HOME-Au
HOME-Au
24h
24h
USA
USA
GOP
GOP
Phim Bộ
Phim Bộ
Videoauto
VIDEO-Au
Donation
Donation
News Book
News Book
News 50
News 50
worldautoscroll
WORLD-Au
Breaking
Breaking
 

Go Back   VietBF > Other > School | Kiến thức > School | Kiến thức 2006-2019


 
Thread Tools
 
 
  #1  
Old  Default Những việc cần làm khi bị mòn chân răng
Chân răng bị bào mòn không chỉ do tuổi tác mà do rất nhiều nguyên nhân. Nếu bị mòn do thuốc thì bác sĩ sẽ thay đổi cách dùng có thể giảm nguy cơ nhưng nếu các nguyên nhân khác thì sao?


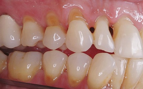
Răng bị bào mòn. (Ảnh minh họa)

Theo TS-BS Phạm Thị Thu Hằng (Khoa Răng - Bệnh viện Trung ương Quân đội 108), mòn-tiêu cổ răng là hiện tượng mất tổ chức cứng của răng ở vị trí gần đường nối men ngà. Biểu hiện dễ nhận biết là cổ răng bị khuyết, lõm sâu có hình chữ V (còn gọi là lõm hình chêm), hay gặp nhất ở mặt ngoài cổ răng hàm nhỏ ở hàm trên, ngoài ra còn thấy ở răng cửa và răng hàm lớn.

Đôi khi người bệnh được phát hiện khi răng xuất hiện hiện tượng nhạy cảm với nhiệt độ hoặc thức ăn ngọt, chua.

Những tổn thương này gia tăng theo tuổi và gặp từ lứa tuổi thanh niên cho tới người cao tuổi. Đặc biệt với lối sống tiêu thụ nhiều đồ uống có tính axit ở người trẻ tuổi và thuốc điều trị bệnh mãn tính ở người nhiều tuổi sẽ làm tăng độ axit trong khoang miệng dẫn đến tổ chức cứng của răng dễ bị bào mòn, tiêu cổ răng càng nặng.

Các nguyên nhân chủ yếu gây mòn-tiêu cổ răng theo bác sĩ Hằng có ba nguyên nhân chính:

Thứ nhất do ăn mòn của axit: Bình thường nước bọt trong môi trường miệng có pH = 7,0 trung tính. pH môi trường miệng có thể thay đổi do trào ngược dạ dày thực quản, dịch dạ dày có pH = 1,0-2,0. Có thể do người bệnh sử dụng thức uống có tính axit như trái cây, coca cola, nước tăng lực, rượu vang…(Coca cola có axit photphoric, nước tăng lực có axit citric). Các nước này có pH = 2,5-3,4.

Ngược lại, khi sử dụng ma túy qua đường miệng, pH trong miệng < 4,5. Lúc này sẽ xảy ra hiện tượng khử khoáng ở men và ngà răng.

Nguyên nhân thứ hai là ăn mòn do lực ma sát tác động, có thể do dùng bàn chải có lông cứng kết hợp với kem đánh răng có chất tẩy, chải răng quá mạnh với động tác đánh ngang gây chà sát làm tổn thương vùng cổ răng.

Nguyên nhân thứ ba do rối loạn cắn: Lực nhai quá mức, truyền đến vùng cổ răng như một lực uốn làm phá vỡ cấu trúc men răng, gây nứt vi cấu trúc. Dần dần tổn thương lớn hơn tạo lõm hình chêm vùng cổ răng. Thường gặp ở bệnh nhân có tật nghiến răng và mất răng, gây rối loạn cắn, khớp cắn sang chấn.

Các biện pháp ngăn ngừa mòn-tiêu cổ răng được bác sĩ Hằng đưa ra là:

Khám răng định kỳ 6 tháng một lần. Việc chẩn đoán sớm rất quan trọng để thay đổi những thói quen không tốt, có biện pháp phòng ngừa giúp bệnh nhân tránh phải can thiệp phục hồi có xâm lấn.

