HOME-Au
HOME-Au
24h
24h
USA
USA
GOP
GOP
Phim Bộ
Phim Bộ
Videoauto
VIDEO-Au
Donation
Donation
News Book
News Book
News 50
News 50
worldautoscroll
WORLD-Au
Breaking
Breaking
 

Go Back   VietBF > Other > School | Kiến thức > School | Kiến thức 2006-2019


 
Thread Tools
 
 
  #1  
Old  Default Người Việt của mình thường mắc phải 90% căn bệnh này
Vietbf.com - Báo động đến những căn bệnh mà 90% người Việt đang mắc phải, đó là căn bệnh về răng miệng tuy không gây nguy hiểm đến tính mạng nhưng nó ảnh hưởng trầm trọng đến chất lượng cuộc sống, khiến cho người bệnh đau đớn, khó chịu, ảnh hưởng đến thẩm mỹ và cũng như khó khăn giao tiếp với mọi người, vì thói quen người Việt Nam mà chưa được quan tâm đúng mức đến sức khỏe răng miệng nên số người bị bệnh răng miệng rất phổ biến cho người Việt Nam, và làm sao cải thiện được những căn bệnh mà 90% người Việt đang mắc phải, và hãy tham khảo bài báo sau đây nói về căn bệnh người Việt thường mắc phải.

Nhiều người chỉ để ý đến một số loại bệnh răng miệng điển hình như sâu răng, hôi miệng mà không biết rằng răng miệng có rất nhiều loại bệnh.

Theo GS. TS Trịnh Đình Hải, Chủ tịch Hội Răng hàm mặt Việt Nam, Giám đốc bệnh viện Răng hàm mặt T.Ư, nước ta có hơn 90% số dân có các bệnh răng miệng như sâu răng, viêm mô quanh răng, có tỷ lệ đáng kể người trưởng thành mất răng.

Bệnh về răng miệng tuy không gây nguy hiểm đến tính mạng nhưng nó ảnh hưởng trầm trọng đến chất lượng cuộc sống, khiến cho người bệnh đau đớn, khó chịu, ảnh hưởng đến thẩm mỹ...

Các bệnh thuộc về bệnh răng miệng bao gồm:

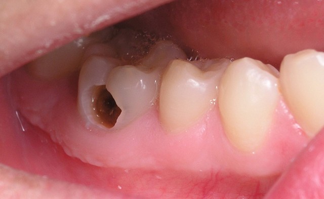
1. Sâu răng


Sâu răng là căn bệnh rất phổ biến của người Việt, Theo thống kê, 75% số dân bị sâu răng vĩnh viễn.

Những người mắc bệnh sâu răng bao gồm cả người lớn, tuy nhiên, tỷ lệ bị sâu răng cao nhất vẫn là trẻ em do trẻ em chưa biết cách vệ sinh răng miệng tốt cộng với thói quen ăn nhiều đồ ngọt và thực phẩm gây hại cho răng.

Bệnh sâu răng là do mảng bám thức ăn thừa bám trên bề mặt răng không được làm sạch tạo nên một môi trường lý tưởng cho vi khuẩn trong khoang miệng phát triển.

Những vi khuẩn này sẽ tạo nên các chấm đen li ti trên bề mặt nhai, lâu dần những lỗ sâu này phát triển rộng hơn, gây nên cảm giác đau nhức.

Để phòng tránh bệnh sâu răng, bạn cần vệ sinh răng miệng theo đúng hướng dẫn của bác sĩ y khoa:

- Đánh răng ít nhất 2 lần/ngày, sử dụng nước súc miệng, nước muối, chỉ tơ nha khoa để làm sạch răng miệng.

- Hạn chế ăn đồ ngọt và uống nước ngọt có gas.

- Khám răng định kỳ 6 tháng/lần.

2. Viêm lợi

90% người Việt bị viêm lợi - đây là con số mà Hội Răng Hàm Mặt Việt Nam đưa ra.

Viêm lợi gây ra các hiện tượng lợi sưng đỏ, dễ chảy máu chân răng. Bệnh này có thể tiến triển nặng dẫn đến viêm quanh răng, gây mất răng...

Cách phòng tránh căn bệnh viêm lợi:

- Vệ sinh răng miệng ngày 2 lần.

- Súc miệng nước muối sau khi ăn.

- Hạn chế ăn đồ ngọt nhất là vào buổi tối.

3. Hôi miệng

Hôi miệng là căn bệnh ám ảnh của rất nhiều người, đặc biệt gây ảnh hưởng nhiều đến giao tiếp của người mắc bệnh.

