HOME-Au
HOME-Au
24h
24h
USA
USA
GOP
GOP
Phim Bộ
Phim Bộ
Videoauto
VIDEO-Au
Donation
Donation
News Book
News Book
News 50
News 50
worldautoscroll
WORLD-Au
Breaking
Breaking
 

Go Back   VietBF > World > Vietnam News | Tin Việt Nam > 2005-2023 Vietnam News


 
Thread Tools
 
 
  #1  
Old  Default Bác sĩ không tin nổi bản cắt lớp này là của người!
Một người đàn ông đã khiến các bác sĩ phải choáng ngợp. Họ cho hay chưa từng gặp trường hợp này trước đây. Bệnh nhân vẫn sống khỏe mạnh ngay cả khi không có thận.

Nam bệnh nhân giấu tên 18 tuổi, đến từ Ấn Độ. Anh đến bệnh viện để kiểm tra các vấn đề đường ruột và được chỉ định chụp cắt lớp (CT). Các bác sĩ đã không thể tin nổi khi nhìn vào các tấm phim: bệnh nhân này không hề có 2 quả thận, cho dù hệ tiết niệu của anh vẫn hoàn toàn khỏe mạnh.


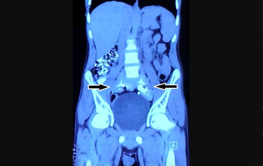
Cấu trúc tròn nhỏ giữa 2 mũi tên là quả thận bị hợp nhất của nam bệnh nhân - ảnh: BMJ Case Report

Thay vào đó, phía trên bàng quang của nam thanh niên có một cấu trúc kỳ lạ trông như một chiếc đĩa mà các bác sĩ điều trị chưa từng thấy trong cơ thể người.

Các bác sĩ đến từ Đại học Y khoa Maulana Azad (New Delhi- Ấn Độ) đã kiểm tra kỹ lưỡng hơn và xác định cấu trúc kỳ lạ kia chính là 1 quả thận. Đó là một dị tật bẩm sinh khi còn trong bào thai. Không chỉ 2 quả thận bị nhập làm 1, nó còn nằm ở vị trí thấp hơn so với thận thông thường.

Đáng ngạc nhiên là hiện tại cấu trúc thận kỳ lạ không gây bất kỳ vấn đề sức khỏe nào cho anh này. Tuy nhiên, các chuyên gia lo ngại rằng trong tương lai, anh này sẽ có nguy cơ phát triển bệnh ung thư, ví dụ như khối u Wilms, ung thư biểu mô tế bào thận… cao gấp đôi người thường. Vì vậy bệnh nhân cần lên kế hoạch sàng lọc những bệnh này cẩn thận hơn trong tương lai.

Do quả thận kỳ lạ không gây rắc rối nên các bác sĩ không can thiệp gì lên nó, sau khi trị chứng bệnh về ruột, nam thanh niên được cho xuất viện.

Ca bệnh trên vừa được công bố trên tạp chí BMJ Case Reports.

Bình luận về ca bệnh trên Live Science, giáo sư – tiến sĩ Steven Chang, một phẫu thuật viên tiết niệu tại Bệnh viện Brigham and Women’s (Boston, Massachusetts- Mỹ) cho biết nam bệnh nhân nói trên cũng như nhiều người mắc các dị tật nội tạng khác vẫn có cơ hội cao, sống bình yên cả đời với cấu trúc cơ thể độc đáo của mình.

Giáo sư Chang nhận định 2 quả thận hợp nhất là tình trạng cực kỳ hiếm gặp và thường có hợp nhất cũng chỉ hợp nhất phần đáy, tạo thành một quả thận hình móng ngựa. Riêng người đàn ông này, cả đầu và đáy thận đều bị hợp nhất.

Sự hợp nhất này dẫn đến sự lệch hướng nhẹ trong đường dẫn của thận đến các cơ quan khác và thay đổi vị trí của nó trong cơ thể, xuống thấp hơn, nằm gần xương chậu hơn.

Ngoài ung thư, người có 2 quả thận hợp nhất cũng có thể gặp các rắc rối nhỏ, ví dụ dễ nhiễm trùng đường tiểu hơn, đễ bị sỏi thận… vì vị trí đặc biệt của các quả thận hợp nhất có thể khiến nó gặp khó khăn trong quá trình thoát nước.

VietBF © Sưu Tầm
Dịch trang: EnglishEnglish DeutschDeutsch FrançaisFrançais EspañolEspañol ItalianoItaliano PortuguêsPortuguês
NorskNorsk NederlandsNederlands DanskDansk SuomiSuomi PolskiPolski ČeštinaČeština РусскийРусский
日本語日本語 한국어한국어 中文(简体)中文(简体) 中文(繁體)中文(繁體) MagyarMagyar TürkçeTürkçe
العربيةالعربية ไทยไทย LatinaLatina हिन्दीहिन्दी Bahasa IndonesiaBahasa Indonesia Bahasa MelayuBahasa Melayu
VIETBF Hybrid Community Content Hub

