HOME-Au
HOME-Au
24h
24h
USA
USA
GOP
GOP
Phim Bộ
Phim Bộ
Videoauto
VIDEO-Au
Home Classic
Home Classic
Donation
Donation
News Book
News Book
News 50
News 50
worldautoscroll
WORLD-Au
Breaking
Breaking
 

Go Back   VietBF > Other News|Tin Khác > School | Kiến thức > School | Kiến thức 2006-2019


 
 
Thread Tools
  #1  
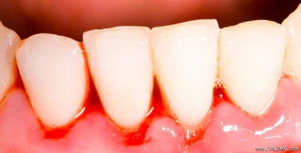
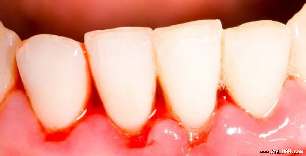
Old  Default Chảy máu chân răng và cách trị dứt điểm
Có rất nhiều nguyên nhân gây ra chảy máu chân răng bạn không được coi thường. Chảy máu chân răng còn gây ra hôi miệng. Bạn có thể tự điều trị căn bệnh này tại nhà mà không cần dùng đến thuốc tây đâu nha.





Chảy máu chân răng tự nhiên và chảy máu khi đánh răng, lợi không săn chắc, quầng đen dưới chân răng, dưới lợi) là biểu hiện của tình trạng viêm lợi.

Nguyên nhân là do cao răng, thiếu vitamin C, nội tiết, thuốc... trong đó nguyên nhân thường gặp nhất là do cao răng, đặc biệt cao răng nằm dưới lợi thường có màu đen do quá trình lắng đọng hemoglobin mỗi khi chảy máu lợi và làm cho tình trạng viêm lợi nặng hơn.

Chảy máu chân răng và cách phòng ngừa

Đánh răng đúng cách giúp ngăn ngừa chảy máu chân răng

Sử dụng bàn chải lông mềm, khi các sợi nylon của bàn chải có dấu hiệu lão hóa (các sợi bàn chải bị cong, hướng đổ ra xung quanh, hoặc các sợi bàn chải đã mất hết màu), phải thay bàn chải ngay. Các chuyên gia nha khoa khuyên mọi người nên thay bàn chải 3 tháng một lần. Tuyệt đối không nên tiết kiệm mà sử dụng bàn chải quá lâu.

Đánh răng nhẹ nhàng, quá trình đánh răng phải kéo dài ít nhất là 3 phút. Trong đó, chỉ dùng lực vừa phải, không chà răng quá mạnh gây chảy máu chân răng. Tuyệt đối không được chà răng theo chiều ngang vì sẽ dẫn đến nguy cơ làm tụt nướu. Chà răng theo chiều dọc, từ trên xuống dưới cho hàm trên và từ dưới lên trên cho hàm dưới. Chỉ chà ngang đối với mặt nhai. Sau đó, súc sạch miệng với nước.
Một người đánh răng đúng cách, chỉ cần ngày đánh răng 2 lần sáng – tối là đủ. Ngược lại, nếu đánh răng một ngày đến 4 -5 lần mà không đúng cách thì chỉ làm răng bị hư hại mà thôi.

Sử dụng nước súc miệng ngăn ngừa mảng bám, đẩy lùi chảy máu chân răng

Đây là loại dung dịch thuốc súc miệng được dùng để súc miệng nhằm giúp cho miệng sạch hơn, giảm dần triệu chứng chảy máu chân răng. Dung dịch súc miệng có chất kháng khuẩn và thành phần kháng mảng bám giúp diệt vi khuẩn, do đó ngăn ngừa mảng bám, chảy máu chân răng, viêm nướu và tránh hôi miệng. Có rất nhiều loại nước súc miệng khác nhau và cũng có tác dụng phòng ngừa sâu răng. Nước súc miệng có Fluor có thể giúp phòng tránh chảy máu chân răng và ngăn ngừa sâu răng.

