HOME-Au
HOME-Au
24h
24h
USA
USA
GOP
GOP
Phim Bộ
Phim Bộ
Videoauto
VIDEO-Au
Home Classic
Home Classic
Donation
Donation
News Book
News Book
News 50
News 50
worldautoscroll
WORLD-Au
Breaking
Breaking
 

Go Back   VietBF > Other News|Tin Khác > School | Kiến thức > School | Kiến thức 2006-2019


 
 
Thread Tools
  #1  
Old  Arrow Sốc tận óc khi biết nguyên nhân liệt nửa người
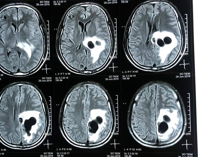
Chỉ là những dấu hiệu bình thường nhưng lại khiến người này bị liệt nửa người. Đau đầu, buồn nôn, sốt, tê liệt nửa người, ông S. được người nhà đưa đến bệnh viện. Kết quả kiểm tra cho thấy bệnh nhân có 5 ổ sán rải rác trong não, gây phù não. Đây chính là nguyên nhân dẫn tới các triệu chứng trên.


Ngày 4/7, thông tin từ Bệnh viện Hữu nghị đa khoa Nghệ An, sau ca mổ để xử lý triệt để các ổ sán làm tổ trong não, sức khỏe bệnh nhân Lô Văn S. (SN 1981, trú huyện Quỳ Hợp, Nghệ An) đang hồi phục tốt .


Hình ảnh chụp CT cho thấy có nhiều ổ sán nằm rải rác trong não bệnh nhân (ảnh BVĐKNA).
Cuối tháng 6/2019, bệnh nhân được người nhà đưa đến bệnh viện trong tình trạng đau đầu nhiều, buồn nôn, sốt, tê yếu nửa người, tri giác chậm. Các triệu chứng này xuất hiện 1 tháng trước đó, bệnh nhân đã được cho sử dụng các loại thuốc giảm đau nhưng không hiệu quả.

Kết quả chụp CT cho thấy có 5 ổ sán nằm rải rác trong não bệnh nhân, trong đó có một ổ sán lớn trên đỉnh, gây phù não. Bệnh nhân được chỉ định can thiệp ngoại khoa để lấy trọn vẹn ổ nang sán khỏi não. Sau mổ, bệnh nhân hồi phục, tỉnh táo, không liệt, đi lại và sinh hoạt bình thường.

Hiện tại, bệnh nhân S. đang được tiếp tục điều trị thuốc đặc trị sán.

Theo các bác sỹ, kén sán não là bệnh nhiễm trùng hệ thần kinh do ấu trùng sán sống ký sinh ở người gây ra. Bệnh thường gặp ở người dân nơi có mức sống thấp, điều kiện vệ sinh môi trường kém, vùng có tập quán nuôi lợn thả rông hoặc ăn thịt lợn chưa nấu chín.

Người bị nhiễm trùng hệ thần kinh do ấu trùng sán nếu không được can thiệp kịp thời có thể gây ra những hậu quả nặng nề về sức khỏe, khả năng vận động... Do vậy, để phòng bệnh, các bác sỹ khuyến cáo người dân ăn chín, uống sôi, tuyệt đối không ăn tiết canh, gỏi sống...
VIETBF Diễn Đàn Hay Nhất Của Người Việt Nam

HOT NEWS 24h

HOT 3 Days

NEWS 3 Days

HOT 7 Days

NEWS 7 Days

HOME

Breaking News

VietOversea

World News

Business News

Car News

Computer News

Game News

USA News

Mobile News

Music News

Movies News

History

Thơ Ca

Sport News

Stranger Stories

Comedy Stories

Cooking Chat

Nice Pictures

Fashion

School

Travelling

Funny Videos

Canada Tin Hay

USA Tin Hay

VietBF Homepage Autoscroll

VietBF Video Autoscroll Portal

Home Classic

Home Classic Master Page



sunshine1104
R10 Vô Địch Thiên Hạ
Release: 07-05-2019
Reputation: 25190


Profile:
Join Date: Feb 2015
Posts: 80,031
Last Update: None Rating: None
Attached Thumbnails
Click image for larger version

