kết quả.


Một người phụ nữ tin rằng mình có thể nghe và nói chuyện được với Chúa trời, thậm chí sau khi nghe những âm thanh đó, cô bắt đầu có hành động tự làm tổn thương cơ thể mình.

Người phụ nữ không rõ danh tính đã khiến các nhà nghiên cứu tại trường đại học Bern, Thụy Sĩ chú ý. Ban đầu họ nghĩ rằng có thể cô mắc phải chứng bệnh tâm thần tuy nhiên quan sát biểu hiện của bệnh nhân, họ bỗng cảm thấy có điều bất thường và tin rằng chắc hẳn phải có điều gì tiềm ẩn phía sau.


Sau khi tiến hành chụp cắt lớp cho bệnh nhân, quả thật suy đoán của họ không hề sai. Bên trong não của người phụ nữ này phát hiện có một khối u đang phát triển. Giáo sư tâm thần và thần kinh học Sebastian Walther cho biết: “Khối u nằm trên khu vực mạng lưới thần kinh quan trọng ảnh hưởng đến nhận thức về giọng nói. Vì vậy bệnh nhân đã nghe được những ảo thanh, và khiến cho cô tin rằng mình đang nói chuyện với Chúa”.

Cộng thêm với niềm tin tôn giáo mạnh mẽ, người phụ nữ này dần dà đã phải đối mặt với sự ảo tưởng nghiêm trọng. Khối u được xác định phát triển ở vùng dưới đồi, phần lớn nhất của vùng não trung gian, gây ra các biểu hiện tương tự như bệnh nhân mắc phải chứng tâm thần phân liệt.


Hiện tượng nghe được ảo thanh bao gồm những tiếng thóa mạ, giọng nói xuất hiện trong não giống như đang nói chuyện với một thế lực siêu nhiên nào đó là một trong những biểu hiện khá phổ biến của những người gặp vấn đề thần kinh.

Các nhà nghiên cứu, những người đã dành nhiều năm tìm hiểu về bệnh tâm thần phân liệt, tin rằng trường hợp của bệnh nhân này sẽ giúp cho họ có thể hiểu rõ hơn về tình trạng này. Họ cho biết, đây là bằng chứng cho thấy các triệu chứng tâm thần phân liệt không được kích hoạt trên toàn bộ não mà là sự gián đoạn cụ thể ở một số khu vực nào đó.

Hiện không có thông tin về tình trạng sau đó của người phụ nữ.
VIETBF Diễn Đàn Hay Nhất Của Người Việt Nam

HOT NEWS 24h

HOT 3 Days

NEWS 3 Days

HOT 7 Days

NEWS 7 Days

HOME

Breaking News

VietOversea

World News

Business News

Car News

Computer News

Game News

USA News

Mobile News

Music News

Movies News

History

Thơ Ca

Sport News

Stranger Stories

Comedy Stories

Cooking Chat

Nice Pictures

Fashion

School

Travelling

Funny Videos

Canada Tin Hay

USA Tin Hay

VietBF Homepage Autoscroll

VietBF Video Autoscroll Portal

Home Classic

Home Classic Master Page



sunshine1104
R10 Vô Địch Thiên Hạ
Release: 12-30-2017
Reputation: 25190


Profile:
Join Date: Feb 2015
Posts: 80,060
Last Update: None Rating: None
Attached Thumbnails
Click image for larger version

Name:	5.jpg
Views:	0
Size:	58.8 KB
ID:	1154475   Click image for larger version

Name:	51.jpg
Views:	0
Size:	60.8 KB
ID:	1154476  
sunshine1104_is_offline
Thanks: 4
Thanked 4,051 Times in 3,567 Posts
Mentioned: 4 Post(s)
Tagged: 0 Thread(s)
Quoted: 22 Post(s)
Rep Power: 92
sunshine1104 Reputation Uy Tín Level 7sunshine1104 Reputation Uy Tín Level 7
sunshine1104 Reputation Uy Tín Level 7sunshine1104 Reputation Uy Tín Level 7sunshine1104 Reputation Uy Tín Level 7sunshine1104 Reputation Uy Tín Level 7sunshine1104 Reputation Uy Tín Level 7sunshine1104 Reputation Uy Tín Level 7sunshine1104 Reputation Uy Tín Level 7sunshine1104 Reputation Uy Tín Level 7sunshine1104 Reputation Uy Tín Level 7sunshine1104 Reputation Uy Tín Level 7sunshine1104 Reputation Uy Tín Level 7sunshine1104 Reputation Uy Tín Level 7sunshine1104 Reputation Uy Tín Level 7sunshine1104 Reputation Uy Tín Level 7sunshine1104 Reputation Uy Tín Level 7sunshine1104 Reputation Uy Tín Level 7sunshine1104 Reputation Uy Tín Level 7sunshine1104 Reputation Uy Tín Level 7sunshine1104 Reputation Uy Tín Level 7
 
