HOME-Au
HOME-Au
24h
24h
USA
USA
GOP
GOP
Phim Bộ
Phim Bộ
Videoauto
VIDEO-Au
Home Classic
Home Classic
Donation
Donation
News Book
News Book
News 50
News 50
worldautoscroll
WORLD-Au
Breaking
Breaking
 

Go Back   VietBF > World Box| Thế Giới > World News|Tin Thế Giới > World News |Tin Thế Giới 2006-2019


 
 
Thread Tools
  #1  
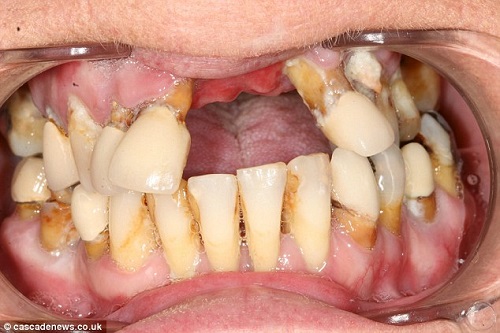
Old  Default Rợn người với hàm răng mốc meo sau 10 năm không vệ sinh!
10 năm trời, Angie Barlow chỉ dùng keo siêu dính để gắn răng vào lợi vì sợ phải đi khám. Và cái kết cho sự ngu xuẩn đấy là…

"Tôi rất sợ phải đến nha sĩ bởi mẹ tôi mất ở tuổi 34 vì bệnh ung thư vòm họng. Bà đi nhổ răng và nhờ đó mà bác sĩ phát hiện ra bệnh ung thư," cô tâm sự.

Nỗi sợ hãi ám ảnh nhiều năm đến mức khi răng hỏng và rụng vì hút thuốc lá quá nhiều, Angie vẫn không dám đến nha sĩ. Không muốn hàm răng của mình bị "mở cửa sổ", cô tìm cách chữa bệnh tại nhà bằng cách mua keo dính.

"Tôi bôi keo lên răng rồi đặt răng vào lợi cho đến khi chúng dính chắc," cô kể.

Thế nhưng nỗ lực hàn gắn của cô kết thúc bằng một cơn ác mộng vì Angie không lường trước được tác hại của keo dính. Các chất độc hại phá hủy 90% xương hỗ trợ hàm, làm hỏng toàn bộ hàm răng.

Kể từ đó Angi trở nên tự ti với nụ cười của mình. Cô rất ngại phải đi ra ngoài mua sắm và thậm chí còn không dám nói chuyện thoải mái với con trai. Chỉ đến khi sự tình đã trở nên quá tệ hại, Angie mới vượt qua được nỗi sợ hãi và quyết tâm đến gặp nha sĩ.

Bác sĩ Serpil Djemal thuộc Bệnh viện Kings College, tả lại: "Đây có lẽ là ca tồi tệ nhất mà tôi từng gặp và có lẽ là ca thể hiện rõ nhất nỗi tuyệt vọng khi mà cô ấy phải dùng keo để dính răng lại như thế".

Toàn bộ 11 răng ở hàm trên bị nhổ ra và 6 chiếc ốc titan được gắn vào để giữ 12 chiếc răng mới.

"Mọi người đều nói tôi có gì đó thay đổi. Các bạn tôi thì phải thốt lên "Trời ạ, cậu trở nên cởi mở hơn", Angie kể.

VietBF © Sưu Tầm
VIETBF Diễn Đàn Hay Nhất Của Người Việt Nam

HOT NEWS 24h

HOT 3 Days

NEWS 3 Days

HOT 7 Days

NEWS 7 Days

HOME

Breaking News

VietOversea

World News

Business News

Car News

Computer News

Game News

USA News

Mobile News

Music News

Movies News

History

Thơ Ca

Sport News

Stranger Stories

Comedy Stories

Cooking Chat

Nice Pictures

Fashion

School

Travelling

Funny Videos

Canada Tin Hay

USA Tin Hay

VietBF Homepage Autoscroll

VietBF Video Autoscroll Portal

Home Classic

Home Classic Master Page

VietBF iPad Music Portal

Tin nóng nhất 50h qua

Phim Bộ Online

Phim Bộ



miro1510
R9 Tuyệt Đỉnh Tôn Sư
Release: 06-07-2015
Reputation: 13837


Profile:
Join Date: Oct 2014
Posts: 47,133
Last Update: None Rating: None
Attached Thumbnails
Click image for larger version

