HOME-Au
HOME-Au
24h
24h
USA
USA
GOP
GOP
Phim Bộ
Phim Bộ
Videoauto
VIDEO-Au
Home Classic
Home Classic
Donation
Donation
News Book
News Book
News 50
News 50
worldautoscroll
WORLD-Au
Breaking
Breaking
 

Go Back   VietBF > World Box| Thế Giới > Vietnam News | Tin Việt Nam


Reply
 
Thread Tools
  #1  
Old  Default Ông Việt kiều tử vong sau cú hắt xì vì kiên quyết làm 1 điều
Nam bệnh nhân là Việt kiều Úc bất ngờ rơi vào hôn mê sau khi hắt xì. Dù được bác sĩ hết lòng điều trị nhưng bệnh nhân đã không thể qua khỏi.

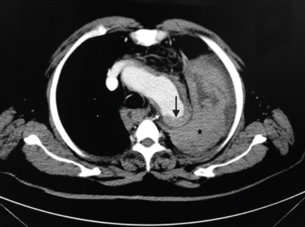
Bác sĩ Nguyễn Minh Đức – Giảng viên Trường Đại học Y Phạm Ngọc Thạch (TPHCM), trước đó, bệnh nhân đến bệnh viện khám do có các triệu chứng của rối loạn tiêu hóa. Tuy nhiên, trong quá trình khám bệnh, bác sĩ đã phát hiện bệnh nhân bị phình động mạch chủ ngực, kích thước lên tới 50mm.

Bác sĩ tư vấn bệnh nhân can thiệp điều trị đặt stent graft ngay vì có nguy cơ vỡ túi phình động mạch chủ ngực nhưng bệnh nhân mong muốn là quay trở lại Úc điều trị. Dù được bác sĩ giải thích về những nguy cơ có thể xảy ra vỡ túi phình, thậm chí có thể nguy kịch tới tính mạng nhưng bệnh nhân vẫn nhất quyết từ chối điều trị và đặt vé máy bay về Úc.

Tuy nhiên, chưa kịp bay thì ngay hôm sau, bệnh nhân đã phải nhập viện cấp cứu trong tình trạng hôn mê. Theo người nhà, người bệnh đã bất tỉnh sau một cú hắt xì. Qua kết quả chụp CT, bác sĩ xác định bệnh nhân bị vỡ túi phình, khiến người bệnh sốc và tử vong ngay sau đó.


Bác sĩ Đức cho biết, trường hợp như bệnh nhân Việt kiều trên không phải hiếm gặp. Trước đó, bác sĩ đã từng chứng kiến một đồng nghiệp tử vong sau cú hắt hơi. Người bệnh là một bác sĩ ngành chấn thương chỉnh hình ở TPHCM. Vị bác sĩ này khám và phát hiện phình động mạch ngực, túi phình 45mm nhưng chưa muốn điều trị.

Sau đó vị bác sĩ này khi bị cảm cúm, bệnh nhân hắt xì và gặp biến chứng vỡ phình động mạch chủ ngực rồi tử vong ở tuổi 60.

Theo bác sĩ Đức, động mạch chủ là mạch máu lớn nhất trong cơ thể, xuất phát từ tim và đưa máu giàu oxy đến các cơ quan khác như ngực, bụng, tứ chi... Phình động mạch chủ ngực là tình trạng một đoạn động mạch chủ chạy qua ngực bị tổn thương, dần suy yếu, phình to ra.

Khi hắt hơi, người bệnh sẽ lấy hơi bụng đẩy lên, gây áp lực lên động mạch chủ ngực. Động mạch đang phình căng như bóng bay khi bị tác dụng lực sẽ rất dễ vỡ, dẫn đến chảy máu ồ ạt vào tim, phổi gây sốc và người bệnh có nguy cơ tử vong rất cao.

Biến chứng nguy hiểm của phình động mạch

Bác sĩ Nguyễn Minh Đức cho biết phình động mạch rất nguy hiểm nếu không được can thiệp và xử lý kịp thời. Người bệnh có thể gặp những biến chứng như: Vỡ mạch tại vị trí phình, có thể gây tử vong; Tắc động mạch ngoại vi cấp tính; Phình động mạch chủ dọa vỡ; Tách thành động mạch chủ; Viêm quanh túi phình.

