HOME-Au
HOME-Au
24h
24h
USA
USA
GOP
GOP
Phim Bộ
Phim Bộ
Videoauto
VIDEO-Au
Home Classic
Home Classic
Donation
Donation
News Book
News Book
News 50
News 50
worldautoscroll
WORLD-Au
Breaking
Breaking
 

Go Back   VietBF > Other News|Tin Khác > School | Kiến thức > School | Kiến thức 2006-2019


 
 
Thread Tools
  #1  
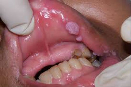
Old  Default Bé 2 tuổi bị sùi mào gà vì mẹ hôn
Người mẹ có biểu hiện sùi mào gà hôn con đã truyền vi rút HPV sang đứa trẻ khiến em bé mới chỉ 2 tuổi đã xuất hiện u nhú ở quanh miệng và lưng.

Mẹ truyền sùi mào gà cho con

Mới đây, phòng khám của bác sĩ nam khoa Nguyễn Khắc Lợi vừa tiếp nhận chữa trị cho trường hợp bệnh nhân là hai mẹ con. Bệnh nhân đến khám với tâm trạng lo lắng. Chị Nguyễn Minh K. trú tại Long Biên, Hà Nội cho biết, gần đây chị thường xuyên xuất hiện các ổ sùi trong miệng và hàm mặt.

Sau khi đi khám tại một bệnh viện, bác sĩ cho biết chị bị sùi mào gà ở khoang miệng. Chị K. về nhà điều trị đã khỏi được một thời gian. Tuy nhiên, gần đây chị thấy con gái nhỏ 2 tuổi cũng có các biểu hiện xuất hiện ổ sùi quanh miệng và phần lưng. Chị K. hoang mang vô cùng vì em bé còn quá nhỏ. Chị đã đưa con đi kiểm tra kết quả dương tính với HPV – vi rút gây ra sùi mào gà ở người.


Ảnh minh hoạ.

Ngay sau đó, chị K. đã đưa bé đi khám da liễu và điều trị nhưng bệnh chậm tiến triển. Khi đến phòng khám, bác sĩ cho biết quanh môi và miệng của chị K. vẫn còn xuất hiện ổ sùi li ti. Nguyên nhân khiến con chị bị sùi mào gà có thể do người mẹ hôn con mà không để ý.

Chị K. nghĩ mình đã khỏi sùi mào gà nhưng bác sĩ cho biết chị không thể khỏi mà chỉ mới tiêu diệt u nhú, còn nguyên nhân gây sùi mào gà là vi rút HPV vẫn tồn tại trong cơ thể, cư trú trong máu và không thể tiêu diệt nó.

Trước đó, bác sĩ Lợi cũng từng gặp trường hợp một bé trai 3 tháng tuổi bị sùi mào gà ở nhiều nơi trên cơ thể do lây từ mẹ sang khi đẻ. Mẹ của cháu bé trong thời gian mang bầu đã nhiễm sùi mào gà. Ổ sùi lan sâu vào trong cả âm đạo và bác sĩ chỉ đốt bên ngoài. Không còn ổ sùi, mẹ cháu bé đã chọn phương pháp sinh thường cho bé và trong quá trình sinh đẻ đã lây bệnh cho con mà không hay biết.

Bệnh sùi mào gà ở phụ nữ rất khó điều trị, nhất là ở khu vực "nhạy cảm". Theo các bác sĩ da liễu, đốt sùi mào gà chỉ làm ổn định bề mặt còn bên trong vẫn còn và bệnh có nguy cơ tái phát bất cứ lúc nào. Cho đến nay, phòng bệnh sùi mào gà chỉ có biên pháp tiêm phòng vắc xin ngừa HPV nhưng không phải ai cũng tiêm được.

Bệnh xảy ra ở tất cả mọi người

Trao đổi với Infonet, bác sĩ Nguyễn Khắc Lợi cho biết sùi mào gà là một bệnh lý u nhú ở người lây lan qua đường tình dục, do virus gây ra mang tên HPV (Human Papilloma Virus). Y học thế giới đã công bố tìm thấy có hơn 100 loài vi rút gây u nhú ở người, trong đó hơn 40 loài gây bệnh, đặc biệt type 16 và18 gây ung thư cổ tử cung ở nữ giới, type 6 và 11 gây sùi mào gà ở nam giới.

Hiện chưa có kháng sinh điều trị, vắc xin phòng bệnh chỉ có giá trị với người dưới 14 tuổi và chưa có quan hệ tình dục. Bệnh gây phiền toái đến đời sống, đến tâm sinh lý, đến tình dục. Trong một điều kiện thuận lợi nào đó có thể dẫn đến vô sinh và ung thư dương vật.

Những người dễ bị nhiễm HPV là những người có nhiều bạn tình, chung chạ bạn tình, quan hệ tình dục đồng giới, quan hệ tình dục thô bạo, vệ sinh kém, không cắt bao quy đầu khi bị chít hẹp, người suy giảm miễn dịch, nạo hút nhiều lần, đẻ nhiều lần.

