HOME-Au
HOME-Au
24h
24h
USA
USA
GOP
GOP
Phim Bộ
Phim Bộ
Videoauto
VIDEO-Au
Home Classic
Home Classic
Donation
Donation
News Book
News Book
News 50
News 50
worldautoscroll
WORLD-Au
Breaking
Breaking
 

Go Back   VietBF > World Box| Thế Giới > World News|Tin Thế Giới > World News |Tin Thế Giới 2006-2019


 
 
Thread Tools
  #1  
Old  Default Giun chỉ dài 1m sống trong bàn chân hơn 4 năm mà không hay biết
Điều kỳ lạ là trong suốt 4 năm, người đàn ông không hề hay biết rằng đang có một vật thể sống kinh dị trong bàn chân của mình.

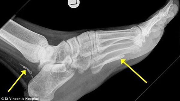
Sau khi tiếp nhận ca nhiễm giun sán của một người đàn ông 38 tuổi gốc châu Phi, các bác sĩ thuộc Bệnh viện St. Vincent tại thành phố Sydney, Úc đã phải công nhận đây là một trong những ca nhiễm trùng kinh hoàng nhất mà họ từng bắt gặp. Hình ảnh chụp X-quang cho thấy con giun chỉ có chiều dài khoảng 1m đã sống hơn 4 năm trong bàn chân của người đàn ông này.


Hình ảnh chụp X-quang bàn chân của người đàn ông Sudan.

Tờ Sydney Morning Herald đưa tin, người đàn ông gốc Sudan đã tới Úc cách đây 4 năm nhưng gần đây, anh mới tới bệnh viện thăm khám vì một bên chân bị phù nề lên sau gần 1 năm đau nhức. Bác sĩ Jonathan Darby, người phụ trách điều trị cho biết, trong bàn chân của người đàn ông này có 2 phần thân của giun chỉ châu Phi, một ở đằng sau mắt cá chân và một ở lòng bàn chân. Theo phán đoán của bác sĩ Darby, có lẽ con giun này đã chết và bắt đầu đang phân hủy.

Thông thường, giun chỉ sống trong ruột của vật chủ và tấn công cơ thể thông qua đường nước uống khi chúng vẫn còn là ấu trùng. Sau đó, chúng mới bắt đầu đào sâu vào thịt và đi lại tự do dưới da vật chủ. Toàn bộ quá trình có thể kéo dài tới vài năm.

Điều kỳ lạ là trong suốt 4 năm, người đàn ông không hề hay biết rằng đang có một vật thể sống kinh dị trong bàn chân của mình. Hiện sau ca phẫu thuật gắp bỏ con giun ra, anh đã hoàn toàn bình phục.

kenh14 / Daily Mail
VIETBF Diễn Đàn Hay Nhất Của Người Việt Nam

HOT NEWS 24h

HOT 3 Days

NEWS 3 Days

HOT 7 Days

NEWS 7 Days

HOME

Breaking News

VietOversea

World News

Business News

Car News

Computer News

Game News

USA News

Mobile News

Music News

Movies News

History

Thơ Ca

Sport News

Stranger Stories

Comedy Stories

Cooking Chat

Nice Pictures

Fashion

School

Travelling

Funny Videos

Canada Tin Hay

USA Tin Hay

VietBF Homepage Autoscroll

VietBF Video Autoscroll Portal

Home Classic

Home Classic Master Page



tonycarter
R9 Tuyệt Đỉnh Tôn Sư
tonycarter's Avatar
Release: 12-18-2014
Reputation: 551


Profile:
Join Date: Dec 2008
Posts: 44,699
Last Update: None Rating: None
Attached Thumbnails
Click image for larger version

Name:	141212_2giun-72b92.jpg
Views:	0
Size:	33.9 KB
ID:	710084  
tonycarter_is_offline
Thanks: 262
Thanked 591 Times in 456 Posts
Mentioned: 0 Post(s)
Tagged: 0 Thread(s)
Quoted: 1 Post(s)
Rep Power: 61
tonycarter Reputation Uy Tín Level 2tonycarter Reputation Uy Tín Level 2tonycarter Reputation Uy Tín Level 2tonycarter Reputation Uy Tín Level 2tonycarter Reputation Uy Tín Level 2tonycarter Reputation Uy Tín Level 2
 
