HOME-Au
HOME-Au
24h
24h
USA
USA
GOP
GOP
Phim Bộ
Phim Bộ
Videoauto
VIDEO-Au
Home Classic
Home Classic
Donation
Donation
News Book
News Book
News 50
News 50
worldautoscroll
WORLD-Au
Breaking
Breaking
 

Go Back   VietBF > World Box| Thế Giới > Vietnam News | Tin Việt Nam


Reply
 
Thread Tools
  #1  
Old  Default Người đàn ông nghiện rượu có mủ đặc quánh bao quanh tim hiếm gặp
Bệnh nhân có dấu hiệu đau ngực, mệt mỏi, khó thở tăng dần trong suốt 2 tháng trước khi nhập viện, đi khám nhiều nơi nhưng không phát hiện ra bệnh chính xác và điều trị không cải thiện.
Ngày 4/6, Bệnh viện Nhân dân 115 (TP.HCM) cho biết bệnh viện vừa điều trị thành công một trường hợp tràn mủ màng ngoài tim lượng lớn. Đây là một bệnh lý hiếm gặp, có thể nguy hiểm đến tính mạng nếu không được phát hiện và xử trí kịp thời.

BSCKII Dương Văn Mười Một - Trưởng khoa Phẫu thuật tim - Lồng ngực mạch máu, Bệnh viện Nhân dân 115 - chia sẻ người bệnh bắt đầu có dấu hiệu đau ngực, mệt mỏi, khó thở tăng dần trong suốt 2 tháng trước khi nhập viện. Bệnh nhân đã từng đi khám nhiều nơi nhưng không phát hiện ra bệnh chính xác và điều trị không cải thiện. Được biết, bệnh nhân có tiền sử nghiện rượu lâu năm, xơ gan và đái tháo đường.

"Bệnh nhân nhập Bệnh viện Nhân dân 115 trong tình trạng suy kiệt toàn thân, phải thở oxy liều cao, huyết áp tụt và mạch rất nhanh, phù toàn thân", BSCKII Dương Văn Mười Một cho hay.

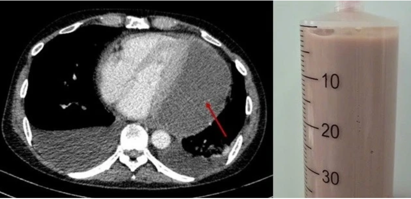
Qua siêu âm, các bác sĩ phát hiện một khối dịch lớn gần 11 cm bao quanh tim. Khối dịch được xác định là nguyên nhân khiến tim bị ép chặt, co bóp khó khăn, đe dọa tính mạng người bệnh từng giây.

Trước tình hình nguy cấp, các chuyên gia của khoa Nội tim mạch, phẫu thuật tim, chẩn đoán hình ảnh, hô hấp, nội tiêu hóa đã hội chẩn và quyết định can thiệp chọc hút dịch mủ ra khỏi màng ngoài tim khẩn cấp.


Chụp CT lồng ngực ghi nhận lớp dịch mủ chèn ép tim (mũi tên đỏ) và dịch mủ đặc rút ra được qua chọc dịch màng ngoài tim. Ảnh: BVCC.
"Đây là một ca chọc hút phức tạp và tiềm ẩn nhiều nguy cơ do khối mủ nằm ở vị trí khó tiếp cận, dịch đặc quánh. Tuy nhiên, các bác sĩ đã hút thành công 500ml mủ đặc, giảm nhanh áp lực lên tim", trưởng khoa Phẫu thuật tim - Lồng ngực mạch máu cho biết.

Kết quả xét nghiệm cho thấy đây là một ca viêm mủ màng ngoài tim nặng không do vi khuẩn lao hay ký sinh trùng.

Bệnh nhân tiếp tục được phẫu thuật mở cửa sổ màng tim để tiếp tục dẫn lưu toàn bộ dịch mủ còn lại. Đồng thời, điều trị tích cực bằng kháng sinh mạnh, điều trị bệnh nền chặt chẽ, nâng đỡ thể trạng...

Nhờ được can thiệp kịp thời và tích cực, chỉ sau 2 tuần điều trị người bệnh hồi phục ngoạn mục. Bệnh nhân không còn đau ngực hay khó thở, ăn uống tốt, vận động bình thường, không ghi nhận dịch quanh tim, bệnh nền như xơ gan và đái tháo đường cũng được kiểm soát ổn định.

BSCKII Dương Văn Mười Một cho hay tràn mủ màng ngoài tim là một tình trạng nhiễm trùng nghiêm trọng. Bệnh rất hiếm gặp, khoảng 1/18.000 người.

Bệnh đặc trưng bởi sự tích tụ mủ trong khoang màng ngoài tim (lớp màng bao quanh tim). Nếu không được chẩn đoán và điều trị kịp thời, tình trạng này có thể đe dọa tính mạng.

Mủ tích tụ có thể lan vào máu gây nhiễm trùng nặng toàn thân, chèn ép tim làm cản trở máu lưu thông, dẫn đến tụt huyết áp, sốc và thậm chí đột ngột ngưng tim gây tử vong.

