HOME-Au
HOME-Au
24h
24h
USA
USA
GOP
GOP
Phim Bộ
Phim Bộ
Videoauto
VIDEO-Au
Donation
Donation
News Book
News Book
News 50
News 50
worldautoscroll
WORLD-Au
Breaking
Breaking
 

Go Back   VietBF > World > World News|Tin Thế Giới > World News |Tin Thế Giới 2006-2019


 
Thread Tools
 
 
  #1  
Old  Default Choáng với thai nhi siêu nghịch, đạp rách dạ con của mẹ để duỗi chân thoải mái
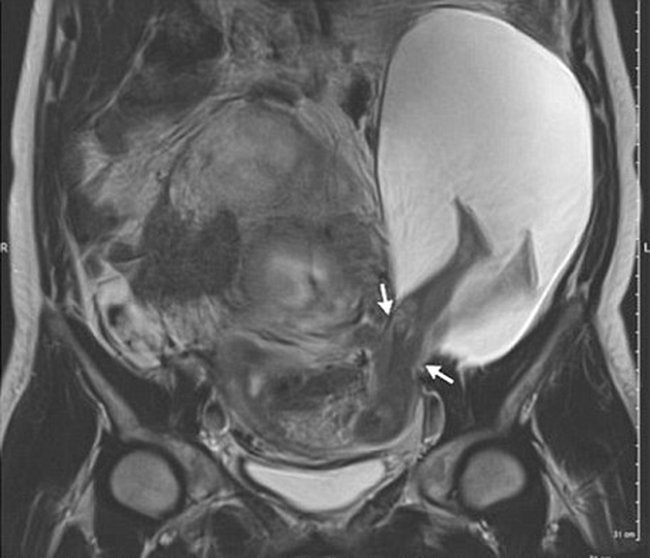
Một sản phụ 33 tuổi đã đến khám tại bệnh viện Đại học Angers và khiến các bác sĩ phải ngạc nhiên với ảnh chụp thai nhi. Theo đó, em bé trong bụng mẹ đã đạp rách cả dạ con chỉ để duỗi chân cho thoải mái. Đây có lẽ là em bé nghịch nhất thế giới.


Khi đủ thời gian thai kỳ, các em bé sẽ bắt đầu một cuộc sống mới bên ngoài bụng mẹ. Trong khi, phần lớn các bé phải nhờ tới sự trợ giúp của các bác sĩ mới có thể chui khỏi ra bụng mẹ thì một em bé sống tại Pháp đã tự mình đạp rách tử cung của mẹ để thò chân ra ngoài.

Trường hợp mang thai kỳ lạ này đã được bác sĩ Pierre Emmanuel Bouet, thuộc Bệnh viện Đại học Angers phát hiện ra sau khi nhìn thấy hình siêu âm của một sản phụ 33 tuổi. Theo bác sĩ, đây là 1 trong 26 ca mang thai cực hiếm hoi trong lịch sử y học thế giới.

Vết rách có chiều dài 2,5cm. Một phần túi nước ối cũng theo đó mà lòi ra ngoài. Trước tình trạng này, bác sĩ đã cảnh báo khả năng sinh non cũng như thoát vị tử cung, nhau cài răng lược, thậm chí phải cắt bỏ tử cung ở mẹ.

Cuối cùng, bà mẹ dũng cảm này cũng trải qua 30 tuần mang thai đầy nguy hiểm để hạ sinh một bé trai khỏe mạnh nặng 1,4kg bằng phương pháp đẻ mổ. Được biết, vào thời điểm lâm bồn, vết rách tử cung đã rộng tới 5cm.
Dịch trang: EnglishEnglish DeutschDeutsch FrançaisFrançais EspañolEspañol ItalianoItaliano PortuguêsPortuguês
NorskNorsk NederlandsNederlands DanskDansk SuomiSuomi PolskiPolski ČeštinaČeština РусскийРусский
日本語日本語 한국어한국어 中文(简体)中文(简体) 中文(繁體)中文(繁體) MagyarMagyar TürkçeTürkçe
العربيةالعربية ไทยไทย LatinaLatina हिन्दीहिन्दी Bahasa IndonesiaBahasa Indonesia Bahasa MelayuBahasa Melayu
VIETBF Hybrid Community Content Hub