Một trong những nguyên nhân chủ yếu gây hôi miệng là do vệ sinh răng miệng không tốt hoặc không đúng cách khiến cho vi khuẩn phát triển trong miệng gây ra mùi hôi. Ngoài ra còn có các nguyên nhân khác như viêm phổi, ít nước bọt, ung thư phổi...

Bạn có thể phòng ngừa và khắc phục hôi miệng bằng cách:

- Vệ sinh răng miệng thường xuyên.

- Súc miệng nước muối hoặc một số loại tinh dầu như tinh dầu bạc hà.

- Hạn chế hút thuốc lá, ăn các thực phẩm có mùi nồng như hành, tỏi...

4. Viêm nha chu (Viêm quanh răng)

Viêm nha chu là những tổn thương lợi, các dây chằng quanh răng, xương ổ răng và xương răng. Bệnh này gây đau đớn cho người bệnh, có mùi hôi và gây chảy máu, nướu đỏ, sưng, lung lay răng...

Nguyên nhân của bệnh viêm nha chu là do các mảng bám và cao răng chứa nhiều vi khuẩn gây tổn thương lợi và vùng quanh răng. Ngoài ra bệnh còn có các nguyên nhân khác như răng mọc lệch, suy dinh dưỡng, thiếu vitamin C, sức đề kháng kém...

Hiện nay vẫn chưa có phương pháp đặc hiệu nào trị bệnh viêm quanh răng. Vì vậy, duy trì thói quen vệ sinh răng miệng sạch sẽ và ăn uống hợp lý là cách tốt nhất để bảo vệ sức khỏe răng miệng.

5. Cao răng

Cao răng hay còn gọi là vô răng là những mảng bám đã cứng lại trên răng được hình thành ngay hoặc dưới đường viền nướu và có thể gây kích ứng mô nướu.

Cao răng tạo thêm diện tích cho mảng bám bám chặt hơn từ đó dẫn đến các tình trạng nghiêm trọng như sâu răng hoặc các bệnh về nướu. Đồng thời, nó cũng gây ảnh hưởng đến thẩm mỹ.

Cách phòng tránh cao răng:

- Lấy cao răng định kỳ theo lịch khám nha khoa.

- Đánh răng đúng kỹ thuật và duy trì tần suất 2 lần/ngày.

- Hạn chế hút thuốc lá và uống cà phê, trà...
Dịch trang: EnglishEnglish DeutschDeutsch FrançaisFrançais EspañolEspañol ItalianoItaliano PortuguêsPortuguês
NorskNorsk NederlandsNederlands DanskDansk SuomiSuomi PolskiPolski ČeštinaČeština РусскийРусский
日本語日本語 한국어한국어 中文(简体)中文(简体) 中文(繁體)中文(繁體) MagyarMagyar TürkçeTürkçe
العربيةالعربية ไทยไทย LatinaLatina हिन्दीहिन्दी Bahasa IndonesiaBahasa Indonesia Bahasa MelayuBahasa Melayu
VIETBF Hybrid Community Content Hub

HOT NEWS 24h

HOT 3 Days

NEWS 3 Days

HOT 7 Days

NEWS 7 Days

HOME

Breaking News

VietOversea

World News

Business News

Car News

Computer News

Game News

USA News

Mobile News

Music News

Movies News

History

Thơ Ca

Sport News

Stranger Stories

Comedy Stories

Cooking Chat

Nice Pictures

Fashion

School

Travelling

Funny Videos

Canada Tin Hay

USA Tin Hay

VietBF Homepage Autoscroll

VietBF Video Autoscroll Portal

Video Classic Master

iPad News Portal

VietBF iPad Music Portal

Tin nóng nhất 50h qua

Phim Bộ Online

iMusic Pro Max



vuitoichat
R11 Tuyệt Thế Thiên Hạ
Release: 08-23-2015
Reputation: 370714


Profile:
Join Date: Jan 2008
Posts: 150,979
Last Update: None Rating: None
Attached Thumbnails
Click image for larger version