User Tag List


Trump kiện BBC đòi 10 tỷ đô: đòn dằn mặt báo chí hay cuộc chiến danh dự thật sự? Ba người hùng đã mãi mãi ngã xuống khi ra tay ngăn chặn 2 tên khủng bố ở bải biển Bondi, Úc Mỹ tràn ngập người thất nghiệp, năm tệ nhất từ sau đại dịch
Tiền ảo nhà Trump mất sạch giá trị, Melania coin mất 99%, bong bóng cổ phiếu sụp đổ và bài toán “nước Mỹ giàu lắm” Ford thắng lớn với xe xăng, “để đó” xe điện – và vì sao giấc mơ xe tí hon giá rẻ vẫn xa tầm tay người Mỹ Little Saigon Landmark Seattle: “Ngôi nhà neo đậu” mới cho cộng đồng người Việt
Boba & Beans – Quán ăn Việt thắp hương quê giữa trung tâm Meriden Bellaire Market District 100 triệu USD: ‘Chợ 3 Miền’ đưa Little Saigon Houston bước sang trang mới Hà Nội xếp hàng thẳng tắp: khi camera AI dạy lại văn hoá đèn đỏ
Tổng thống ‘Hòa Bình’ và những biên giới đỏ lửa: Thái–Miên, Pakistan–Afghanistan và vở kịch giải thưởng cho Trump Chernobyl lại báo động đỏ: Lá chắn thép 2,1 tỷ euro bị drone đánh thủng, IAEA cảnh báo mất chức năng an toàn Paris lại đăng quang, Bangkok đông nghẹt, Viêng Chăn vẫn lặng lẽ: Bản đồ du lịch 2025 giữa kỷ lục mới và những góc bình yên
Trump Thắng Lớn Trong Cuộc Chiến ‘Bãi Nhiệm Không Cần Lý Do Vì Sao Tôi Chống Trump: Từ Nước Mắt Trong ICU Đến Chiếc Ô Đỏ MAGA Và Trò Hề ‘Giải Hòa Bình’ Từ Okinawa đến màn hình điện thoại: Trung Quốc leo thang quân sự, siết kiểm soát số và cuộc chiến bóng ma quanh Đài Loan
Cú quay đầu của lá phiếu Latino: từ ‘kỳ tích’ Trump 2024 đến khối cử tri dao động nhất nước Mỹ Cộng đồng Somali ở Minnesota đứng dậy giữa bão trục xuất Trung Quốc ăn cắp máy quang khắc bất thành – vì sao ‘đốt cháy giai đoạn’ trong ngành chip là chuyện bất khả?
Cú “cắn ghế” thần tốc ở Hà Nội: Mailisa, Doctor Magic và ván cờ phe phái Ngân sách tăng thuế của Labour và nước Anh nơi 1/3 trẻ em sống trong nghèo đói Đĩa mì Ý ở Mỹ trước bão thuế 107%: từ “xa xỉ phẩm 4 đô” đến nỗi lo mất luôn món ăn bình dân
Mùa mua sắm Mỹ thời bão giá: Macy’s, Old Navy, Walmart xoay xở, Sears hấp hối – trong khi Đài Loan bứt tốc nhờ cơn sốt AI Tịch thu 100 sổ đỏ, 300 cây vàng SJC, 400k USD, 3 tỷ đồng của Mailisa và còn nhiều nữa, siêu xe hàng tá, tiền hàng ...tấn Giáo hoàng Leo XIV kêu gọi chấm dứt lợi dụng tôn giáo cho chiến tranh trong chuyến công du Thổ Nhĩ Kỳ – Li Băng
Louvre tăng giá vé 45% với khách ngoài châu Âu: bức tranh đắt đỏ mới của “ngôi đền nghệ thuật” Paris Bão Mặt Trời đe dọa buồng lái: hơn 6.000 máy bay Airbus A320 phải sửa gấp vì nguy cơ mất kiểm soát 10 ngày ở ghế Chủ tịch Hà Nội: Nguyễn Đức Trung và bài toán nhân sự trước Đại hội 14
Nếu VinFast thua sạch ở Mỹ: Hoá đơn có thể lên tới 1,5 tỷ USD Từ Việt Minh đến Chuyên Chính Đỏ: Chiến lược che giấu và thanh trừng có chủ đích Từ Nội Chiến Mỹ đến Việt Nam: Hai cách đối xử với người lính bại trận
“Hãy công bố kết quả MRI đi!” – Tim Walz dội gáo nước lạnh vào cơn thịnh nộ Lễ Tạ Ơn của Donald Trump Từ Vệ Binh Quốc Gia đến Quân Lực Việt Nam Cộng Hòa – hành trình một đạo quân quốc gia “Người Cày Có Ruộng” – ngày vui nhất đời Tổng thống Thiệu và ký ức tem thư của một thằng bé Sài Gòn
Tiền tuyến rực lửa, bàn đàm phán nóng lên: Ukraine vạch lằn ranh đỏ trước kế hoạch hòa bình của Trump Starbucks – Target và ly socola bạc hà cứu vãn mùa Giáng sinh ảm đạm Phố thời trang tắt đèn trước Tết: Tiểu thương Hà Nội kẹt giữa gánh thuê nhà và thuế khóa

