HOME-Au
HOME-Au
24h
24h
USA
USA
GOP
GOP
Phim Bộ
Phim Bộ
Videoauto
VIDEO-Au
Donation
Donation
News Book
News Book
News 50
News 50
worldautoscroll
WORLD-Au
Breaking
Breaking
 

Go Back   VietBF > World > Vietnam News | Tin Việt Nam

Reply
Thread Tools
 
 
  #1  
Old  Default Té ngã và co giật, nam sinh 16 tuổi mắc động kinh khởi phát cục bộ
Nam sinh 16 tuổi ở Phú Thọ nhiều lần bất ngờ té ngã, co giật, sau thăm khám tại bệnh viện được chẩn đoán mắc động kinh khởi phát cục bộ chuyển thành co cứng – co giật hai bên.

Bệnh viện Đa khoa MEDLATEC thông tin, mới đây, bệnh viện tiếp nhận một trường hợp nam sinh 16 tuổi ở Phú Thọ nhiều lần bất ngờ té ngã, thậm chí co giật toàn thân dù trước đó hoàn toàn khỏe mạnh.

Qua thăm khám, các bác sĩ chẩn đoán em mắc động kinh khởi phát cục bộ chuyển thành cơn co cứng, co giật hai bên, một dạng động kinh có thể ảnh hưởng nghiêm trọng đến sức khỏe và sinh hoạt nếu không được phát hiện và điều trị kịp thời.

Theo gia đình bệnh nhân, trong vòng một năm qua, em đã trải qua ba lần ngã bất ngờ, mất ý thức. Lần gần nhất, người nhà chứng kiến em đột ngột mất ý thức, mắt quay sang một bên, toàn thân co cứng, kèm cơn co giật kéo dài 1-2 phút.

Khi cơn kết thúc, em dần tỉnh lại nhưng hoàn toàn không nhớ gì về sự việc. Những dấu hiệu này nhanh chóng khiến gia đình lo lắng và đưa em đến MEDLATEC thăm khám toàn diện.

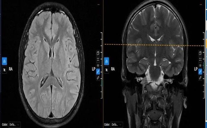
Tại MEDLATEC, kết quả điện não đồ ghi nhận hoạt động kịch phát trong dải tần số Theta, ưu thế bán cầu phải, có xu hướng lan tỏa sang cả hai bán cầu. Cộng hưởng từ não phát hiện vài nốt mất myelin rải rác tại đại não, trong khi các chỉ số xét nghiệm và thăm dò tim mạch không phát hiện bất thường nguy hiểm.


Hình ảnh cộng hưởng từ của bệnh nhân phát hiện vài nốt mất myelin rải rác tại đại não - Ảnh: BVCC.

Từ những kết quả này, các bác sĩ chẩn đoán M. mắc động kinh khởi phát cục bộ chuyển thành co cứng, co giật hai bên, đồng thời kê thuốc chống co giật điều trị ngoại trú, khuyến cáo gia đình theo dõi sát và hạn chế các hoạt động tiềm ẩn nguy cơ tai nạn.

Động kinh là một rối loạn thần kinh mạn tính, xảy ra khi các tế bào thần kinh trong não phát tín hiệu bất thường, gây ra các cơn co giật tái diễn. Bệnh có thể gặp ở mọi lứa tuổi nhưng trẻ em và thanh thiếu niên là nhóm chịu nhiều hệ lụy nhất, bởi bệnh ảnh hưởng trực tiếp đến học tập, sinh hoạt và tâm lý.

Nguyên nhân gây động kinh rất đa dạng: yếu tố di truyền, bất thường bẩm sinh của não, chấn thương sọ não, viêm não – màng não, di chứng thiếu oxy trong quá trình sinh… Trong nhiều trường hợp, nguyên nhân vẫn chưa thể xác định rõ ràng.

ThS.BS Bùi Thị Thanh – Chuyên khoa Thần kinh, Bệnh viện Đa khoa MEDLATEC nhấn mạnh: "Điều quan trọng nhất để giảm biến chứng và cải thiện chất lượng cuộc sống của trẻ là phát hiện sớm bệnh động kinh. Cha mẹ không nên bỏ qua bất kỳ biểu hiện bất thường nào dù chỉ thoáng qua".