HOT NEWS 24h

HOT 3 Days

NEWS 3 Days

HOT 7 Days

NEWS 7 Days

HOME

Breaking News

VietOversea

World News

Business News

Car News

Computer News

Game News

USA News

Mobile News

Music News

Movies News

History

Thơ Ca

Sport News

Stranger Stories

Comedy Stories

Cooking Chat

Nice Pictures

Fashion

School

Travelling

Funny Videos

Canada Tin Hay

USA Tin Hay

VietBF Homepage Autoscroll

VietBF Video Autoscroll Portal

Video Classic Master

iPad News Portal

VietBF iPad Music Portal

Tin nóng nhất 50h qua

Phim Bộ Online

Phim Bộ



TinNhanh247
R9 Tuyệt Đỉnh Tôn Sư
Release: 10-12-2018
Reputation: 14061


Profile:
Join Date: Oct 2014
Posts: 38,886
Last Update: None Rating: None
Attached Thumbnails
Click image for larger version

Name:	405.1.jpg
Views:	0
Size:	40.0 KB
ID:	1286578  
TinNhanh247_is_offline
Thanks: 16
Thanked 1,800 Times in 1,638 Posts
Mentioned: 3 Post(s)
Tagged: 0 Thread(s)
Quoted: 11 Post(s)
Rep Power: 50
TinNhanh247 Reputation Uy Tín Level 6
TinNhanh247 Reputation Uy Tín Level 6TinNhanh247 Reputation Uy Tín Level 6TinNhanh247 Reputation Uy Tín Level 6TinNhanh247 Reputation Uy Tín Level 6TinNhanh247 Reputation Uy Tín Level 6TinNhanh247 Reputation Uy Tín Level 6TinNhanh247 Reputation Uy Tín Level 6TinNhanh247 Reputation Uy Tín Level 6TinNhanh247 Reputation Uy Tín Level 6TinNhanh247 Reputation Uy Tín Level 6TinNhanh247 Reputation Uy Tín Level 6TinNhanh247 Reputation Uy Tín Level 6TinNhanh247 Reputation Uy Tín Level 6TinNhanh247 Reputation Uy Tín Level 6TinNhanh247 Reputation Uy Tín Level 6TinNhanh247 Reputation Uy Tín Level 6TinNhanh247 Reputation Uy Tín Level 6
Dịch trang: EnglishEnglish DeutschDeutsch FrançaisFrançais EspañolEspañol ItalianoItaliano PortuguêsPortuguês
NorskNorsk NederlandsNederlands DanskDansk SuomiSuomi PolskiPolski ČeštinaČeština РусскийРусский
日本語日本語 한국어한국어 中文(简体)中文(简体) 中文(繁體)中文(繁體) MagyarMagyar TürkçeTürkçe
العربيةالعربية ไทยไทย LatinaLatina हिन्दीहिन्दी Bahasa IndonesiaBahasa Indonesia Bahasa MelayuBahasa Melayu
 
User Tag List



 

iPad Videos Portal Autoscroll

VietBF Music Portal Autoscroll

iPad News Portal Autoscroll

VietBF Homepage Autoscroll

VietBF Video Autoscroll Portal

USA News Autoscroll Portall

VietBF WORLD Autoscroll Portal

Video Classic Master Page

Super Widescreen

iPad World Portal Autoscroll

iPad USA Portal Autoscroll

Phim Bộ Online
Lên đầu Xuống dưới Lên 3000px Xuống 3000px

Tin nóng nhất 24h qua

Tin nóng nhất 3 ngày qua

Tin nóng nhất 7 ngày qua

Tin nóng nhất 30 ngày qua

Albums

Total Videos Online

Tranh luận sôi nổi nhất 7 ngày qua

Tranh luận sôi nổi nhất 14 ngày qua

Tranh luận sôi nổi nhất 30 ngày qua

10.000 Tin mới nhất

Tin tức Hoa Kỳ

Tin tức Công nghệ
Lên đầu Xuống dưới Lên 3000px Xuống 3000px

Duo Series Movies Portal

Duo Music Portal

Phim Bộ

Tỷ Giá

Thời Tiết

Tin Nóng Nhất 50h

Super News

School Cooking Traveling Portal

Enter Portal

Series Shows and Movies Online

Home Classic Master Page

Donation Ủng hộ $3 cho VietBF
Lên đầu Xuống dưới Lên 3000px Xuống 3000px
Diễn Đàn Người Việt Hải Ngoại. Tự do ngôn luận, an toàn và uy tín. Vì một tương lai tươi đẹp cho các thế hệ Việt Nam hãy ghé thăm chúng tôi, hãy tâm sự với chúng tôi mỗi ngày, mỗi giờ và mỗi giây phút có thể. VietBF.Com Xin cám ơn các bạn, chúc tất cả các bạn vui vẻ và gặp nhiều may mắn.
Welcome to Vietnamese American Community, Vietnamese European, Canadian, Australian Forum, Vietnamese Overseas Forum. Freedom of speech, safety and prestige. For a beautiful future for Vietnamese generations, please visit us, talk to us every day, every hour and every moment possible. VietBF.Com Thank you all and good luck.

Lên đầu Xuống dưới Lên 3000px Xuống 3000px

All times are GMT. The time now is 03:14.
VietBF - Vietnamese Best Forum Copyright ©2005 - 2026
User Alert System provided by Advanced User Tagging (Pro) - vBulletin Mods & Addons Copyright © 2026 DragonByte Technologies Ltd.
Log Out Unregistered

Page generated in 0.11717 seconds with 13 queries