HOME-Au
HOME-Au
24h
24h
USA
USA
GOP
GOP
Phim Bộ
Phim Bộ
Videoauto
VIDEO-Au
Home Classic
Home Classic
Donation
Donation
News Book
News Book
News 50
News 50
worldautoscroll
WORLD-Au
Breaking
Breaking
 

Go Back   VietBF > World Box| Thế Giới > World News|Tin Thế Giới > World News |Tin Thế Giới 2019-2021


 
 
Thread Tools
  #1  
Old  Default Australia thiết lập thành công phương pháp phát hiện chính xác người nhiễm COVID-19
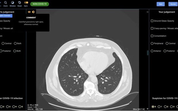
CovED cho phép chẩn đoán chính xác những người nhiễm SARS-CoV-2 nhờ phương pháp phân tích h́nh ảnh chụp cộng hưởng từ (CT) phổi của bệnh nhân.



Các nhà khoa học Australia đă thiết lập thành công một công cụ chẩn đoán h́nh ảnh trí tuệ nhân tạo (AI), hỗ trợ lực lượng nhân viên y tế trong việc xác định chính xác người nhiễm virus SARS-CoV-2 gây dịch bệnh viêm đường hô hấp cấp COVID-19.

Công ty khởi nghiệp DetectED-X, liên kết với Đại học Sydney, đă công bố một công nghệ mới, gọi là CovED, cho phép chẩn đoán chính xác những người nhiễm SARS-CoV-2 nhờ phương pháp phân tích h́nh ảnh chụp cộng hưởng từ (CT) phổi của bệnh nhân.

Giám đốc điều hành DetectED-X, Giáo sư Patrick Brennan, cho biết công nghệ AI mới hỗ trợ các chuyên gia h́nh ảnh trong lĩnh vực y tế, đọc hiểu và phân tích cặn kẽ những ảnh hưởng ở phổi của người được chụp CT, dựa trên một hệ thống AI có khả năng kết luận chính xác về việc liệu người được chẩn đoán có bị nhiễm SARS-CoV-2 hay không. Mọi thao tác và kết quả chuẩn đoán sẽ có sau khoảng một giờ hoạt động.

Giáo sư Brennan nói, bên cạnh các phương pháp xét nghiệm dựa trên phân tích dịch mũi, họng hoặc xét nghiệm máu, phương pháp chụp cộng hưởng từ phổi cũng cho kết quả chính xác về việc liệu người được xét nghiệm có mắc COVID-19 hay không.

Tuy nhiên, số lượng người nghi nhiễm và đă mắc căn bệnh này đang gia tăng nhanh chóng, vượt xa số lượng nhân viên y tế lành nghề cần thiết, đủ khả năng để có thể chẩn đoán chính xác các bức ảnh chụp CT phổi.

Do đó, CovED sẽ cung cấp những phân tích thay thế bác sỹ X-quang, trong t́nh huống có quá nhiều bệnh nhân và không đủ nhân viên y tế, để xác định chính xác tổn thương phổi do virus SARS-CoV-19 gây ra.

Giáo sư Brennan khẳng định công nghệ này đặc biệt có giá trị ở những nước đang phát triển, nơi thiếu hụt lượng lớn các bác sỹ chuẩn đoán h́nh ảnh.

Bên cạnh đó, CovED giúp mọi người không chỉ có được kết luận chẩn đoán COVID-19 chính xác, mà c̣n hỗ trợ phát hiện sớm các trường hợp tổn thương khác, có khả năng đe dọa đến tính mạng người bệnh.

Nền tảng CovED, có thể được truy cập ở bất cứ nơi đâu có kết nối internet, được cung cấp miễn phí và được hỗ trợ bởi các chuyên gia chăm sóc sức khỏe và các tập đoàn đa quốc gia.

