HOME-Au
HOME-Au
24h
24h
USA
USA
GOP
GOP
Phim Bộ
Phim Bộ
Videoauto
VIDEO-Au
Home Classic
Home Classic
Donation
Donation
News Book
News Book
News 50
News 50
worldautoscroll
WORLD-Au
Breaking
Breaking
 

Go Back   VietBF > Other News|Tin Khác > School | Kiến thức


Reply
 
Thread Tools
  #1  
Old  Default Cơn đau đầu báo hiệu căn bệnh nguy hiểm, có thể gây mù mắt, tổn thương não
Đi khám sau thời gian dài đau đầu nhưng dùng thuốc không đỡ, người phụ nữ được phát hiện bị viêm xoang bướm do nấm, một căn bệnh nguy hiểm nhưng triệu chứng mờ nhạt, diễn tiến âm thầm.

Ngày 20/10, BSCKII Ngô Đức Minh Huy, Trưởng khoa Tai Mũi Họng, Bệnh viện Nhân dân 115 (TPHCM) cho hay, đơn vị vừa tiếp nhận và điều trị thành công cho một bệnh nhân nữ 67 tuổi được chẩn đoán viêm xoang bướm do nấm.

Bệnh nhân đến khám trong tình trạng đau đầu kéo dài nhiều tháng kèm chảy mũi có mùi hôi. Trước đó, người bệnh từng đi khám và điều trị tại một số cơ sở y tế nhưng tình trạng bệnh không cải thiện nếu ngưng thuốc.

Tại bệnh viện, từ kết quả khám bệnh ban đầu, các bác sĩ nghi ngờ bệnh nhân mắc viêm xoang do nấm.

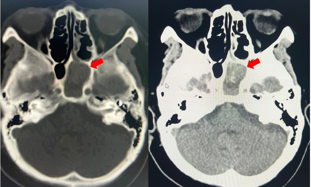
Kết quả chụp CT scan và cận lâm sàng sau đó cũng xác định người bệnh mắc viêm xoang bướm trái do nấm kèm tình trạng nhiễm trùng. Bên cạnh đó, bà cũng được ghi nhận mắc nhiều bệnh nền như tăng huyết áp, bệnh thận mạn giai đoạn III, đái tháo đường type 2.


Hình ảnh khối nấm xoang bướm bên trái (mũi tên đỏ) (Ảnh: BV).

Ngay sau đó, bệnh nhân được phối hợp điều trị đa chuyên khoa để ổn định sức khỏe ban đầu. Khi tình trạng cho phép, các bác sĩ khoa Tai Mũi Họng tiến hành phẫu thuật nội soi mở xoang bướm, lấy sạch mô nấm, hoại tử, viêm trong lòng xoang cho người bệnh, đồng thời lấy mẫu bệnh phẩm nghi nấm gửi xét nghiệm.

Sau mổ, người bệnh tiếp tục được theo dõi và điều trị tại khoa Tai Mũi Họng. Đến thời điểm xuất viện, người bệnh đã không còn đau đầu và chảy mũi.

Chia sẻ về trường hợp này, BS Minh Huy nhấn mạnh, viêm xoang bướm do nấm là một bệnh lý thầm lặng, dễ bị bỏ sót dễ gây biến chứng nguy hiểm, đặc biệt là ở người lớn tuổi với nhiều bệnh lý nền.

Viêm xoang bướm do nấm là một dạng nhiễm nấm không xâm lấn, thường gặp trong nhóm bệnh lý viêm xoang do nấm, xuất hiện nhiều ở người trung niên và lớn tuổi, đặc biệt ở nữ giới.

Bệnh bắt nguồn từ một khối nấm thường là do các loại nấm sợi phát triển lâu ngày, tạo thành một “quả bóng” đặc quánh màu nâu đen hoặc xanh xám hình thành trong lòng xoang bướm. Đây là nơi nằm sâu trong hốc mũi, tiếp giáp với nhiều cấu trúc quan trọng như nền sọ, dây thần kinh thị giác, tuyến yên, động mạch cảnh trong.

