Người đàn ông bị thanh sắt đâm xuyên đầu vẫn sống khỏe nhưng đổi hoàn toàn nhân cách, bí mật khám phá sau đó tạo nên cách mạng ngành y. Trường hợp hi hữu hơn cả phép màu này đã hé lộ rất nhiều sự thật thú vị sau đó.
Phineas Gage (1823-1860), một người đàn ông Mỹ sống ở thế kỷ 19 là một quản đốc ngành xây dựng đường sắt bình thường, nhưng đã ghi tên mình vào lịch sử y học với vai trò là người đã giúp “mở khóa” rất nhiều bí mật về bộ não con người.

Phineas Gage
Câu chuyện kinh hoàng của Phineas Gage
Những năm 1800, công việc đường sắt là một trong những công việc nguy hiểm nhất mà con người có thể làm. Trong thời kỳ này, hàng nghìn công nhân đường sắt thiệt mạng mỗi năm và hàng chục nghìn người bị thương khi làm việc. Phineas Gage là quản đốc đường sắt vào năm 1848 và được kính trọng ở vị trí của mình. Khi đang là một thanh niên Mỹ 25 tuổi bình thường, tháng 9 năm 1848, một vụ nổ kinh hoàng xảy ra khi đang xây dựng đường ray xe lửa đã đâm một thanh sắt dài 1 mét xuyên qua hộp sọ của ông một cách kỳ quái. Nhưng ông đã không chết.
Phần mũi nhọn của thanh sắt nặng gần 6kg đâm vào bên trái mặt Phineas, xuyên qua một bên má và miệng đang há hốc và đi thẳng vào đầu. Nó xuyên qua xương, não rồi qua bên kia. Cả thanh sắt 1 mét xuyên qua đầu anh rồi rơi xuống đất cách đó vài chục mét. Gage ngay lập tức ngã xuống đất và co giật.
Phineas đã trải qua thời kỳ khó khăn trong quá trình hồi phục sau cuộc phẫu thuật và suýt chết vì áp xe do nhiễm trùng ở vết thương. Sau gần ba tháng được chăm sóc y tế, Phineas trở về nhà và bắt đầu quay trở lại với công việc hàng ngày của mình.
Những hiện tượng kỳ lạ
Ban đầu, không có nhiều triệu chứng phụ đáng chú ý từ vụ tai nạn, nhưng một điều đã phát triển sau 12 ngày. Phía sau mắt trái, nơi mũi nhọn đi qua, một vết nhiễm trùng bắt đầu phát triển. Mắt Phineas bắt đầu lồi ra, một phần não bị nhiễm trùng và mủ chảy ra từ hốc mắt. Phineas không thể nhìn được từ con mắt đó và nó phát triển chứng sụp mí mắt. Chứng sụp mí này sau đó đã thành di chứng vĩnh viễn. Những vết sẹo từ vết thương ban đầu vẫn còn đó và bên trái khuôn mặt của ông khó cử động.
Nhưng điều quan trọng nhất là hành vi của Phineas Gage đã thay đổi sâu sắc. Mẹ của ông sớm nhận thấy một phần trí nhớ của con trai bị suy giảm, mặc dù theo chẩn đoán của bác sĩ, trí nhớ, khả năng học tập và sức mạnh vận động của Phineas không thay đổi. Thời gian trôi qua, tính cách và hành vi của Phineas không còn giống như trước vụ tai nạn. Gage dường như đã mất đi một số kỹ năng xã hội của mình và trở nên hung hăng, thô bạo và thậm chí là tục tĩu. Chàng trai ngọt ngào một thời trở nên liều lĩnh, thô lỗ và từ bỏ những kế hoạch cho tương lai khi chưa lập gia đình.