Name:	93.jpg
Views:	0
Size:	75.7 KB
ID:	1412885  
sunshine1104_is_offline
Thanks: 4
Thanked 4,051 Times in 3,567 Posts
Mentioned: 4 Post(s)
Tagged: 0 Thread(s)
Quoted: 22 Post(s)
Rep Power: 92
sunshine1104 Reputation Uy Tín Level 7sunshine1104 Reputation Uy Tín Level 7
sunshine1104 Reputation Uy Tín Level 7sunshine1104 Reputation Uy Tín Level 7sunshine1104 Reputation Uy Tín Level 7sunshine1104 Reputation Uy Tín Level 7sunshine1104 Reputation Uy Tín Level 7sunshine1104 Reputation Uy Tín Level 7sunshine1104 Reputation Uy Tín Level 7sunshine1104 Reputation Uy Tín Level 7sunshine1104 Reputation Uy Tín Level 7sunshine1104 Reputation Uy Tín Level 7sunshine1104 Reputation Uy Tín Level 7sunshine1104 Reputation Uy Tín Level 7sunshine1104 Reputation Uy Tín Level 7sunshine1104 Reputation Uy Tín Level 7sunshine1104 Reputation Uy Tín Level 7sunshine1104 Reputation Uy Tín Level 7sunshine1104 Reputation Uy Tín Level 7sunshine1104 Reputation Uy Tín Level 7sunshine1104 Reputation Uy Tín Level 7
 
User Tag List


Tướng tình báo Venezuela tiết lộ mạng lưới ma túy – gián điệp cắm sâu vào nước Mỹ? 5 tiểu bang lạnh nhất nước Mỹ (trừ Alaska) – và những nơi mùa đông ‘dễ thở’ cho người Việt Đàm phán Miami: Trump sốt ruột tìm hòa bình, Putin ung dung chờ thắng chậm
Khi Trump tái khởi động ‘chiến tranh ma túy’: từ tàu ma túy bị bắn chìm đến nỗi mất ngủ ở Caracas Mỹ thời Trump: Trục xuất người Iran về ‘địa ngục’, rồi dùng drone Iran để đánh Iran Donald Trump và học thuyết mới: Mỹ không còn làm ‘cảnh sát toàn cầu’
GDP giảm 0,1% và những con người mất trắng 100% sau bão lũ Michael và Susan Dell donate 6,25 tỷ USD vào “Tài khoản Trump”: Kho báu cho trẻ em Mỹ hay chỉ là cú khuyến đẻ kể cho vui? Đường sắt cao tốc 61 tỷ USD và ‘doanh nhân xù nợ’ 30 triệu
Những chuyện hài hước nhất hôm nay Mailisa bất ngờ “đóng cửa” giữa bão điều tra: Đế chế làm đẹp nghìn tỷ khép lại MAGA Đen - MAGA Đỏ - Giấc mơ đế chế dữ liệu của Peter Thiel và giới trọc phú công nghệ
Ánh đèn hiên nhà trong đêm bão tuyết: câu chuyện Lễ Tạ Ơn kỳ diệu sau 41 năm Xả súng gần Nhà Trắng: Bi kịch Lễ Tạ Ơn và cuộc chơi chính trị của Trump với hồ sơ di dân Afghanistan Từ Frankenstein đến Game of Drones: Khi công nghệ biến chiến tranh thành cuộc hỗn loạn vĩnh viễn
Biển lửa Wang Fuk Court: 65 người chết, Hồng Kông choáng váng trước “thảm họa giàn giáo tre” Biển lửa Wang Fuk Court: Thảm họa người già Hồng Kông và cuộc điều tra “sự cứu thả chết người” Chết cháy hàng loạt tại Hồng Kông, các toà nhà biến thành địa ngục, hàng trăm người mất tích
Black Friday ảm đạm ngoài phố, rực lửa trên livestream: Người Việt đổi kiểu săn sale Cánh tay phải của Zelensky ngã ngựa: Ukraine bị ép chọn giữa danh dự và đồng minh Tryptophan trên tiểu hành tinh Bennu: Phát hiện mới cho thấy “công thức sự sống” đến từ vũ trụ
Trump, Donetsk và “thỏa thuận không thể”: Ukraine bị ép vào góc hẹp của một nền hòa bình đẫm máu Từ Stalin tới Putin: 86 năm sau, bóng ma chiến tranh mùa đông vẫn ám ảnh đế quốc Nga Putin khen kế hoạch hòa bình của Mỹ nhưng dọa chiếm thêm đất nếu Kyiv không rút quân
Trump siết nhập cư sau vụ nổ súng: Rà soát toàn bộ thẻ xanh từ 19 “quốc gia đáng lo ngại” Thảm họa cháy chung cư ở Hong Kong: 128 người chết, hàng trăm người mất tích và những câu hỏi nhức nhối Cô gái Brazil bị trục xuất và nghịch lý cay đắng ngay trong gia đình phát ngôn viên Nhà Trắng

