HOME-Au
HOME-Au
24h
24h
USA
USA
GOP
GOP
Phim Bộ
Phim Bộ
Videoauto
VIDEO-Au
Home Classic
Home Classic
Donation
Donation
News Book
News Book
News 50
News 50
worldautoscroll
WORLD-Au
Breaking
Breaking
 

Go Back   VietBF > Other News|Tin Khác > School | Kiến thức


Reply
 
Thread Tools
  #1  
Old  Default Người phụ nữ 60 tuổi phát hiện ung thư trực tràng từ dấu hiệu nhiều người Việt bỏ qua
Bác sĩ cho biết người phụ nữ này mắc ung thư trực tràng trước đó có triệu chứng táo bón kéo dài mà không biết.

Theo thông tin từ Bệnh viện Đa khoa Tâm Anh, bà Phương, 60 tuổi có biểu hiện đau bụng, nôn ói, tiêu chảy, bà đã đến viện khám với tâm lý nghĩ mình bị ngộ độc.

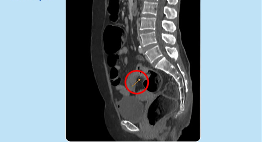
Tuy nhiên, sau khi thăm khám, kết quả nội soi trực tràng cho thấy, bà Phương bị u ở lòng trực tràng phát triển gây bán tắc, dạng vòng nhẫn, thâm nhiễm cứng. Kết quả MRI 3 tesla ghi nhận thành ruột dày không đều tại chỗ nối trực tràng với đại tràng sigma (12 mm), trên 30 mm không rõ cấu trúc, tổn thương dạng không nhầy chiếm hết chu vi, gây hẹp lòng đại tràng tại vị trí này.


Hình ảnh chụp MRI cho thấy khối u ở trực tràng (mũi tên vàng) của bà Phương. Ảnh: BVCC

Thạc sĩ, bác sĩ Ngô Hoàng Kiến Tâm, Trung tâm Nội soi và Phẫu thuật Nội soi Tiêu hóa cho biết người bệnh mắc ung thư trực tràng, trước đó có triệu chứng táo bón kéo dài mà không biết. Bác sĩ phẫu thuật cắt bỏ đoạn đại trực tràng chứa khối u đồng thời nạo vét hạch, ngăn ngừa khối u tiến triển gây chảy máu, tắc nghẽn đường tiêu hóa, tế bào ung thư có thể xâm lấn, di căn.

Trong quá trình phẫu thuật, bác sĩ quan sát chưa thấy nốt di căn, u trực tràng cao co kéo thanh mạc, u to khoảng 5 cm. Bác sĩ cắt ngang trực tràng dưới khối u 4 cm, tiếp đó đưa phần trên đại tràng cùng khối u ra ngoài qua đường mổ nhỏ dưới rốn, cắt ngang đại tràng cách bờ trên khối u 15 cm. Đoạn trực tràng lấy ra dài 25 cm. Sau khi kiểm tra với thuốc nhuộm huỳnh quang ICG cho thấy máu nuôi tốt, bác sĩ tiến hành nối đại tràng với trực tràng bằng máy.

Hậu phẫu, sức khỏe bà Phương hồi phục tốt, có thể đi lại và ăn thức ăn lỏng sau hai ngày, xuất viện sau 5 ngày. Kết quả giải phẫu bệnh là ung thư biểu mô tuyến xâm nhập thể thông thường biệt hóa vừa, giai đoạn 3A, 15 hạch được nạo vét ra ngoài không có tế bào u.

Theo bác sĩ Tâm, ung thư biểu mô tuyến xâm nhập nguy hiểm vì tế bào ung thư đã phát triển vượt qua lớp niêm mạc (lớp lót bên trong) và xâm nhập vào các lớp sâu hơn của thành trực tràng. Bà Phương được phát hiện ở giai đoạn ung thư tiến triển nên tiếp tục điều trị tại khoa Ung bướu.

Cảnh giác với dấu hiệu ung thư đại trực tràng
Bác sĩ Tâm cho hay ung thư đại tràng đang có xu hướng gia tăng và trẻ hóa. Bệnh ở giai đoạn sớm thường không có triệu chứng hoặc triệu chứng rất mơ hồ nên dễ nhầm lẫn với các bệnh tiêu hóa thông thường khác.

Triệu chứng phổ biến của ung thư đại trực tràng giai đoạn tiến triển là táo bón, thay đổi thói quen đi tiêu kéo dài, máu trong phân, đau bụng, giảm cân không rõ nguyên nhân, cảm giác đi tiêu không hết, thay đổi thói quen đi tiêu…

Nếu phát hiện sớm, bác sĩ có thể phẫu thuật loại bỏ hoàn toàn khối u và ngăn ngừa tái phát, điều trị triệt căn.

Bác sĩ khuyến cáo, mỗi người nên khám sức khỏe định kỳ để phát hiện bệnh sớm nếu có.