BS. Thanh cho hay, những dấu hiệu cảnh báo có thể bao gồm trẻ bất ngờ ngã hoặc mất ý thức trong giây lát, mắt nhìn chằm chằm vô định, tay chân co giật nhẹ hoặc toàn thân rung lắc không kiểm soát, lặp đi lặp lại các hành vi vô thức như mấp máy môi, xoay đầu, nhai. Một số trẻ có cơn giật ngắn trong lúc ngủ, tỉnh dậy mệt mỏi bất thường.

Nhiều phụ huynh vẫn nghĩ động kinh là "bệnh không thể chữa khỏi", từ đó buông xuôi hoặc tìm đến các phương pháp dân gian.

BS. Thanh cảnh báo, việc điều trị gián đoạn, bỏ thuốc giữa chừng hay tự ý tăng giảm liều đều có thể khiến bệnh trở nên khó kiểm soát, thậm chí nguy hiểm tính mạng.

Hiện nay, y học có nhiều phương pháp kiểm soát động kinh như dùng thuốc chống co giật, phẫu thuật, hoặc áp dụng chế độ ăn đặc biệt. Trong đó, thuốc chống động kinh vẫn là phương pháp nền tảng, cần được sử dụng sớm và tuân thủ nghiêm ngặt chỉ định của bác sĩ.

Việc phát hiện và điều trị kịp thời không chỉ giúp kiểm soát cơn động kinh, giảm nguy cơ chấn thương do té ngã mà còn hỗ trợ trẻ duy trì học tập, phát triển tâm lý, xã hội bình thường. Đây chính là chìa khóa để trẻ có một tương lai khỏe mạnh, tự tin và hòa nhập cộng đồng.
Dịch trang: EnglishEnglish DeutschDeutsch FrançaisFrançais EspañolEspañol ItalianoItaliano PortuguêsPortuguês
NorskNorsk NederlandsNederlands DanskDansk SuomiSuomi PolskiPolski ČeštinaČeština РусскийРусский
日本語日本語 한국어한국어 中文(简体)中文(简体) 中文(繁體)中文(繁體) MagyarMagyar TürkçeTürkçe
العربيةالعربية ไทยไทย LatinaLatina हिन्दीहिन्दी Bahasa IndonesiaBahasa Indonesia Bahasa MelayuBahasa Melayu
VIETBF Hybrid Community Content Hub

HOT NEWS 24h

HOT 3 Days

NEWS 3 Days

HOT 7 Days

NEWS 7 Days

HOME

Breaking News

VietOversea

World News

Business News

Car News

Computer News

Game News

USA News

Mobile News

Music News

Movies News

History

Thơ Ca

Sport News

Stranger Stories

Comedy Stories

Cooking Chat

Nice Pictures

Fashion

School

Travelling

Funny Videos

Canada Tin Hay

USA Tin Hay

VietBF Homepage Autoscroll

VietBF Video Autoscroll Portal

Video Classic Master

iPad News Portal

VietBF iPad Music Portal

Tin nóng nhất 50h qua

Phim Bộ Online

iMusic Pro Max



TinNhanh247
R9 Tuyệt Đỉnh Tôn Sư
Release: 09-16-2025
Reputation: 14071

Profile:
Join Date: Oct 2014
Posts: 38,936
Last Update: None Rating: None
Attached Thumbnails
Click image for larger version