VietBF © sưu tầm
VIETBF Diễn Đàn Hay Nhất Của Người Việt Nam

HOT NEWS 24h

HOT 3 Days

NEWS 3 Days

HOT 7 Days

NEWS 7 Days

HOME

Breaking News

VietOversea

World News

Business News

Car News

Computer News

Game News

USA News

Mobile News

Music News

Movies News

History

Thơ Ca

Sport News

Stranger Stories

Comedy Stories

Cooking Chat

Nice Pictures

Fashion

School

Travelling

Funny Videos

Canada Tin Hay

USA Tin Hay

VietBF Homepage Autoscroll

VietBF Video Autoscroll Portal

Home Classic

Home Classic Master Page



therealrtz
R10 Vô Địch Thiên Hạ
Release: 03-30-2020
Reputation: 234470


Profile:
Join Date: Nov 2014
Posts: 91,221
Last Update: None Rating: None
Attached Thumbnails
Click image for larger version

Name:	d.jpg
Views:	0
Size:	40.2 KB
ID:	1555251  
therealrtz_is_offline
Thanks: 28
Thanked 6,715 Times in 5,984 Posts
Mentioned: 4 Post(s)
Tagged: 0 Thread(s)
Quoted: 34 Post(s)
Rep Power: 114
therealrtz Reputation Uy Tín Level 10therealrtz Reputation Uy Tín Level 10therealrtz Reputation Uy Tín Level 10therealrtz Reputation Uy Tín Level 10therealrtz Reputation Uy Tín Level 10therealrtz Reputation Uy Tín Level 10therealrtz Reputation Uy Tín Level 10
therealrtz Reputation Uy Tín Level 10therealrtz Reputation Uy Tín Level 10therealrtz Reputation Uy Tín Level 10therealrtz Reputation Uy Tín Level 10therealrtz Reputation Uy Tín Level 10therealrtz Reputation Uy Tín Level 10therealrtz Reputation Uy Tín Level 10therealrtz Reputation Uy Tín Level 10therealrtz Reputation Uy Tín Level 10therealrtz Reputation Uy Tín Level 10therealrtz Reputation Uy Tín Level 10therealrtz Reputation Uy Tín Level 10therealrtz Reputation Uy Tín Level 10therealrtz Reputation Uy Tín Level 10therealrtz Reputation Uy Tín Level 10therealrtz Reputation Uy Tín Level 10therealrtz Reputation Uy Tín Level 10
The Following User Says Thank You to therealrtz For This Useful Post:
meyeucon (03-30-2020)
 
User Tag List


“Huyền thoại ‘Trung Quốc là Singapore phóng đại’ đang sụp đổ như thế nào?” Trung Tá Nhảy Dù Bùi Quyền: Từ thủ khoa Vơ Bị đến chiếc ghế trống sau 60 năm gặp lại Làm ǵ có “giải phóng” mà tôn vinh “chiến sĩ giải phóng”?
Cuba cá đầy biển, ngư dân vẫn đói: Khi thiên nhiên hào phóng nhưng thể chế “thắt nút cổ chai” Quận Cam: Người già gốc Việt sống trong nhà tiền chế, run rẩy trước mỗi lá thư cảnh cáo Doanh nghiệp châu Âu lặng lẽ tháo chạy khỏi Trung Quốc, nguyên nhân?
Năm tiếng trong Điện Kremlin: Ḥa b́nh Ukraine đang đến gần? Một tổng thống lim dim, một thế giới nín thở Trump, Venezuela và cơn băo “tội ác chiến tranh” ở Washington
5 bí mật trên buồng lái mà phi công hiếm khi kể cho hành khách Đồng chí 3 X và chiếc b́nh xịt gây tê Hồi kư Trịnh Xuân Thanh và thương vụ 50 triệu đô đưa Nguyễn Cao Kỳ về nước
V́ sao Việt Nam vẫn vắng bóng Nobel Văn học? Khi sự thật bị nhào nặn: Nga, Trung Quốc và cuộc chiến bẻ cong h́nh ảnh dân chủ ‘Đổ bộ lên mặt trời ban đêm’ – khi ngu dốt ngồi lên ngai quyền lực
Xuất khẩu lao động – khi một quốc gia đóng gói tương lai của ḿnh gửi ra nước ngoài Vụ kiện chất độc da cam – khi cộng sản Việt Nam tự làm nhục ḿnh trước thế giới Nhiều người hỏi ḿnh: “Qua Mỹ trễ vậy có hối hận không?”
Lũ quét miền Trung, Khánh Hoà, Nha Trang, “kỷ lục của kỷ lục” +video 12 ngày trên đất Mỹ: Những điều mắt thấy tai nghe của một bà mẹ Việt Khi ‘cái tôi’ ph́nh to hơn thực tài của người Việt Cộng
Bài học nhớ đời khi lao vào bán hàng Amazon theo trend Pokémon Nghỉ hưu ở Texas: Thiên đường mới sau ‘giấc mơ California Nơi sóng radio chết lặng và những chuyện không thể giải thích
Bà Ngô Đ́nh Nhu trên tầng 11 Paris: từ ánh đèn Dinh Độc Lập đến căn hộ cô quạnh “Đánh từ sẵn”: một đêm gơ cửa và cả đời bất an của chú Ba Lợi Người thầy tội nghiệp và nỗi đau hai chữ “lưu dung”

