HOME-Au
HOME-Au
24h
24h
USA
USA
GOP
GOP
Phim Bộ
Phim Bộ
Videoauto
VIDEO-Au
Donation
Donation
News Book
News Book
News 50
News 50
worldautoscroll
WORLD-Au
Breaking
Breaking
 

Go Back   VietBF > Others (Closed Forums) > Archive - Old News 2012 (closed)

 
Thread Tools
 
 
Default Cậu bé người Trung quốc mang hàm răng ma cà rồng
Old 12-22-2012   #1
saigon75
R10 Vô Địch Thiên Hạ
 
Join Date: Dec 2006
Posts: 54,629
Thanks: 1,521
Thanked 4,892 Times in 1,268 Posts
Mentioned: 0 Post(s)
Tagged: 0 Thread(s)
Quoted: 0 Post(s)
Rep Power: 74
saigon75 Reputation Uy Tín Level 2saigon75 Reputation Uy Tín Level 2saigon75 Reputation Uy Tín Level 2saigon75 Reputation Uy Tín Level 2saigon75 Reputation Uy Tín Level 2saigon75 Reputation Uy Tín Level 2
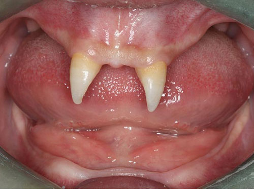
Một cậu bé Trung Quốc đă lớn lên với 2 chiếc răng cửa sắc nhọn khiến cho cuộc sống của cậu gặp rất nhiều khó khăn.


Cậu bé Trung Quốc có hàm răng phát triển lạ ḱ

Wang Pengfei, 16 tuổi, sống tại thành phố Trùng Khánh, tây nam Trung Quốc. Sinh ra đă mắc phải một chứng bệnh lạ, Pengfei có rất ít tóc và chỉ mọc duy nhất 2 chiếc răng nhọn hoắt.

Bà Wang Hui - mẹ của Pengfei đă đưa cậu đến bệnh viện địa phương để kiểm tra y tế hồi đầu tuần. Bà Wang cũng đă nhiều lần đưa con đi khám với mong muốn sẽ có cách chữa trị hàm răng cho con trai nhưng đều không nhận được kết quả khả quan.

Theo các bác sĩ ở bệnh viện Tây Nam, Pengfei chỉ có thể phẫu thuật khi ở tuổi trưởng thành. Chi phí cho ca phẫu thuật này là khoảng 70.000 đến 80.000 nhân dân tệ (tương đương 235 đến 270 triệu đồng).


H́nh chụp X-quang của Wang Pengfei
Bà Wang vô cùng lo lắng về t́nh trạng của con trai, cậu càng ngày càng thu ḿnh vào thế giới riêng, cô lập với mọi người trong suốt thời gian niên thiếu.

Wang Pengfei đă tấn công bạn bè cùng lớp khi họ nh́n chằm chằm hoặc th́ thầm bàn tán về cậu. Cậu bé rất mất tự tin với t́nh trạng của ḿnh, thậm chí cậu c̣n không bao giờ chịu chụp h́nh.

Mẹ của Pengfei cho biết: “Tôi rất lo lắng, thằng bé không có bạn bè và dần dần nhận ra rằng nó khác với những đứa trẻ khác”.

Linh San (Theo The Sun)
NLD

Ư kiến độc giả

Ynguyen
Thằng Tàu chệt này thể hiện bản chất hút máu của giống Tàu chuyên "xẻ thịt" các "dân tộc anh em" nhất là Việt Nam.
Những thằng chưa lộ răng ra c̣n ghê gớm bằng trăm lần nó.
saigon75_is_offline  
Attached Thumbnails
Click image for larger version

Name:	cafengoctung5 (4).jpg
Views:	14
Size:	35.8 KB
ID:	432851  
Old 12-22-2012   #2
lyphan05
R4 Cao Thủ Vơ Lâm
 
Join Date: Dec 2006
Posts: 805
Thanks: 0
Thanked 4 Times in 4 Posts
Mentioned: 0 Post(s)
Tagged: 0 Thread(s)
Quoted: 0 Post(s)
Rep Power: 20
lyphan05 Reputation Uy Tín Level 1
Default