Name:	00002HG (1).jpg
Views:	0
Size:	35.5 KB
ID:	801126  
vuitoichat_is_offline
Thanks: 11
Thanked 14,271 Times in 11,413 Posts
Mentioned: 3 Post(s)
Tagged: 1 Thread(s)
Quoted: 44 Post(s)
Rep Power: 187
vuitoichat Reputation Uy Tín Level 10vuitoichat Reputation Uy Tín Level 10vuitoichat Reputation Uy Tín Level 10vuitoichat Reputation Uy Tín Level 10vuitoichat Reputation Uy Tín Level 10
vuitoichat Reputation Uy Tín Level 10vuitoichat Reputation Uy Tín Level 10vuitoichat Reputation Uy Tín Level 10vuitoichat Reputation Uy Tín Level 10vuitoichat Reputation Uy Tín Level 10vuitoichat Reputation Uy Tín Level 10vuitoichat Reputation Uy Tín Level 10vuitoichat Reputation Uy Tín Level 10
Dịch trang: EnglishEnglish DeutschDeutsch FrançaisFrançais EspañolEspañol ItalianoItaliano PortuguêsPortuguês
NorskNorsk NederlandsNederlands DanskDansk SuomiSuomi PolskiPolski ČeštinaČeština РусскийРусский
日本語日本語 한국어한국어 中文(简体)中文(简体) 中文(繁體)中文(繁體) MagyarMagyar TürkçeTürkçe
العربيةالعربية ไทยไทย LatinaLatina हिन्दीहिन्दी Bahasa IndonesiaBahasa Indonesia Bahasa MelayuBahasa Melayu
Old 08-24-2015   #2
NongDan
R9 Tuyệt Đỉnh Tôn Sư
 
Join Date: Feb 2013
Posts: 34,648
Thanks: 596
Thanked 1,577 Times in 1,236 Posts
Mentioned: 0 Post(s)
Tagged: 0 Thread(s)
Quoted: 690 Post(s)
Rep Power: 48
NongDan Reputation Uy Tín Level 4NongDan Reputation Uy Tín Level 4NongDan Reputation Uy Tín Level 4NongDan Reputation Uy Tín Level 4NongDan Reputation Uy Tín Level 4NongDan Reputation Uy Tín Level 4NongDan Reputation Uy Tín Level 4NongDan Reputation Uy Tín Level 4NongDan Reputation Uy Tín Level 4NongDan Reputation Uy Tín Level 4NongDan Reputation Uy Tín Level 4NongDan Reputation Uy Tín Level 4NongDan Reputation Uy Tín Level 4NongDan Reputation Uy Tín Level 4NongDan Reputation Uy Tín Level 4
Default

có điều kiện trồng răng giả...hết hôi.
NongDan_is_offline  
 
User Tag List

Thread Tools

Quyết chiến tại Washington: Khi Donald Trump tuyên chiến với "Pháo đài" Jerome Powell California chao đảo sau bê bối Swalwell: Gavin Newsom đứng trước bài toán quyền lực và tương lai Nhà Trắng Người Mỹ “dịu lại” với Trung Quốc: Khi chiến tranh, thương mại và mạng xã hội cùng xoay chiều dư luận toàn cầu
Việt Nam “nghiêng trục” về Trung Quốc: Học mô hình quản trị hay đánh đổi chủ quyền? LƯỚI TRỜI LỒNG LỘNG: CỰU TRÙM TÌNH BÁO BRAZIL SA LƯỚI TẠI MỸ SÓNG NGẦM HỌC ĐƯỜNG NGA: KHI GIẢNG ĐƯỜNG TRỞ THÀNH "BÀN ĐẠP" ĐƯA SINH VIÊN RA CHIẾN TRƯỜNG
“Bế tắc Hormuz: Mỹ – Iran giằng co từng tấc uranium, chiến tranh kinh tế đẩy thế giới vào vòng xoáy mới” Khi "Quyền Lực Sắt" Chạm Phải Đá: Những Giới Hạn Trong Tham Vọng Thống Trị Của Donald Trump "Mãnh hổ" Mark Carney và cú lội ngược dòng lịch sử: Một Canada đoàn kết trước "bão lửa" Donald Trump
Nguyên nhân tàu dầu Nga lại đến được Cuba? Vì Sao Mỹ – Israel lại không giết tổng thống và bộ trưởng ngoại giao Iran? Trump Và Canh Bạc NATO: Khi Đồng Minh Trở Thành Gánh Nặng Và Luật Pháp Thành Rào Cản
Lại thêm một người đẹp "mê hồn" sắp bị ông Trump sa thải? (hoặc bị chuyển qua vị trí khác) Nhất Thống Giang Hồ, Phá đảo thành công, ông Trump sẽ lên ngôi Bá Chủ Trung Đông Pete Hegseth và chiến tranh Iran: Từ người dẫn chương trình truyền hình đến ‘bộ mặt’ của Lầu Năm Góc
Sandro Castro – cháu nội của cố lãnh tụ Fidel Castro - ‘Thái tử ăn chơi’ của Cuba và tấm gương phản chiếu cơn khủng hoảng của đảo quốc Thế cờ eo biển Hormuz: Ông Trump mạnh hơn Iran, nhưng chưa chắc đã nắm phần thắng “Làn Sóng ‘Plan B’: Người Mỹ Đổ Xô Tìm Quốc Tịch Canada Giữa Biến Động Chính Trị”
Vàng lên cơn sốt: Vì sao thế giới lại ôm vàng, tích vàng và đẩy giá vàng bay cao? Người Ả Rập tại Mỹ: một cộng đồng đông đảo, âm thầm nhưng có ảnh hưởng ngày càng lớn Giáo Chủ Thần Quyền Y Lãng Mục Kiệt Tháp Ba (Mojtaba Khamenei) là ai?
Iran tuyên bố leo thang chiến tranh, Mỹ tuyên bố đã tấn công hơn 5.000 mục tiêu tại Iran, Khủng hoảng dầu mỏ lớn nhất trong lịch sử Những nghề nguy hiểm nhất thế giới: miếng cơm nào cũng có cái giá của nó Nga lập tức chống lưng Mojtaba, Iran tuyên bố không đàm phán, Starmer giữ khoảng cách với Trump
Chiều cao của các nguyên thủ quốc gia: Có người cao tới 1m90, nhưng cũng có người chỉ vỏn vẹn 1m37 Iran đổi ngôi giữa khói lửa: Mojtaba Khamenei lên nắm quyền, chiến tranh lan khắp Vùng Vịnh, dầu vượt 111 USD/thùng Giá xăng tại các tiểu bang Mỹ: vì sao cùng một nước mà nơi rẻ bất ngờ, nơi lại đắt đỏ đến chóng mặt?