VietBF@ sưu tập
VIETBF Diễn Đàn Hay Nhất Của Người Việt Nam

HOT NEWS 24h

HOT 3 Days

NEWS 3 Days

HOT 7 Days

NEWS 7 Days

HOME

Breaking News

VietOversea

World News

Business News

Car News

Computer News

Game News

USA News

Mobile News

Music News

Movies News

History

Thơ Ca

Sport News

Stranger Stories

Comedy Stories

Cooking Chat

Nice Pictures

Fashion

School

Travelling

Funny Videos

Canada Tin Hay

USA Tin Hay

VietBF Homepage Autoscroll

VietBF Video Autoscroll Portal

Home Classic

Home Classic Master Page



pizza
R11 Tuyệt Thế Thiên Hạ
Release: 05-16-2025
Reputation: 237154


Profile:
Join Date: Sep 2014
Posts: 106,989
Last Update: None Rating: None
Attached Thumbnails
Click image for larger version

Name:	181.jpeg
Views:	0
Size:	93.6 KB
ID:	2525422  
pizza_is_offline
Thanks: 7
Thanked 8,106 Times in 7,216 Posts
Mentioned: 6 Post(s)
Tagged: 0 Thread(s)
Quoted: 41 Post(s)
Rep Power: 129
pizza Reputation Uy Tín Level 10pizza Reputation Uy Tín Level 10pizza Reputation Uy Tín Level 10pizza Reputation Uy Tín Level 10pizza Reputation Uy Tín Level 10pizza Reputation Uy Tín Level 10pizza Reputation Uy Tín Level 10
pizza Reputation Uy Tín Level 10pizza Reputation Uy Tín Level 10pizza Reputation Uy Tín Level 10pizza Reputation Uy Tín Level 10pizza Reputation Uy Tín Level 10pizza Reputation Uy Tín Level 10pizza Reputation Uy Tín Level 10pizza Reputation Uy Tín Level 10pizza Reputation Uy Tín Level 10pizza Reputation Uy Tín Level 10pizza Reputation Uy Tín Level 10pizza Reputation Uy Tín Level 10pizza Reputation Uy Tín Level 10pizza Reputation Uy Tín Level 10pizza Reputation Uy Tín Level 10pizza Reputation Uy Tín Level 10pizza Reputation Uy Tín Level 10pizza Reputation Uy Tín Level 10pizza Reputation Uy Tín Level 10pizza Reputation Uy Tín Level 10pizza Reputation Uy Tín Level 10pizza Reputation Uy Tín Level 10
Reply

User Tag List

Thread Tools

Trump kiện BBC đòi 10 tỷ đô: đòn dằn mặt báo chí hay cuộc chiến danh dự thật sự? Ba người hùng đã mãi mãi ngã xuống khi ra tay ngăn chặn 2 tên khủng bố ở bải biển Bondi, Úc Mỹ tràn ngập người thất nghiệp, năm tệ nhất từ sau đại dịch
Tiền ảo nhà Trump mất sạch giá trị, Melania coin mất 99%, bong bóng cổ phiếu sụp đổ và bài toán “nước Mỹ giàu lắm” Ford thắng lớn với xe xăng, “để đó” xe điện – và vì sao giấc mơ xe tí hon giá rẻ vẫn xa tầm tay người Mỹ Little Saigon Landmark Seattle: “Ngôi nhà neo đậu” mới cho cộng đồng người Việt
Boba & Beans – Quán ăn Việt thắp hương quê giữa trung tâm Meriden Bellaire Market District 100 triệu USD: ‘Chợ 3 Miền’ đưa Little Saigon Houston bước sang trang mới Hà Nội xếp hàng thẳng tắp: khi camera AI dạy lại văn hoá đèn đỏ
Tổng thống ‘Hòa Bình’ và những biên giới đỏ lửa: Thái–Miên, Pakistan–Afghanistan và vở kịch giải thưởng cho Trump Chernobyl lại báo động đỏ: Lá chắn thép 2,1 tỷ euro bị drone đánh thủng, IAEA cảnh báo mất chức năng an toàn Paris lại đăng quang, Bangkok đông nghẹt, Viêng Chăn vẫn lặng lẽ: Bản đồ du lịch 2025 giữa kỷ lục mới và những góc bình yên
Trump Thắng Lớn Trong Cuộc Chiến ‘Bãi Nhiệm Không Cần Lý Do Vì Sao Tôi Chống Trump: Từ Nước Mắt Trong ICU Đến Chiếc Ô Đỏ MAGA Và Trò Hề ‘Giải Hòa Bình’ Từ Okinawa đến màn hình điện thoại: Trung Quốc leo thang quân sự, siết kiểm soát số và cuộc chiến bóng ma quanh Đài Loan
Cú quay đầu của lá phiếu Latino: từ ‘kỳ tích’ Trump 2024 đến khối cử tri dao động nhất nước Mỹ Cộng đồng Somali ở Minnesota đứng dậy giữa bão trục xuất Trung Quốc ăn cắp máy quang khắc bất thành – vì sao ‘đốt cháy giai đoạn’ trong ngành chip là chuyện bất khả?
Cú “cắn ghế” thần tốc ở Hà Nội: Mailisa, Doctor Magic và ván cờ phe phái Ngân sách tăng thuế của Labour và nước Anh nơi 1/3 trẻ em sống trong nghèo đói Đĩa mì Ý ở Mỹ trước bão thuế 107%: từ “xa xỉ phẩm 4 đô” đến nỗi lo mất luôn món ăn bình dân
Mùa mua sắm Mỹ thời bão giá: Macy’s, Old Navy, Walmart xoay xở, Sears hấp hối – trong khi Đài Loan bứt tốc nhờ cơn sốt AI Tịch thu 100 sổ đỏ, 300 cây vàng SJC, 400k USD, 3 tỷ đồng của Mailisa và còn nhiều nữa, siêu xe hàng tá, tiền hàng ...tấn Giáo hoàng Leo XIV kêu gọi chấm dứt lợi dụng tôn giáo cho chiến tranh trong chuyến công du Thổ Nhĩ Kỳ – Li Băng
Louvre tăng giá vé 45% với khách ngoài châu Âu: bức tranh đắt đỏ mới của “ngôi đền nghệ thuật” Paris Bão Mặt Trời đe dọa buồng lái: hơn 6.000 máy bay Airbus A320 phải sửa gấp vì nguy cơ mất kiểm soát 10 ngày ở ghế Chủ tịch Hà Nội: Nguyễn Đức Trung và bài toán nhân sự trước Đại hội 14
Nếu VinFast thua sạch ở Mỹ: Hoá đơn có thể lên tới 1,5 tỷ USD Từ Việt Minh đến Chuyên Chính Đỏ: Chiến lược che giấu và thanh trừng có chủ đích Từ Nội Chiến Mỹ đến Việt Nam: Hai cách đối xử với người lính bại trận
“Hãy công bố kết quả MRI đi!” – Tim Walz dội gáo nước lạnh vào cơn thịnh nộ Lễ Tạ Ơn của Donald Trump Từ Vệ Binh Quốc Gia đến Quân Lực Việt Nam Cộng Hòa – hành trình một đạo quân quốc gia “Người Cày Có Ruộng” – ngày vui nhất đời Tổng thống Thiệu và ký ức tem thư của một thằng bé Sài Gòn
Tiền tuyến rực lửa, bàn đàm phán nóng lên: Ukraine vạch lằn ranh đỏ trước kế hoạch hòa bình của Trump Starbucks – Target và ly socola bạc hà cứu vãn mùa Giáng sinh ảm đạm Phố thời trang tắt đèn trước Tết: Tiểu thương Hà Nội kẹt giữa gánh thuê nhà và thuế khóa