Name:	fffa772e61678839d176.jpg
Views:	0
Size:	39.7 KB
ID:	2572306  
TinNhanh247_is_offline
Thanks: 16
Thanked 1,805 Times in 1,643 Posts
Mentioned: 3 Post(s)
Tagged: 0 Thread(s)
Quoted: 11 Post(s)
Rep Power: 50
TinNhanh247 Reputation Uy Tín Level 6
TinNhanh247 Reputation Uy Tín Level 6TinNhanh247 Reputation Uy Tín Level 6TinNhanh247 Reputation Uy Tín Level 6TinNhanh247 Reputation Uy Tín Level 6TinNhanh247 Reputation Uy Tín Level 6TinNhanh247 Reputation Uy Tín Level 6TinNhanh247 Reputation Uy Tín Level 6TinNhanh247 Reputation Uy Tín Level 6TinNhanh247 Reputation Uy Tín Level 6TinNhanh247 Reputation Uy Tín Level 6TinNhanh247 Reputation Uy Tín Level 6TinNhanh247 Reputation Uy Tín Level 6TinNhanh247 Reputation Uy Tín Level 6TinNhanh247 Reputation Uy Tín Level 6TinNhanh247 Reputation Uy Tín Level 6TinNhanh247 Reputation Uy Tín Level 6TinNhanh247 Reputation Uy Tín Level 6
Dịch trang: EnglishEnglish DeutschDeutsch FrançaisFrançais EspañolEspañol ItalianoItaliano PortuguêsPortuguês
NorskNorsk NederlandsNederlands DanskDansk SuomiSuomi PolskiPolski ČeštinaČeština РусскийРусский
日本語日本語 한국어한국어 中文(简体)中文(简体) 中文(繁體)中文(繁體) MagyarMagyar TürkçeTürkçe
العربيةالعربية ไทยไทย LatinaLatina हिन्दीहिन्दी Bahasa IndonesiaBahasa Indonesia Bahasa MelayuBahasa Melayu
Reply

User Tag List



 

iPad Videos Portal Autoscroll

VietBF Music Portal Autoscroll

iPad News Portal Autoscroll

VietBF Homepage Autoscroll

VietBF Video Autoscroll Portal

USA News Autoscroll Portall

VietBF WORLD Autoscroll Portal

Video Classic Master Page

Super Widescreen

iPad World Portal Autoscroll

iPad USA Portal Autoscroll

Phim Bộ Online
Lên đầu Xuống dưới Lên 3000px Xuống 3000px

Tin nóng nhất 24h qua

Tin nóng nhất 3 ngày qua

Tin nóng nhất 7 ngày qua

Tin nóng nhất 30 ngày qua

Albums

Total Videos Online

Tranh luận sôi nổi nhất 7 ngày qua

Tranh luận sôi nổi nhất 14 ngày qua

Tranh luận sôi nổi nhất 30 ngày qua

10.000 Tin mới nhất

Tin tức Hoa Kỳ

Tin tức Công nghệ
Lên đầu Xuống dưới Lên 3000px Xuống 3000px

Duo Series Movies Portal

Duo Music Portal

Phim Bộ

Tỷ Giá

Thời Tiết

Tin Nóng Nhất 50h

Super News

School Cooking Traveling Portal

Enter Portal

Series Shows and Movies Online

Home Classic Master Page

Donation Ủng hộ $3 cho VietBF
Lên đầu Xuống dưới Lên 3000px Xuống 3000px
Diễn Đàn Người Việt Hải Ngoại. Tự do ngôn luận, an toàn và uy tín. Vì một tương lai tươi đẹp cho các thế hệ Việt Nam hãy ghé thăm chúng tôi, hãy tâm sự với chúng tôi mỗi ngày, mỗi giờ và mỗi giây phút có thể. VietBF.Com Xin cám ơn các bạn, chúc tất cả các bạn vui vẻ và gặp nhiều may mắn.
Welcome to Vietnamese American Community, Vietnamese European, Canadian, Australian Forum, Vietnamese Overseas Forum. Freedom of speech, safety and prestige. For a beautiful future for Vietnamese generations, please visit us, talk to us every day, every hour and every moment possible. VietBF.Com Thank you all and good luck.

Lên đầu Xuống dưới Lên 3000px Xuống 3000px

All times are GMT. The time now is 21:54.
VietBF - Vietnamese Best Forum Copyright ©2005 - 2026
User Alert System provided by Advanced User Tagging (Pro) - vBulletin Mods & Addons Copyright © 2026 DragonByte Technologies Ltd.
Log Out Unregistered

Page generated in 0.11634 seconds with 13 queries