Theo bác sĩ Đức, phình động mạch chủ có nguy có xảy ra ở những bệnh nhân tăng huyết áp, đái tháo đường, rối loạn mỡ máu. Để phát hiện phình động mạch chủ bác sĩ sẽ chỉ định chụp mạch, siêu âm. Để phòng bệnh, người dân có thể xây dựng chế độ ăn uống tốt cho sức khỏe tim mạch, không tiếp xúc với thuốc lá, hạn chế uống rượu, ngủ đủ giấc, tránh stress - thức khuya và tập luyện thường xuyên.
VIETBF Diễn Đàn Hay Nhất Của Người Việt Nam

HOT NEWS 24h

HOT 3 Days

NEWS 3 Days

HOT 7 Days

NEWS 7 Days

HOME

Breaking News

VietOversea

World News

Business News

Car News

Computer News

Game News

USA News

Mobile News

Music News

Movies News

History

Thơ Ca

Sport News

Stranger Stories

Comedy Stories

Cooking Chat

Nice Pictures

Fashion

School

Travelling

Funny Videos

Canada Tin Hay

USA Tin Hay

VietBF Homepage Autoscroll

VietBF Video Autoscroll Portal

Home Classic

Home Classic Master Page



nguoiduatinabc
R10 Vô Địch Thiên Hạ
Release: 04-02-2025
Reputation: 22130


Profile:
Join Date: Apr 2016
Posts: 81,641
Last Update: None Rating: None
Attached Thumbnails
Click image for larger version

Name:	4.PNG
Views:	0
Size:	243.5 KB
ID:	2509335  
nguoiduatinabc_is_offline
Thanks: 168
Thanked 5,400 Times in 4,375 Posts
Mentioned: 4 Post(s)
Tagged: 0 Thread(s)
Quoted: 29 Post(s)
Rep Power: 92
nguoiduatinabc Reputation Uy Tín Level 7nguoiduatinabc Reputation Uy Tín Level 7
nguoiduatinabc Reputation Uy Tín Level 7nguoiduatinabc Reputation Uy Tín Level 7nguoiduatinabc Reputation Uy Tín Level 7nguoiduatinabc Reputation Uy Tín Level 7nguoiduatinabc Reputation Uy Tín Level 7nguoiduatinabc Reputation Uy Tín Level 7nguoiduatinabc Reputation Uy Tín Level 7nguoiduatinabc Reputation Uy Tín Level 7nguoiduatinabc Reputation Uy Tín Level 7nguoiduatinabc Reputation Uy Tín Level 7nguoiduatinabc Reputation Uy Tín Level 7nguoiduatinabc Reputation Uy Tín Level 7nguoiduatinabc Reputation Uy Tín Level 7
Reply