 
Lên đầu Xuống dưới Lên 3000px Xuống 3000px

iPad Videos Portal Autoscroll

VietBF Music Portal Autoscroll

iPad News Portal Autoscroll

VietBF Homepage Autoscroll

VietBF Video Autoscroll Portal

USA News Autoscroll Portall

VietBF WORLD Autoscroll Portal

Home Classic

Super Widescreen

iPad World Portal Autoscroll

iPad USA Portal Autoscroll

Phim Bộ Online

Tin nóng nhất 24h qua

Tin nóng nhất 3 ngày qua

Tin nóng nhất 7 ngày qua

Tin nóng nhất 30 ngày qua

Albums

Total Videos Online
Lên đầu Xuống dưới Lên 3000px Xuống 3000px

Tranh luận sôi nổi nhất 7 ngày qua

Tranh luận sôi nổi nhất 14 ngày qua

Tranh luận sôi nổi nhất 30 ngày qua

10.000 Tin mới nhất

Tin tức Hoa Kỳ

Tin tức Công nghệ
Lên đầu Xuống dưới Lên 3000px Xuống 3000px

Super News

School Cooking Traveling Portal

Enter Portal

Series Shows and Movies Online

Home Classic Master Page

Donation Ủng hộ $3 cho VietBF
Lên đầu Xuống dưới Lên 3000px Xuống 3000px
Diễn Đàn Người Việt Hải Ngoại. Tự do ngôn luận, an toàn và uy tín. V́ một tương lai tươi đẹp cho các thế hệ Việt Nam hăy ghé thăm chúng tôi, hăy tâm sự với chúng tôi mỗi ngày, mỗi giờ và mỗi giây phút có thể. VietBF.Com Xin cám ơn các bạn, chúc tất cả các bạn vui vẻ và gặp nhiều may mắn.
Welcome to Vietnamese American Community, Vietnamese European, Canadian, Australian Forum, Vietnamese Overseas Forum. Freedom of speech, safety and prestige. For a beautiful future for Vietnamese generations, please visit us, talk to us every day, every hour and every moment possible. VietBF.Com Thank you all and good luck.

Lên đầu Xuống dưới Lên 3000px Xuống 3000px

All times are GMT. The time now is 02:59.
VietBF - Vietnamese Best Forum Copyright ©2005 - 2025
User Alert System provided by Advanced User Tagging (Pro) - vBulletin Mods & Addons Copyright © 2025 DragonByte Technologies Ltd.
Log Out Unregistered

Page generated in 0.10888 seconds with 13 queries