Theo bác sĩ Lợi đường lây nhiễm chủ yếu của HPV là qua da và niêm mạc (cơ quan niệu - dục, hậu môn …) , quan hệ với người mang mầm bệnh HPV hoặc dịch tiết của người mang mầm bệnh. Điều khiến bác sĩ cũng như người bệnh lo lắng nhất là sùi mào gà còn có thể lây nhiễm qua việc sờ mó, hôn, quan hệ đồng tính, dùng chung khăn tắm, quần lót, đồ dùng cá nhân của người mang mầm bệnh HPV.

Chính vì thế, người trong gia đình bị sùi mào gà có thể lây cho các thành viên khác. Có người thì bị ở da, môi, lưỡi, lợi, họng, hạ họng, thanh quản, mắt, hậu môn, lỗ niệu đao ngoài - trong, bàng quang, bộ phận sinh dục.

Tuy nhiên, có những trường hợp bị ngoài da mà không biết cho rằng thịt thừa hay bệnh da nào đó mà không nhận biết ra đó là ổ sùi mào gà. Để lâu, các ổ sùi đẻ và “nở hoa” như bông hoa mào gà.

therealrtz ©VietSN
VIETBF Diễn Đàn Hay Nhất Của Người Việt Nam

HOT NEWS 24h

HOT 3 Days

NEWS 3 Days

HOT 7 Days

NEWS 7 Days

HOME

Breaking News

VietOversea

World News

Business News

Car News

Computer News

Game News

USA News

Mobile News

Music News

Movies News

History

Thơ Ca

Sport News

Stranger Stories

Comedy Stories

Cooking Chat

Nice Pictures

Fashion

School

Travelling

Funny Videos

Canada Tin Hay

USA Tin Hay

VietBF Homepage Autoscroll

VietBF Video Autoscroll Portal

Home Classic

Home Classic Master Page



therealrtz
R10 Vô Địch Thiên Hạ
Release: 01-10-2015
Reputation: 234480


Profile:
Join Date: Nov 2014
Posts: 91,389
Last Update: None Rating: None
Attached Thumbnails
Click image for larger version

Name:	64.jpg
Views:	0
Size:	21.8 KB
ID:	725714  
therealrtz_is_offline
Thanks: 28
Thanked 6,720 Times in 5,989 Posts
Mentioned: 4 Post(s)
Tagged: 0 Thread(s)
Quoted: 34 Post(s)
Rep Power: 114
therealrtz Reputation Uy Tín Level 10therealrtz Reputation Uy Tín Level 10therealrtz Reputation Uy Tín Level 10therealrtz Reputation Uy Tín Level 10therealrtz Reputation Uy Tín Level 10therealrtz Reputation Uy Tín Level 10therealrtz Reputation Uy Tín Level 10
therealrtz Reputation Uy Tín Level 10therealrtz Reputation Uy Tín Level 10therealrtz Reputation Uy Tín Level 10therealrtz Reputation Uy Tín Level 10therealrtz Reputation Uy Tín Level 10therealrtz Reputation Uy Tín Level 10therealrtz Reputation Uy Tín Level 10therealrtz Reputation Uy Tín Level 10therealrtz Reputation Uy Tín Level 10therealrtz Reputation Uy Tín Level 10therealrtz Reputation Uy Tín Level 10therealrtz Reputation Uy Tín Level 10therealrtz Reputation Uy Tín Level 10therealrtz Reputation Uy Tín Level 10therealrtz Reputation Uy Tín Level 10therealrtz Reputation Uy Tín Level 10therealrtz Reputation Uy Tín Level 10
 