Ba Xao ...Xao rang nhu vay la thuong..o AN DO co nguoi sinh ra co duoi dai thi sao...chuyen thong thuong..Xao.
lyphan05_is_offline  
Old 12-22-2012   #3
Song Song
R5 Cao Thủ Thượng Thừa
 
Join Date: Oct 2007
Posts: 1,330
Thanks: 0
Thanked 0 Times in 0 Posts
Mentioned: 0 Post(s)
Tagged: 0 Thread(s)
Quoted: 0 Post(s)
Rep Power: 20
Song Song Reputation Uy Tín Level 1
Default

tội nghiệp quá
Song Song_is_offline  
 
User Tag List


Thẻ vàng của Trump ế nặng ! Chỉ có một người mua, mà vị khách này có thể là gian thương của Trung Cộng Đạo luật Quyền hạn Chiến tranh Việt Nam 60 Ngày Sinh Tử: Canh Bạc "Vượt Rào" Của Trump Thăng trầm hậu trường chính trị: Hùng Cao và danh hiệu "Kẻ thất bại" đầy tranh căi trong chính quyền Trump
Tị nạn Cộng Sản mà lại chuyển tiền về VN, du lịch, mua nhà .. sẽ bị tước quốc tịch Mỹ, Khi tin đồn làm dậy sóng ... Nhà Trắng hay Ṭa Bạch Ốc? Cuộc hành tŕnh từ tên gọi dân gian đến biểu tượng chính trị toàn cầu Kinh tế Mỹ "gió rít qua khe cửa": Niềm tin tiêu dùng chạm đáy lịch sử giữa bóng ma chiến tranh
"Gương vỡ lại lành" hay Cuộc đối đầu lịch sử? Khi Donald Trump lần đầu dự tiệc tối Hiệp hội Phóng viên Nhà Trắng "Sóng dữ" tạm yên tại Cục Dự trữ Liên bang: Khi Jerome Powell thoát "án" và cánh cửa cho Kevin Warsh rộng mở Những chuyện hài hước nhất hôm nay +139 videos
HẬU DUỆ VNCH VIẾT NÊN LỊCH SỬ TẠI HOA KỲ: KHI KHIÊM NHƯỜNG LÀ SỨC MẠNH QUANG PHỤC QUÊ HƯƠNG Sức mạnh răn đe vô tiền khoáng hậu: Bộ ba "Pháo đài bay" Mỹ cùng lúc hội quân tại Trung Đông Những chuyện hài hước nhất hôm nay +112 videos
Chảo lửa Hormuz: Mỹ lên kế hoạch "đ̣n sấm sét" nếu thỏa thuận ngừng bắn sụp đổ Hiệu ứng cánh bướm từ Eo biển Hormuz: Khi châu Á "hắt hơi", nước Mỹ liệu có "sổ mũi"? Khi quyền lực không thể che lấp tội ác: Toàn cảnh vụ xét xử Rodrigo Duterte tại Ṭa án H́nh sự Quốc tế
Đồng tiền xương máu và canh bạc 400 ngh́n đô: Đặc nhiệm Mỹ "sa lưới" v́ đặt cược vào vụ bắt giữ Tổng thống Maduro Hoa Kỳ tước 400 quốc tịch Mỹ, liệu có Việt Cộng trong đó? Kỳ Tích Giữa Đời Thường: Người Phụ Nữ Chiến Thắng "Án Tử" Ung Thư Tụy Nhờ Vũ Khí mRNA Từng Cứu Thế Giới
Nội bộ Mỹ rạn nứt v́ chiến tranh Iran: Joe Kent từ chức, phong trào MAGA chia đôi, Nhà Trắng phản pháo dữ dội Tehran xác nhận Ali Larijani tử trận: “cột trụ” sụp đổ Israel “chặt đầu rắn”: Ali Larijani và lực lượng Basij bị tuyên bố tiêu diệt – Iran rơi vào cú sốc
Mỹ – Iran bước vào thế “đánh rồi tính sau” Chuyện hài Hàn Cộng: Khi giấc mộng xóa bỏ Bắc Triều vẫn ám ảnh Washington Mỹ mà thua Iran th́ toàn dân, toàn quân Việt Cộng chỉ có con đường chết đói bo bo
Trump gây sức ép toàn cầu mở lại eo Hormuz, chuyến thăm Trung Quốc có thể bị hoăn – NATO và đồng minh vẫn đứng ngoài Đức phản bác Trump: “Đây không phải là cuộc chiến của NATO” – Châu Âu chia rẽ trước khủng hoảng eo Hormuz Trump gây sức ép với Trung Quốc trước thềm thượng đỉnh Bắc Kinh: muốn mở eo Hormuz trước khi nói chuyện
5 vạn quân Mỹ áp sát Iran, bùng nổ đại chiến kinh hoàng tại Trung Đông, “Khi gió chiến tranh nổi lên, không ai biết cát sa mạc sẽ bay về đâu.” Iran xác nhận Giáo Chủ đă chết, 96 vạn quân Iran như rắn mất đầu Qatar và Emirates Airways, Dubai–Doha tê liệt, 1.800 chuyến bay bị hủy, hành khách mắc kẹt khắp nơi
Ông Trump xác nhận Giáo Chủ Iran đă chết, hàng loạt tướng tử vong, 30 vạn quân Iran đào ngũ tháo chạy khắp nơi, binh bại như núi đổ Iran ‘tắt sóng’ 99% sau không kích: internet gần như biến mất, dân Tehran đổ xô tích trữ, xếp hàng mua xăng Mỹ tổng tấn công Iran
Ghế Thủ Tướng “Đổi Gió”? Khi Lê Minh Hưng Không C̣n Đi Trên Thảm Đỏ Và “Thắng Đen” Trỗi Dậy Bốn Thượng Tướng Bộ Quốc Pḥng Nghỉ Công Tác Từ 1/3: “Hạ Cánh An Toàn” Và Một Vết Nhơ Ở Seoul? Fan MAGA một ḿnh giữa phố Bolsa: Câu chuyện tự do ngôn luận và ‘độ nóng’ của chính trị cộng đồng”

