HOME-Au
HOME-Au
24h
24h
USA
USA
GOP
GOP
Phim Bộ
Phim Bộ
Videoauto
VIDEO-Au
Donation
Donation
News Book
News Book
News 50
News 50
worldautoscroll
WORLD-Au
Breaking
Breaking
 

Go Back   VietBF > Other > History | Lịch Sử

Reply
Thread Tools
 
 
  #1  
Old  Default 'Nội soi' xác ướp quý bà Ai Cập, lộ chi tiết bất ngờ
Dùng máy chụp cắt lớp vi tính, các chuyên gia đã giải mã được bí mật về xác ướp nữ quý tộc Ai Cập khoảng 3.000 tuổi có tên Chenet-aa. Qua đó, nhiều chi tiết về sức khỏe, tình trạng xác ướp... được hé lộ.


Bảo tàng Field ở Chicago, Mỹ là nơi lưu giữ, bảo quản hơn chục xác ướp Ai Cập cổ đại. Trong số này có một xác ướp "đặc biệt" khiến các nhà nghiên cứu bối rối suốt nhiều năm. Xác ướp nữ quý tộc Ai Cập có tên Chenet-aa là một trong số đó. Theo kết quả nghiên cứu mới công bố, các chuyên gia đã dùng máy chụp cắt lớp vi tính (CT) để kiểm tra xác ướp quý bà Chenet-aa có niên đại khoảng 3.000 tuổi.

Quý bà Chenet-aa sống cách đây khoảng 3.000 năm dưới Vương triều thứ 22 thuộc Thời kỳ chuyển tiếp thứ ba ở Ai Cập thời cổ đại. Ngay sau khi nữ quý tộc qua đời, người ta đã chuẩn bị tang lễ để đưa bà sang thế giới bên kia bằng cách tạo ra một quan tài là hộp cartonnage - chiếc hộp giống giấy bồi, để đặt thi hài người quá cố.

Tuy nhiên, trường hợp của quý bà Chenet-aa, các chuyên gia không phát hiện bất kỳ dấu hiệu nào của đường nối nên băn khoăn không biết xác ướp được đặt vào bên trong hộp cartonnage như thế nào.

"Quan tài cartonnage ở bên trong dường như liền một thể và nhẵn mịn mà không có bất kỳ đường nối bên ngoài nào (khác với quan tài bên ngoài làm từ gỗ). Nếu bạn nhìn hình dáng của hộp cartonnage, lỗ hở ở chân quá hẹp để vai của xác ướp có thể lọt qua", chuyên gia bảo tồn HP Brown ở Bảo tàng Field cho biết.


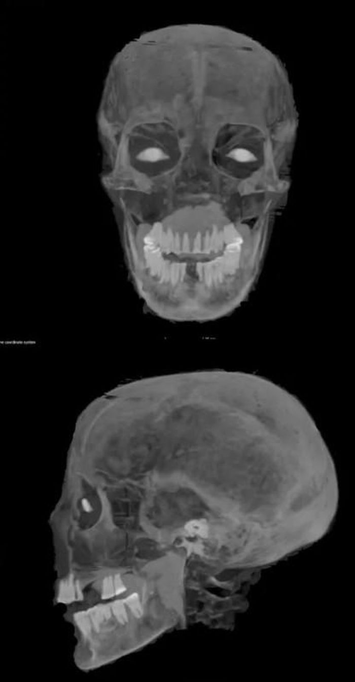
Thông qua chụp cắt lớp vi tính (CT) tạo ra hình ảnh 3D của vật thể bằng cách xếp chồng hàng nghìn bản scan X - quang lên nhau dựa trên kỹ thuật số, giới nghiên cứu đã giải mã được bí mật này. Theo họ, người Ai Cập thời cổ đại đã tạo vết rạch ở phía sau hộp cartonnage và làm mềm vật liệu bằng hơi ẩm để nó trở nên dẻo dai.