Để nước súc miệng phát huy tác dụng tốt nhất, mỗi lần súc miệng tối đa khoảng 30 giây. Nếu ngậm quá thì thời gian trên chất cồn trong nước súc miệng sẽ làm cho khoang miệng bị khô. Lưu ý không được nuốt nước súc miệng và chỉ nên dùng nước súc miệng có chứa florua 1 lần/ngày. Không nên cho trẻ nhỏ dùng nước súc miệng của người lớn. Đặc biệt nếu bạn đang mang thai hoặc đang trong giai đoạn cho con bú thì không nên dùng nước súc miệng.

Bí quyết hay

- Lấy hạt tiêu đen và lá húng quế (với lượng bằng nhau) sau đó xay ra và để vào chỗ lợi đau, nó có tác dụng giảm đau và nhanh lành vết thương.

- Có thể dùng 1 quả chanh với 2 gram tỏi mỗi ngày giúp cho tăng cường vitamin C để ngăn chặn chứng chảy máu chân răng.

- Không sử dụng thuốc lá vì gây viêm nướu và làm thay đổi cách chuyển hóa vitamin C của cơ thể…

Bên cạnh đó bạn nên sử dụng nước muối để súc miệng hàng ngày. Nước muối là một trong những loại thuốc cực tốt trong vấn đề vệ sinh vết thương, làm sạch da. Mẹo chữa hôi miệng bằng muối khá đơn giản, bạn hãy pha muối với nước (pha loãng) dùng nước muối này súc miệng hàng ngày sau mỗi bữa ăn, 3 lần/ngày. Tinh chất muối sẽ sát trùng khử mảng bám và mùi hôi miệng rất tốt giúp bạn có được hơi thở thom tho tươi mát.

Therealtz © VietBF
Dịch trang: EnglishEnglish DeutschDeutsch FrançaisFrançais EspañolEspañol ItalianoItaliano PortuguêsPortuguês
NorskNorsk NederlandsNederlands DanskDansk SuomiSuomi PolskiPolski ČeštinaČeština РусскийРусский
日本語日本語 한국어한국어 中文(简体)中文(简体) 中文(繁體)中文(繁體) MagyarMagyar TürkçeTürkçe
العربيةالعربية ไทยไทย LatinaLatina हिन्दीहिन्दी Bahasa IndonesiaBahasa Indonesia Bahasa MelayuBahasa Melayu
VIETBF Diễn Đàn Hay Nhất Của Người Việt Nam

HOT NEWS 24h

HOT 3 Days

NEWS 3 Days

HOT 7 Days

NEWS 7 Days

HOME

Breaking News

VietOversea

World News

Business News

Car News

Computer News

Game News

USA News

Mobile News

Music News

Movies News

History

Thơ Ca

Sport News

Stranger Stories

Comedy Stories

Cooking Chat

Nice Pictures

Fashion

School

Travelling

Funny Videos

Canada Tin Hay

USA Tin Hay

VietBF Homepage Autoscroll

VietBF Video Autoscroll Portal

Home Classic

Home Classic Master Page

VietBF iPad Music Portal

Tin nóng nhất 50h qua

Phim Bộ Online

Phim Bộ
Dịch trang: English | Deutsch |
Français | Español | Italiano |
Português | Norsk | Nederlands |
Dansk | Suomi | Polski |
Čeština | Русский | 日本語 |
한국어 | 中文(简体) | 中文(繁體) |
Magyar | Türkçe | العربية |



therealrtz
R10 Vô Địch Thiên Hạ
Release: 08-04-2016
Reputation: 234544


Profile:
Join Date: Nov 2014
Posts: 91,884
Last Update: None Rating: None
Attached Thumbnails
Click image for larger version

