HOME-Au
HOME-Au
24h
24h
USA
USA
GOP
GOP
Phim Bộ
Phim Bộ
Videoauto
VIDEO-Au
Home Classic
Home Classic
Donation
Donation
News Book
News Book
News 50
News 50
worldautoscroll
WORLD-Au
Breaking
Breaking
 

Go Back   VietBF > Other News|Tin Khác > School | Kiến thức > School | Kiến thức 2006-2019


 
 
Thread Tools
  #1  
Old  Default Nhất định bạn phải biết về căn bệnh về răng miệng cực kỳ nguy hiểm này
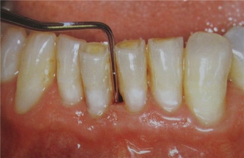
Đó là căn bệnh cực kỳ mất thẩm mỹ và là nguyên nhân gây hôi miệng. Có nhiều nguyên nhân gây ra bệnh. Bạn nên biết để đề phòng căn bệnh này. Bệnh đó là: Tụt lợi.
Tụt lợi là quá trình lộ bề mặt chân răng do sự di chuyển về phía chóp chân răng của lợi. Hiện tượng này còn khiến khoảng cách các kẽ răng ngày càng lớn, tạo điều kiện cho vi khuẩn tích tụ gây mất thẩm mỹ và hôi miệng. Răng trở nên nhạy cảm và dễ bị tổn thương hơn. Bên cạnh đó, các mô nâng đỡ và phần cấu trúc xương cũng có nguy cơ bị hư hại dẫn đến rụng răng.


Bệnh gây mất thẩm mỹ răng và hôi miệng. (Ảnh: Internet)
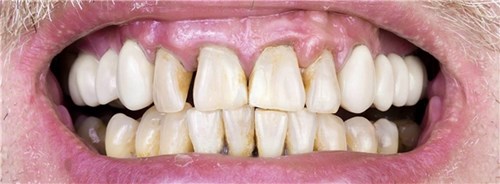
Tuy nhiên, bạn có thể ngăn chặn được chứng bệnh này bởi thời gian phát triển của rất chậm. Dưới đây là những điều về bệnh tụt lợi bạn cần biết nhằm hạn chế tối đa những hậu quả cũng như tự chăm sóc khi bị tụt lợi bên cạnh sự hỗ trợ điều trị của nha sĩ.


Thời gian tiến triển của bệnh rất chậm nên bạn có thể ngăn ngừa được. (Ảnh: Internet)
Trước tiên hãy cùng tìm hiểu những nguyên nhân gây tụt lợi.
Vệ sinh răng miệng kém
Không đánh răng đầy đủ là nguyên nhân làm cho bợn bám quanh răng, dẫn đến lợi bị rút về chân răng.

Hãy đánh răng ít nhất 2 lần một ngày để có hàm răng khỏe, đẹp. (Ảnh: Internet)
Di truyền
Di truyền cũng là một trong những nguyên nhân gây ra tụt lợi.
Viêm quanh răng
Ở những răng xoay, nghiêng, sai vị trí, lệch ra phía trước thì tấm xương ổ răng mỏng, bị giảm chiều cao, áp lực khi nhai thức ăn cứng sẽ làm mòn phần lợi không được xương nâng đỡ phía dưới, gây ra co lợi.


Viêm chân răng là một căn bệnh rất nguy hiểm. (Ảnh: Internet)
Thiếu cân bằng hormone
Nữ giới có nguy cơ mắc bệnh này cao hơn nam giới, đặc biệt trong thời kì mang thai hay kinh nguyệt. Vì khi đó các hormone trong cơ thể thay đổi trồi sụt khiến cho các tế bào trong miệng trở nên yếu ớt, dễ bị vi trùng xâm nhập.
Chải răng không đúng cách
Hành động này sẽ làm mòn lợi (lợi mỏng và thấp dần). Nhiều nghiên cứu cho thấy, có sự liên quan giữa co lợi và thói quen dùng bàn chải cứng.

