HOME-Au
HOME-Au
24h
24h
USA
USA
GOP
GOP
Phim Bộ
Phim Bộ
Videoauto
VIDEO-Au
Home Classic
Home Classic
Donation
Donation
News Book
News Book
News 50
News 50
worldautoscroll
WORLD-Au
Breaking
Breaking
 

Go Back   VietBF > Other News|Tin Khác > School | Kiến thức > School | Kiến thức 2006-2019


 
 
Thread Tools
  #1  
Old  Default Cảnh báo: Căn bệnh vô cùng nguy hiểm gây tử vong cao mà bạn nên biết
Bệnh về răng miệng là những căn bệnh khá phổ biến mà bất kì ai cũngđã từng mắc phải. Tuy nhiên, nhiều người cho rằng bệnh liên quan đến nha chu lại không nguy hiểm và thường chủ quan bỏ qua chúng. Sau khi đọc xong bài viết này, bạn sẽ không bao giờ dám coi thường những bệnh liên quan đến răng miệng nữa.



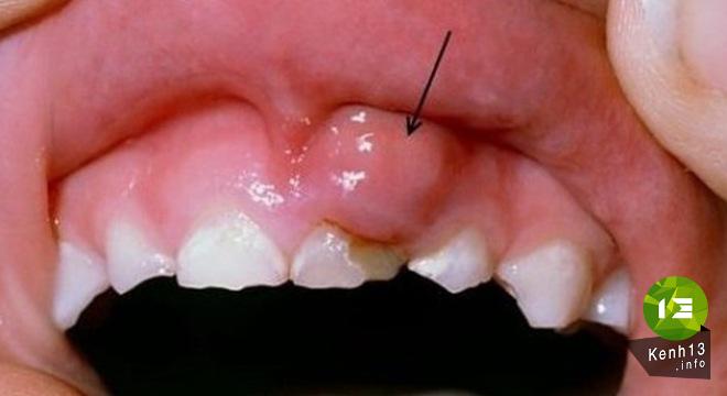
Khi xảy ra áp xe răng, nếu không được điều trị sẽ dẫn đến những biến chứng nghiêm trọng, thậm chí là đe dọa tính mạng.Tử vong vì áp xe răng lây sang não.

Năm 2007, một sự kiện không may đã làm các cơ quan truyền thông và các tổ chức y tế đặc biệt chú ý, đó là việc cậu bé Deamonte Driver, người Mỹ, đã bị chết sau khi bị biến chứng áp xe răng lây sang não.
Từ đó đến nay, những ca bệnh tử vong do nhiễm trùng qua đường răng miệng không còn hiếm gặp. Đặc biệt là ở Mỹ, số bệnh nhân mắc bệnh này ngày một gia tăng. Tạp chí The Journal of Endodontics (Tạp chí nội nha) đưa thông tin số bệnh nhân phải nằm viện vì nhiễm trùng ở chóp gốc răng (còn gọi là áo xe quanh chóp) tăng hơn 400% (số liệu năm 2008). Có khoảng 66 bệnh nhân tử vong ngày sau khi nhập viện.

1. Nguyên nhân gây ra áp xe răng:
Áp xe răng xảy ra khi vi khuẩn xâm nhập vào tủy răng, mô mềm trong cùng một phần của răng có chứa mạch máu, dây thần kinh và mô liên kết gây nên sưng tấy và viêm, tạo thành túi mủ (áp xe). Áp xe răng thường bị tăng nguy cơ khi có những yếu tố sau đây:
– Vệ sinh răng miệng kém.
– Ăn nhiều đường.
– Vấn đề khác về sức khỏe.

2. Biến chứng nguy hiểm của áp xe răng:
Bệnh áp xe răng không thể tự khỏi nếu không điều trị. Nếu không được điều trị mà các áp xe vỡ, cơn đau có thể giảm đáng kể nhưng bạn vẫn cần đến nha sĩ để điều trị triệt để.
Nếu áp xe không vỡ thông hết, nhiễm trùng có thể lan đến xương hàm và các khu vực khác của đầu và cổ, thậm chí có thể dẫn đến nhiễm trùng huyết, đe dọa nhiễm trùng lan rộng và nguy hiểm đến tính mạng.

3. Những triệu chứng của áp xe răng
– Đau răng, nhai đau, cắn mạnh thậm chí ngậm miệng cũng cảm thấy đau.
– Nhạy cảm với các thức ăn nóng hoặc lạnh.
– Có vị đắng trong miệng
– Hơi thở có mùi có khịu, miệng hôi.
– Có thể có triệu chứng nóng, sốt.
– Sưng hạch cổ.
– Người không khỏe, mệt mỏi.
– Sưng hàm trên hoặc hàm dưới.

