HOME-Au
HOME-Au
24h
24h
USA
USA
GOP
GOP
Phim Bộ
Phim Bộ
Videoauto
VIDEO-Au
Home Classic
Home Classic
Donation
Donation
News Book
News Book
News 50
News 50
worldautoscroll
WORLD-Au
Breaking
Breaking
 

Go Back   VietBF > World Box| Thế Giới > Vietnam News | Tin Việt Nam > 2005-2023 Vietnam News


 
 
Thread Tools
  #1  
Old  Default Ứng dụng công nghệ in 3D trong phẫu thuật cắt u thận, tạo h́nh bể thận
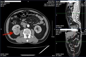
Các bác sĩ đă ứng dụng công nghệ in 3D trong việc phẫu thuật cắt u thận, tạo h́nh bể thận trong xoang cho một trường hợp bệnh nhân nam 64 tuổi được chẩn đoán ung thư thận phải cực giữa.
Các bác sĩ tại Khoa Phẫu thuật Thận tiết niệu & nam học (Bệnh viện E) vừa ứng dụng công nghệ in 3D trong phẫu thuật cắt u thận, tạo h́nh bể thận trong xoang thành công cho trường hợp bệnh nhân nam 64 tuổi bị ung thư thận phức tạp.

Theo các chuyên gia, công nghệ in 3D đă bắt đầu xuất hiện và được giới thiệu từ năm 1984 nhưng trong một thời gian dài vẫn chưa được chú trọng đúng mức trong lĩnh vực y học.

Tuy nhiên, hiện nay việc ứng dụng công nghệ này trong y học đă có nhiều khởi sắc khi công nghệ in 3D đă mang đến một "cuộc cách mạng" trong việc tạo ra các cơ quan, bào chế thuốc, sản xuất thiết bị y khoa...

Ngay tại Việt Nam, thời gian qua đă có sự ứng dụng in 3D trong việc ghép xương, thay khớp tại bệnh viện Tâm Anh, bệnh viện Vinmec… đem lại nhiều thành quả rất đáng ghi nhận.Trong tháng 11/2021 vừa qua, dưới sự ủng hộ và tạo điều kiện của ban giám đốc bệnh viện E, các bác sĩ tại Khoa phẫu thuật Thận tiết niệu và nam học đă ứng dụng công nghệ in 3D trong việc phẫu thuật cắt u thận, tạo h́nh bể thận trong xoang cho một trường hợp bệnh nhân nam 64 tuổi được chẩn đoán ung thư thận phải cực giữa.

Trước đây, với những trường hợp khối u thận kích thước lớn ở vị trí cực giữa khó khăn giống như của bệnh nhân này th́ khả năng cao người bệnh sẽ phải chấp nhận cắt đi cả quả thận kèm khối u.

Tuy nhiên, áp dụng tiến bộ của khoa học công nghệ, cùng với sự nghiên cứu, ứng dụng những kỹ thuật mới, TS.BS Nguyễn Đ́nh Liên - Trưởng khoa Phẫu thuật thận tiết niệu & nam học Bệnh viện E đă thực hiện in 3D quả thận kèm khối u và lên phương án phẫu thuật cho bệnh nhân.

Nhờ có hệ thống chụp cắt lớp vi tính đa dăy, kết hợp với công nghệ in 3D; các bác sĩ đă tính toán với độ chính xác gần như tuyệt đối sự xâm lấn khối u, cấu trúc mạch máu… qua đó các bác sĩ đă có phương án cắt trọn vẹn khối u và tạo h́nh bể thận, giữ lại quả thận cho người bệnh.Ứng dụng in 3D với độ chính xác gần như tuyệt đối, người bệnh giống như được mổ tới hai lần: Lần một là sự mổ chi tiết qua mô h́nh 3D trên máy tính, lên phương án chi tiết, sát với thực tế nhất. Cho nên trong quá tŕnh mổ thực tế trên người bệnh sẽ diễn ra thuận lợi hơn, người bệnh có khả năng giữ được phần thận lành được cao nhất khi kết hợp với sinh thiết tức th́ diện cắt quanh u.

