HOME-Au
HOME-Au
24h
24h
USA
USA
GOP
GOP
Phim Bộ
Phim Bộ
Videoauto
VIDEO-Au
Donation
Donation
News Book
News Book
News 50
News 50
worldautoscroll
WORLD-Au
Breaking
Breaking
 

Go Back   VietBF > World > Vietnam News | Tin Việt Nam > 2005-2023 Vietnam News


 
Thread Tools
 
 
  #1  
Old  Default Một người bệnh nặng vì thói quen có 1-0-2
Người đàn ông nhập viện vì thích… ngửi tất bẩn của mình mỗi ngày. Câu chuyện thật kỳ lạ của một người đàn ông...Trung Quốc. Đúng là thói quen chẳng ai có.

Mỗi người đều có những thói quen kỳ lạ, tuy nhiên, “sở thích” ngửi tất bẩn của người đàn ông đến từ Trung Quốc dường như không được bình thường. Và kết quả là người đàn ông này đã phải nhập viện vì bị nấm phổi.

Người đàn ông 37 tuổi tên Peng trước đó đã liên tục “ngửi” đôi tất bẩn của mình hàng ngày sau khi hoàn thành công việc.



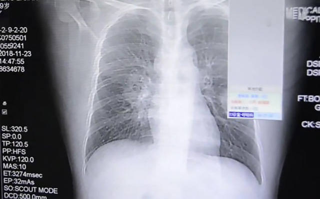
Phổi của bệnh nhân tên Peng bị nhiễm nấm phổi.

Sở thích kì lạ của Peng ban đầu được giải thích đơn giản là vì anh ta chỉ muốn kiểm tra mùi hôi chân của mình. Peng cũng cho rằng đó chỉ là một thói quen vô hại cho tới khi phải nhập viện.

Peng sống ở thành phố Chương Châu, tỉnh Phúc Kiến của Trung Quốc nhập viện trong tình trạng đau ngực dữ dội và ho rất nhiều.

Các bác sĩ nghi ngờ Peng bị viêm phổi, nhưng sau khi sử dụng mọi biện pháp không hiệu quả, các bác sĩ đã tiếp tục làm các xét nhiệm và khẳng định Peng bị nhiễm nấm ở trong phổi.

Mọi chuyện chỉ được làm rõ khi Peng kể lại thói quen kì dị của mình. Việc ngửi tất bẩn mỗi ngày chính là nguyên nhân khiến Peng hít phải bào tử nấm.

Theo thông tin từ truyền thông địa phương, Peng đã thú nhận với các bác sĩ anh ta nghiện ngửi đôi tất bẩn của mình.

Rất may mắn là Peng đã đến bệnh viện kịp thời và dự kiến sẽ sớm được ra viện.
Dịch trang: EnglishEnglish DeutschDeutsch FrançaisFrançais EspañolEspañol ItalianoItaliano PortuguêsPortuguês
NorskNorsk NederlandsNederlands DanskDansk SuomiSuomi PolskiPolski ČeštinaČeština РусскийРусский
日本語日本語 한국어한국어 中文(简体)中文(简体) 中文(繁體)中文(繁體) MagyarMagyar TürkçeTürkçe
العربيةالعربية ไทยไทย LatinaLatina हिन्दीहिन्दी Bahasa IndonesiaBahasa Indonesia Bahasa MelayuBahasa Melayu
VIETBF Hybrid Community Content Hub