Name:	5.jpg
Views:	0
Size:	16.1 KB
ID:	919036  
therealrtz is_online_now
Thanks: 28
Thanked 6,752 Times in 6,019 Posts
Mentioned: 4 Post(s)
Tagged: 0 Thread(s)
Quoted: 34 Post(s)
Rep Power: 114
therealrtz Reputation Uy Tín Level 10therealrtz Reputation Uy Tín Level 10therealrtz Reputation Uy Tín Level 10therealrtz Reputation Uy Tín Level 10therealrtz Reputation Uy Tín Level 10therealrtz Reputation Uy Tín Level 10therealrtz Reputation Uy Tín Level 10
therealrtz Reputation Uy Tín Level 10therealrtz Reputation Uy Tín Level 10therealrtz Reputation Uy Tín Level 10therealrtz Reputation Uy Tín Level 10therealrtz Reputation Uy Tín Level 10therealrtz Reputation Uy Tín Level 10therealrtz Reputation Uy Tín Level 10therealrtz Reputation Uy Tín Level 10therealrtz Reputation Uy Tín Level 10therealrtz Reputation Uy Tín Level 10therealrtz Reputation Uy Tín Level 10therealrtz Reputation Uy Tín Level 10therealrtz Reputation Uy Tín Level 10therealrtz Reputation Uy Tín Level 10therealrtz Reputation Uy Tín Level 10therealrtz Reputation Uy Tín Level 10therealrtz Reputation Uy Tín Level 10therealrtz Reputation Uy Tín Level 10
Dịch trang: EnglishEnglish DeutschDeutsch FrançaisFrançais EspañolEspañol ItalianoItaliano PortuguêsPortuguês
NorskNorsk NederlandsNederlands DanskDansk SuomiSuomi PolskiPolski ČeštinaČeština РусскийРусский
日本語日本語 한국어한국어 中文(简体)中文(简体) 中文(繁體)中文(繁體) MagyarMagyar TürkçeTürkçe
العربيةالعربية ไทยไทย LatinaLatina हिन्दीहिन्दी Bahasa IndonesiaBahasa Indonesia Bahasa MelayuBahasa Melayu
 
