HOME-Au
HOME-Au
24h
24h
USA
USA
GOP
GOP
Phim Bộ
Phim Bộ
Videoauto
VIDEO-Au
Home Classic
Home Classic
Donation
Donation
News Book
News Book
News 50
News 50
worldautoscroll
WORLD-Au
Breaking
Breaking
 

Go Back   VietBF > Other News|Tin Khác > School | Kiến thức > School | Kiến thức 2006-2019


 
 
Thread Tools
  #1  
Old  Default Những người thích ăn cay nên đọc bài viết sau
Ớt là một gia vị trong bữa ăn. Nhưng đă là gia vị chỉ nên "thoang thoảng" thôi. Nhiều người ăn quá cay không có lợi cho sức khỏe. Câu chuyện sau đây giúp những người ăn cay quá nên lưu ư.

Sau khi ăn loại ớt cay nhất thế giới, người đàn ông mắc phải hàng loạt chứng bệnh liên quan tới năo bộ phải nhập viện điều trị.

Người đàn ông 34 tuổi, tham gia một cuộc thi ăn ớt cay nhất thế giới tại New York. Sau khi trải nghiệm loại ớt này, anh mắc phải những cơn đau dữ dội ở đầu và cổ. Ngay lập tức, anh này được đưa tới bệnh viện để cấp cứu.

Tiến sĩ Kulothungan Gunasekaran, công tác tại Bệnh viện Henry Ford ở Detroit, Mỹ cho biết: "Bệnh nhân ăn những thứ rất cay và ngay lập tức cảm thấy đau đầu như búa bổ. Theo báo cáo của nhân viên y tế sơ cứu, cơn đau bắt đầu ở phần sau của đầu và lan nhanh chỉ trong ṿng hai giây".



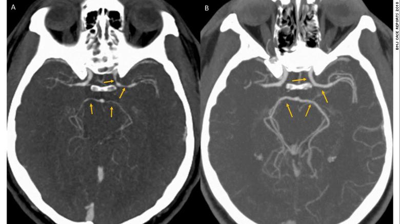
H́nh ảnh chụp CT năo bộ của người đàn ông ở Bệnh viện Henry Ford, Mỹ. (Ảnh: CNN)

Theo Tạp chí BMJ Case Reports, ngay khi người này tới bệnh viện, các bác sĩ thực hiện khám lâm sàng và xét nghiệm để chẩn đoán bệnh. Tuy nhiên, các kết quả trả về khiến bác sĩ bối rối.

Bệnh nhân không có bất cứ sự tổn hại về thần kinh nào hay có triệu chứng của một cơn đột quỵ năo. H́nh ảnh chụp CT cũng loại trừ việc anh này có cục máu đông hoặc bị chảy máu trong năo.

Vậy, rốt cuộc người đàn ông này mắc chứng bệnh ǵ?

Theo các bác sĩ điều trị, thông qua ảnh chụp CT, họ phát hiện ra một điều lạ lùng: Các động mạch cảnh bên trái và bốn mạch máu khác cung cấp máu cho năo đều bị thu hẹp hơn so với người b́nh thường.

Từ đây, bác sĩ Gunasekaran và các đồng nghiệp đưa ra được kết luận: Bệnh nhân trên đă mắc phải mắc hội chứng co thắt mạch máu co giật hồi phục (hay c̣n gọi là RCVS) do ăn ớt quá cay nóng.



Ăn loại ớt cay nhất thế giới có thể khiến bệnh nhân bị những cơn đau đầu dữ dội

Theo bác sĩ Anne Ducros, chuyên gia thần kinh học, người đứng đầu nhóm nghiên cứu về chứng đau nửa đầu và đau đầu, hội chứng RCVS đặc trưng bởi cơn đau đầu "sấm sét". Bệnh nhân bị đau đầu dữ dội do sự co thắt của các mạch máu trong năo.

Chuyên gia này cho biết, bệnh thường liên quan đến một số loại thuốc như ergotamine hoặc triptans, và các loại chất bất hợp pháp như cocaine và amphetamines. Đây là lần đầu tiên các bác sĩ tiếp nhận một trường hợp bệnh nhân mắc hội chứng này do ăn ớt rất cay.

Theo bác sĩ Ducros, bệnh thường bộc phát và tự khỏi sau vài ngày, nhưng bệnh viện cũng từng ghi nhận các trường hợp mắc bệnh nặng, đe dọa tới mạng sống bởi v́ khi đó, bệnh gây ra chứng đột quỵ hoặc chảy máu năo.

Các chuyên gia cho biết, bệnh RCVS gây ra bởi ớt cay v́ trong loại gia vị này có nồng độ capsaicin cao. Đây là một chất hóa học gây cảm giác cay nóng trong thực phẩm. Chất này thường gây co thắt các mạch máu ở một số bộ phận của cơ thể người, thậm chí từng được sử dụng với nồng độ thấp trong một số loại thuốc.