Bệnh thường có triệu chứng thường không rõ ràng. Khi mắc bệnh, bệnh nhân có thể cảm thấy đau ngực, mệt mỏi, khó thở nhẹ…

Những người có hệ miễn dịch yếu, mắc bệnh mạn tính (như xơ gan, đái tháo đường, ung thư…) hoặc nghiện rượu sẽ có nguy cơ mắc bệnh cao hơn.

Tại Việt Nam, các trường hợp tràn mủ màng ngoài tim ở người lớn rất hiếm gặp và chưa có nhiều báo cáo về các trường hợp tương tự.

VietBF@ sưu tập
VIETBF Diễn Đàn Hay Nhất Của Người Việt Nam

HOT NEWS 24h

HOT 3 Days

NEWS 3 Days

HOT 7 Days

NEWS 7 Days

HOME

Breaking News

VietOversea

World News

Business News

Car News

Computer News

Game News

USA News

Mobile News

Music News

Movies News

History

Thơ Ca

Sport News

Stranger Stories

Comedy Stories

Cooking Chat

Nice Pictures

Fashion

School

Travelling

Funny Videos

Canada Tin Hay

USA Tin Hay

VietBF Homepage Autoscroll

VietBF Video Autoscroll Portal

Home Classic

Home Classic Master Page



pizza
R11 Tuyệt Thế Thiên Hạ
Release: 06-05-2025
Reputation: 237154


Profile:
Join Date: Sep 2014
Posts: 107,019
Last Update: None Rating: None
Attached Thumbnails
Click image for larger version

Name:	271.PNG
Views:	0
Size:	364.2 KB
ID:	2533148  
pizza_is_offline
Thanks: 7
Thanked 8,106 Times in 7,216 Posts
Mentioned: 6 Post(s)
Tagged: 0 Thread(s)
Quoted: 41 Post(s)
Rep Power: 130
pizza Reputation Uy Tín Level 10pizza Reputation Uy Tín Level 10pizza Reputation Uy Tín Level 10pizza Reputation Uy Tín Level 10pizza Reputation Uy Tín Level 10pizza Reputation Uy Tín Level 10pizza Reputation Uy Tín Level 10
pizza Reputation Uy Tín Level 10pizza Reputation Uy Tín Level 10pizza Reputation Uy Tín Level 10pizza Reputation Uy Tín Level 10pizza Reputation Uy Tín Level 10pizza Reputation Uy Tín Level 10pizza Reputation Uy Tín Level 10pizza Reputation Uy Tín Level 10pizza Reputation Uy Tín Level 10pizza Reputation Uy Tín Level 10pizza Reputation Uy Tín Level 10pizza Reputation Uy Tín Level 10pizza Reputation Uy Tín Level 10pizza Reputation Uy Tín Level 10pizza Reputation Uy Tín Level 10pizza Reputation Uy Tín Level 10pizza Reputation Uy Tín Level 10pizza Reputation Uy Tín Level 10pizza Reputation Uy Tín Level 10pizza Reputation Uy Tín Level 10pizza Reputation Uy Tín Level 10pizza Reputation Uy Tín Level 10
Reply

