Các bác sĩ không biết chính xác vì sao Jim Bello bị tổn thương phổi nghiêm trọng và phải dùng máy thở suốt 32 ngày lại có thể hồi phục và ra khỏi bệnh viện trong tiếng reo hò.

Ông Jim Bello (ngoài cùng bên phải) và gia đình trong một lần trượt tuyết. (Ảnh: NYT)
Theo New York Times, Jim Bello (49 tuổi) là một luật sư khỏe mạnh, đã sốt tới 39,5 độ C hồi đầu tháng 3 sau chuyến leo núi ở bang New Hampshire, Mỹ.
Sau vài ngày sốt cao, ông bị ho và tức ngực. Jim đã đến gặp bác sĩ và được kê đơn thuốc kháng sinh điều trị viêm phổi. Nhưng đến ngày 13/3, ông bị khó thở đến mức được đưa tới phòng cấp cứu ở một bệnh viện ngoại ô thành phố Boston. Các bác sĩ nhanh chóng quyết định ông cần sự trợ giúp của máy thở.
Giống nhiều bệnh nhân Covid-19, Jim mắc chứng suy hô hấp cấp tính, hay ARDS. Phổi của ông bị viêm và có nhiều dịch lỏng, khiến các túi khí nhỏ chuyển oxy vào máu không thể hoạt động hiệu quả.
Chỉ sau một đêm, Jim được chuyển đến bệnh viện đa khoa Massachusetts và trở thành bệnh nhân Covid-19 đặt nội khí quản đầu tiên tại bệnh viện này. Như các bệnh nhân đặt nội khí quản khác, Jim được an thần và gây mê để không cố gắng tự thở, cho phép máy thở tiếp quản hoạt động hô hấp.
Các máy thở được được cài đặt thông số chính xác và liên tục điều chỉnh các chỉ số như: nồng độ khí oxy, nhịp thở, cường độ và áp suất. Các bác sĩ nỗ lực để cung cấp đủ áp lực để giữ cho đường thở của bệnh nhân mở nhưng không làm phổi bị căng quá mức và bị tổn thương thêm.
Trường hợp của Jim ban đầu có vẻ đơn giản và dễ chữa trị, Currier, bác sĩ đầu tiên của Jim cho biết. Vào đầu ngày thứ hai sau khi đặt nội khí quản, tình hình của Jim đã có nhiều dấu hiệu cải thiện, với lượng oxy cung cấp qua máy thở chỉ cần ở mức 21%. Nhưng ngay sau đó, tình trạng của ông trở nên tồi tệ một cách khó hiểu, và lượng oxy cần thiết đã được tăng lên đến mức tối đa, 100%.
Nhưng khi ngày trôi qua, nồng độ oxy trong máu của Jim tiếp tục giảm mạnh. Các bác sĩ bắt đầu cho ông dùng các loại thuốc mà nhiều bệnh viện đang thử, trong đó có thuốc chống sốt rét mà Tổng thống Trump thúc đẩy, và statin, một loại thuốc mà cuối cùng đã bị dừng lại vì nó ảnh hưởng đến gan của Jim. Thậm chí, Jim cũng được ghi danh thử nghiệm lâm sàng một loại thuốc chống Covid-19 đang phát triển có tên Remdesivir, dù chưa rõ hiệu lực của thuốc này.
Không thuốc nào hiệu quả. Vì vậy, các bác sĩ đã sử dụng phương pháp oxy hóa máu bằng màng ngoài cơ thể (ECMO). Máy ECMO bơm máu từ cơ thể của bệnh nhân đến phổi nhân tạo để bổ sung O2 và loại bỏ CO2 ra khỏi máu. Vì vậy, nó sẽ thay thế chức năng phổi của người bệnh. Sau đó máy ECMO sẽ bơm máu trở lại cho bệnh nhân với lực bơm bằng với công co bóp của tim, tức là sẽ thay thế chức năng của tim. Một nhóm 8 bác sĩ đã lật Jim về vị trí nằm ngửa, nhét các ống lớn vào cổ và chân, và kết nối ông với một máy tim phổi chuyên dụng.
Rủi ro của phương pháp này có thể bao gồm các biến chứng chảy máu và đột quỵ. Các chuyên gia ECMO phải liên tục đảm bảo rằng lượng máu lưu thông qua máy không quá thấp hoặc quá cao, để bệnh nhân không nhận quá nhiều máu và các động mạch không bị đột quỵ.
Lúc này, phổi của Jim cứng đến mức chỉ số đo độ đàn hồi của phổi của ông chỉ dưới 10, trong khi chỉ số này thường trên 100 với người khỏe mạnh và khoảng 30 ở những người bị suy hô hấp nặng.