Các chuyên gia nhận định, với việc ứng dụng công nghệ in 3D trong y học hứa hẹn sẽ c̣n phát triển hơn nữa, tạo ra cuộc cách mạng trong y học, đặc biệt là khi in 3D kết hợp cùng công nghệ thực tế ảo sẽ mang lại những giá trị vô cùng lớn trong việc giải quyết những ca bệnh khó để nâng cao chất lượng chẩn đoán, điều trị, chăm sóc người sức khỏe người dân.
VIETBF Diễn Đàn Hay Nhất Của Người Việt Nam

HOT NEWS 24h

HOT 3 Days

NEWS 3 Days

HOT 7 Days

NEWS 7 Days

HOME

Breaking News

VietOversea

World News

Business News

Car News

Computer News

Game News

USA News

Mobile News

Music News

Movies News

History

Thơ Ca

Sport News

Stranger Stories

Comedy Stories

Cooking Chat

Nice Pictures

Fashion

School

Travelling

Funny Videos

Canada Tin Hay

USA Tin Hay

VietBF Homepage Autoscroll

VietBF Video Autoscroll Portal

Home Classic

Home Classic Master Page



Hanna
R10 Vô Địch Thiên Hạ
Hanna's Avatar
Release: 12-02-2021
Reputation: 58282


Profile:
Join Date: Dec 2006
Posts: 88,250
Last Update: None Rating: None
Attached Thumbnails
Click image for larger version

Name:	a93e5555e11708495106.jpg
Views:	0
Size:	14.8 KB
ID:	1937764  
Hanna_is_offline
Thanks: 11
Thanked 3,751 Times in 3,090 Posts
Mentioned: 5 Post(s)
Tagged: 0 Thread(s)
Quoted: 8 Post(s)
Rep Power: 109
Hanna Reputation Uy Tín Level 8
Hanna Reputation Uy Tín Level 8Hanna Reputation Uy Tín Level 8Hanna Reputation Uy Tín Level 8Hanna Reputation Uy Tín Level 8Hanna Reputation Uy Tín Level 8Hanna Reputation Uy Tín Level 8Hanna Reputation Uy Tín Level 8Hanna Reputation Uy Tín Level 8Hanna Reputation Uy Tín Level 8Hanna Reputation Uy Tín Level 8Hanna Reputation Uy Tín Level 8Hanna Reputation Uy Tín Level 8Hanna Reputation Uy Tín Level 8Hanna Reputation Uy Tín Level 8Hanna Reputation Uy Tín Level 8Hanna Reputation Uy Tín Level 8Hanna Reputation Uy Tín Level 8Hanna Reputation Uy Tín Level 8Hanna Reputation Uy Tín Level 8Hanna Reputation Uy Tín Level 8Hanna Reputation Uy Tín Level 8Hanna Reputation Uy Tín Level 8Hanna Reputation Uy Tín Level 8
 