HOT NEWS 24h

HOT 3 Days

NEWS 3 Days

HOT 7 Days

NEWS 7 Days

HOME

Breaking News

VietOversea

World News

Business News

Car News

Computer News

Game News

USA News

Mobile News

Music News

Movies News

History

Thơ Ca

Sport News

Stranger Stories

Comedy Stories

Cooking Chat

Nice Pictures

Fashion

School

Travelling

Funny Videos

Canada Tin Hay

USA Tin Hay

VietBF Homepage Autoscroll

VietBF Video Autoscroll Portal

Video Classic Master

iPad News Portal

VietBF iPad Music Portal

Tin nóng nhất 50h qua

Phim Bộ Online

iMusic Pro Max



PinaColada
R11 Tuyệt Thế Thiên Hạ
Release: 12-21-2018
Reputation: 137237


Profile:
Join Date: Oct 2013
Posts: 123,712
Last Update: None Rating: None
Attached Thumbnails
Click image for larger version

Name:	331.jpg
Views:	0
Size:	56.2 KB
ID:	1317145  
PinaColada_is_offline
Thanks: 9
Thanked 7,997 Times in 7,112 Posts
Mentioned: 2 Post(s)
Tagged: 0 Thread(s)
Quoted: 23 Post(s)
Rep Power: 142
PinaColada Reputation Uy Tín Level 9PinaColada Reputation Uy Tín Level 9PinaColada Reputation Uy Tín Level 9PinaColada Reputation Uy Tín Level 9PinaColada Reputation Uy Tín Level 9
PinaColada Reputation Uy Tín Level 9PinaColada Reputation Uy Tín Level 9PinaColada Reputation Uy Tín Level 9PinaColada Reputation Uy Tín Level 9PinaColada Reputation Uy Tín Level 9PinaColada Reputation Uy Tín Level 9PinaColada Reputation Uy Tín Level 9PinaColada Reputation Uy Tín Level 9PinaColada Reputation Uy Tín Level 9PinaColada Reputation Uy Tín Level 9PinaColada Reputation Uy Tín Level 9PinaColada Reputation Uy Tín Level 9PinaColada Reputation Uy Tín Level 9PinaColada Reputation Uy Tín Level 9PinaColada Reputation Uy Tín Level 9PinaColada Reputation Uy Tín Level 9PinaColada Reputation Uy Tín Level 9PinaColada Reputation Uy Tín Level 9PinaColada Reputation Uy Tín Level 9PinaColada Reputation Uy Tín Level 9PinaColada Reputation Uy Tín Level 9PinaColada Reputation Uy Tín Level 9
Dịch trang: EnglishEnglish DeutschDeutsch FrançaisFrançais EspañolEspañol ItalianoItaliano PortuguêsPortuguês
NorskNorsk NederlandsNederlands DanskDansk SuomiSuomi PolskiPolski ČeštinaČeština РусскийРусский
日本語日本語 한국어한국어 中文(简体)中文(简体) 中文(繁體)中文(繁體) MagyarMagyar TürkçeTürkçe
العربيةالعربية ไทยไทย LatinaLatina हिन्दीहिन्दी Bahasa IndonesiaBahasa Indonesia Bahasa MelayuBahasa Melayu
 