Name:	51.1.jpg
Views:	0
Size:	65.0 KB
ID:	773864  
miro1510_is_offline
Thanks: 9
Thanked 2,096 Times in 1,935 Posts
Mentioned: 3 Post(s)
Tagged: 0 Thread(s)
Quoted: 8 Post(s)
Rep Power: 59
miro1510 Reputation Uy Tín Level 6
miro1510 Reputation Uy Tín Level 6miro1510 Reputation Uy Tín Level 6miro1510 Reputation Uy Tín Level 6miro1510 Reputation Uy Tín Level 6miro1510 Reputation Uy Tín Level 6miro1510 Reputation Uy Tín Level 6miro1510 Reputation Uy Tín Level 6miro1510 Reputation Uy Tín Level 6miro1510 Reputation Uy Tín Level 6miro1510 Reputation Uy Tín Level 6miro1510 Reputation Uy Tín Level 6miro1510 Reputation Uy Tín Level 6miro1510 Reputation Uy Tín Level 6miro1510 Reputation Uy Tín Level 6miro1510 Reputation Uy Tín Level 6miro1510 Reputation Uy Tín Level 6
Old 06-08-2015   #2
Tia_qthinh
R7 Tuyệt Đỉnh Cao Thủ
 
Tia_qthinh's Avatar
 
Join Date: Jan 2013
Location: Địt cụ ! hồ chó đẻ
Posts: 9,364
Thanks: 274
Thanked 1,047 Times in 831 Posts
Mentioned: 0 Post(s)
Tagged: 0 Thread(s)
Quoted: 241 Post(s)
Rep Power: 22
Tia_qthinh Reputation Uy Tín Level 1
Default

Làm sao rợn bằng miệng thằng chệt Mao trạch Đông, 30, 40 năm không đánh răng, đến nổi răng tự rụng vô tội vạ !!!
Tia_qthinh_is_offline  
Old 06-08-2015   #3
hoaibao
R6 Đệ Nhất Cao Thủ
 
hoaibao's Avatar
 
Join Date: Jun 2009
Posts: 4,308
Thanks: 324
Thanked 1,356 Times in 818 Posts
Mentioned: 0 Post(s)
Tagged: 0 Thread(s)
Quoted: 276 Post(s)
Rep Power: 21
hoaibao Reputation Uy Tín Level 6
hoaibao Reputation Uy Tín Level 6hoaibao Reputation Uy Tín Level 6hoaibao Reputation Uy Tín Level 6hoaibao Reputation Uy Tín Level 6hoaibao Reputation Uy Tín Level 6hoaibao Reputation Uy Tín Level 6hoaibao Reputation Uy Tín Level 6hoaibao Reputation Uy Tín Level 6hoaibao Reputation Uy Tín Level 6hoaibao Reputation Uy Tín Level 6hoaibao Reputation Uy Tín Level 6hoaibao Reputation Uy Tín Level 6hoaibao Reputation Uy Tín Level 6hoaibao Reputation Uy Tín Level 6hoaibao Reputation Uy Tín Level 6
Default

Nha sĩ nào khéo tay, giỏi nghề quá.
hoaibao_is_offline  
Old 06-08-2015   #4
hoaibao
R6 Đệ Nhất Cao Thủ
 
hoaibao's Avatar
 
Join Date: Jun 2009
Posts: 4,308
Thanks: 324
Thanked 1,356 Times in 818 Posts
Mentioned: 0 Post(s)
Tagged: 0 Thread(s)
Quoted: 276 Post(s)
Rep Power: 21
hoaibao Reputation Uy Tín Level 6
hoaibao Reputation Uy Tín Level 6hoaibao Reputation Uy Tín Level 6hoaibao Reputation Uy Tín Level 6hoaibao Reputation Uy Tín Level 6hoaibao Reputation Uy Tín Level 6hoaibao Reputation Uy Tín Level 6hoaibao Reputation Uy Tín Level 6hoaibao Reputation Uy Tín Level 6hoaibao Reputation Uy Tín Level 6hoaibao Reputation Uy Tín Level 6hoaibao Reputation Uy Tín Level 6hoaibao Reputation Uy Tín Level 6hoaibao Reputation Uy Tín Level 6hoaibao Reputation Uy Tín Level 6hoaibao Reputation Uy Tín Level 6
Default