User Tag List


Hà Tâm – Mai Vân và “luật rừng” đô mới/đô cũ: Việt kiều về Tết cần biết Việt Kiều về nước ăn tết bị Việt Cộng phá vali lấy gần hết nửa vali bánh kẹo, nước hoa ... Iran dậy sóng 9 ngày: 29 người chết, hơn 1.200 bị bắt — Trump “locked and loaded”, Tehran đáp trả rắn
Sau Venezuela, tới Greenland? Nhà Trắng nói thẳng: “Dùng quân đội Mỹ luôn là một lựa chọn” Sau vụ bắt Maduro, Caracas chìm trong im lặng: người dân sợ nói, sợ nhìn, sợ cả tiếng xe “Dầu mỏ Venezuela” – lời cảnh báo từ năm 2019 bỗng hóa thành hiện thực
Đập kính nhà Phó Tổng Thống JD Vance ở Ohio: Một người bị bắt, Mật vụ mở điều tra liên bang Venezuela 303 tỷ thùng dầu: Trump nói 18 tháng, Big Oil nói… còn lâu! Vera Rubin ra mắt tại CES: Nvidia đặt cược vào tương lai “AI biết suy nghĩ”
Vết bầm trên tay Tổng thống: Ông Trump thừa nhận dùng aspirin “mạnh tay” hơn lời bác sĩ Minnesota chao đảo vì “nghi án” gian lận tiền giữ trẻ Mặt trận Zaporizhzhia rực lửa, Ukraine chịu sức ép nặng nề, Huliaipole lung lay
Sốc: Chết cháy hàng loạt tại Thuỵ Sĩ - Thảm họa cháy quán bar ở “thiên đường trượt tuyết” Crans-Montana Luật Mới Tại Texas Từ 1/1/2026: Thuế, Di Trú, Nhà Thuê Và AI – Điều Người Việt Cần Biết Để Tránh Thiệt Quốc Gia Nhỏ Trên Bàn Cờ Lớn: Từ Ukraina Nghĩ Về Việt Nam – Chính Nghĩa, Quyền Lực Và Bài Học Tự Chủ
Xin Đừng “Vãi” Nữa: Khi Một Chữ Lóng Làm Chao Đảo Cả Nếp Ăn Nếp Nói Miền Nam Nhìn Lại 2025: Mười Cú “Rung Lắc” Khiến Xã Hội Vừa Cười Vừa Ớn Lạnh Khi Công An Bước Vào Năng Lượng: Từ “Thanh Kiếm” Quyền Lực Sang “Túi Tiền” Kinh Tế
Thuế quan “giấu mặt” gõ cửa mùa lễ: Mua hàng ngoại xong… nhận thêm hóa đơn “Đừng gọi tôi Việt kiều”: từ một chữ Kiều đến vết xước trong lòng người xa xứ “Bỏ thuế nhà đất” và cơn bão tranh luận: Mơ ước của chủ nhà, nỗi lo của trường học
Không cuồng Cộng Hòa, không cuồng Dân Chủ: chỉ đau với nước Mỹ hôm nay David Hoàng Nguyễn (26 tuổi) – Hạ sĩ quan Không quân Hoa Kỳ gốc Việt qua đời Ông Phan Văn Giang điều động hàng chục ngàn bộ đội đặc công nhằm lật đổ phe cánh ông Tô Lâm
Thất nghiệp tràn lan tại Thành Hồ, dắt chó tìm việc 3 ngày không thành Việt kiều dởm làm màu và Việt kiều “chân chính”: khác nhau ở cái nhìn, không ở hộ chiếu Ông Trump quyết trục xuất 20 triệu người khỏi Mỹ trong năm tới, liệu có thành công?
Chiến lược an ninh mới của Trump: Hạ giọng với Trung Quốc, đặt cược tất tay vào kinh tế và lá bài Đài Loan Kho ảnh mới từ dinh thự Jeffrey Epstein: Bóng dáng giới quyền lực và cuộc đấu Trump – Quốc hội Mỹ Cây chổi cho Donald Trump
Nước Mỹ Trump đang kéo châu Âu đi đâu? Nền kinh tế chữ K: 79 ngàn tỷ đô bị “ăn cắp” khỏi túi người lao động Mỹ Khi Trump “đại tu” FEMA và tấn công các cơ quan độc lập
Ukraine đánh thẳng vào “cây ATM năng lượng” của Nga, NATO cảnh báo: chiến tranh đã ở ngay trước cửa Tyler Robinson lần đầu trực tiếp xuất hiện trước tòa: Vụ ám sát Charlie Kirk và câu hỏi về thù hận chính trị ở nước Mỹ Chính quyền Trump chính thức mở trang mạng để bán "thẻ vàng định cư"
Ba người Việt bị ICE bắt ở New Orleans: Từ giấc mơ Mỹ đến nguy cơ bị trục xuất Hai anh em sinh đôi trở về Việt Nam tìm mẹ ruột sau 24 năm và người mẹ Mỹ mang trái tim Bồ Tát Cuối năm phố tắt đèn: Cơn sóng trả mặt bằng và tiếng thở dài của tiểu thương
Tin đồn ông Nguyễn Xuân Phúc xin qua Mỹ định cư: Tấm thẻ đảng và cánh cửa di trú Hoa Kỳ Netflix tung đòn 28 USD/cổ phiếu: Trận quyết đấu cuối cùng của ‘chiến tranh streaming’? Cơn sốc 50.000 USD: Mua xe mới ở Mỹ sắp thành xa xỉ phẩm?
Làn sóng hủy show Nhật Bản ở Trung Quốc: Khi chính trị tắt đèn sân khấu Mãn kinh – chương đời bị bỏ quên của một nửa nhân loại Cuộc họp nội các thật hỗn loạn của ông Trump
Miền Trung chết đuối trong hai chữ “đúng quy trình” Nhật Bản thời Takaichi: Khi Tokyo thôi “hiền lành” và trở thành đối trọng cứng rắn với Bắc Kinh Từ lũ dữ miền Trung đến “Công ước Hà Nội”: Khi khế ước xã hội bị xé bỏ