User Tag List


SIÊU NHẠC HỘI BTS TẠI CỐ CUNG: KHI K-POP VƯƠN MÌNH THÀNH ĐẾ CHẾ TOÀN CẦU VÀ CÂU HỎI VỀ BẢN SẮC SÓNG GIÓ HẬU BẦU CỬ: FBI "ĐÁNH NHANH THẮNG NHANH" TẠI GEORGIA VÀ CUỘC CHIẾN PHÁP LÝ NẢY LỬA VOLVO VÀ CUỘC ĐUA "ĐIỆN HÓA" NƯỚC MỸ: CEO HÅKAN SAMUELSSON LIỆU CÓ TẠO NÊN PHÉP MÀU?
ĐỒNG ĐÔ LA "HỤT HƠI": THUẾ NGẦM ĐANG BÀO MÒN TÚI TIỀN NGƯỜI DÂN MỸ GIỮA THỜI ĐẠI TRUMP CÔNG LÝ ĐÃ MỈM CƯỜI: NỮ THÔNG DỊCH VIÊN TÒA ÁN TẠI TEXAS ĐƯỢC TRẢ TỰ DO SAU CÚ "BẮT BỚ" NGỠ NGÀNG CỦA ICE CƠN SỐT "THỪA ĐẠM" VÀ HỆ LỤY KHÔN LƯỜNG: KHI BỮA ĂN THÀNH "GÁNH NẶNG" CHO THẬN
BÃO TÁP TRÊN CHÍNH TRƯỜNG MỸ: KHI NIỀM TIN VÀO TRUMP CHẠM ĐÁY VÀ CUỘC ĐUA TRUNG NHIỆM NÓNG DẦN SÓNG GIÓ PHÁP ĐÌNH MỸ: CUỘC CHIẾN GIÀNH LẠI QUYỀN TIẾP CẬN THUỐC PHÁ THAI TRƯỚC TÒA ÁN TỐI CAO "CÁNH CHIM" SPIRIT GÃY GÁNH GIỮA TRỜI: CÁC ĐẠI GIA HÀNG KHÔNG MỸ RA TAY "CỨU TRỢ" KHẨN CẤP
Châu Âu Trong "Cơn Bão Lửa" Năng Lượng: Gói Cứu Trợ Khẩn Cấp Và Cuộc Chiến Sinh Tồn Giữa Thời Chiến Iran Cuộc Chiến AI Xuyên Lục Địa: Mỹ Tố Trung Quốc "Đánh Cắp" Chất Xám Quy Mô Công Nghiệp Bằng Công Nghệ Chưng Cất Khi "Cây Bút" Đối Đầu "Họng Súng": FBI Bị Tố Dùng Quyền Lực Ngầm Để Trù Dập Phóng Viên Tờ New York Times
Cơn Địa Chấn Tại Meta Facebook: Sa Thải 8.000 Nhân Viên Để "Dọn Đường" Cho Kỷ Nguyên Trí Tuệ Nhân Tạo Đại Án "Bánh Sinh Nhật Ma" Rúng Động Trung Quốc: Phạt Kỷ Lục 3,6 Tỷ Tệ Và Những Màn Đối Đầu Như Phim Hành Động Nghịch Lý Phố Wall: Chứng Khoán Mỹ Lên Đỉnh Lịch Sử Bất Chấp "Chảo Lửa" Trung Đông Và Giá Dầu 100 Đô
Cú "Quay Xe" Lịch Sử: Spirit Airlines Và Canh Bạc Cứu Trợ 500 Triệu Đô Giữa Cơn Bão Lửa Trung Đông HÙNG CAO: TỪ CẬU BÉ TỊ NẠN SÀI GÒN ĐẾN NGƯỜI CHÈO LÁI HẢI QUÂN HOA KỲ Những chuyện hài hước nhất hôm nay +83 videos
Mỹ khả năng rút khỏi chiến trường Trung Đông, kế hoạch đánh sập Độc tài Iran thất bại? Bầu trời Trung Đông “dậy sóng”: Emirates, Qatar, Etihad đồng loạt huỷ chuyến, hành khách rối như tơ vò Trump cần thêm 200 tỷ USD để đánh Iran, dân Mỹ tha hồ đóng tiền "ngu"
Mỹ siết luật mạnh tay: Gian lận an sinh xã hội có thể bị trục xuất ngay lập tức Ferrari “đạp phanh” tại Trung Đông: Chiến tranh Iran làm rung chuyển thị trường siêu xe Giá vé máy bay quốc tế có thể tăng gấp đôi từ 1/4/2026
Joe Kent rời ghế phản khủng bố: tiếng nói “ngược dòng” giữa cơn bão chiến tranh Iran Mỹ đánh giá Iran “chưa sụp nhưng đã suy”: khoảng trống quyền lực mở ra, nguy cơ biến thành “Triều Tiên thứ hai” Israel tiếp tục “săn đầu não”: giết chết Bộ trưởng Tình báo Iran (Esmail Khatib), Tehran rơi vào vòng xoáy hỗn loạn
Chiến dịch ‘Epic Fury’, Tóm tắt tình hình mới nhất Đêm Lửa Tehran: Đòn Đánh Mỹ–Israel, Cái Chết Của Khamenei Và Cơn Địa Chấn Hormuz Bão lửa Trung Đông lan rộng: Iran tuyên bố ‘không đàm phán’, Gulf rung chuyển vì nổ lớn, và cú ‘bắn nhầm’ làm rơi 3 tiêm kích Mỹ tại Kuwait
Lần đầu tiên trong lịch sử: F-22 Raptor xuất hiện trên bầu trời Israel Ngày thứ hai sau cuộc tấn công của Mỹ và Israel vào Tehran và tiêu diệt hết lãnh đạo đầu não của Iran, chuyện gì đang diễn ra? Nguyên nhân các vũ khí, radar, tên lửa đánh chặn của Nga-Trung hoàn toàn vô dụng trước đòn tấn công của Mỹ
Nguyên nhân Mỹ đánh một phát trúng liền giết chết Giáo Chủ Iran Vì sao Iran không dựng Giáo Chủ giả mà công bố là đã chết? 5 quân nhân gốc Việt trên hàng không mẫu hạm Mỹ tham gia đánh Iran