Sau khi dựng đứng xác ướp và buộc vào một cây cột bằng dây thừng mỏng, chuyên gia Brown cho rằng, những người mai táng đã hạ quan tài qua đầu Chenet-aa trước khi nối vết rạch lại bằng dây bện. Sau khi quan tài cartonnage trở nên chắc chắn, họ đổ thạch cao lên trên.

Chuyên gia Brown giải thích thêm lớp sơn trên lớp cartonnage ngoài cùng được trang trí và đánh bóng khi xác ướp vẫn đặt ở tư thế thẳng đứng. Sau khi hoàn tất quá trình này, quý bà Chenet-aa được chôn cất.

Ảnh chụp CT cũng hé lộ nhiều chi tiết mới về sức khỏe của quý bà Chenet-aa trong những ngày cuối đời. Nữ quý tộc qua đời ở cuối tuổi 30 hoặc đầu tuổi 40 nhưng chưa thể xác định nguyên nhân tử vong của bà.

Hàm răng của quý bà Chenet-aa không ở tình trạng tốt khi nhiều chiếc bị mất khi chết trong khi số răng còn lại có dấu hiệu bị mài mòn. Các chuyên gia cho rằng điều này liên quan đến chế độ ăn uống có hại cho men răng của bà.


Giới chuyên gia cũng phát hiện xác ướp của quý bà Chenet-aa có đặt đôi mắt nhân tạo ở hốc mắt để giúp bà có thể nhìn được ở thế giới bên kia. Ảnh: The Field Museum.
Dịch trang: EnglishEnglish DeutschDeutsch FrançaisFrançais EspañolEspañol ItalianoItaliano PortuguêsPortuguês
NorskNorsk NederlandsNederlands DanskDansk SuomiSuomi PolskiPolski ČeštinaČeština РусскийРусский
日本語日本語 한국어한국어 中文(简体)中文(简体) 中文(繁體)中文(繁體) MagyarMagyar TürkçeTürkçe
العربيةالعربية ไทยไทย LatinaLatina हिन्दीहिन्दी Bahasa IndonesiaBahasa Indonesia Bahasa MelayuBahasa Melayu
VIETBF Hybrid Community Content Hub

HOT NEWS 24h

HOT 3 Days

NEWS 3 Days

HOT 7 Days

NEWS 7 Days

HOME

Breaking News

VietOversea

World News

Business News

Car News

Computer News

Game News

USA News

Mobile News

Music News

Movies News

History

Thơ Ca

Sport News

Stranger Stories

Comedy Stories

Cooking Chat

Nice Pictures

Fashion

School

Travelling

Funny Videos

Canada Tin Hay

USA Tin Hay

VietBF Homepage Autoscroll

VietBF Video Autoscroll Portal

Video Classic Master

iPad News Portal

VietBF iPad Music Portal

Tin nóng nhất 50h qua

Phim Bộ Online

iMusic Pro Max



TinNhanh247
R9 Tuyệt Đỉnh Tôn Sư
Release: 11-04-2024
Reputation: 14071


Profile:
Join Date: Oct 2014
Posts: 38,936
Last Update: None Rating: None
Attached Thumbnails
Click image for larger version