Trước khi răng của tên cướp Mao Trạch rụng thì nó có bị nhứt răng, sưng nứu răng không vậy đại ca.
hoaibao_is_offline  
Old 06-10-2015   #5
NongDan
R9 Tuyệt Đỉnh Tôn Sư
 
NongDan's Avatar
 
Join Date: Feb 2013
Posts: 34,648
Thanks: 596
Thanked 1,577 Times in 1,236 Posts
Mentioned: 0 Post(s)
Tagged: 0 Thread(s)
Quoted: 690 Post(s)
Rep Power: 47
NongDan Reputation Uy Tín Level 4NongDan Reputation Uy Tín Level 4NongDan Reputation Uy Tín Level 4NongDan Reputation Uy Tín Level 4NongDan Reputation Uy Tín Level 4NongDan Reputation Uy Tín Level 4NongDan Reputation Uy Tín Level 4NongDan Reputation Uy Tín Level 4NongDan Reputation Uy Tín Level 4NongDan Reputation Uy Tín Level 4NongDan Reputation Uy Tín Level 4NongDan Reputation Uy Tín Level 4NongDan Reputation Uy Tín Level 4NongDan Reputation Uy Tín Level 4NongDan Reputation Uy Tín Level 4
Default

có ai dám hôn bà này không ?
NongDan_is_offline  
 
User Tag List


Công dân Mỹ cũng có thể bị ICE bắt nhầm: ‘Xứ tự do’ và nỗi sợ gõ cửa lúc nửa đêm Khi CIA mù tịt, còn một tướng VNCH đã nhìn ra trước Kinh tế Trung Quốc kẹt giữa lạm phát và giảm phát
Hàng Tàu phá vây thuế quan, Trump khoe kinh tế A+++ và chiếc ví rỗng của người Mỹ Nguyễn Cao Kỳ, cái chết bất ngờ và bài học đắt giá về ‘hòa hợp hòa giải’ Trung Quốc siết cổ doanh nghiệp Việt: Cuộc xâm lược thương mại ngay trên sân nhà
Mỹ đuổi thẳng tay nếu chửi Mỹ trên Facebook Hòa bình mong manh cho Ukraine: Kế hoạch 20 điểm, sức ép từ Trump và bài toán bầu cử giữa làn đạn Fed cắt lãi suất lần thứ ba liên tiếp: Powell “phanh gấp”, túi tiền người Mỹ thay đổi ra sao?
IKEA khai trương cửa hàng đầu tiên ở New Zealand: Người Kiwi xếp hàng từ tờ mờ sáng Nước Mỹ không dung dưỡng kẻ vô ơn: Tị nạn, di dân và cơn giận của Donald Trump Dư âm Giáng Sinh Sài Gòn xưa: Từ mùa sao sáng đến thánh ca buồn
Lê Duẩn – Mao Trạch Đông và cái giá “lá chắn phương Nam” của Việt Nam Trung Quốc hủy 540.000 vé sang Nhật: Đòn răn đe hay cú “tự bắn vào chân”? Trump xóa bỏ tiêu chuẩn nhiên liệu thời Biden
Mỹ đã hiểu sai tham vọng của Đảng Cộng sản Trung Quốc và đánh giá thấp sự quyết liệt tàn nhẫn của họ Tị nạn, thẻ xanh, visa du học cùng bị “khóa cửa” Khi bia Mexico gặp búa trừng phạt di trú của Trump: Cú ngã đau của đế chế Modelo – Corona
Biển số 37.77: Thông điệp ngầm của Thủ tướng Nhật Takaichi Sanae gửi Bắc Kinh Quốc tịch Mỹ: Tường thành gần như tuyệt đối cho người nhập tịch Con gái Hà Nội, giọt nước dưới mặt lá
Những tay giang hồ miền Nam: huyền thoại, bóng tối và cái giá phải trả Huỳnh Điều – “anh lớp Ba” mà Cộng sản sợ cái miệng hơn sợ khẩu M.79 Tiếng súng 9 giờ sáng ở Florida và hành trình cuối của nữ deputy Terri Sweeting-Mashkow
“Giang sơn” nào được sắp xếp, và sắp xếp cho ai? Sau 40 tuổi, khuôn mặt là “bản lý lịch” của tâm hồn Siêu biệt phủ trăm tỷ của Chủ tịch phường Hải Phòng: “Đại Lộc Thiên tử” giữa làng nghèo
Từ vụ sạc 24 giờ ở Mỹ đến chết yểu ở Ấn Độ: VinFast và câu hỏi dành cho người Việt Khi chú Hòa xây nhà bình dân: những kiệt tác âm thầm giữa lòng Sài Gòn Việt Nam – Xứ sở của những người bị bắt phải học nghề đói
Mailisa bị bắt và ký ức đôi vợ chồng ăn chay đi chùa Đi Hàn, đi Nhật rồi nhìn lại Việt Nam: yêu nước đâu chỉ nói trên môi Nepal – Đất nước sống ở năm 2082 giữa trái tim Himalaya
Nicholas Winton – Người hùng thầm lặng cứu 669 đứa trẻ khỏi bóng đen Đức Quốc Xã Bi kịch giáo sư Yoshihiro Sato: khi dữ liệu đẹp đổi lấy danh dự và cái chết Sự ngu dốt của bọn có học – từ Nguyễn Huy Thiệp đến thời những lời nói lật ngược sự thật