User Tag List

Thread Tools

Tổng thống ‘Hòa Bình’ và những biên giới đỏ lửa: Thái–Miên, Pakistan–Afghanistan và vở kịch giải thưởng cho Trump Chernobyl lại báo động đỏ: Lá chắn thép 2,1 tỷ euro bị drone đánh thủng, IAEA cảnh báo mất chức năng an toàn Paris lại đăng quang, Bangkok đông nghẹt, Viêng Chăn vẫn lặng lẽ: Bản đồ du lịch 2025 giữa kỷ lục mới và những góc bình yên
Trump Thắng Lớn Trong Cuộc Chiến ‘Bãi Nhiệm Không Cần Lý Do Vì Sao Tôi Chống Trump: Từ Nước Mắt Trong ICU Đến Chiếc Ô Đỏ MAGA Và Trò Hề ‘Giải Hòa Bình’ Từ Okinawa đến màn hình điện thoại: Trung Quốc leo thang quân sự, siết kiểm soát số và cuộc chiến bóng ma quanh Đài Loan
Cú quay đầu của lá phiếu Latino: từ ‘kỳ tích’ Trump 2024 đến khối cử tri dao động nhất nước Mỹ Cộng đồng Somali ở Minnesota đứng dậy giữa bão trục xuất Trung Quốc ăn cắp máy quang khắc bất thành – vì sao ‘đốt cháy giai đoạn’ trong ngành chip là chuyện bất khả?
Cú “cắn ghế” thần tốc ở Hà Nội: Mailisa, Doctor Magic và ván cờ phe phái Ngân sách tăng thuế của Labour và nước Anh nơi 1/3 trẻ em sống trong nghèo đói Đĩa mì Ý ở Mỹ trước bão thuế 107%: từ “xa xỉ phẩm 4 đô” đến nỗi lo mất luôn món ăn bình dân
Mùa mua sắm Mỹ thời bão giá: Macy’s, Old Navy, Walmart xoay xở, Sears hấp hối – trong khi Đài Loan bứt tốc nhờ cơn sốt AI Tịch thu 100 sổ đỏ, 300 cây vàng SJC, 400k USD, 3 tỷ đồng của Mailisa và còn nhiều nữa, siêu xe hàng tá, tiền hàng ...tấn Giáo hoàng Leo XIV kêu gọi chấm dứt lợi dụng tôn giáo cho chiến tranh trong chuyến công du Thổ Nhĩ Kỳ – Li Băng
Louvre tăng giá vé 45% với khách ngoài châu Âu: bức tranh đắt đỏ mới của “ngôi đền nghệ thuật” Paris Bão Mặt Trời đe dọa buồng lái: hơn 6.000 máy bay Airbus A320 phải sửa gấp vì nguy cơ mất kiểm soát 10 ngày ở ghế Chủ tịch Hà Nội: Nguyễn Đức Trung và bài toán nhân sự trước Đại hội 14
Nếu VinFast thua sạch ở Mỹ: Hoá đơn có thể lên tới 1,5 tỷ USD Từ Việt Minh đến Chuyên Chính Đỏ: Chiến lược che giấu và thanh trừng có chủ đích Từ Nội Chiến Mỹ đến Việt Nam: Hai cách đối xử với người lính bại trận
“Hãy công bố kết quả MRI đi!” – Tim Walz dội gáo nước lạnh vào cơn thịnh nộ Lễ Tạ Ơn của Donald Trump Từ Vệ Binh Quốc Gia đến Quân Lực Việt Nam Cộng Hòa – hành trình một đạo quân quốc gia “Người Cày Có Ruộng” – ngày vui nhất đời Tổng thống Thiệu và ký ức tem thư của một thằng bé Sài Gòn
Tiền tuyến rực lửa, bàn đàm phán nóng lên: Ukraine vạch lằn ranh đỏ trước kế hoạch hòa bình của Trump Starbucks – Target và ly socola bạc hà cứu vãn mùa Giáng sinh ảm đạm Phố thời trang tắt đèn trước Tết: Tiểu thương Hà Nội kẹt giữa gánh thuê nhà và thuế khóa

 
Lên đầu Xuống dưới Lên 3000px Xuống 3000px

iPad Videos Portal Autoscroll

VietBF Music Portal Autoscroll

iPad News Portal Autoscroll

VietBF Homepage Autoscroll

VietBF Video Autoscroll Portal

USA News Autoscroll Portall

VietBF WORLD Autoscroll Portal

Home Classic

Super Widescreen

iPad World Portal Autoscroll

iPad USA Portal Autoscroll

Phim Bộ Online

Tin nóng nhất 24h qua

Tin nóng nhất 3 ngày qua

Tin nóng nhất 7 ngày qua

Tin nóng nhất 30 ngày qua

Albums

Total Videos Online
Lên đầu Xuống dưới Lên 3000px Xuống 3000px

Tranh luận sôi nổi nhất 7 ngày qua

Tranh luận sôi nổi nhất 14 ngày qua

Tranh luận sôi nổi nhất 30 ngày qua

10.000 Tin mới nhất

Tin tức Hoa Kỳ

Tin tức Công nghệ
Lên đầu Xuống dưới Lên 3000px Xuống 3000px

Super News

School Cooking Traveling Portal

Enter Portal

Series Shows and Movies Online

Home Classic Master Page

Donation Ủng hộ $3 cho VietBF
Lên đầu Xuống dưới Lên 3000px Xuống 3000px
Diễn Đàn Người Việt Hải Ngoại. Tự do ngôn luận, an toàn và uy tín. Vì một tương lai tươi đẹp cho các thế hệ Việt Nam hãy ghé thăm chúng tôi, hãy tâm sự với chúng tôi mỗi ngày, mỗi giờ và mỗi giây phút có thể. VietBF.Com Xin cám ơn các bạn, chúc tất cả các bạn vui vẻ và gặp nhiều may mắn.
Welcome to Vietnamese American Community, Vietnamese European, Canadian, Australian Forum, Vietnamese Overseas Forum. Freedom of speech, safety and prestige. For a beautiful future for Vietnamese generations, please visit us, talk to us every day, every hour and every moment possible. VietBF.Com Thank you all and good luck.

Lên đầu Xuống dưới Lên 3000px Xuống 3000px

All times are GMT. The time now is 13:29.
VietBF - Vietnamese Best Forum Copyright ©2005 - 2025
User Alert System provided by Advanced User Tagging (Pro) - vBulletin Mods & Addons Copyright © 2025 DragonByte Technologies Ltd.
Log Out Unregistered

Page generated in 0.10933 seconds with 13 queries