 

iPad Videos Portal Autoscroll

VietBF Music Portal Autoscroll

iPad News Portal Autoscroll

VietBF Homepage Autoscroll

VietBF Video Autoscroll Portal

USA News Autoscroll Portall

VietBF WORLD Autoscroll Portal

Video Classic Master Page

Super Widescreen

iPad World Portal Autoscroll

iPad USA Portal Autoscroll

Phim Bộ Online
Lên đầu Xuống dưới Lên 3000px Xuống 3000px

Tin nóng nhất 24h qua

Tin nóng nhất 3 ngày qua

Tin nóng nhất 7 ngày qua

Tin nóng nhất 30 ngày qua

Albums

Total Videos Online

Tranh luận sôi nổi nhất 7 ngày qua

Tranh luận sôi nổi nhất 14 ngày qua

Tranh luận sôi nổi nhất 30 ngày qua

10.000 Tin mới nhất

Tin tức Hoa Kỳ

Tin tức Công nghệ
Lên đầu Xuống dưới Lên 3000px Xuống 3000px

Duo Series Movies Portal

Duo Music Portal

Phim Bộ

Tỷ Giá

Thời Tiết

Tin Nóng Nhất 50h

Super News

School Cooking Traveling Portal

Enter Portal

Series Shows and Movies Online

Home Classic Master Page

Donation Ủng hộ $3 cho VietBF
Lên đầu Xuống dưới Lên 3000px Xuống 3000px
Diễn Đàn Người Việt Hải Ngoại. Tự do ngôn luận, an toàn và uy tín. Vì một tương lai tươi đẹp cho các thế hệ Việt Nam hãy ghé thăm chúng tôi, hãy tâm sự với chúng tôi mỗi ngày, mỗi giờ và mỗi giây phút có thể. VietBF.Com Xin cám ơn các bạn, chúc tất cả các bạn vui vẻ và gặp nhiều may mắn.
Welcome to Vietnamese American Community, Vietnamese European, Canadian, Australian Forum, Vietnamese Overseas Forum. Freedom of speech, safety and prestige. For a beautiful future for Vietnamese generations, please visit us, talk to us every day, every hour and every moment possible. VietBF.Com Thank you all and good luck.

Lên đầu Xuống dưới Lên 3000px Xuống 3000px

All times are GMT. The time now is 16:39.
VietBF - Vietnamese Best Forum Copyright ©2005 - 2026
User Alert System provided by Advanced User Tagging (Pro) - vBulletin Mods & Addons Copyright © 2026 DragonByte Technologies Ltd.
Log Out Unregistered

Page generated in 0.09693 seconds with 13 queries