Phú Yên không còn quan tài: Tiếng khóc giữa đại hồng thủy và những chuyến xe chở tình người Mafia công nghệ 4.0: Từ vụ Alice Guo đến cuộc cạnh tranh quyền lực ngầm ở Đông Nam Á Người đàn ông mang trạm sạc đến nối lại tin tức giữa vùng lũ
“Lũ nhân tạo” ở Việt Nam: Khi dòng sông bị bẻ cong vì thủy điện Đêm 19-11 và tiếng kêu giữa lũ dữ: Khi “đúng quy trình” nhấn chìm niềm tin của dân Lời nói dối “người Mỹ không làm việc này” và cái giá của cả một quốc gia
Đức dựng lại “đạo quân mạnh nhất châu Âu”: Tham vọng của Merz và nỗi lo nghĩa vụ quân sự Thích Trí Quang: Từ “vì đạo pháp và dân tộc” đến 44 năm im lặng Khi Bắc Kinh dọa “chặt đầu” bà đầm thép Sanae Takaichi
Trump hô tội “phản loạn, xử tử hình” 6 dân biểu Dân Chủ: chính trường Mỹ trượt sát lằn ranh bạo lực Ukraine giữa gọng kìm: Kế hoạch hòa bình của Trump và bóng ma drone Rubicon trên bầu trời chiến tranh Kinh tế Mỹ “chạy hết ga, nhưng ghế trống”: Nỗi lo suy thoái không việc làm dưới thời Trump
Hai thẩm phán liên bang chặn lệnh Trump “bóp cổ” ngân sách cứu trợ thiên tai để ép bỏ DEI và hỗ trợ di trú Đêm lũ cuốn trôi Camp Mystic: từ bức vẽ ám ảnh của bé Lulu đến 27 sinh mạng nhỏ bị bỏ rơi Từ cái chết Pamela Genini đến bóng tối đè lên phụ nữ Ý dưới thời Giorgia Meloni
Bài học Liên Xô cho con đường dân chủ của người Việt Du khách Trung Cộng đăng ảnh thăm Hồ Lăng với cờ 5 sao, dắt chó 1 sao khiến Việt Cộng nổi điên Bức ảnh người Mỹ đấm thẳng mặt vào lũ 3 que, đu càng và sự thật được trả lại cho VNCH
5 cạm bẫy khiến Việt Kiều hạ cánh xuống phi trường là mất sạch tiền Hàng triệu người Việt tẩy chay Zalo vì app này làm điều khó chấp nhận Ông Trump lại chết vì người đẹp salon
Hỗn loạn tại Trung Cộng vì một lý do không thể tin nổi Hàng triệu Việt Kiều nguy cơ bị hốt ví ngay khi vừa đặt chân xuống Việt Nam Việt Cộng xây sân vận động to ở Hưng Yên để làm cái gì?
“Siêu đẹp” bí mật trong Himalaya: Dân Việt Nam sẽ chết không còn chỗ chôn? Ngoại trưởng trẻ nhất Trung Quốc và cú rơi không lời giải: Thăng như tên lửa, mất tích như bóng ma Hơn trăm người nhập viện bị ngộ độc, không biết là vì lý do gì, hoá ra là ....
“Bóp nghẹt không tiếng súng”: Việt Nam đang thua vì Trung Quốc quá mạnh, hay vì ta tự làm mình yếu? 10 khác biệt “đinh” giữa người Mỹ & người Việt Cộng: đọc thì cười, ngẫm lại… chạnh lòng “Mùa đỏ” của Cộng Sản bị loại khỏi giải Oscar
Thanh niên Việt mới sang Mỹ 9 tháng và một câu hỏi nhói lòng: “Bám trụ hay quay về?” Sony rút khỏi Huệ Châu, TQ, 30.000 người mất việc: khi “đèn nhà máy tắt” kéo cả một thành phố chao đảo Thảm sát Bondi Beach: hai cha con bị nghi theo ISIS, chuyến đi Mindanao và câu hỏi nhức nhối về “lỗ hổng” an ninh Úc
Hà Nội đang rất mệt – nhưng tôi vẫn không đành rời đi Chuyện giang hồ Á Châu và những cú sốc văn hoá Người Đàn Bà Gánh Sứ Mệnh Đến Hơi Thở Cuối Cùng
Putin Sụp Kiểu Liên Xô Hay Chỉ Là Giấc Mơ Của Phương Tây? “Con kiến kiện củ khoai”: Dân Phú Yên có thật sự kiện được thủy điện xả lũ? Trump Đánh Thuế, Chuỗi Cung Ứng Đại Di Cư: Việt Nam Đang Lên Đời Hay Chỉ Là Trạm Trung Chuyển Rẻ Tiền?
VIỆT NAM SẮP HÓNG HAY ĐANG ẢO GIÁC TẬP THỂ? Macron dọa đánh thuế hàng Trung Quốc: Châu Âu giật mình trước thâm hụt 300 tỷ euro Chiến lược An ninh Quốc gia mới của Trump: Khi ‘Nước Mỹ trên hết’ hóa thành bản tuyên ngôn cá nhân
Vì sao ngày xưa vua miễn thuế khi bão lụt, còn ngày nay thì không? Phép tính lạnh lùng của quyền lực Lindsey Halligan: 63 Ngày Hỗn Loạn Ở Viện Công Tố Virginia Việt Cộng sẽ tịch thu toàn bộ tiền của Việt kiều gửi trong ngân hàng?
Từ ‘Sổ Sinh Tử’ Đến Những Tấm Bưu Thiếp Tự Do: Lời Kêu Gọi Từ Buổi Tưởng Niệm 50 Năm Quốc Nạn 1975–2025 Paris By Night Lặng Im: Khi Đế Chế Giải Trí Chạm Đáy Khủng Hoảng Địa Ngục Lửa Trên Cao Ốc: Thảm Họa Wang Fuk Court Rúng Động Hồng Kông, ít nhất 146 người chết, khoảng 40 người vẫn còn mất tích
Ván Cờ Hòa Bình Của Trump: Ukraine Giữa Thể Diện Dân Tộc, Bom Đạn Và Lính Đánh Thuê Toàn Cầu Thảm Sát Trong Tiệc Sinh Nhật Ở California: Khi Bữa Tiệc Gia Đình Hóa Chiến Trường Đẫm Máu Vì sao Paris By Night và nghệ sĩ hải ngoại đồng loạt im lặng trước chuyện chống Cộng?