 
Lên đầu Xuống dưới Lên 3000px Xuống 3000px

iPad Videos Portal Autoscroll

VietBF Music Portal Autoscroll

iPad News Portal Autoscroll

VietBF Homepage Autoscroll

VietBF Video Autoscroll Portal

USA News Autoscroll Portall

VietBF WORLD Autoscroll Portal

Home Classic

Super Widescreen

iPad World Portal Autoscroll

iPad USA Portal Autoscroll

Phim Bộ Online

Tin nóng nhất 24h qua

Tin nóng nhất 3 ngày qua

Tin nóng nhất 7 ngày qua

Tin nóng nhất 30 ngày qua

Albums

Total Videos Online
Lên đầu Xuống dưới Lên 3000px Xuống 3000px

Tranh luận sôi nổi nhất 7 ngày qua

Tranh luận sôi nổi nhất 14 ngày qua

Tranh luận sôi nổi nhất 30 ngày qua

10.000 Tin mới nhất

Tin tức Hoa Kỳ

Tin tức Công nghệ
Lên đầu Xuống dưới Lên 3000px Xuống 3000px

Super News

School Cooking Traveling Portal

Enter Portal

Series Shows and Movies Online

Home Classic Master Page

Donation Ủng hộ $3 cho VietBF
Lên đầu Xuống dưới Lên 3000px Xuống 3000px
Diễn Đàn Người Việt Hải Ngoại. Tự do ngôn luận, an toàn và uy tín. Vì một tương lai tươi đẹp cho các thế hệ Việt Nam hãy ghé thăm chúng tôi, hãy tâm sự với chúng tôi mỗi ngày, mỗi giờ và mỗi giây phút có thể. VietBF.Com Xin cám ơn các bạn, chúc tất cả các bạn vui vẻ và gặp nhiều may mắn.
Welcome to Vietnamese American Community, Vietnamese European, Canadian, Australian Forum, Vietnamese Overseas Forum. Freedom of speech, safety and prestige. For a beautiful future for Vietnamese generations, please visit us, talk to us every day, every hour and every moment possible. VietBF.Com Thank you all and good luck.

Lên đầu Xuống dưới Lên 3000px Xuống 3000px

All times are GMT. The time now is 18:15.
VietBF - Vietnamese Best Forum Copyright ©2005 - 2025
User Alert System provided by Advanced User Tagging (Pro) - vBulletin Mods & Addons Copyright © 2025 DragonByte Technologies Ltd.
Log Out Unregistered

Page generated in 0.11874 seconds with 15 queries