 
Lên đầu Xuống dưới Lên 3000px Xuống 3000px

iPad Videos Portal Autoscroll

VietBF Music Portal Autoscroll

iPad News Portal Autoscroll

VietBF Homepage Autoscroll

VietBF Video Autoscroll Portal

USA News Autoscroll Portall

VietBF WORLD Autoscroll Portal

Home Classic

Super Widescreen

iPad World Portal Autoscroll

iPad USA Portal Autoscroll

Phim Bộ Online

Tin nóng nhất 24h qua

Tin nóng nhất 3 ngày qua

Tin nóng nhất 7 ngày qua

Tin nóng nhất 30 ngày qua

Albums

Total Videos Online
Lên đầu Xuống dưới Lên 3000px Xuống 3000px

Tranh luận sôi nổi nhất 7 ngày qua

Tranh luận sôi nổi nhất 14 ngày qua

Tranh luận sôi nổi nhất 30 ngày qua

10.000 Tin mới nhất

Tin tức Hoa Kỳ

Tin tức Công nghệ
Lên đầu Xuống dưới Lên 3000px Xuống 3000px

Super News

School Cooking Traveling Portal

Enter Portal

Series Shows and Movies Online

Home Classic Master Page

Donation Ủng hộ $3 cho VietBF
Lên đầu Xuống dưới Lên 3000px Xuống 3000px
Diễn Đàn Người Việt Hải Ngoại. Tự do ngôn luận, an toàn và uy tín. Vì một tương lai tươi đẹp cho các thế hệ Việt Nam hãy ghé thăm chúng tôi, hãy tâm sự với chúng tôi mỗi ngày, mỗi giờ và mỗi giây phút có thể. VietBF.Com Xin cám ơn các bạn, chúc tất cả các bạn vui vẻ và gặp nhiều may mắn.
Welcome to Vietnamese American Community, Vietnamese European, Canadian, Australian Forum, Vietnamese Overseas Forum. Freedom of speech, safety and prestige. For a beautiful future for Vietnamese generations, please visit us, talk to us every day, every hour and every moment possible. VietBF.Com Thank you all and good luck.

Lên đầu Xuống dưới Lên 3000px Xuống 3000px

All times are GMT. The time now is 08:40.
VietBF - Vietnamese Best Forum Copyright ©2005 - 2025
User Alert System provided by Advanced User Tagging (Pro) - vBulletin Mods & Addons Copyright © 2025 DragonByte Technologies Ltd.
Log Out Unregistered

Page generated in 0.11086 seconds with 13 queries