 
Lên đầu Xuống dưới Lên 3000px Xuống 3000px

iPad Videos Portal Autoscroll

VietBF Music Portal Autoscroll

iPad News Portal Autoscroll

VietBF Homepage Autoscroll

VietBF Video Autoscroll Portal

USA News Autoscroll Portall

VietBF WORLD Autoscroll Portal

Home Classic

Super Widescreen

iPad World Portal Autoscroll

iPad USA Portal Autoscroll

Phim Bộ Online

Tin nóng nhất 24h qua

Tin nóng nhất 3 ngày qua

Tin nóng nhất 7 ngày qua

Tin nóng nhất 30 ngày qua

Albums

Total Videos Online
Lên đầu Xuống dưới Lên 3000px Xuống 3000px

Tranh luận sôi nổi nhất 7 ngày qua

Tranh luận sôi nổi nhất 14 ngày qua

Tranh luận sôi nổi nhất 30 ngày qua

10.000 Tin mới nhất

Tin tức Hoa Kỳ

Tin tức Công nghệ
Lên đầu Xuống dưới Lên 3000px Xuống 3000px

Super News

School Cooking Traveling Portal

Enter Portal

Series Shows and Movies Online

Home Classic Master Page

Donation Ủng hộ $3 cho VietBF
Lên đầu Xuống dưới Lên 3000px Xuống 3000px
Diễn Đàn Người Việt Hải Ngoại. Tự do ngôn luận, an toàn và uy tín. Vì một tương lai tươi đẹp cho các thế hệ Việt Nam hãy ghé thăm chúng tôi, hãy tâm sự với chúng tôi mỗi ngày, mỗi giờ và mỗi giây phút có thể. VietBF.Com Xin cám ơn các bạn, chúc tất cả các bạn vui vẻ và gặp nhiều may mắn.
Welcome to Vietnamese American Community, Vietnamese European, Canadian, Australian Forum, Vietnamese Overseas Forum. Freedom of speech, safety and prestige. For a beautiful future for Vietnamese generations, please visit us, talk to us every day, every hour and every moment possible. VietBF.Com Thank you all and good luck.

Lên đầu Xuống dưới Lên 3000px Xuống 3000px

All times are GMT. The time now is 22:19.
VietBF - Vietnamese Best Forum Copyright ©2005 - 2025
User Alert System provided by Advanced User Tagging (Pro) - vBulletin Mods & Addons Copyright © 2025 DragonByte Technologies Ltd.
Log Out Unregistered

Page generated in 0.13393 seconds with 13 queries