HOME-Au
HOME-Au
24h
24h
USA
USA
GOP
GOP
Phim Bộ
Phim Bộ
Videoauto
VIDEO-Au
Donation
Donation
News Book
News Book
News 50
News 50
worldautoscroll
WORLD-Au
Breaking
Breaking
 

Go Back   VietBF > Others (Closed Forums) > Archive - Old News 2013 (closed)

 
Thread Tools
 
 
Default Bé gái 7 tuổi tự nhét chiếc nhẫn vào "vùng kín"
Old 06-18-2013   #1
Hanna
R10 Vô Địch Thiên Hạ
 
Join Date: Dec 2006
Posts: 88,250
Thanks: 11
Thanked 3,751 Times in 3,090 Posts
Mentioned: 5 Post(s)
Tagged: 0 Thread(s)
Quoted: 8 Post(s)
Rep Power: 110
Hanna Reputation Uy Tín Level 8
Hanna Reputation Uy Tín Level 8Hanna Reputation Uy Tín Level 8Hanna Reputation Uy Tín Level 8Hanna Reputation Uy Tín Level 8Hanna Reputation Uy Tín Level 8Hanna Reputation Uy Tín Level 8Hanna Reputation Uy Tín Level 8Hanna Reputation Uy Tín Level 8Hanna Reputation Uy Tín Level 8Hanna Reputation Uy Tín Level 8Hanna Reputation Uy Tín Level 8Hanna Reputation Uy Tín Level 8Hanna Reputation Uy Tín Level 8Hanna Reputation Uy Tín Level 8Hanna Reputation Uy Tín Level 8Hanna Reputation Uy Tín Level 8Hanna Reputation Uy Tín Level 8Hanna Reputation Uy Tín Level 8Hanna Reputation Uy Tín Level 8Hanna Reputation Uy Tín Level 8Hanna Reputation Uy Tín Level 8Hanna Reputation Uy Tín Level 8Hanna Reputation Uy Tín Level 8
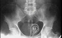
Các bác sĩ khoa ngoại niệu bệnh viện Nhi Đồng 2 TP.HCM vừa nội soi gắp ra một chiếc nhẫn kim loại ở âm đạo của bé gái 7 tuổi. Đó là trường hợp của bé M.N.G.A., nhập viện do viêm âm hộ kéo dài.

Theo lời người nhà, bé tiểu đục và hăm đỏ âm hộ khoảng hơn tháng nay, uống thuốc không giảm. Còn bé A. kể bé bị ngứa cửa mình nên tìm chiếc nhẫn nhét vào cho đỡ ngứa. Qua bệnh sử và thăm khám, các bác sĩ nghi ngờ đây là trường hợp có dị vật sâu bên trong vùng kín của bé nên mới gây viêm nhiễm kéo dài. Hiện bé đã hết tiểu đục và ngứa âm hộ.
ThS.BS Phan Tấn Đức, phẫu thuật viên chính, cho hay các trường hợp dị vật âm đạo khá thường gặp ở bé gái. Nếu không phát hiện sớm, bé sẽ bị viêm nhiễm vùng âm hộ kéo dài, đôi khi tạo các ổ mủ nằm sâu rất khó chữa. Dị vật hoặc do bé té xóc phải hoặc bé tự đưa vào.
Trong trường hợp bé tự đưa vào, có thể do bắt chước người lớn khi thấy nhét thuốc cho em, hoặc có thể là những rối loạn hành vi mắc phải ở trẻ.
Tuy nhiên, một nguyên nhân khác thường gặp và khá phổ biến là bé bị nhiễm giun kim. Giun sẽ từ hậu môn bò sang và chui âm đạo của bé gây ngứa, nên bé sẽ tìm vật gì đó nhét vào để đỡ ngứa. Vì vậy, các bậc cha mẹ nên lưu ý và đưa bé đi khám khi thấy bé tối ngủ không yên hoặc thường hay gãi hoặc sờ mó vùng kín, nhất là bé gái, tránh các trường hợp đáng tiếc xảy ra.
FML
Hanna_is_offline  
Attached Thumbnails
Click image for larger version

Name:	BBB.jpg
Views:	219
Size:	6.2 KB
ID:	483723  
 
User Tag List



 

iPad Videos Portal Autoscroll

VietBF Music Portal Autoscroll

iPad News Portal Autoscroll

VietBF Homepage Autoscroll

VietBF Video Autoscroll Portal

USA News Autoscroll Portall

VietBF WORLD Autoscroll Portal

Video Classic Master Page

Super Widescreen

iPad World Portal Autoscroll

iPad USA Portal Autoscroll

Phim Bộ Online
Lên đầu Xuống dưới Lên 3000px Xuống 3000px

Tin nóng nhất 24h qua

Tin nóng nhất 3 ngày qua

Tin nóng nhất 7 ngày qua

Tin nóng nhất 30 ngày qua

Albums

Total Videos Online

Tranh luận sôi nổi nhất 7 ngày qua

Tranh luận sôi nổi nhất 14 ngày qua

Tranh luận sôi nổi nhất 30 ngày qua

10.000 Tin mới nhất

Tin tức Hoa Kỳ

Tin tức Công nghệ
Lên đầu Xuống dưới Lên 3000px Xuống 3000px

Duo Series Movies Portal

Duo Music Portal

Phim Bộ

Tỷ Giá

Thời Tiết

Tin Nóng Nhất 50h

Super News

School Cooking Traveling Portal

Enter Portal

Series Shows and Movies Online

Home Classic Master Page

Donation Ủng hộ $3 cho VietBF
Lên đầu Xuống dưới Lên 3000px Xuống 3000px
Diễn Đàn Người Việt Hải Ngoại. Tự do ngôn luận, an toàn và uy tín. Vì một tương lai tươi đẹp cho các thế hệ Việt Nam hãy ghé thăm chúng tôi, hãy tâm sự với chúng tôi mỗi ngày, mỗi giờ và mỗi giây phút có thể. VietBF.Com Xin cám ơn các bạn, chúc tất cả các bạn vui vẻ và gặp nhiều may mắn.
Welcome to Vietnamese American Community, Vietnamese European, Canadian, Australian Forum, Vietnamese Overseas Forum. Freedom of speech, safety and prestige. For a beautiful future for Vietnamese generations, please visit us, talk to us every day, every hour and every moment possible. VietBF.Com Thank you all and good luck.

Lên đầu Xuống dưới Lên 3000px Xuống 3000px

All times are GMT. The time now is 05:28.
VietBF - Vietnamese Best Forum Copyright ©2005 - 2026
User Alert System provided by Advanced User Tagging (Pro) - vBulletin Mods & Addons Copyright © 2026 DragonByte Technologies Ltd.
Log Out Unregistered

Page generated in 0.10237 seconds with 13 queries