"Điểm đáng chú ý là bệnh diễn tiến âm thầm, triệu chứng không điển hình, dễ nhầm lẫn với viêm xoang mạn tính thông thường. Do đó, nhiều trường hợp chỉ được phát hiện khi bệnh đã kéo dài, thậm chí có biến chứng nguy hiểm", bác sĩ Huy chia sẻ.

Triệu chứng lâm sàng của nấm xoang bướm thường mơ hồ và không đặc hiệu như nhức đầu âm ỉ vùng đỉnh hoặc vùng sau hốc mắt. Cơn đau lan lên trán hoặc thái dương, thường kéo dài, dùng thuốc giảm đau ít hiệu quả.

Người bệnh cũng thường có dấu hiệu nghẹt mũi hoặc chảy dịch mũi, có thể có mùi hôi. Một số trường hợp có thể giảm thị lực thoáng qua hoặc mờ mắt do khối nấm chèn ép dây thần kinh thị giác.

Do vị trí xoang bướm nằm sát nhiều cấu trúc quan trọng, khối nấm nếu không được phát hiện và xử trí kịp thời có thể dẫn đến các biến chứng nghiêm trọng như tổn thương thần kinh thị giác gây giảm thị lực đột ngột, thậm chí mù không hồi phục; viêm mô tế bào quanh hốc mắt hoặc áp xe ổ mắt; viêm màng não, áp xe não do nhiễm trùng lan rộng.

"Đây là thể nấm không xâm lấn nhưng vẫn có thể để lại hậu quả nặng nề nếu chẩn đoán chậm trễ. Do đó, việc cảnh giác và phát hiện sớm là yếu tố then chốt trong điều trị", BSCKI Nhâm Tấn Đạt, khoa Tai Mũi Họng khuyến cáo.

Do đó, mọi người tuyệt đối không nên chủ quan với đau đầu kéo dài, nhức đầu vùng chẩm, sau mắt hoặc giữa trán, dùng thuốc không giảm.

"Mọi người cũng nên đi khám sớm nếu có dấu hiệu bất thường về thị lực như mờ mắt, nhìn đôi hoặc giảm thị lực thoáng qua. Đây có thể là dấu hiệu cảnh báo tổn thương thần kinh thị giác do khối nấm chèn ép", bác sĩ cảnh báo.

Mọi người cũng nên thường xuyên vệ sinh mũi xoang bằng dung dịch nước muối sinh lý, tránh môi trường ô nhiễm, khói bụi và không tự ý dùng thuốc kéo dài khi chưa có chỉ định của bác sĩ.

Vietbf @ Sưu tầm
VIETBF Diễn Đàn Hay Nhất Của Người Việt Nam

HOT NEWS 24h

HOT 3 Days

NEWS 3 Days

HOT 7 Days

NEWS 7 Days

HOME

Breaking News

VietOversea

World News

Business News

Car News

Computer News

Game News

USA News

Mobile News

Music News

Movies News

History

Thơ Ca

Sport News

Stranger Stories

Comedy Stories

Cooking Chat

Nice Pictures

Fashion

School

Travelling

Funny Videos

Canada Tin Hay

USA Tin Hay

VietBF Homepage Autoscroll

VietBF Video Autoscroll Portal

Home Classic

Home Classic Master Page



PinaColada
R11 Tuyệt Thế Thiên Hạ
Release: 10-22-2025
Reputation: 136981


Profile:
Join Date: Oct 2013
Posts: 119,368
Last Update: None Rating: None
Attached Thumbnails
Click image for larger version