Giảm pH axit trong miệng từ bên ngoài: giảm các đồ ăn thức uống có tính axit. Giảm pH axit do trào ngược dạ dày bằng thuốc chống trào ngược, giảm axit dịch vị.

Đánh răng bằng bàn chải mềm với kem đánh răng chứa fluor, tăng độ khoáng hóa men răng với các biện pháp bổ sung fluor trong nước uống, muối ăn...

Bác sĩ Hằng khuyến cáo khi thấy xuất hiện một vết khuyết trên cổ răng, cần đến khám nha sĩ. Cũng có thể bệnh nhân thấy khó chịu với cảm giác ê buốt cổ răng. Vấn đề được phát hiện sớm, tổn thương sẽ được ngăn chặn. Điều trị mòn tiêu cổ răng tùy thuộc vào tình trạng tổn thương mô răng.

Nếu cổ răng tiêu ít nhưng có quá cảm ngà, nha sỹ bôi vecni vào vùng cổ răng để tránh sự tiếp xúc với môi trường axit và giảm ê buốt.

Nếu cổ răng tiêu đến mức cần hàn-trám, nha sĩ sẽ thay thế phần men răng tiêu lõm bằng một vật liệu trám có màu giống với răng. Có hai loại vật liệu được dùng là nhựa Composite và GIC (Glass Ionomer Cement). Đối với những răng mòn sâu ảnh hưởng đến tủy răng, có thể cần đến điều trị tủy hoặc nhổ bỏ.

VietBF © sưu tầm
Dịch trang: EnglishEnglish DeutschDeutsch FrançaisFrançais EspañolEspañol ItalianoItaliano PortuguêsPortuguês
NorskNorsk NederlandsNederlands DanskDansk SuomiSuomi PolskiPolski ČeštinaČeština РусскийРусский
日本語日本語 한국어한국어 中文(简体)中文(简体) 中文(繁體)中文(繁體) MagyarMagyar TürkçeTürkçe
العربيةالعربية ไทยไทย LatinaLatina हिन्दीहिन्दी Bahasa IndonesiaBahasa Indonesia Bahasa MelayuBahasa Melayu
VIETBF Hybrid Community Content Hub

HOT NEWS 24h

HOT 3 Days

NEWS 3 Days

HOT 7 Days

NEWS 7 Days

HOME

Breaking News

VietOversea

World News

Business News

Car News

Computer News

Game News

USA News

Mobile News

Music News

Movies News

History

Thơ Ca

Sport News

Stranger Stories

Comedy Stories

Cooking Chat

Nice Pictures

Fashion

School

Travelling

Funny Videos

Canada Tin Hay

USA Tin Hay

VietBF Homepage Autoscroll

VietBF Video Autoscroll Portal

Video Classic Master

iPad News Portal

VietBF iPad Music Portal

Tin nóng nhất 50h qua

Phim Bộ Online

iMusic Pro Max



troopy
R10 Vô Địch Thiên Hạ
Release: 12-30-2018
Reputation: 228389


Profile:
Join Date: Oct 2014
Posts: 94,038
Last Update: None Rating: None
Attached Thumbnails
Click image for larger version