User Tag List


Khi doanh nghiệp Mỹ nổi loạn v́ thuế quan Trump muốn học mô h́nh hưu trí “super” của Úc: Bắt buộc tiết kiệm cho tuổi già Từ cô thợ nails tị nạn đến chủ nhân căn nhà đắt nhất Atlanta
Thuế mới, phố vắng, chợ buồn: Nếu tiểu thương gục ngă, ai bán hàng cho 100 triệu dân? K+ khép lại sau 16 năm: Đế chế bóng đá trả tiền tàn cuộc chơi Người Vợ Lực Lượng Đặc Biệt – Hồi ức về Thiếu Tá Hồ Đăng Nhựt trong mùa Quốc Nạn
Viên tướng nhỏ thó gánh oan khiên Mậu Thân John Riordan – người Mỹ quay lại Sài G̣n để cứu 105 người Việt Evergrande: Từ đế chế số 1 đến quả bom nợ – Bài học nào cho Việt Nam?
Campuchia: Từ Thiên Đường Angkor Đến “Công Xưởng Tội Phạm” Của Mafia Trung Quốc Cuộc Xâm Lược Cuối Cùng Của Trung Quốc Và Trang Sử Bị Xóa Khỏi Kư Ức Việt Nam V́ Sao Số Nhà Ở Mỹ “Nhảy Cóc”? Giải Mă Từ House Number Đến ZIP Code
David Thái, Highlands Coffee Và Những Hành Tŕnh “Đi Rồi Trở Về” Của Thuyền Nhân Việt V́ Sao Quân Đội Trung Quốc Không Đảo Chính? “Đảng Chỉ Huy Quân Đội” Và Nỗi Sợ Được Thể Chế Hóa Tâm Lư Vọng Ngoại Và Căn Bệnh “Bụt Nhà Không Thiêng”
Từ Giọt Nước Mắt Của Mẹ Đến Đế Chế Zara: Hành Tŕnh Của Amancio Ortega “Tâm Hồn Nga” Và Cơn Say Đế Quốc: Từ Crimea Đến Putin “Bên kia vĩ tuyến” và lời tự thú của một Bắc Kỳ 1985
Hiệu ứng Elon Musk: Khi một CEO “tham chính” làm Tesla mất hơn một triệu chiếc xe Điện thoại – phát minh bắt đầu từ một lời gọi yêu thương Thứ trưởng Cao Hùng và nỗi buồn ḥa hợp dân tộc: Không thể không nói
Mười phát minh vĩ đại của người Hồi giáo đă âm thầm làm nên thế giới hiện đại Bẻ găy “chiến dịch” báng bổ tiền nhân: Lịch sử Việt Nam giữa hai cách kể Từ “janitor da đen” đến người cứu sống vạn “em bé xanh”
Cơn mê “phục sinh Liên Xô”: Hoang tưởng đế quốc trong kỷ nguyên mạng xă hội Trung Quốc có c̣n xă hội chủ nghĩa không – hay chỉ là tư bản thân hữu khoác áo đỏ? Kỷ nguyên Tô Lâm: Thiên tai, tham nhũng và những vết nứt dẫn tới sụp đổ

 
Lên đầu Xuống dưới Lên 3000px Xuống 3000px

iPad Videos Portal Autoscroll

VietBF Music Portal Autoscroll

iPad News Portal Autoscroll

VietBF Homepage Autoscroll

VietBF Video Autoscroll Portal

USA News Autoscroll Portall

VietBF WORLD Autoscroll Portal

Home Classic

Super Widescreen

iPad World Portal Autoscroll

iPad USA Portal Autoscroll

Phim Bộ Online

Tin nóng nhất 24h qua

Tin nóng nhất 3 ngày qua

Tin nóng nhất 7 ngày qua

Tin nóng nhất 30 ngày qua

Albums

Total Videos Online
Lên đầu Xuống dưới Lên 3000px Xuống 3000px

Tranh luận sôi nổi nhất 7 ngày qua

Tranh luận sôi nổi nhất 14 ngày qua

Tranh luận sôi nổi nhất 30 ngày qua

10.000 Tin mới nhất

Tin tức Hoa Kỳ

Tin tức Công nghệ
Lên đầu Xuống dưới Lên 3000px Xuống 3000px

Super News

School Cooking Traveling Portal

Enter Portal

Series Shows and Movies Online

Home Classic Master Page

Donation Ủng hộ $3 cho VietBF
Lên đầu Xuống dưới Lên 3000px Xuống 3000px
Diễn Đàn Người Việt Hải Ngoại. Tự do ngôn luận, an toàn và uy tín. V́ một tương lai tươi đẹp cho các thế hệ Việt Nam hăy ghé thăm chúng tôi, hăy tâm sự với chúng tôi mỗi ngày, mỗi giờ và mỗi giây phút có thể. VietBF.Com Xin cám ơn các bạn, chúc tất cả các bạn vui vẻ và gặp nhiều may mắn.
Welcome to Vietnamese American Community, Vietnamese European, Canadian, Australian Forum, Vietnamese Overseas Forum. Freedom of speech, safety and prestige. For a beautiful future for Vietnamese generations, please visit us, talk to us every day, every hour and every moment possible. VietBF.Com Thank you all and good luck.

Lên đầu Xuống dưới Lên 3000px Xuống 3000px

All times are GMT. The time now is 14:41.
VietBF - Vietnamese Best Forum Copyright ©2005 - 2025
User Alert System provided by Advanced User Tagging (Pro) - vBulletin Mods & Addons Copyright © 2025 DragonByte Technologies Ltd.
Log Out Unregistered

Page generated in 0.11597 seconds with 13 queries