Bàn chải cứng sẽ làm mòn lợi. (Ảnh: Internet)
Hút thuốc
Hút thuốc lá khiến các mảng bám, vết ố vàng, tích tụ, do đó vi khuẩn dễ dàng xâm nhập vào chân răng.


Tác hại của hút thuốc đối với răng là không thể bàn cãi. (Ảnh: Internet)
Bạn có thể chữa tụt lợi chỉ với những loài thảo mộc dễ tìm quanh nhà bếp.
Trà xanh
Đây được xem là một thần dược dành cho răng. Trong trà xanh có chứa rất nhiều chất chống oxy giúp ngăn chặn viêm quanh răng. Hãy tập thói quen uống một cốc trà xanh vào mỗi buổi sáng nhé!


Một cốc trà xanh mỗi buổi sáng là "vị cứu tinh" cho hàm răng tụt lợi. (Ảnh: Internet)
Tinh dầu bạch đàn
Dầu bạch đàn chứa chất chống viêm đồng thời nó có khả năng tiêu diệt vi khuẩn và mảng bám. Nhỏ 1-2 giọt tinh dầu vào 1-2 muỗng nước. Trộn đều, thoa lên lợi rồi massage nhẹ nhàng.


Tinh dầu bạch đàn chứa chất chống viêm. (Ảnh: Internet)
Lô hội
Ngoài công dụng "thần dành" với da, lô hội còn có tác dụng chữa viêm, làm lành các tế bào bị thương tổn và kháng khuẩn. Có thể sử dụng lô hội để đánh răng bằng cách thoa gel lô hội vào bàn chải và chải sạch trong vòng 3-5 phút, sau đó rửa sạch.


Bạn có thể sử dụng lô hội để đánh răng. (Ảnh: Internet)
Nhựa trầm hương
Chất nhựa trong cây trầm hương là những gì bạn cần trong việc chữa các bệnh liên quan đến răng và nướu. Hòa bột nhựa trầm hương với nước sao cho tạo thành hỗn hợp sền sệt. Thoa lên nướu và massage trong vài phút.


Nhựa cây trầm hương. (Ảnh: Internet)


Vietbf @ sưu tầm.
VIETBF Diễn Đàn Hay Nhất Của Người Việt Nam

HOT NEWS 24h

HOT 3 Days

NEWS 3 Days

HOT 7 Days

NEWS 7 Days

HOME

Breaking News

VietOversea

World News

Business News

Car News

Computer News

Game News

USA News

Mobile News

Music News

Movies News

History

Thơ Ca

Sport News

Stranger Stories

Comedy Stories

Cooking Chat

Nice Pictures

Fashion

School

Travelling

Funny Videos

Canada Tin Hay

USA Tin Hay

VietBF Homepage Autoscroll

VietBF Video Autoscroll Portal

Home Classic

Home Classic Master Page



pizza
R11 Tuyệt Thế Thiên Hạ
Release: 06-26-2016
Reputation: 237154


Profile:
Join Date: Sep 2014
Posts: 107,019
Last Update: None Rating: None
Attached Thumbnails
Click image for larger version