User Tag List


Xả súng kinh hoàng tại Mỹ: Thảm Kịch Tại Brown University - Cơn Ác Mộng Giáng Sinh Và Nỗi Đau Chưa Từng Có Của Một Trường Ivy League Melissa Trần – Tâm thư từ Việt Nam của cô chủ tiệm nail bị trục xuất Úc: Khủng bố xả súng bắn vào cư dân Israel tại bải biển, giết chết 11 người và hàng chục người khác bị thương
Bác sĩ Mũ Đỏ Phạm Gia Cổn: Từ chiến trường Tam Biên đến Khí Công Hoàng Hạc Xả súng ở bãi biển Úc, ít nhất 11 người chết Người Việt tại Đức xuống đường tố cáo bàn tay đàn áp xuyên quốc gia của CSVN
Giữa Tô Lâm và Phan Văn Giang: Cuộc cờ quyền lực, lợi ích nhóm và thân phận 100 triệu dân Target “chơi lớn” ở SoHo: Cửa hàng kiểu mẫu để giành lại hào quang “Tar-zhay” Mỹ bất ngờ thu hẹp thâm hụt thương mại: vàng, thuế quan và những mặt trái sau các con số đẹp
Bài học Nokia giữa mùa đông Phần Lan: Thua từ bên trong trước khi thua thị trường Liuzhi – Bóng tối mới phủ xuống giới doanh nhân Trung Quốc 5 tiểu bang vàng cho nghề nail – hair – spa của người Việt tại Mỹ
Phố Tây Bùi Viện náo nhiệt và bóng dáng nhà canh tân cuối thế kỷ XIX Từ mafia thuốc lá đến tú bà Chemnitz: Vết nhơ kéo dài của một bộ phận người Việt Đông Đức Khi xe Trung Quốc viết lại trật tự ngành ô tô thế giới
Dự luật ‘một quốc tịch Mỹ’: ồn ào trên mặt báo, nhưng rất khó thành hiện thực Netflix nuốt chửng Warner Bros: Địa chấn 72 tỷ đô làm rung chuyển Hollywood Apple rung chuyển: Lãnh đạo lần lượt ra đi, Tim Cook trước cơn bão AI
Kế hoạch y tế mới của Trump: Chưa kịp ra mắt đã vỡ trận ngay trong nội bộ Cộng Hòa Cuộc trả thù chính trị của Trump: Từ vụ Comey, Letitia James đến đòn nhắm vào Mark Kelly Cơn say trên mây: Ai chịu trách nhiệm về hành khách nhậu nhẹt trên máy bay?
Giáng Sinh thắt lưng buộc bụng mà vẫn đủ ấm và đủ vui Mùa mua sắm Giáng Sinh 2025: Kinh tế chữ K và ảo giác “chi tiêu vẫn tăng” DOGE – thí nghiệm quyền lực thất bại của Trump và Musk
Ukraine, Trump và bản hòa ước mong manh giữa tiếng drone gầm rú Dũng Taylor: Căng thẳng đỉnh điểm giữa người Việt MAGA và người Việt Dân Chủ Hùng Cao về thăm Việt Nam: Từ đứa bé tị nạn đến kiến trúc sư an ninh Thái Bình Dương
“Ngày Tri Ân Trump” ở Little Saigon: khi tượng đài chiến sĩ bị biến thành sân khấu chính trị “Giải thưởng Neville Chamberlain” cho Trump và bản thỏa thuận 28 điểm bẩn thỉu Biển lửa Hồng Kông: giàn giáo tre bốc cháy, chung cư Tai Po hóa địa ngục giữa trời
Từ iPod đến “Delete Day”: Hành trình Gabriela Nguyễn thoát khỏi cơn nghiện mạng xã hội “Cha già dân tộc” đã khép lại: khi thần tượng chính trị bị kéo xuống mặt đất DOGE đã chết: “cải cách” 135 tỷ đô la đốt sạch tiền thuế của người Mỹ
VinFast VF 8 ở Mỹ: từ cáo buộc “sạc rùa bò” đến nguy cơ mất lái và lệnh triệu hồi hàng loạt Trump, Putin và ván cờ hòa bình Ukraine: khi “hạn chót” chỉ còn là lời nói gió bay 1.000 tỷ USD bốc hơi: Bitcoin bước vào thời kỳ ‘dành cho người thường’ và cơn say tiền số tan vỡ

 
Lên đầu Xuống dưới Lên 3000px Xuống 3000px

iPad Videos Portal Autoscroll

VietBF Music Portal Autoscroll

iPad News Portal Autoscroll

VietBF Homepage Autoscroll

VietBF Video Autoscroll Portal

USA News Autoscroll Portall

VietBF WORLD Autoscroll Portal

Home Classic

Super Widescreen

iPad World Portal Autoscroll

iPad USA Portal Autoscroll

Phim Bộ Online

Tin nóng nhất 24h qua

Tin nóng nhất 3 ngày qua

Tin nóng nhất 7 ngày qua

Tin nóng nhất 30 ngày qua

Albums

Total Videos Online
Lên đầu Xuống dưới Lên 3000px Xuống 3000px

Tranh luận sôi nổi nhất 7 ngày qua

Tranh luận sôi nổi nhất 14 ngày qua

Tranh luận sôi nổi nhất 30 ngày qua

10.000 Tin mới nhất

Tin tức Hoa Kỳ

Tin tức Công nghệ
Lên đầu Xuống dưới Lên 3000px Xuống 3000px

Super News

School Cooking Traveling Portal

Enter Portal

Series Shows and Movies Online

Home Classic Master Page

Donation Ủng hộ $3 cho VietBF
Lên đầu Xuống dưới Lên 3000px Xuống 3000px
Diễn Đàn Người Việt Hải Ngoại. Tự do ngôn luận, an toàn và uy tín. Vì một tương lai tươi đẹp cho các thế hệ Việt Nam hãy ghé thăm chúng tôi, hãy tâm sự với chúng tôi mỗi ngày, mỗi giờ và mỗi giây phút có thể. VietBF.Com Xin cám ơn các bạn, chúc tất cả các bạn vui vẻ và gặp nhiều may mắn.
Welcome to Vietnamese American Community, Vietnamese European, Canadian, Australian Forum, Vietnamese Overseas Forum. Freedom of speech, safety and prestige. For a beautiful future for Vietnamese generations, please visit us, talk to us every day, every hour and every moment possible. VietBF.Com Thank you all and good luck.

Lên đầu Xuống dưới Lên 3000px Xuống 3000px

All times are GMT. The time now is 23:49.
VietBF - Vietnamese Best Forum Copyright ©2005 - 2025
User Alert System provided by Advanced User Tagging (Pro) - vBulletin Mods & Addons Copyright © 2025 DragonByte Technologies Ltd.
Log Out Unregistered

Page generated in 0.11237 seconds with 13 queries