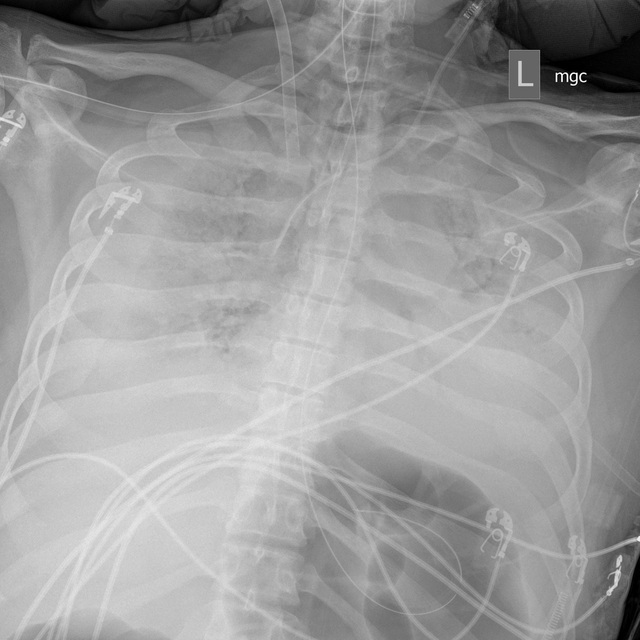
Hình ảnh X-quang phổi của Jim ngày 27/3 tràn ngập màu trắng. Các bác sĩ cho biết đây là một trong những hình ảnh X-quang phổi tệ nhất họ từng thấy. (Ảnh: NYT)
Chín ngày sau khi chạy máy tim phổi nhân tạo ECMO, Jim không có sự cải thiện nào. Bác sĩ đã gọi cho vợ ông để giải thích về mức độ nghiêm trọng của tình hình. “Nếu tim Jim ngừng đập, các bác sĩ cho là họ có thể hồi sức cho ông ấy”, một bác sĩ cho biết. Vợ ông Jim đã đồng ý với quyết định không hồi sức nếu tình huống xấu nhất xảy ra.
Các bác sĩ cho biết dù họ sẽ cố hết sức, nhưng họ nghiêng về khả năng ông Jim không qua khỏi nhiều hơn.
Ngày 28/3, đội ngũ y tế đã giảm lượng thuốc mê của ông Bello, để xem phản ứng của ông. Hiệu quả thật thần kỳ, Jim đã tỉnh dậy, ông đã nhướn mày và cố mở mắt ra.
Dù vậy, tín hiệu tích cực không tồn tại lâu. Chỉ vài giờ sau khi thuốc tê hết hiệu lực, khi Jim một mình trong phòng còn các y tá theo dõi từ bên ngoài, ông đã khẽ xoay người. Chuyển động hoàn toàn vô hại với người bình thường này đã làm tăng áp lực lên mạch máu của Jim, khiến nồng độ oxy trong máu của ông giảm mạnh.
Các bác sĩ đã làm mọi cách để cứu Jim, lựa chọn cuối cùng của họ là gắn thêm một ống hút vào máy trợ tim, hút thêm dịch trong phổi của bệnh nhân. Thao tác này đòi hỏi phải ngừng dòng oxy từ máy cho bệnh nhân trong một khoảng thời gian ngắn. “Ông ấy quá yếu, đến mức mà tôi cảm thấy chỉ 30 giây rời khỏi máy trợ tim, ông ấy sẽ không thể sống sót”, các bác sĩ nói.
Tối đó, vợ Jim đã được đề nghị đến thăm chồng, một điều lạ lùng bởi tính đến khi đó, cô mới chỉ được phép thăm chồng một lần duy nhất. Cuộc thăm bệnh đã kéo dài trong 3 tiếng thay vì 15 phút như thông báo ban đầu của bệnh viện
Trong vòng ba ngày sau thủ thuật, hình ảnh chụp X-quang đã cho thấy hy vọng khi một phần nhỏ trong phổi trái của Jim đã hết dịch. Từ sau đó, phổi của Jim bắt đầu được cải thiện từ từ và dần dần tốt hơn đáng kể.

Ông Jim rời phòng cấp cứu trong tiếng vỗ tay của các nhân viên y tế. (Ảnh: NYT)
Sau 18 ngày được máy tim phổi nhân tạo hỗ trợ, ngày 5/4, Jim đã được ngắt kết nối với máy ECMO. Ông vẫn nằm trên máy thở, nhưng bắt đầu được giảm lượng oxy do máy cung cấp, các bác sĩ cũng bắt đầu nới lỏng thuốc tê liệt và thuốc an thần.
Vài ngày sau, trong một cột mốc quan trọng, các nhà vật lý trị liệu cho phép Jim ngồi trên mép giường. Vợ Jim kể lại rằng cô thấy chồng đá chân mình.
Đến ngày 14/4, Jim đã được ngắt kết nối với máy thở và bắt đầu tự thở lần đầu tiên sau 32 ngày.
Các bác sĩ cho biết họ không biết tại sao ông Bello sống sót, khả năng lớn nhất là do được tiến hành các biện pháp điều trị đúng thời điểm. Mặc dù tỷ lệ sống sót của bệnh nhân trong một số trường hợp sẽ thấp đi khi thời gian phụ thuộc vào máy thở dài hơn, nhưng một số khác có thể phục hồi sau quãng thời gian dài đặt nội khí quản. Các bác sĩ hiện không rõ liệu bất kỳ loại thuốc nào đã có hiệu lực với Jim hay không.
Trong những bình luận ngắn gọn từ một bệnh viện phục hồi chức năng, Jim ngày 17/4 cho biết ông mong muốn được trở lại làm luật sư đại diện cho các nhà cung cấp dịch vụ y tế. “Hôm nay, tôi vẫn còn sống là nhờ có những người như vậy”, ông Jim cho biết.
Vào chiều thứ Sáu 18/4, luật sư Jim về nhà sau 32 ngày điều trị trên máy thở.
VietBF Sưu Tầm