Phineas không thể lấy lại được công việc của mình và trong nhiều năm ông trở thành một loại “bảo tàng đi bộ”, thu hút sự chú ý của truyền thông và các bác sĩ. Họ tất nhiên không thể không thắc mắc rốt cuộc làm sao một người đàn ông bị thanh sắt đâm vào não mà vẫn sống sót? Đây là một trường hợp nổi tiếng đến mức giới y khoa đã từ chối tin tưởng trong suốt hai năm. Bác sĩ của Phineas, John Harlow, thậm chí đã phải cố gắng chứng minh tính xác thực của ca bệnh này trước các luật sư.
Phineas đổi toàn bộ tính cách của mình
Thật không may cho Phineas Gage, tuổi thọ của ông vẫn bị rút ngắn, ngay cả sau khi sống sót sau một tai nạn kinh hoàng như vậy. Năm 1860, Phineas bắt đầu mắc chứng động kinh khiến ông gặp khó khăn trong cuộc sống. Tháng 5 cùng năm, ông lên cơn co giật đột ngột và qua đời ở tuổi 36.
Những phát hiện của y học thần kinh
Não và hộp sọ của Phineas Gage đã được gia đình đồng ý giao cho Bảo tàng Giải phẫu Warren của Đại học Harvard để được nghiên cứu sâu hơn.
Trường hợp kỳ lạ của Phineas Gage đã truyền đạt những ý tưởng vô giá cho khoa học y tế. Nó trực tiếp dẫn đến nghiên cứu quan trọng của ngành y khoa thần kinh trong thế kỷ tiếp theo: nhân cách là sản phẩm của bộ não với các mối quan hệ và chức năng giữa tâm trí và não bộ nằm ở những khu vực cụ thể của não. Suy cho cùng, nếu một tai nạn có thể thay đổi cách hành động của một người trong cuộc sống hàng ngày bằng cách làm tổn thương não bộ, thì tính cách đó sẽ được lưu giữ trong đầu.
Một số người cho rằng trường hợp của Gage là một bước đột phá cho sự phát triển của phẫu thuật tâm lý và thậm chí cả phẫu thuật thùy não, tuy nhiên không có bằng chứng cụ thể. Chính các báo cáo về trường hợp của Phineas Gage đã khiến các nhà khoa học chú ý đến thùy trán như một khu vực gắn liền với các đặc điểm tính cách, bên cạnh khả năng sống sót sau một chấn thương quá đột ngột và nghiêm trọng. Cùng với đó, nó cũng làm kết thúc thuyết não tướng học, một giả thiết khoa học sai lầm tìm cách điều tra hình dạng vật lý của hộp sọ và não và cho rằng mức độ thông minh hoặc khả năng của một người có thể xác định qua yếu tố này.
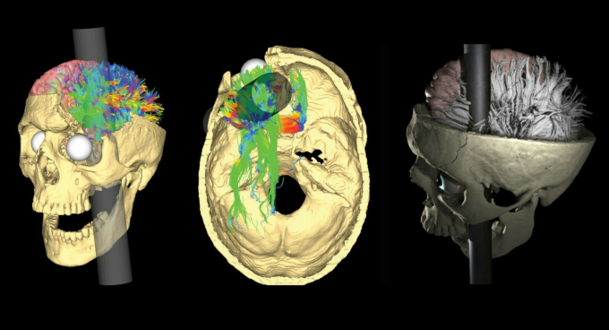
Trường hợp của Phineas Gage vẫn còn đang được nghiên cứu cho đến ngày nay, sau gần 200 năm. Phân tích gần đây nhất, vào năm 2012, ước tính rằng ông đã mất khoảng 15% khối lượng não, thanh sắt đã lấy đi một phần vỏ não và một phần nhân bên trong của não. Điều này biện minh cho những thay đổi trong hành vi và mất trí nhớ. Xét cho cùng, các vùng như vỏ não trước trán, một phần quan trọng trong việc ra quyết định và lập kế hoạch, đã bị tổn hại.
Hình ảnh tái hiện trường hợp Phineas Gage gần đây nhất (2012)
VietBF@ sưu tập