Name:	dau.jpg
Views:	0
Size:	146.2 KB
ID:	2584528  
PinaColada_is_offline
Thanks: 9
Thanked 7,869 Times in 6,998 Posts
Mentioned: 2 Post(s)
Tagged: 0 Thread(s)
Quoted: 23 Post(s)
Rep Power: 138
PinaColada Reputation Uy Tín Level 9PinaColada Reputation Uy Tín Level 9PinaColada Reputation Uy Tín Level 9PinaColada Reputation Uy Tín Level 9PinaColada Reputation Uy Tín Level 9
PinaColada Reputation Uy Tín Level 9PinaColada Reputation Uy Tín Level 9PinaColada Reputation Uy Tín Level 9PinaColada Reputation Uy Tín Level 9PinaColada Reputation Uy Tín Level 9PinaColada Reputation Uy Tín Level 9PinaColada Reputation Uy Tín Level 9PinaColada Reputation Uy Tín Level 9PinaColada Reputation Uy Tín Level 9PinaColada Reputation Uy Tín Level 9PinaColada Reputation Uy Tín Level 9PinaColada Reputation Uy Tín Level 9PinaColada Reputation Uy Tín Level 9PinaColada Reputation Uy Tín Level 9PinaColada Reputation Uy Tín Level 9PinaColada Reputation Uy Tín Level 9PinaColada Reputation Uy Tín Level 9PinaColada Reputation Uy Tín Level 9PinaColada Reputation Uy Tín Level 9PinaColada Reputation Uy Tín Level 9PinaColada Reputation Uy Tín Level 9
Reply

User Tag List


Chiến lược an ninh mới của Trump: Hạ giọng với Trung Quốc, đặt cược tất tay vào kinh tế và lá bài Đài Loan Kho ảnh mới từ dinh thự Jeffrey Epstein: Bóng dáng giới quyền lực và cuộc đấu Trump – Quốc hội Mỹ Cây chổi cho Donald Trump
Nước Mỹ Trump đang kéo châu Âu đi đâu? Nền kinh tế chữ K: 79 ngàn tỷ đô bị “ăn cắp” khỏi túi người lao động Mỹ Khi Trump “đại tu” FEMA và tấn công các cơ quan độc lập
Ukraine đánh thẳng vào “cây ATM năng lượng” của Nga, NATO cảnh báo: chiến tranh đã ở ngay trước cửa Tyler Robinson lần đầu trực tiếp xuất hiện trước tòa: Vụ ám sát Charlie Kirk và câu hỏi về thù hận chính trị ở nước Mỹ Chính quyền Trump chính thức mở trang mạng để bán "thẻ vàng định cư"
Ba người Việt bị ICE bắt ở New Orleans: Từ giấc mơ Mỹ đến nguy cơ bị trục xuất Hai anh em sinh đôi trở về Việt Nam tìm mẹ ruột sau 24 năm và người mẹ Mỹ mang trái tim Bồ Tát Cuối năm phố tắt đèn: Cơn sóng trả mặt bằng và tiếng thở dài của tiểu thương
Tin đồn ông Nguyễn Xuân Phúc xin qua Mỹ định cư: Tấm thẻ đảng và cánh cửa di trú Hoa Kỳ Netflix tung đòn 28 USD/cổ phiếu: Trận quyết đấu cuối cùng của ‘chiến tranh streaming’? Cơn sốc 50.000 USD: Mua xe mới ở Mỹ sắp thành xa xỉ phẩm?
Làn sóng hủy show Nhật Bản ở Trung Quốc: Khi chính trị tắt đèn sân khấu Mãn kinh – chương đời bị bỏ quên của một nửa nhân loại Cuộc họp nội các thật hỗn loạn của ông Trump
Miền Trung chết đuối trong hai chữ “đúng quy trình” Nhật Bản thời Takaichi: Khi Tokyo thôi “hiền lành” và trở thành đối trọng cứng rắn với Bắc Kinh Từ lũ dữ miền Trung đến “Công ước Hà Nội”: Khi khế ước xã hội bị xé bỏ
Phú Yên không còn quan tài: Tiếng khóc giữa đại hồng thủy và những chuyến xe chở tình người Mafia công nghệ 4.0: Từ vụ Alice Guo đến cuộc cạnh tranh quyền lực ngầm ở Đông Nam Á Người đàn ông mang trạm sạc đến nối lại tin tức giữa vùng lũ
“Lũ nhân tạo” ở Việt Nam: Khi dòng sông bị bẻ cong vì thủy điện Đêm 19-11 và tiếng kêu giữa lũ dữ: Khi “đúng quy trình” nhấn chìm niềm tin của dân Lời nói dối “người Mỹ không làm việc này” và cái giá của cả một quốc gia
Đức dựng lại “đạo quân mạnh nhất châu Âu”: Tham vọng của Merz và nỗi lo nghĩa vụ quân sự Thích Trí Quang: Từ “vì đạo pháp và dân tộc” đến 44 năm im lặng Khi Bắc Kinh dọa “chặt đầu” bà đầm thép Sanae Takaichi
Trump hô tội “phản loạn, xử tử hình” 6 dân biểu Dân Chủ: chính trường Mỹ trượt sát lằn ranh bạo lực Ukraine giữa gọng kìm: Kế hoạch hòa bình của Trump và bóng ma drone Rubicon trên bầu trời chiến tranh Kinh tế Mỹ “chạy hết ga, nhưng ghế trống”: Nỗi lo suy thoái không việc làm dưới thời Trump
Hai thẩm phán liên bang chặn lệnh Trump “bóp cổ” ngân sách cứu trợ thiên tai để ép bỏ DEI và hỗ trợ di trú Đêm lũ cuốn trôi Camp Mystic: từ bức vẽ ám ảnh của bé Lulu đến 27 sinh mạng nhỏ bị bỏ rơi Từ cái chết Pamela Genini đến bóng tối đè lên phụ nữ Ý dưới thời Giorgia Meloni