HOT NEWS 24h

HOT 3 Days

NEWS 3 Days

HOT 7 Days

NEWS 7 Days

HOME

Breaking News

VietOversea

World News

Business News

Car News

Computer News

Game News

USA News

Mobile News

Music News

Movies News

History

Thơ Ca

Sport News

Stranger Stories

Comedy Stories

Cooking Chat

Nice Pictures

Fashion

School

Travelling

Funny Videos

Canada Tin Hay

USA Tin Hay

VietBF Homepage Autoscroll

VietBF Video Autoscroll Portal

Video Classic Master

iPad News Portal

VietBF iPad Music Portal

Tin nóng nhất 50h qua

Phim Bộ Online

iMusic Pro Max



june04
R10 Vô Địch Thiên Hạ
Release: 12-27-2016
Reputation: 17597


Profile:
Join Date: Oct 2014
Posts: 70,530
Last Update: None Rating: None
Attached Thumbnails
Click image for larger version

Name:	1.4.jpg
Views:	0
Size:	167.6 KB
ID:	976554  
june04_is_offline
Thanks: 4
Thanked 3,353 Times in 2,956 Posts
Mentioned: 0 Post(s)
Tagged: 0 Thread(s)
Quoted: 22 Post(s)
Rep Power: 82
june04 Reputation Uy Tín Level 6
june04 Reputation Uy Tín Level 6june04 Reputation Uy Tín Level 6june04 Reputation Uy Tín Level 6june04 Reputation Uy Tín Level 6june04 Reputation Uy Tín Level 6june04 Reputation Uy Tín Level 6june04 Reputation Uy Tín Level 6june04 Reputation Uy Tín Level 6june04 Reputation Uy Tín Level 6june04 Reputation Uy Tín Level 6june04 Reputation Uy Tín Level 6june04 Reputation Uy Tín Level 6june04 Reputation Uy Tín Level 6june04 Reputation Uy Tín Level 6june04 Reputation Uy Tín Level 6june04 Reputation Uy Tín Level 6june04 Reputation Uy Tín Level 6june04 Reputation Uy Tín Level 6june04 Reputation Uy Tín Level 6june04 Reputation Uy Tín Level 6june04 Reputation Uy Tín Level 6june04 Reputation Uy Tín Level 6
Dịch trang: EnglishEnglish DeutschDeutsch FrançaisFrançais EspañolEspañol ItalianoItaliano PortuguêsPortuguês
NorskNorsk NederlandsNederlands DanskDansk SuomiSuomi PolskiPolski ČeštinaČeština РусскийРусский
日本語日本語 한국어한국어 中文(简体)中文(简体) 中文(繁體)中文(繁體) MagyarMagyar TürkçeTürkçe
العربيةالعربية ไทยไทย LatinaLatina हिन्दीहिन्दी Bahasa IndonesiaBahasa Indonesia Bahasa MelayuBahasa Melayu
 
User Tag List


Hungary sau cơn địa chấn chính trị: Khi “cỗ máy tuyên truyền” sụp đổ và một thực tại mới bắt đầu Thế giới bên bờ vực: Khi tiếng chuông hòa bình của Giáo hoàng đối diện với khói lửa chiến tranh và vũng lầy dầu mỏ "Luật chơi mới" tại Hormuz: Iran ưu tiên tàu nộp tiền
Hỗn Loạn Trung Đông: Lính Pháp Tử Nạn Tại Lebanon, Eo Biển Hormuz "Đóng - Mở" Trong Chớp Mắt Dưới Áp Lực Từ Trump Trump dọa ném bom trở lại Iran nếu đàm phán đổ vỡ: Trung Đông đứng trước ngưỡng cửa "Hợp đồng Thế kỷ" Chảo lửa Trung Đông hạ nhiệt: Mỹ - Iran bên bờ vực thỏa thuận "vàng đen" và những quân bài ngửa trên eo biển Hormuz
Eo biển Hormuz mở cửa: Giá dầu lao dốc, chứng khoán Mỹ bùng nổ giữa hy vọng hòa bình mong manh TRUMP - KHAMENEI VÀ 72 TIÊN NỮ Videos (có thể download) và những chuyện hài ngày hôm nay Rộ tin đồn Phó Thủ Tướng bị thanh trừng
Phòng Khiêu Vũ 400 Triệu USD và Cuộc Đụng Độ Quyền Lực: Tòa Án Chặn Kế Hoạch Của Ông Trump Tại Nhà Trắng Mỹ im lặng trước vụ “máy bay mắt thần” bị phá hủy: Sự thật hay chiến tranh thông tin? Iran tiết lộ bức ảnh Giáo Chủ Ali Khamenei trước khi chết: Bức ảnh gây chấn động và câu chuyện về một đời sống giản dị
Ông Trump quyết tước quốc tịch 5 triệu trẻ em Biểu tình chống "Vua" Trump trên toàn nước Mỹ Đàn em Iran tổng tấn công Mỹ, khoá eo biển Bab al-Mandab, Hồng Hải cũng rung chuyển – Thế giới đứng trước cú sốc dầu mỏ chưa từng có
Siêu tàu sân bay Mỹ USS Gerald R. Ford cập cảng Croatia sau sự cố cháy giữa chiến trường Trung Đông Những chuyện hài hước nhất hôm nay Cuba “quay về quá khứ”: Khi xe ngựa thay thế ô tô giữa cơn khát xăng dầu
Mỹ có khả năng điều động thêm hàng không mẫu hạm đánh Iran Tín hiệu rối loạn từ thượng tầng Iran sau cái chết của Khamenei Trùm dư luận viên Trần Nhật Quang và cái kết đắng: Khi chiếc loa tuyên truyền bị… vỡ loa
Chiến sự Trung Đông ngày 7/3/2026: Trump dọa giáng đòn “rất nặng”, Iran xin lỗi các nước vùng Vịnh nhưng hỏa tiễn vẫn nổ, chiến tranh lan rộng Hòa Minzy: sinh con với Việt kiều Úc, vướng tin đồn cầu thủ, nay công khai yêu đại úy quân đội Kasim Hoàng Vũ: Một giọng ca ra đi giữa bão tin đồn và những ngày đau đớn nơi xứ người
Tình hình mới nhất: Israel mở đợt không kích lớn bằng hơn 80 chiến đấu cơ, Sân bay Mehrabad ở Tehran bốc cháy Tình hình mới nhất: Putin gọi cho Tổng thống Iran, chiến sự lan rộng khắp Trung Đông: dầu tăng sốc, Lebanon rung chuyển, Mỹ tăng tốc sản xuất Cập nhật tình hình mới nhất: Hàng không Trung Đông tê liệt vì chiến tranh Iran: hành trình tháo chạy qua Riyadh