 

iPad Videos Portal Autoscroll

VietBF Music Portal Autoscroll

iPad News Portal Autoscroll

VietBF Homepage Autoscroll

VietBF Video Autoscroll Portal

USA News Autoscroll Portall

VietBF WORLD Autoscroll Portal

Video Classic Master Page

Super Widescreen

iPad World Portal Autoscroll

iPad USA Portal Autoscroll

Phim Bộ Online
Lên đầu Xuống dưới Lên 3000px Xuống 3000px

Tin nóng nhất 24h qua

Tin nóng nhất 3 ngày qua

Tin nóng nhất 7 ngày qua

Tin nóng nhất 30 ngày qua

Albums

Total Videos Online

Tranh luận sôi nổi nhất 7 ngày qua

Tranh luận sôi nổi nhất 14 ngày qua

Tranh luận sôi nổi nhất 30 ngày qua

10.000 Tin mới nhất

Tin tức Hoa Kỳ

Tin tức Công nghệ
Lên đầu Xuống dưới Lên 3000px Xuống 3000px

Duo Series Movies Portal

Duo Music Portal

Phim Bộ

Tỷ Giá

Thời Tiết

Tin Nóng Nhất 50h

Super News

School Cooking Traveling Portal

Enter Portal

Series Shows and Movies Online

Home Classic Master Page

Donation Ủng hộ $3 cho VietBF
Lên đầu Xuống dưới Lên 3000px Xuống 3000px
Diễn Đàn Người Việt Hải Ngoại. Tự do ngôn luận, an toàn và uy tín. Vì một tương lai tươi đẹp cho các thế hệ Việt Nam hãy ghé thăm chúng tôi, hãy tâm sự với chúng tôi mỗi ngày, mỗi giờ và mỗi giây phút có thể. VietBF.Com Xin cám ơn các bạn, chúc tất cả các bạn vui vẻ và gặp nhiều may mắn.
Welcome to Vietnamese American Community, Vietnamese European, Canadian, Australian Forum, Vietnamese Overseas Forum. Freedom of speech, safety and prestige. For a beautiful future for Vietnamese generations, please visit us, talk to us every day, every hour and every moment possible. VietBF.Com Thank you all and good luck.

Lên đầu Xuống dưới Lên 3000px Xuống 3000px

All times are GMT. The time now is 09:31.
VietBF - Vietnamese Best Forum Copyright ©2005 - 2026
User Alert System provided by Advanced User Tagging (Pro) - vBulletin Mods & Addons Copyright © 2026 DragonByte Technologies Ltd.
Log Out Unregistered

Page generated in 0.09335 seconds with 13 queries