4. Phòng ngừa áp xe răng:
– Vệ sinh răng miệng sạch sẽ, đánh răng súc miệng hàng ngày sau mỗi bữa ăn và trước khi đi ngủ.
– Dùng chỉ tơ nha khoa làm sạch răng sau các bữa ăn để loại trừ mảng bám gây sâu răng.
– Súc miệng bằng nước lọc sau khi ăn đồ ngọt.
– Khám nha khoa định kỳ để phát hiện kịp thời sâu răng và các vấn đề răng miệng khác.
– Bổ sung flour bằng cách uống dạng viên và đánh răng bằng kem đánh răng có chứa flour.

hoalyly@vietbf sưu tầm
VIETBF Diễn Đàn Hay Nhất Của Người Việt Nam

HOT NEWS 24h

HOT 3 Days

NEWS 3 Days

HOT 7 Days

NEWS 7 Days

HOME

Breaking News

VietOversea

World News

Business News

Car News

Computer News

Game News

USA News

Mobile News

Music News

Movies News

History

Thơ Ca

Sport News

Stranger Stories

Comedy Stories

Cooking Chat

Nice Pictures

Fashion

School

Travelling

Funny Videos

Canada Tin Hay

USA Tin Hay

VietBF Homepage Autoscroll

VietBF Video Autoscroll Portal

Home Classic

Home Classic Master Page



hoalyly
R7 Tuyệt Đỉnh Cao Thủ
Release: 11-17-2015
Reputation: 111


Profile:
Join Date: Mar 2015
Posts: 9,577
Last Update: None Rating: None
Attached Thumbnails
Click image for larger version

Name:	ap-xe-rang-1447667940018-66-0-410-675-crop-1447667958315.jpg
Views:	0
Size:	21.9 KB
ID:	829859  
hoalyly_is_offline
Thanks: 1
Thanked 379 Times in 349 Posts
Mentioned: 2 Post(s)
Tagged: 0 Thread(s)
Quoted: 1 Post(s)
Rep Power: 20
hoalyly Reputation Uy Tín Level 1hoalyly Reputation Uy Tín Level 1
 
User Tag List


Thời mafia lộng hành: Donald Trump và Vladimir Putin biến nền ngoại giao cổ điển trở thành chuyện làm ăn Sáu câu hỏi của thế hệ sau chiến tranh: Giải phóng ai, giải phóng khỏi điều gì? Báo động ngành nails: 5 người bị bắt, 2 tiệm niêm phong, chủ đối mặt án tù vì thuê người không giấy tờ
VinFast ở North Carolina đứng trước nguy cơ bị “thu hồi đất vàng”, Vingroup quay xe sang Ấn Độ với canh bạc 3 tỷ USD Bệnh khoe của và cơn nghiện “chứng tỏ mình” của người Việt thời mạng xã hội Khi Nhật Bản đứng trước cám dỗ hạt nhân: Bao lâu nữa Tokyo phải tự võ trang?
Sài Gòn “chập mạch” dễ thương: thành phố không thiếu tiền, chỉ dư tình người Zelensky tuyên bố sẵn sàng bầu cử giữa làn đạn, bác cáo buộc “trốn phiếu” của Trump Lời hứa muộn màng của người lính cũ
Khi doanh nghiệp Mỹ nổi loạn vì thuế quan Trump muốn học mô hình hưu trí “super” của Úc: Bắt buộc tiết kiệm cho tuổi già Từ cô thợ nails tị nạn đến chủ nhân căn nhà đắt nhất Atlanta
Thuế mới, phố vắng, chợ buồn: Nếu tiểu thương gục ngã, ai bán hàng cho 100 triệu dân? K+ khép lại sau 16 năm: Đế chế bóng đá trả tiền tàn cuộc chơi Người Vợ Lực Lượng Đặc Biệt – Hồi ức về Thiếu Tá Hồ Đăng Nhựt trong mùa Quốc Nạn
Viên tướng nhỏ thó gánh oan khiên Mậu Thân John Riordan – người Mỹ quay lại Sài Gòn để cứu 105 người Việt Evergrande: Từ đế chế số 1 đến quả bom nợ – Bài học nào cho Việt Nam?
Campuchia: Từ Thiên Đường Angkor Đến “Công Xưởng Tội Phạm” Của Mafia Trung Quốc Cuộc Xâm Lược Cuối Cùng Của Trung Quốc Và Trang Sử Bị Xóa Khỏi Ký Ức Việt Nam Vì Sao Số Nhà Ở Mỹ “Nhảy Cóc”? Giải Mã Từ House Number Đến ZIP Code
David Thái, Highlands Coffee Và Những Hành Trình “Đi Rồi Trở Về” Của Thuyền Nhân Việt Vì Sao Quân Đội Trung Quốc Không Đảo Chính? “Đảng Chỉ Huy Quân Đội” Và Nỗi Sợ Được Thể Chế Hóa Tâm Lý Vọng Ngoại Và Căn Bệnh “Bụt Nhà Không Thiêng”
Từ Giọt Nước Mắt Của Mẹ Đến Đế Chế Zara: Hành Trình Của Amancio Ortega “Tâm Hồn Nga” Và Cơn Say Đế Quốc: Từ Crimea Đến Putin “Bên kia vĩ tuyến” và lời tự thú của một Bắc Kỳ 1985
Hiệu ứng Elon Musk: Khi một CEO “tham chính” làm Tesla mất hơn một triệu chiếc xe Điện thoại – phát minh bắt đầu từ một lời gọi yêu thương Thứ trưởng Cao Hùng và nỗi buồn hòa hợp dân tộc: Không thể không nói
Mười phát minh vĩ đại của người Hồi giáo đã âm thầm làm nên thế giới hiện đại Bẻ gãy “chiến dịch” báng bổ tiền nhân: Lịch sử Việt Nam giữa hai cách kể Từ “janitor da đen” đến người cứu sống vạn “em bé xanh”
Cơn mê “phục sinh Liên Xô”: Hoang tưởng đế quốc trong kỷ nguyên mạng xã hội Trung Quốc có còn xã hội chủ nghĩa không – hay chỉ là tư bản thân hữu khoác áo đỏ? Kỷ nguyên Tô Lâm: Thiên tai, tham nhũng và những vết nứt dẫn tới sụp đổ