 

iPad Videos Portal Autoscroll

VietBF Music Portal Autoscroll

iPad News Portal Autoscroll

VietBF Homepage Autoscroll

VietBF Video Autoscroll Portal

USA News Autoscroll Portall

VietBF WORLD Autoscroll Portal

Video Classic Master Page

Super Widescreen

iPad World Portal Autoscroll

iPad USA Portal Autoscroll

Phim Bộ Online
Lên đầu Xuống dưới Lên 3000px Xuống 3000px

Tin nóng nhất 24h qua

Tin nóng nhất 3 ngày qua

Tin nóng nhất 7 ngày qua

Tin nóng nhất 30 ngày qua

Albums

Total Videos Online

Tranh luận sôi nổi nhất 7 ngày qua

Tranh luận sôi nổi nhất 14 ngày qua

Tranh luận sôi nổi nhất 30 ngày qua

10.000 Tin mới nhất

Tin tức Hoa Kỳ

Tin tức Công nghệ
Lên đầu Xuống dưới Lên 3000px Xuống 3000px

Duo Series Movies Portal

Duo Music Portal

Phim Bộ

Tỷ Giá

Thời Tiết

Tin Nóng Nhất 50h

Super News

School Cooking Traveling Portal

Enter Portal

Series Shows and Movies Online

Home Classic Master Page

Donation Ủng hộ $3 cho VietBF
Lên đầu Xuống dưới Lên 3000px Xuống 3000px
Diễn Đàn Người Việt Hải Ngoại. Tự do ngôn luận, an toàn và uy tín. V́ một tương lai tươi đẹp cho các thế hệ Việt Nam hăy ghé thăm chúng tôi, hăy tâm sự với chúng tôi mỗi ngày, mỗi giờ và mỗi giây phút có thể. VietBF.Com Xin cám ơn các bạn, chúc tất cả các bạn vui vẻ và gặp nhiều may mắn.
Welcome to Vietnamese American Community, Vietnamese European, Canadian, Australian Forum, Vietnamese Overseas Forum. Freedom of speech, safety and prestige. For a beautiful future for Vietnamese generations, please visit us, talk to us every day, every hour and every moment possible. VietBF.Com Thank you all and good luck.

Lên đầu Xuống dưới Lên 3000px Xuống 3000px

All times are GMT. The time now is 20:07.
VietBF - Vietnamese Best Forum Copyright ©2005 - 2026
User Alert System provided by Advanced User Tagging (Pro) - vBulletin Mods & Addons Copyright © 2026 DragonByte Technologies Ltd.
Log Out Unregistered

Page generated in 0.13841 seconds with 15 queries