Name:	181.jpg
Views:	0
Size:	30.7 KB
ID:	902767   Click image for larger version

Name:	182.jpg
Views:	0
Size:	26.1 KB
ID:	902768   Click image for larger version

Name:	183.jpg
Views:	0
Size:	23.9 KB
ID:	902769  

Click image for larger version

Name:	184.jpg
Views:	0
Size:	30.0 KB
ID:	902770   Click image for larger version

Name:	185.jpg
Views:	0
Size:	21.0 KB
ID:	902771   Click image for larger version

Name:	186.jpg
Views:	0
Size:	26.1 KB
ID:	902772  

Click image for larger version

Name:	187.jpg
Views:	0
Size:	32.2 KB
ID:	902773   Click image for larger version

Name:	188.jpg
Views:	0
Size:	27.1 KB
ID:	902774   Click image for larger version

Name:	189.jpg
Views:	0
Size:	41.9 KB
ID:	902775  

Click image for larger version

Name:	1910.jpg
Views:	0
Size:	114.0 KB
ID:	902776  
pizza_is_offline
Thanks: 7
Thanked 8,106 Times in 7,216 Posts
Mentioned: 6 Post(s)
Tagged: 0 Thread(s)
Quoted: 41 Post(s)
Rep Power: 130
pizza Reputation Uy Tín Level 10pizza Reputation Uy Tín Level 10pizza Reputation Uy Tín Level 10pizza Reputation Uy Tín Level 10pizza Reputation Uy Tín Level 10pizza Reputation Uy Tín Level 10pizza Reputation Uy Tín Level 10
pizza Reputation Uy Tín Level 10pizza Reputation Uy Tín Level 10pizza Reputation Uy Tín Level 10pizza Reputation Uy Tín Level 10pizza Reputation Uy Tín Level 10pizza Reputation Uy Tín Level 10pizza Reputation Uy Tín Level 10pizza Reputation Uy Tín Level 10pizza Reputation Uy Tín Level 10pizza Reputation Uy Tín Level 10pizza Reputation Uy Tín Level 10pizza Reputation Uy Tín Level 10pizza Reputation Uy Tín Level 10pizza Reputation Uy Tín Level 10pizza Reputation Uy Tín Level 10pizza Reputation Uy Tín Level 10pizza Reputation Uy Tín Level 10pizza Reputation Uy Tín Level 10pizza Reputation Uy Tín Level 10pizza Reputation Uy Tín Level 10pizza Reputation Uy Tín Level 10pizza Reputation Uy Tín Level 10
 
User Tag List


Công dân Mỹ cũng có thể bị ICE bắt nhầm: ‘Xứ tự do’ và nỗi sợ gõ cửa lúc nửa đêm Khi CIA mù tịt, còn một tướng VNCH đã nhìn ra trước Kinh tế Trung Quốc kẹt giữa lạm phát và giảm phát
Hàng Tàu phá vây thuế quan, Trump khoe kinh tế A+++ và chiếc ví rỗng của người Mỹ Nguyễn Cao Kỳ, cái chết bất ngờ và bài học đắt giá về ‘hòa hợp hòa giải’ Trung Quốc siết cổ doanh nghiệp Việt: Cuộc xâm lược thương mại ngay trên sân nhà
Mỹ đuổi thẳng tay nếu chửi Mỹ trên Facebook Hòa bình mong manh cho Ukraine: Kế hoạch 20 điểm, sức ép từ Trump và bài toán bầu cử giữa làn đạn Fed cắt lãi suất lần thứ ba liên tiếp: Powell “phanh gấp”, túi tiền người Mỹ thay đổi ra sao?
IKEA khai trương cửa hàng đầu tiên ở New Zealand: Người Kiwi xếp hàng từ tờ mờ sáng Nước Mỹ không dung dưỡng kẻ vô ơn: Tị nạn, di dân và cơn giận của Donald Trump Dư âm Giáng Sinh Sài Gòn xưa: Từ mùa sao sáng đến thánh ca buồn
Lê Duẩn – Mao Trạch Đông và cái giá “lá chắn phương Nam” của Việt Nam Trung Quốc hủy 540.000 vé sang Nhật: Đòn răn đe hay cú “tự bắn vào chân”? Trump xóa bỏ tiêu chuẩn nhiên liệu thời Biden
Mỹ đã hiểu sai tham vọng của Đảng Cộng sản Trung Quốc và đánh giá thấp sự quyết liệt tàn nhẫn của họ Tị nạn, thẻ xanh, visa du học cùng bị “khóa cửa” Khi bia Mexico gặp búa trừng phạt di trú của Trump: Cú ngã đau của đế chế Modelo – Corona
Biển số 37.77: Thông điệp ngầm của Thủ tướng Nhật Takaichi Sanae gửi Bắc Kinh Quốc tịch Mỹ: Tường thành gần như tuyệt đối cho người nhập tịch Con gái Hà Nội, giọt nước dưới mặt lá
Những tay giang hồ miền Nam: huyền thoại, bóng tối và cái giá phải trả Huỳnh Điều – “anh lớp Ba” mà Cộng sản sợ cái miệng hơn sợ khẩu M.79 Tiếng súng 9 giờ sáng ở Florida và hành trình cuối của nữ deputy Terri Sweeting-Mashkow
“Giang sơn” nào được sắp xếp, và sắp xếp cho ai? Sau 40 tuổi, khuôn mặt là “bản lý lịch” của tâm hồn Siêu biệt phủ trăm tỷ của Chủ tịch phường Hải Phòng: “Đại Lộc Thiên tử” giữa làng nghèo
Từ vụ sạc 24 giờ ở Mỹ đến chết yểu ở Ấn Độ: VinFast và câu hỏi dành cho người Việt Khi chú Hòa xây nhà bình dân: những kiệt tác âm thầm giữa lòng Sài Gòn Việt Nam – Xứ sở của những người bị bắt phải học nghề đói
Mailisa bị bắt và ký ức đôi vợ chồng ăn chay đi chùa Đi Hàn, đi Nhật rồi nhìn lại Việt Nam: yêu nước đâu chỉ nói trên môi Nepal – Đất nước sống ở năm 2082 giữa trái tim Himalaya
Nicholas Winton – Người hùng thầm lặng cứu 669 đứa trẻ khỏi bóng đen Đức Quốc Xã Bi kịch giáo sư Yoshihiro Sato: khi dữ liệu đẹp đổi lấy danh dự và cái chết Sự ngu dốt của bọn có học – từ Nguyễn Huy Thiệp đến thời những lời nói lật ngược sự thật

