HOME-Au
HOME-Au
24h
24h
USA
USA
GOP
GOP
Phim Bộ
Phim Bộ
Videoauto
VIDEO-Au
Donation
Donation
News Book
News Book
News 50
News 50
worldautoscroll
WORLD-Au
Breaking
Breaking
 

Go Back   VietBF > Other > School | Kiến thức > School | Kiến thức 2006-2019


 
Thread Tools
 
 
  #1  
Old  Arrow Người đàn ông suýt chết vì .... nhịn hắt hơi
Khi muốn hắt hơi thì bạn đừng nên bịt mũi và nhịn. Đây là thói quen xấu nhiều người mắc phải. Một người đàn ông suýt bị tử vong khi làm điều này lúc chuẩn bị hắt hơi.

Trên trang tin tức nước ngoài Dailymail vừa đưa tin về vụ việc một người đàn ông 34 tuổi suýt tử vong chỉ vì cố nhịn cơn hắt hơi của mình. Anh chàng này vì muốn cố nhịn cơn hắt hơi đang sắp đến nên anh ta bịt mũi và ngậm miệng chặt lại, hy vọng cơn hắt hơi sẽ qua đi. Tuy nhiên, điều tồi tệ nhất đã xảy ra khiến anh ta phải nhập viện ngay lập tức.

Khi được đưa vào bệnh viện, anh chàng đang trong tình trạng sức khỏe nghiêm trọng với những cơn đau dữ dội mỗi khi nói chuyện hoặc nuốt. Anh mô tả lại tình trạng của mình cho bác sĩ biết: "Có một cảm giác run lên ở cổ, cổ bị sưng lên sau khi tôi cố gắng ngăn chặn cơn hắt hơi bằng việc bịt mũi và ngậm miệng lại. Cảm giác đau buốt khi nuốt và giọng nói cũng bị thay đổi".


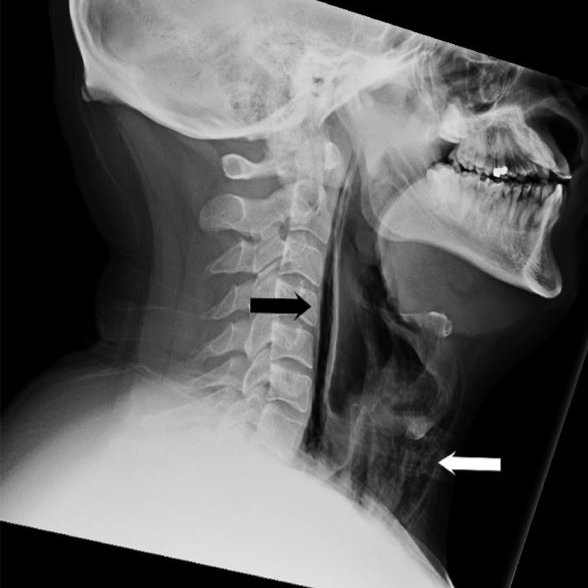
Sau khi xem xét và khám tổng thể, các bác sĩ nghe thấy âm thanh lạ rít lên và kéo dài từ cổ đến xương sườn, đây là một dấu hiệu cho thấy bong bóng khí đã đi vào các mô sâu và cơ bắp trong ngực. Sau khi chụp CT thì bác sĩ đã chắc chắn kết luận rằng, do anh nhịn hắt hơi quá lâu khiến luồng hơi đi ngược lại và tạo ra một lỗ thủng phía sau cổ họng.

Anh chàng này sau khi nhập viện và điều trị thì đã cần phải hỗ trợ ăn uống bằng ống. Sau 7 ngày chạy chữa thì may mắn là anh đã dần hồi phục sức khỏe và được cho phép ra viện.


Qua trường hợp này, các bác sĩ cũng chia sẻ thêm, trường hợp của chàng trai 34 tuổi này chưa phải là điều tồi tệ nhất. Bởi các bác sĩ cảnh báo rằng, thói quen nhịn hắt hơi có thể tạo ra một lực rất lớn và gây nguy hiểm đến tính mạng.

Cụ thể, các chuyên gia từ Bệnh viện Đại học của Leicester NHS Trust cho biết: "Nhịn hắt hơi bằng cách bịt lỗ mũi và miệng là thói quen vô cùng nguy hiểm và cần bỏ ngay vì nó có thể tạo ra luồng khí chuyển động ở tốc độ 100mph trở lên nên dễ dẫn đến nhiều biến chứng nguy hiểm như tràn khí trung thất (không khí bị kẹt giữa ngực và phổi), thủng màng nhĩ tai và thậm chí là gây phình hoặc vỡ mạch máu não, tăng nguy cơ tử vong rất cao.

Do đó, từ nay về sau nếu có muốn hắt hơi thì bạn không nên nhịn. Nếu đang ở chốn đông người và cảm thấy ngại thì nên đứng dậy di chuyển sang vị trí khác hoặc chuẩn bị sẵn khăn tay, khăn giấy để hắt hơi vào chứ đừng như anh chàng này rồi có ngày rước họa vào thân nhé!
Dịch trang: EnglishEnglish DeutschDeutsch FrançaisFrançais EspañolEspañol ItalianoItaliano PortuguêsPortuguês
NorskNorsk NederlandsNederlands DanskDansk SuomiSuomi PolskiPolski ČeštinaČeština РусскийРусский
日本語日本語 한국어한국어 中文(简体)中文(简体) 中文(繁體)中文(繁體) MagyarMagyar TürkçeTürkçe
العربيةالعربية ไทยไทย LatinaLatina हिन्दीहिन्दी Bahasa IndonesiaBahasa Indonesia Bahasa MelayuBahasa Melayu
VIETBF Hybrid Community Content Hub