 
Lên đầu Xuống dưới Lên 3000px Xuống 3000px

iPad Videos Portal Autoscroll

VietBF Music Portal Autoscroll

iPad News Portal Autoscroll

VietBF Homepage Autoscroll

VietBF Video Autoscroll Portal

USA News Autoscroll Portall

VietBF WORLD Autoscroll Portal

Home Classic

Super Widescreen

iPad World Portal Autoscroll

iPad USA Portal Autoscroll

Phim Bộ Online

Tin nóng nhất 24h qua

Tin nóng nhất 3 ngày qua

Tin nóng nhất 7 ngày qua

Tin nóng nhất 30 ngày qua

Albums

Total Videos Online
Lên đầu Xuống dưới Lên 3000px Xuống 3000px

Tranh luận sôi nổi nhất 7 ngày qua

Tranh luận sôi nổi nhất 14 ngày qua

Tranh luận sôi nổi nhất 30 ngày qua

10.000 Tin mới nhất

Tin tức Hoa Kỳ

Tin tức Công nghệ
Lên đầu Xuống dưới Lên 3000px Xuống 3000px

Super News

School Cooking Traveling Portal

Enter Portal

Series Shows and Movies Online

Home Classic Master Page

Donation Ủng hộ $3 cho VietBF
Lên đầu Xuống dưới Lên 3000px Xuống 3000px
Diễn Đàn Người Việt Hải Ngoại. Tự do ngôn luận, an toàn và uy tín. Vì một tương lai tươi đẹp cho các thế hệ Việt Nam hãy ghé thăm chúng tôi, hãy tâm sự với chúng tôi mỗi ngày, mỗi giờ và mỗi giây phút có thể. VietBF.Com Xin cám ơn các bạn, chúc tất cả các bạn vui vẻ và gặp nhiều may mắn.
Welcome to Vietnamese American Community, Vietnamese European, Canadian, Australian Forum, Vietnamese Overseas Forum. Freedom of speech, safety and prestige. For a beautiful future for Vietnamese generations, please visit us, talk to us every day, every hour and every moment possible. VietBF.Com Thank you all and good luck.

Lên đầu Xuống dưới Lên 3000px Xuống 3000px

All times are GMT. The time now is 16:10.
VietBF - Vietnamese Best Forum Copyright ©2005 - 2026
User Alert System provided by Advanced User Tagging (Pro) - vBulletin Mods & Addons Copyright © 2026 DragonByte Technologies Ltd.
Log Out Unregistered

Page generated in 0.12387 seconds with 13 queries