Name:	7378eca07cef95b1ccfe.jpg
Views:	0
Size:	44.0 KB
ID:	2449202  
TinNhanh247_is_offline
Thanks: 16
Thanked 1,805 Times in 1,643 Posts
Mentioned: 3 Post(s)
Tagged: 0 Thread(s)
Quoted: 11 Post(s)
Rep Power: 50
TinNhanh247 Reputation Uy Tín Level 6
TinNhanh247 Reputation Uy Tín Level 6TinNhanh247 Reputation Uy Tín Level 6TinNhanh247 Reputation Uy Tín Level 6TinNhanh247 Reputation Uy Tín Level 6TinNhanh247 Reputation Uy Tín Level 6TinNhanh247 Reputation Uy Tín Level 6TinNhanh247 Reputation Uy Tín Level 6TinNhanh247 Reputation Uy Tín Level 6TinNhanh247 Reputation Uy Tín Level 6TinNhanh247 Reputation Uy Tín Level 6TinNhanh247 Reputation Uy Tín Level 6TinNhanh247 Reputation Uy Tín Level 6TinNhanh247 Reputation Uy Tín Level 6TinNhanh247 Reputation Uy Tín Level 6TinNhanh247 Reputation Uy Tín Level 6TinNhanh247 Reputation Uy Tín Level 6TinNhanh247 Reputation Uy Tín Level 6
Dịch trang: EnglishEnglish DeutschDeutsch FrançaisFrançais EspañolEspañol ItalianoItaliano PortuguêsPortuguês
NorskNorsk NederlandsNederlands DanskDansk SuomiSuomi PolskiPolski ČeštinaČeština РусскийРусский
日本語日本語 한국어한국어 中文(简体)中文(简体) 中文(繁體)中文(繁體) MagyarMagyar TürkçeTürkçe
العربيةالعربية ไทยไทย LatinaLatina हिन्दीहिन्दी Bahasa IndonesiaBahasa Indonesia Bahasa MelayuBahasa Melayu
Reply

User Tag List



 

iPad Videos Portal Autoscroll

VietBF Music Portal Autoscroll

iPad News Portal Autoscroll

VietBF Homepage Autoscroll

VietBF Video Autoscroll Portal

USA News Autoscroll Portall

VietBF WORLD Autoscroll Portal

Video Classic Master Page

Super Widescreen

iPad World Portal Autoscroll

iPad USA Portal Autoscroll

Phim Bộ Online
Lên đầu Xuống dưới Lên 3000px Xuống 3000px

Tin nóng nhất 24h qua

Tin nóng nhất 3 ngày qua

Tin nóng nhất 7 ngày qua

Tin nóng nhất 30 ngày qua

Albums

Total Videos Online

Tranh luận sôi nổi nhất 7 ngày qua

Tranh luận sôi nổi nhất 14 ngày qua

Tranh luận sôi nổi nhất 30 ngày qua

10.000 Tin mới nhất

Tin tức Hoa Kỳ

Tin tức Công nghệ
Lên đầu Xuống dưới Lên 3000px Xuống 3000px

Duo Series Movies Portal

Duo Music Portal

Phim Bộ

Tỷ Giá

Thời Tiết

Tin Nóng Nhất 50h

Super News

School Cooking Traveling Portal

Enter Portal

Series Shows and Movies Online

Home Classic Master Page

Donation Ủng hộ $3 cho VietBF
Lên đầu Xuống dưới Lên 3000px Xuống 3000px
Diễn Đàn Người Việt Hải Ngoại. Tự do ngôn luận, an toàn và uy tín. Vì một tương lai tươi đẹp cho các thế hệ Việt Nam hãy ghé thăm chúng tôi, hãy tâm sự với chúng tôi mỗi ngày, mỗi giờ và mỗi giây phút có thể. VietBF.Com Xin cám ơn các bạn, chúc tất cả các bạn vui vẻ và gặp nhiều may mắn.
Welcome to Vietnamese American Community, Vietnamese European, Canadian, Australian Forum, Vietnamese Overseas Forum. Freedom of speech, safety and prestige. For a beautiful future for Vietnamese generations, please visit us, talk to us every day, every hour and every moment possible. VietBF.Com Thank you all and good luck.

Lên đầu Xuống dưới Lên 3000px Xuống 3000px

All times are GMT. The time now is 00:54.
VietBF - Vietnamese Best Forum Copyright ©2005 - 2026
User Alert System provided by Advanced User Tagging (Pro) - vBulletin Mods & Addons Copyright © 2026 DragonByte Technologies Ltd.
Log Out Unregistered

Page generated in 0.11222 seconds with 13 queries