HOT NEWS 24h

HOT 3 Days

NEWS 3 Days

HOT 7 Days

NEWS 7 Days

HOME

Breaking News

VietOversea

World News

Business News

Car News

Computer News

Game News

USA News

Mobile News

Music News

Movies News

History

Thơ Ca

Sport News

Stranger Stories

Comedy Stories

Cooking Chat

Nice Pictures

Fashion

School

Travelling

Funny Videos

Canada Tin Hay

USA Tin Hay

VietBF Homepage Autoscroll

VietBF Video Autoscroll Portal

Video Classic Master

iPad News Portal

VietBF iPad Music Portal

Tin nóng nhất 50h qua

Phim Bộ Online

Phim Bộ



june04
R10 Vô Địch Thiên Hạ
Release: 01-17-2018
Reputation: 17595


Profile:
Join Date: Oct 2014
Posts: 70,421
Last Update: None Rating: None
Attached Thumbnails
Click image for larger version

Name:	11.jpg
Views:	0
Size:	42.8 KB
ID:	1162549   Click image for larger version

Name:	1.jpg
Views:	0
Size:	43.3 KB
ID:	1162550  
june04_is_offline
Thanks: 4
Thanked 3,352 Times in 2,955 Posts
Mentioned: 0 Post(s)
Tagged: 0 Thread(s)
Quoted: 22 Post(s)
Rep Power: 82
june04 Reputation Uy Tín Level 6
june04 Reputation Uy Tín Level 6june04 Reputation Uy Tín Level 6june04 Reputation Uy Tín Level 6june04 Reputation Uy Tín Level 6june04 Reputation Uy Tín Level 6june04 Reputation Uy Tín Level 6june04 Reputation Uy Tín Level 6june04 Reputation Uy Tín Level 6june04 Reputation Uy Tín Level 6june04 Reputation Uy Tín Level 6june04 Reputation Uy Tín Level 6june04 Reputation Uy Tín Level 6june04 Reputation Uy Tín Level 6june04 Reputation Uy Tín Level 6june04 Reputation Uy Tín Level 6june04 Reputation Uy Tín Level 6june04 Reputation Uy Tín Level 6june04 Reputation Uy Tín Level 6june04 Reputation Uy Tín Level 6june04 Reputation Uy Tín Level 6june04 Reputation Uy Tín Level 6june04 Reputation Uy Tín Level 6
Dịch trang: EnglishEnglish DeutschDeutsch FrançaisFrançais EspañolEspañol ItalianoItaliano PortuguêsPortuguês
NorskNorsk NederlandsNederlands DanskDansk SuomiSuomi PolskiPolski ČeštinaČeština РусскийРусский
日本語日本語 한국어한국어 中文(简体)中文(简体) 中文(繁體)中文(繁體) MagyarMagyar TürkçeTürkçe
العربيةالعربية ไทยไทย LatinaLatina हिन्दीहिन्दी Bahasa IndonesiaBahasa Indonesia Bahasa MelayuBahasa Melayu
 
User Tag List



 
Lên đầu Xuống dưới Lên 3000px Xuống 3000px

iPad Videos Portal Autoscroll

VietBF Music Portal Autoscroll

iPad News Portal Autoscroll

VietBF Homepage Autoscroll

VietBF Video Autoscroll Portal

USA News Autoscroll Portall

VietBF WORLD Autoscroll Portal

Home Classic

Super Widescreen

iPad World Portal Autoscroll

iPad USA Portal Autoscroll

Phim Bộ Online

Tin nóng nhất 24h qua

Tin nóng nhất 3 ngày qua

Tin nóng nhất 7 ngày qua

Tin nóng nhất 30 ngày qua

Albums

Total Videos Online
Lên đầu Xuống dưới Lên 3000px Xuống 3000px

Tranh luận sôi nổi nhất 7 ngày qua

Tranh luận sôi nổi nhất 14 ngày qua

Tranh luận sôi nổi nhất 30 ngày qua

10.000 Tin mới nhất

Tin tức Hoa Kỳ

Tin tức Công nghệ
Lên đầu Xuống dưới Lên 3000px Xuống 3000px

Super News

School Cooking Traveling Portal

Enter Portal

Series Shows and Movies Online

Home Classic Master Page

Donation Ủng hộ $3 cho VietBF
Lên đầu Xuống dưới Lên 3000px Xuống 3000px
Diễn Đàn Người Việt Hải Ngoại. Tự do ngôn luận, an toàn và uy tín. Vì một tương lai tươi đẹp cho các thế hệ Việt Nam hãy ghé thăm chúng tôi, hãy tâm sự với chúng tôi mỗi ngày, mỗi giờ và mỗi giây phút có thể. VietBF.Com Xin cám ơn các bạn, chúc tất cả các bạn vui vẻ và gặp nhiều may mắn.
Welcome to Vietnamese American Community, Vietnamese European, Canadian, Australian Forum, Vietnamese Overseas Forum. Freedom of speech, safety and prestige. For a beautiful future for Vietnamese generations, please visit us, talk to us every day, every hour and every moment possible. VietBF.Com Thank you all and good luck.

Lên đầu Xuống dưới Lên 3000px Xuống 3000px

All times are GMT. The time now is 08:26.
VietBF - Vietnamese Best Forum Copyright ©2005 - 2026
User Alert System provided by Advanced User Tagging (Pro) - vBulletin Mods & Addons Copyright © 2026 DragonByte Technologies Ltd.
Log Out Unregistered

Page generated in 0.09808 seconds with 13 queries