 
Lên đầu Xuống dưới Lên 3000px Xuống 3000px

iPad Videos Portal Autoscroll

VietBF Music Portal Autoscroll

iPad News Portal Autoscroll

VietBF Homepage Autoscroll

VietBF Video Autoscroll Portal

USA News Autoscroll Portall

VietBF WORLD Autoscroll Portal

Home Classic

Super Widescreen

iPad World Portal Autoscroll

iPad USA Portal Autoscroll

Phim Bộ Online

Tin nóng nhất 24h qua

Tin nóng nhất 3 ngày qua

Tin nóng nhất 7 ngày qua

Tin nóng nhất 30 ngày qua

Albums

Total Videos Online
Lên đầu Xuống dưới Lên 3000px Xuống 3000px

Tranh luận sôi nổi nhất 7 ngày qua

Tranh luận sôi nổi nhất 14 ngày qua

Tranh luận sôi nổi nhất 30 ngày qua

10.000 Tin mới nhất

Tin tức Hoa Kỳ

Tin tức Công nghệ
Lên đầu Xuống dưới Lên 3000px Xuống 3000px

Super News

School Cooking Traveling Portal

Enter Portal

Series Shows and Movies Online

Home Classic Master Page

Donation Ủng hộ $3 cho VietBF
Lên đầu Xuống dưới Lên 3000px Xuống 3000px
Diễn Đàn Người Việt Hải Ngoại. Tự do ngôn luận, an toàn và uy tín. Vì một tương lai tươi đẹp cho các thế hệ Việt Nam hãy ghé thăm chúng tôi, hãy tâm sự với chúng tôi mỗi ngày, mỗi giờ và mỗi giây phút có thể. VietBF.Com Xin cám ơn các bạn, chúc tất cả các bạn vui vẻ và gặp nhiều may mắn.
Welcome to Vietnamese American Community, Vietnamese European, Canadian, Australian Forum, Vietnamese Overseas Forum. Freedom of speech, safety and prestige. For a beautiful future for Vietnamese generations, please visit us, talk to us every day, every hour and every moment possible. VietBF.Com Thank you all and good luck.

Lên đầu Xuống dưới Lên 3000px Xuống 3000px

All times are GMT. The time now is 01:58.
VietBF - Vietnamese Best Forum Copyright ©2005 - 2025
User Alert System provided by Advanced User Tagging (Pro) - vBulletin Mods & Addons Copyright © 2025 DragonByte Technologies Ltd.
Log Out Unregistered

Page generated in 0.11545 seconds with 15 queries