“Thật không may, bệnh này vẫn chưa được biết đến rộng răi, và chúng có thể gây nguy hiểm cho con người nếu như không nhận thức nó một cách đúng đắn”, bác sĩ Ducros cho biết.

Về phần người đàn ông 34 tuổi, sau 5 ngày điều trị tại bệnh viện, t́nh trạng co thắt mạch máu năo của anh này được điều trị dứt điểm. Đến nay, anh đă được xuất viện, khỏe mạnh.
VIETBF Diễn Đàn Hay Nhất Của Người Việt Nam

HOT NEWS 24h

HOT 3 Days

NEWS 3 Days

HOT 7 Days

NEWS 7 Days

HOME

Breaking News

VietOversea

World News

Business News

Car News

Computer News

Game News

USA News

Mobile News

Music News

Movies News

History

Thơ Ca

Sport News

Stranger Stories

Comedy Stories

Cooking Chat

Nice Pictures

Fashion

School

Travelling

Funny Videos

Canada Tin Hay

USA Tin Hay

VietBF Homepage Autoscroll

VietBF Video Autoscroll Portal

Home Classic

Home Classic Master Page



pizza
R11 Tuyệt Thế Thiên Hạ
Release: 04-10-2018
Reputation: 237154


Profile:
Join Date: Sep 2014
Posts: 106,955
Last Update: None Rating: None
Attached Thumbnails
Click image for larger version

Name:	122.jpg
Views:	0
Size:	51.3 KB
ID:	1201770   Click image for larger version

Name:	121.jpg
Views:	0
Size:	56.1 KB
ID:	1201771  
pizza_is_offline
Thanks: 7
Thanked 8,106 Times in 7,216 Posts
Mentioned: 6 Post(s)
Tagged: 0 Thread(s)
Quoted: 41 Post(s)
Rep Power: 129
pizza Reputation Uy Tín Level 10pizza Reputation Uy Tín Level 10pizza Reputation Uy Tín Level 10pizza Reputation Uy Tín Level 10pizza Reputation Uy Tín Level 10pizza Reputation Uy Tín Level 10pizza Reputation Uy Tín Level 10
pizza Reputation Uy Tín Level 10pizza Reputation Uy Tín Level 10pizza Reputation Uy Tín Level 10pizza Reputation Uy Tín Level 10pizza Reputation Uy Tín Level 10pizza Reputation Uy Tín Level 10pizza Reputation Uy Tín Level 10pizza Reputation Uy Tín Level 10pizza Reputation Uy Tín Level 10pizza Reputation Uy Tín Level 10pizza Reputation Uy Tín Level 10pizza Reputation Uy Tín Level 10pizza Reputation Uy Tín Level 10pizza Reputation Uy Tín Level 10pizza Reputation Uy Tín Level 10pizza Reputation Uy Tín Level 10pizza Reputation Uy Tín Level 10pizza Reputation Uy Tín Level 10pizza Reputation Uy Tín Level 10pizza Reputation Uy Tín Level 10pizza Reputation Uy Tín Level 10pizza Reputation Uy Tín Level 10
 