Name:	25.jpg
Views:	0
Size:	29.3 KB
ID:	1321062  
troopy_is_offline
Thanks: 76
Thanked 7,131 Times in 6,227 Posts
Mentioned: 5 Post(s)
Tagged: 0 Thread(s)
Quoted: 34 Post(s)
Rep Power: 117
troopy Reputation Uy Tín Level 10troopy Reputation Uy Tín Level 10troopy Reputation Uy Tín Level 10troopy Reputation Uy Tín Level 10troopy Reputation Uy Tín Level 10troopy Reputation Uy Tín Level 10
troopy Reputation Uy Tín Level 10troopy Reputation Uy Tín Level 10troopy Reputation Uy Tín Level 10troopy Reputation Uy Tín Level 10troopy Reputation Uy Tín Level 10troopy Reputation Uy Tín Level 10troopy Reputation Uy Tín Level 10troopy Reputation Uy Tín Level 10troopy Reputation Uy Tín Level 10troopy Reputation Uy Tín Level 10troopy Reputation Uy Tín Level 10troopy Reputation Uy Tín Level 10troopy Reputation Uy Tín Level 10troopy Reputation Uy Tín Level 10troopy Reputation Uy Tín Level 10troopy Reputation Uy Tín Level 10troopy Reputation Uy Tín Level 10troopy Reputation Uy Tín Level 10troopy Reputation Uy Tín Level 10troopy Reputation Uy Tín Level 10troopy Reputation Uy Tín Level 10troopy Reputation Uy Tín Level 10troopy Reputation Uy Tín Level 10
Dịch trang: EnglishEnglish DeutschDeutsch FrançaisFrançais EspañolEspañol ItalianoItaliano PortuguêsPortuguês
NorskNorsk NederlandsNederlands DanskDansk SuomiSuomi PolskiPolski ČeštinaČeština РусскийРусский
日本語日本語 한국어한국어 中文(简体)中文(简体) 中文(繁體)中文(繁體) MagyarMagyar TürkçeTürkçe
العربيةالعربية ไทยไทย LatinaLatina हिन्दीहिन्दी Bahasa IndonesiaBahasa Indonesia Bahasa MelayuBahasa Melayu
 
User Tag List


Scandal tình dục làm rung chuyển cuộc đua thống đốc California: Eric Swalwell “tự bắn vào chân”, cục diện đảo chiều phút chót Cuba giữa vòng vây cấm vận: Bản lĩnh của "Hòn đảo tự do" hay bước đường cùng trước tối hậu thư từ Washington? Eo biển Hormuz bên bờ phong tỏa: Đàm phán Mỹ-Iran sụp đổ, chiến tranh ngôn từ hóa thành đòn siết thương mại toàn cầu
Giấc mơ xe hơi Mỹ dần xa tầm tay: Khi giá xe leo thang, người trẻ chật vật xoay xở Sự thật về vụ nổ súng kinh hoàng của đặc vụ ICE tại California Đàm phán Mỹ–Iran xuyên đêm thất bại: Hừng đông vỡ mộng tại Islamabad
Những chuyện hài hước nhất hôm nay Hội nghị Islamabad: Đêm trắng nghẹt thở bên bờ vực chiến tranh và những "toan tính" trên bàn cờ Mỹ - Iran Sự Thật Bị Che Khuất: Cuộc Chiến Biên Giới 1979 Và Nỗi Đau Lịch Sử Chưa Được Gọi Tên
Mỹ chưa sẵn sàng hộ tống tàu qua Hormuz, Nga bị tố giúp Iran, “Ayatollah” là gì, Mỹ tiết lộ số dầu trung bình-thấp còn trong kho Thông điệp đầu tiên của Tân Giáo Chủ Ba Tư: đóng Hormuz, dọa đánh căn cứ Mỹ và lời trấn an nửa vời với láng giềng Putin trúng số giữa cơn bão Trung Đông: khi dầu mỏ, chiến tranh và ảo tưởng của Trump cùng đẩy Nga hưởng lợi
Iran đưa ra ba điều kiện để chấm dứt chiến tranh, Giá nhiên liệu máy bay tăng mạnh, du lịch Trung Đông thiệt hại 600 triệu USD mỗi ngày California thấp thỏm, Iran mở rộng đòn đánh, hai tàu chở dầu bốc cháy, Mỹ tung 172 triệu thùng, Trump tuyên bố “đã thắng” Mỹ đánh Iran, châu Âu đứng nửa gần nửa xa: Donald Trump bỗng thấy cô đơn giữa vòng đồng minh
“G2” hay giấc mộng lưỡng cực: Trump muốn Mỹ - Trung cùng chia thiên hạ, Bắc Kinh lại không muốn mang tiếng bá quyền Nga ngồi không cũng hưởng lợi: chiến tranh Iran có thể thành “mỏ vàng” mới cho Điện Kremlin Eo biển Hormuz bốc lửa, chiến tranh lan rộng: Tàu hàng Thái Lan nổ tung, Iran có kho thuỷ lôi đáng sợ
DHS “quay xe” vụ dừng PreCheck: Hành khách thở phào, Global Entry vẫn bấp bênh Newsom “lên đường” bằng tour sách: Nếu đối đầu Kamala Harris, đó là… số phận Đêm Mar-a-Lago: Kẻ mang súng và can xăng bị bắn hạ ngay cổng Bắc
Tô Lâm bắt đầu chiến dịch thanh trừng các đàn em của Nguyễn Phú Trọng còn sót lại TRUMP MANG LẠI THÙ GHÉT CHƯA TỪNG THẤY Tràn ngập ảnh Đinh La Thăng ăn tết ở nhà, báo chí trong nước bịt kín thông tin
Trump nâng thuế quan toàn cầu lên 15% sau phán quyết Tối Cao Pháp Viện: “Đòn bẩy” mới, sóng gió mới Bốn năm chiến sự Ukraine: Nga trả giá bằng máu, bằng tiền – và bằng vị thế quốc tế Sydney rộn ràng Hội Chợ Tết Bính Ngọ 2026: Khai mạc tưng bừng – Hôm nay (CN 22/2) tiếp tục 10AM–10PM, pháo bông 9PM