 
Lên đầu Xuống dưới Lên 3000px Xuống 3000px

iPad Videos Portal Autoscroll

VietBF Music Portal Autoscroll

iPad News Portal Autoscroll

VietBF Homepage Autoscroll

VietBF Video Autoscroll Portal

USA News Autoscroll Portall

VietBF WORLD Autoscroll Portal

Home Classic

Super Widescreen

iPad World Portal Autoscroll

iPad USA Portal Autoscroll

Phim Bộ Online

Tin nóng nhất 24h qua

Tin nóng nhất 3 ngày qua

Tin nóng nhất 7 ngày qua

Tin nóng nhất 30 ngày qua

Albums

Total Videos Online
Lên đầu Xuống dưới Lên 3000px Xuống 3000px

Tranh luận sôi nổi nhất 7 ngày qua

Tranh luận sôi nổi nhất 14 ngày qua

Tranh luận sôi nổi nhất 30 ngày qua

10.000 Tin mới nhất

Tin tức Hoa Kỳ

Tin tức Công nghệ
Lên đầu Xuống dưới Lên 3000px Xuống 3000px

Super News

School Cooking Traveling Portal

Enter Portal

Series Shows and Movies Online

Home Classic Master Page

Donation Ủng hộ $3 cho VietBF
Lên đầu Xuống dưới Lên 3000px Xuống 3000px
Diễn Đàn Người Việt Hải Ngoại. Tự do ngôn luận, an toàn và uy tín. Vì một tương lai tươi đẹp cho các thế hệ Việt Nam hãy ghé thăm chúng tôi, hãy tâm sự với chúng tôi mỗi ngày, mỗi giờ và mỗi giây phút có thể. VietBF.Com Xin cám ơn các bạn, chúc tất cả các bạn vui vẻ và gặp nhiều may mắn.
Welcome to Vietnamese American Community, Vietnamese European, Canadian, Australian Forum, Vietnamese Overseas Forum. Freedom of speech, safety and prestige. For a beautiful future for Vietnamese generations, please visit us, talk to us every day, every hour and every moment possible. VietBF.Com Thank you all and good luck.

Lên đầu Xuống dưới Lên 3000px Xuống 3000px

All times are GMT. The time now is 01:50.
VietBF - Vietnamese Best Forum Copyright ©2005 - 2025
User Alert System provided by Advanced User Tagging (Pro) - vBulletin Mods & Addons Copyright © 2025 DragonByte Technologies Ltd.
Log Out Unregistered

Page generated in 0.10854 seconds with 13 queries