User Tag List


Hà Nội đang rất mệt – nhưng tôi vẫn không đành rời đi Chuyện giang hồ Á Châu và những cú sốc văn hoá Người Đàn Bà Gánh Sứ Mệnh Đến Hơi Thở Cuối Cùng
Putin Sụp Kiểu Liên Xô Hay Chỉ Là Giấc Mơ Của Phương Tây? “Con kiến kiện củ khoai”: Dân Phú Yên có thật sự kiện được thủy điện xả lũ? Trump Đánh Thuế, Chuỗi Cung Ứng Đại Di Cư: Việt Nam Đang Lên Đời Hay Chỉ Là Trạm Trung Chuyển Rẻ Tiền?
VIỆT NAM SẮP HÓNG HAY ĐANG ẢO GIÁC TẬP THỂ? Macron dọa đánh thuế hàng Trung Quốc: Châu Âu giật mình trước thâm hụt 300 tỷ euro Chiến lược An ninh Quốc gia mới của Trump: Khi ‘Nước Mỹ trên hết’ hóa thành bản tuyên ngôn cá nhân
Vì sao ngày xưa vua miễn thuế khi bão lụt, còn ngày nay thì không? Phép tính lạnh lùng của quyền lực Lindsey Halligan: 63 Ngày Hỗn Loạn Ở Viện Công Tố Virginia Việt Cộng sẽ tịch thu toàn bộ tiền của Việt kiều gửi trong ngân hàng?
Từ ‘Sổ Sinh Tử’ Đến Những Tấm Bưu Thiếp Tự Do: Lời Kêu Gọi Từ Buổi Tưởng Niệm 50 Năm Quốc Nạn 1975–2025 Paris By Night Lặng Im: Khi Đế Chế Giải Trí Chạm Đáy Khủng Hoảng Địa Ngục Lửa Trên Cao Ốc: Thảm Họa Wang Fuk Court Rúng Động Hồng Kông, ít nhất 146 người chết, khoảng 40 người vẫn còn mất tích
Ván Cờ Hòa Bình Của Trump: Ukraine Giữa Thể Diện Dân Tộc, Bom Đạn Và Lính Đánh Thuê Toàn Cầu Thảm Sát Trong Tiệc Sinh Nhật Ở California: Khi Bữa Tiệc Gia Đình Hóa Chiến Trường Đẫm Máu Vì sao Paris By Night và nghệ sĩ hải ngoại đồng loạt im lặng trước chuyện chống Cộng?
Nghề nail người Việt giữa cơn bão 2025: khi ghế trống nhiều hơn khách Giáng sinh kiểu Mỹ 2025: Rạp phim cháy vé, gấu bông biết nói nhảm và nỗi băn khoăn “có nên cho con tiền lúc mình còn sống?” Bitcoin lao dốc, vàng – bạc lập kỷ lục: cơn “sốc Nhật Bản” đang dọa thổi bay cú rally cuối năm của Phố Wall
Black Friday 2025: Người Mỹ mua nhiều mà được ít – thuế Trump và “K-đồ thị” xé đôi túi tiền Chống tham nhũng làm nghẽn “cỗ máy chiến tranh”: Doanh thu quốc phòng Trung Quốc bất ngờ lao dốc Cựu tiếp viên hàng không và “luật ngầm” 4 triệu – 7 triệu: đường dây mại dâm Tài Nguyên Fortuner II lộ sáng
Quân Lực VNCH – Ai còn nhớ, ai đã quên: TQLC Phúc Yên Nguyễn Xuân Phúc và một “tổn thất” của Khóa 16 Kinh tế Trung Quốc đang tan rã từ bên trong: “phép màu” chỉ là một phim trường khổng lồ Giữa Nước Mỹ Chia Rẽ: Tâm Sự Của Một Người Nhập Cư

 
Lên đầu Xuống dưới Lên 3000px Xuống 3000px

iPad Videos Portal Autoscroll

VietBF Music Portal Autoscroll

iPad News Portal Autoscroll

VietBF Homepage Autoscroll

VietBF Video Autoscroll Portal

USA News Autoscroll Portall

VietBF WORLD Autoscroll Portal

Home Classic

Super Widescreen

iPad World Portal Autoscroll

iPad USA Portal Autoscroll

Phim Bộ Online

Tin nóng nhất 24h qua

Tin nóng nhất 3 ngày qua

Tin nóng nhất 7 ngày qua

Tin nóng nhất 30 ngày qua

Albums

Total Videos Online
Lên đầu Xuống dưới Lên 3000px Xuống 3000px

Tranh luận sôi nổi nhất 7 ngày qua

Tranh luận sôi nổi nhất 14 ngày qua

Tranh luận sôi nổi nhất 30 ngày qua

10.000 Tin mới nhất

Tin tức Hoa Kỳ

Tin tức Công nghệ
Lên đầu Xuống dưới Lên 3000px Xuống 3000px

Super News

School Cooking Traveling Portal

Enter Portal

Series Shows and Movies Online

Home Classic Master Page

Donation Ủng hộ $3 cho VietBF
Lên đầu Xuống dưới Lên 3000px Xuống 3000px
Diễn Đàn Người Việt Hải Ngoại. Tự do ngôn luận, an toàn và uy tín. Vì một tương lai tươi đẹp cho các thế hệ Việt Nam hãy ghé thăm chúng tôi, hãy tâm sự với chúng tôi mỗi ngày, mỗi giờ và mỗi giây phút có thể. VietBF.Com Xin cám ơn các bạn, chúc tất cả các bạn vui vẻ và gặp nhiều may mắn.
Welcome to Vietnamese American Community, Vietnamese European, Canadian, Australian Forum, Vietnamese Overseas Forum. Freedom of speech, safety and prestige. For a beautiful future for Vietnamese generations, please visit us, talk to us every day, every hour and every moment possible. VietBF.Com Thank you all and good luck.

Lên đầu Xuống dưới Lên 3000px Xuống 3000px

All times are GMT. The time now is 06:15.
VietBF - Vietnamese Best Forum Copyright ©2005 - 2025
User Alert System provided by Advanced User Tagging (Pro) - vBulletin Mods & Addons Copyright © 2025 DragonByte Technologies Ltd.
Log Out Unregistered

Page generated in 0.11178 seconds with 15 queries