 

iPad Videos Portal Autoscroll

VietBF Music Portal Autoscroll

iPad News Portal Autoscroll

VietBF Homepage Autoscroll

VietBF Video Autoscroll Portal

USA News Autoscroll Portall

VietBF WORLD Autoscroll Portal

Video Classic Master Page

Super Widescreen

iPad World Portal Autoscroll

iPad USA Portal Autoscroll

Phim Bộ Online
Lên đầu Xuống dưới Lên 3000px Xuống 3000px

Tin nóng nhất 24h qua

Tin nóng nhất 3 ngày qua

Tin nóng nhất 7 ngày qua

Tin nóng nhất 30 ngày qua

Albums

Total Videos Online

Tranh luận sôi nổi nhất 7 ngày qua

Tranh luận sôi nổi nhất 14 ngày qua

Tranh luận sôi nổi nhất 30 ngày qua

10.000 Tin mới nhất

Tin tức Hoa Kỳ

Tin tức Công nghệ
Lên đầu Xuống dưới Lên 3000px Xuống 3000px

Duo Series Movies Portal

Duo Music Portal

Phim Bộ

Tỷ Giá

Thời Tiết

Tin Nóng Nhất 50h

Super News

School Cooking Traveling Portal

Enter Portal

Series Shows and Movies Online

Home Classic Master Page

Donation Ủng hộ $3 cho VietBF
Lên đầu Xuống dưới Lên 3000px Xuống 3000px
Diễn Đàn Người Việt Hải Ngoại. Tự do ngôn luận, an toàn và uy tín. Vì một tương lai tươi đẹp cho các thế hệ Việt Nam hãy ghé thăm chúng tôi, hãy tâm sự với chúng tôi mỗi ngày, mỗi giờ và mỗi giây phút có thể. VietBF.Com Xin cám ơn các bạn, chúc tất cả các bạn vui vẻ và gặp nhiều may mắn.
Welcome to Vietnamese American Community, Vietnamese European, Canadian, Australian Forum, Vietnamese Overseas Forum. Freedom of speech, safety and prestige. For a beautiful future for Vietnamese generations, please visit us, talk to us every day, every hour and every moment possible. VietBF.Com Thank you all and good luck.

Lên đầu Xuống dưới Lên 3000px Xuống 3000px

All times are GMT. The time now is 06:42.
VietBF - Vietnamese Best Forum Copyright ©2005 - 2026
User Alert System provided by Advanced User Tagging (Pro) - vBulletin Mods & Addons Copyright © 2026 DragonByte Technologies Ltd.
Log Out Unregistered

Page generated in 0.11011 seconds with 15 queries