 

iPad Videos Portal Autoscroll

VietBF Music Portal Autoscroll

iPad News Portal Autoscroll

VietBF Homepage Autoscroll

VietBF Video Autoscroll Portal

USA News Autoscroll Portall

VietBF WORLD Autoscroll Portal

Video Classic Master Page

Super Widescreen

iPad World Portal Autoscroll

iPad USA Portal Autoscroll

Phim Bộ Online
Lên đầu Xuống dưới Lên 3000px Xuống 3000px

Tin nóng nhất 24h qua

Tin nóng nhất 3 ngày qua

Tin nóng nhất 7 ngày qua

Tin nóng nhất 30 ngày qua

Albums

Total Videos Online

Tranh luận sôi nổi nhất 7 ngày qua

Tranh luận sôi nổi nhất 14 ngày qua

Tranh luận sôi nổi nhất 30 ngày qua

10.000 Tin mới nhất

Tin tức Hoa Kỳ

Tin tức Công nghệ
Lên đầu Xuống dưới Lên 3000px Xuống 3000px

Duo Series Movies Portal

Duo Music Portal

Phim Bộ

Tỷ Giá

Thời Tiết

Tin Nóng Nhất 50h

Super News

School Cooking Traveling Portal

Enter Portal

Series Shows and Movies Online

Home Classic Master Page

Donation Ủng hộ $3 cho VietBF
Lên đầu Xuống dưới Lên 3000px Xuống 3000px
Diễn Đàn Người Việt Hải Ngoại. Tự do ngôn luận, an toàn và uy tín. Vì một tương lai tươi đẹp cho các thế hệ Việt Nam hãy ghé thăm chúng tôi, hãy tâm sự với chúng tôi mỗi ngày, mỗi giờ và mỗi giây phút có thể. VietBF.Com Xin cám ơn các bạn, chúc tất cả các bạn vui vẻ và gặp nhiều may mắn.
Welcome to Vietnamese American Community, Vietnamese European, Canadian, Australian Forum, Vietnamese Overseas Forum. Freedom of speech, safety and prestige. For a beautiful future for Vietnamese generations, please visit us, talk to us every day, every hour and every moment possible. VietBF.Com Thank you all and good luck.

Lên đầu Xuống dưới Lên 3000px Xuống 3000px

All times are GMT. The time now is 08:54.
VietBF - Vietnamese Best Forum Copyright ©2005 - 2026
User Alert System provided by Advanced User Tagging (Pro) - vBulletin Mods & Addons Copyright © 2026 DragonByte Technologies Ltd.
Log Out Unregistered

Page generated in 0.12748 seconds with 15 queries