User Tag List


Thời mafia lộng hành: Donald Trump và Vladimir Putin biến nền ngoại giao cổ điển trở thành chuyện làm ăn Sáu câu hỏi của thế hệ sau chiến tranh: Giải phóng ai, giải phóng khỏi điều ǵ? Báo động ngành nails: 5 người bị bắt, 2 tiệm niêm phong, chủ đối mặt án tù v́ thuê người không giấy tờ
VinFast ở North Carolina đứng trước nguy cơ bị “thu hồi đất vàng”, Vingroup quay xe sang Ấn Độ với canh bạc 3 tỷ USD Bệnh khoe của và cơn nghiện “chứng tỏ ḿnh” của người Việt thời mạng xă hội Khi Nhật Bản đứng trước cám dỗ hạt nhân: Bao lâu nữa Tokyo phải tự vơ trang?
Sài G̣n “chập mạch” dễ thương: thành phố không thiếu tiền, chỉ dư t́nh người Zelensky tuyên bố sẵn sàng bầu cử giữa làn đạn, bác cáo buộc “trốn phiếu” của Trump Lời hứa muộn màng của người lính cũ
Khi doanh nghiệp Mỹ nổi loạn v́ thuế quan Trump muốn học mô h́nh hưu trí “super” của Úc: Bắt buộc tiết kiệm cho tuổi già Từ cô thợ nails tị nạn đến chủ nhân căn nhà đắt nhất Atlanta
Thuế mới, phố vắng, chợ buồn: Nếu tiểu thương gục ngă, ai bán hàng cho 100 triệu dân? K+ khép lại sau 16 năm: Đế chế bóng đá trả tiền tàn cuộc chơi Người Vợ Lực Lượng Đặc Biệt – Hồi ức về Thiếu Tá Hồ Đăng Nhựt trong mùa Quốc Nạn
Viên tướng nhỏ thó gánh oan khiên Mậu Thân John Riordan – người Mỹ quay lại Sài G̣n để cứu 105 người Việt Evergrande: Từ đế chế số 1 đến quả bom nợ – Bài học nào cho Việt Nam?
Campuchia: Từ Thiên Đường Angkor Đến “Công Xưởng Tội Phạm” Của Mafia Trung Quốc Cuộc Xâm Lược Cuối Cùng Của Trung Quốc Và Trang Sử Bị Xóa Khỏi Kư Ức Việt Nam V́ Sao Số Nhà Ở Mỹ “Nhảy Cóc”? Giải Mă Từ House Number Đến ZIP Code
David Thái, Highlands Coffee Và Những Hành Tŕnh “Đi Rồi Trở Về” Của Thuyền Nhân Việt V́ Sao Quân Đội Trung Quốc Không Đảo Chính? “Đảng Chỉ Huy Quân Đội” Và Nỗi Sợ Được Thể Chế Hóa Tâm Lư Vọng Ngoại Và Căn Bệnh “Bụt Nhà Không Thiêng”
Từ Giọt Nước Mắt Của Mẹ Đến Đế Chế Zara: Hành Tŕnh Của Amancio Ortega “Tâm Hồn Nga” Và Cơn Say Đế Quốc: Từ Crimea Đến Putin “Bên kia vĩ tuyến” và lời tự thú của một Bắc Kỳ 1985
Hiệu ứng Elon Musk: Khi một CEO “tham chính” làm Tesla mất hơn một triệu chiếc xe Điện thoại – phát minh bắt đầu từ một lời gọi yêu thương Thứ trưởng Cao Hùng và nỗi buồn ḥa hợp dân tộc: Không thể không nói
Mười phát minh vĩ đại của người Hồi giáo đă âm thầm làm nên thế giới hiện đại Bẻ găy “chiến dịch” báng bổ tiền nhân: Lịch sử Việt Nam giữa hai cách kể Từ “janitor da đen” đến người cứu sống vạn “em bé xanh”
Cơn mê “phục sinh Liên Xô”: Hoang tưởng đế quốc trong kỷ nguyên mạng xă hội Trung Quốc có c̣n xă hội chủ nghĩa không – hay chỉ là tư bản thân hữu khoác áo đỏ? Kỷ nguyên Tô Lâm: Thiên tai, tham nhũng và những vết nứt dẫn tới sụp đổ

 
Lên đầu Xuống dưới Lên 3000px Xuống 3000px

iPad Videos Portal Autoscroll

VietBF Music Portal Autoscroll

iPad News Portal Autoscroll

VietBF Homepage Autoscroll

VietBF Video Autoscroll Portal

USA News Autoscroll Portall

VietBF WORLD Autoscroll Portal

Home Classic

Super Widescreen

iPad World Portal Autoscroll

iPad USA Portal Autoscroll

Phim Bộ Online

Tin nóng nhất 24h qua

Tin nóng nhất 3 ngày qua

Tin nóng nhất 7 ngày qua

Tin nóng nhất 30 ngày qua

Albums

Total Videos Online
Lên đầu Xuống dưới Lên 3000px Xuống 3000px

Tranh luận sôi nổi nhất 7 ngày qua

Tranh luận sôi nổi nhất 14 ngày qua

Tranh luận sôi nổi nhất 30 ngày qua

10.000 Tin mới nhất

Tin tức Hoa Kỳ

Tin tức Công nghệ
Lên đầu Xuống dưới Lên 3000px Xuống 3000px

Super News

School Cooking Traveling Portal

Enter Portal

Series Shows and Movies Online

Home Classic Master Page

Donation Ủng hộ $3 cho VietBF
Lên đầu Xuống dưới Lên 3000px Xuống 3000px
Diễn Đàn Người Việt Hải Ngoại. Tự do ngôn luận, an toàn và uy tín. V́ một tương lai tươi đẹp cho các thế hệ Việt Nam hăy ghé thăm chúng tôi, hăy tâm sự với chúng tôi mỗi ngày, mỗi giờ và mỗi giây phút có thể. VietBF.Com Xin cám ơn các bạn, chúc tất cả các bạn vui vẻ và gặp nhiều may mắn.
Welcome to Vietnamese American Community, Vietnamese European, Canadian, Australian Forum, Vietnamese Overseas Forum. Freedom of speech, safety and prestige. For a beautiful future for Vietnamese generations, please visit us, talk to us every day, every hour and every moment possible. VietBF.Com Thank you all and good luck.

Lên đầu Xuống dưới Lên 3000px Xuống 3000px

All times are GMT. The time now is 04:54.
VietBF - Vietnamese Best Forum Copyright ©2005 - 2025
User Alert System provided by Advanced User Tagging (Pro) - vBulletin Mods & Addons Copyright © 2025 DragonByte Technologies Ltd.
Log Out Unregistered

Page generated in 0.11762 seconds with 13 queries