User Tag List


IKEA khai trương cửa hàng đầu tiên ở New Zealand: Người Kiwi xếp hàng từ tờ mờ sáng Nước Mỹ không dung dưỡng kẻ vô ơn: Tị nạn, di dân và cơn giận của Donald Trump Dư âm Giáng Sinh Sài Gòn xưa: Từ mùa sao sáng đến thánh ca buồn
Lê Duẩn – Mao Trạch Đông và cái giá “lá chắn phương Nam” của Việt Nam Trung Quốc hủy 540.000 vé sang Nhật: Đòn răn đe hay cú “tự bắn vào chân”? Trump xóa bỏ tiêu chuẩn nhiên liệu thời Biden
Mỹ đã hiểu sai tham vọng của Đảng Cộng sản Trung Quốc và đánh giá thấp sự quyết liệt tàn nhẫn của họ Tị nạn, thẻ xanh, visa du học cùng bị “khóa cửa” Khi bia Mexico gặp búa trừng phạt di trú của Trump: Cú ngã đau của đế chế Modelo – Corona
Biển số 37.77: Thông điệp ngầm của Thủ tướng Nhật Takaichi Sanae gửi Bắc Kinh Quốc tịch Mỹ: Tường thành gần như tuyệt đối cho người nhập tịch Con gái Hà Nội, giọt nước dưới mặt lá
Những tay giang hồ miền Nam: huyền thoại, bóng tối và cái giá phải trả Huỳnh Điều – “anh lớp Ba” mà Cộng sản sợ cái miệng hơn sợ khẩu M.79 Tiếng súng 9 giờ sáng ở Florida và hành trình cuối của nữ deputy Terri Sweeting-Mashkow
“Giang sơn” nào được sắp xếp, và sắp xếp cho ai? Sau 40 tuổi, khuôn mặt là “bản lý lịch” của tâm hồn Siêu biệt phủ trăm tỷ của Chủ tịch phường Hải Phòng: “Đại Lộc Thiên tử” giữa làng nghèo
Từ vụ sạc 24 giờ ở Mỹ đến chết yểu ở Ấn Độ: VinFast và câu hỏi dành cho người Việt Khi chú Hòa xây nhà bình dân: những kiệt tác âm thầm giữa lòng Sài Gòn Việt Nam – Xứ sở của những người bị bắt phải học nghề đói
Mailisa bị bắt và ký ức đôi vợ chồng ăn chay đi chùa Đi Hàn, đi Nhật rồi nhìn lại Việt Nam: yêu nước đâu chỉ nói trên môi Nepal – Đất nước sống ở năm 2082 giữa trái tim Himalaya
Nicholas Winton – Người hùng thầm lặng cứu 669 đứa trẻ khỏi bóng đen Đức Quốc Xã Bi kịch giáo sư Yoshihiro Sato: khi dữ liệu đẹp đổi lấy danh dự và cái chết Sự ngu dốt của bọn có học – từ Nguyễn Huy Thiệp đến thời những lời nói lật ngược sự thật

 
Lên đầu Xuống dưới Lên 3000px Xuống 3000px

iPad Videos Portal Autoscroll

VietBF Music Portal Autoscroll

iPad News Portal Autoscroll

VietBF Homepage Autoscroll

VietBF Video Autoscroll Portal

USA News Autoscroll Portall

VietBF WORLD Autoscroll Portal

Home Classic

Super Widescreen

iPad World Portal Autoscroll

iPad USA Portal Autoscroll

Phim Bộ Online

Tin nóng nhất 24h qua

Tin nóng nhất 3 ngày qua

Tin nóng nhất 7 ngày qua

Tin nóng nhất 30 ngày qua

Albums

Total Videos Online
Lên đầu Xuống dưới Lên 3000px Xuống 3000px

Tranh luận sôi nổi nhất 7 ngày qua

Tranh luận sôi nổi nhất 14 ngày qua

Tranh luận sôi nổi nhất 30 ngày qua

10.000 Tin mới nhất

Tin tức Hoa Kỳ

Tin tức Công nghệ
Lên đầu Xuống dưới Lên 3000px Xuống 3000px

Super News

School Cooking Traveling Portal

Enter Portal

Series Shows and Movies Online

Home Classic Master Page

Donation Ủng hộ $3 cho VietBF
Lên đầu Xuống dưới Lên 3000px Xuống 3000px
Diễn Đàn Người Việt Hải Ngoại. Tự do ngôn luận, an toàn và uy tín. Vì một tương lai tươi đẹp cho các thế hệ Việt Nam hãy ghé thăm chúng tôi, hãy tâm sự với chúng tôi mỗi ngày, mỗi giờ và mỗi giây phút có thể. VietBF.Com Xin cám ơn các bạn, chúc tất cả các bạn vui vẻ và gặp nhiều may mắn.
Welcome to Vietnamese American Community, Vietnamese European, Canadian, Australian Forum, Vietnamese Overseas Forum. Freedom of speech, safety and prestige. For a beautiful future for Vietnamese generations, please visit us, talk to us every day, every hour and every moment possible. VietBF.Com Thank you all and good luck.

Lên đầu Xuống dưới Lên 3000px Xuống 3000px

All times are GMT. The time now is 02:09.
VietBF - Vietnamese Best Forum Copyright ©2005 - 2025
User Alert System provided by Advanced User Tagging (Pro) - vBulletin Mods & Addons Copyright © 2025 DragonByte Technologies Ltd.
Log Out Unregistered

Page generated in 0.09922 seconds with 13 queries