 
Lên đầu Xuống dưới Lên 3000px Xuống 3000px

iPad Videos Portal Autoscroll

VietBF Music Portal Autoscroll

iPad News Portal Autoscroll

VietBF Homepage Autoscroll

VietBF Video Autoscroll Portal

USA News Autoscroll Portall

VietBF WORLD Autoscroll Portal

Home Classic

Super Widescreen

iPad World Portal Autoscroll

iPad USA Portal Autoscroll

Phim Bộ Online

Tin nóng nhất 24h qua

Tin nóng nhất 3 ngày qua

Tin nóng nhất 7 ngày qua

Tin nóng nhất 30 ngày qua

Albums

Total Videos Online
Lên đầu Xuống dưới Lên 3000px Xuống 3000px

Tranh luận sôi nổi nhất 7 ngày qua

Tranh luận sôi nổi nhất 14 ngày qua

Tranh luận sôi nổi nhất 30 ngày qua

10.000 Tin mới nhất

Tin tức Hoa Kỳ

Tin tức Công nghệ
Lên đầu Xuống dưới Lên 3000px Xuống 3000px

Super News

School Cooking Traveling Portal

Enter Portal

Series Shows and Movies Online

Home Classic Master Page

Donation Ủng hộ $3 cho VietBF
Lên đầu Xuống dưới Lên 3000px Xuống 3000px
Diễn Đàn Người Việt Hải Ngoại. Tự do ngôn luận, an toàn và uy tín. Vì một tương lai tươi đẹp cho các thế hệ Việt Nam hãy ghé thăm chúng tôi, hãy tâm sự với chúng tôi mỗi ngày, mỗi giờ và mỗi giây phút có thể. VietBF.Com Xin cám ơn các bạn, chúc tất cả các bạn vui vẻ và gặp nhiều may mắn.
Welcome to Vietnamese American Community, Vietnamese European, Canadian, Australian Forum, Vietnamese Overseas Forum. Freedom of speech, safety and prestige. For a beautiful future for Vietnamese generations, please visit us, talk to us every day, every hour and every moment possible. VietBF.Com Thank you all and good luck.

Lên đầu Xuống dưới Lên 3000px Xuống 3000px

All times are GMT. The time now is 12:12.
VietBF - Vietnamese Best Forum Copyright ©2005 - 2025
User Alert System provided by Advanced User Tagging (Pro) - vBulletin Mods & Addons Copyright © 2025 DragonByte Technologies Ltd.
Log Out Unregistered

Page generated in 0.13537 seconds with 13 queries