 
Lên đầu Xuống dưới Lên 3000px Xuống 3000px

iPad Videos Portal Autoscroll

VietBF Music Portal Autoscroll

iPad News Portal Autoscroll

VietBF Homepage Autoscroll

VietBF Video Autoscroll Portal

USA News Autoscroll Portall

VietBF WORLD Autoscroll Portal

Home Classic

Super Widescreen

iPad World Portal Autoscroll

iPad USA Portal Autoscroll

Phim Bộ Online

Tin nóng nhất 24h qua

Tin nóng nhất 3 ngày qua

Tin nóng nhất 7 ngày qua

Tin nóng nhất 30 ngày qua

Albums

Total Videos Online
Lên đầu Xuống dưới Lên 3000px Xuống 3000px

Tranh luận sôi nổi nhất 7 ngày qua

Tranh luận sôi nổi nhất 14 ngày qua

Tranh luận sôi nổi nhất 30 ngày qua

10.000 Tin mới nhất

Tin tức Hoa Kỳ

Tin tức Công nghệ
Lên đầu Xuống dưới Lên 3000px Xuống 3000px

Super News

School Cooking Traveling Portal

Enter Portal

Series Shows and Movies Online

Home Classic Master Page

Donation Ủng hộ $3 cho VietBF
Lên đầu Xuống dưới Lên 3000px Xuống 3000px
Diễn Đàn Người Việt Hải Ngoại. Tự do ngôn luận, an toàn và uy tín. Vì một tương lai tươi đẹp cho các thế hệ Việt Nam hãy ghé thăm chúng tôi, hãy tâm sự với chúng tôi mỗi ngày, mỗi giờ và mỗi giây phút có thể. VietBF.Com Xin cám ơn các bạn, chúc tất cả các bạn vui vẻ và gặp nhiều may mắn.
Welcome to Vietnamese American Community, Vietnamese European, Canadian, Australian Forum, Vietnamese Overseas Forum. Freedom of speech, safety and prestige. For a beautiful future for Vietnamese generations, please visit us, talk to us every day, every hour and every moment possible. VietBF.Com Thank you all and good luck.

Lên đầu Xuống dưới Lên 3000px Xuống 3000px

All times are GMT. The time now is 00:52.
VietBF - Vietnamese Best Forum Copyright ©2005 - 2025
User Alert System provided by Advanced User Tagging (Pro) - vBulletin Mods & Addons Copyright © 2025 DragonByte Technologies Ltd.
Log Out Unregistered

Page generated in 0.10238 seconds with 13 queries