Tạp chí y khoa of The New England Journal Medicine (Mỹ) đã công bố nghiên cứu của các nhà giải phẫu bệnh học và bệnh phổi ở Đức (Wuppertal, Mainz, Hanover), Bỉ (Louvain), Thụy Sĩ (Bâle) và Mỹ (Đại học Y khoa Harvard).
Các mạch máu phổi đã giữ vai trò quan trọng trong quá trình nhiễm virus SARS-CoV-2. Nghiên cứu quan trọng này sẽ góp phần thúc đẩy phát triển thuốc điều trị COVID-19.

Số cục máu đông nhỏ trong mao mạch phế nang bệnh nhân COVID-19 nhiều gấp 9 lần hơn so với bệnh nhân cúm H1N1 - Ảnh: NEJM
So sánh phổi của tử thi
Các nhà nghiên cứu đã so sánh 7 lá phổi lấy từ thi thể các bệnh nhân nhiễm COVID-19 với 7 lá phổi các bệnh nhân tử vong năm 2009 do viêm phổi do virus cúm H1N1 và 10 lá phổi khỏe mạnh không mắc bệnh dùng làm mẫu đối chứng.
Nhiều kỹ thuật tiến tiến được áp dụng để phân tích phổi như hóa mô miễn dịch (kết hợp hóa chất với phản ứng miễn dịch để tìm tế bào bệnh trong mô bệnh phẩm), kính hiển vi điện tử quét, dựng bản sao mạng lưới mạch máu.
Kết quả quan sát cho thấy tất cả lá phổi của các bệnh nhân COVID-19 và cúm H1N1 đều có dấu hiệu bị tổn thương lan tỏa ở phế nang, nhất là hiện tượng hoại tử của các tế bào nhỏ quanh phế nang và các sợi fibrin trong khoang phế nang.
Ngoài ra, các tế bào lympho T CD4+ cạnh các mạch máu phổi cũng bị viêm nhiễm ở hai nhóm bệnh nhân trên với số lượng nhiều hơn trong nhóm bệnh nhân COVID-19.

Phổi các bệnh nhân COVID-19 và cúm H1N1 đều bị tổn thương lan tỏa ở phế nang - Ảnh: AFP
Hiện tượng hình thành mạch máu
Kiểm tra cấu trúc các vi mạch phổi, các nhà nghiên cứu nhận thấy mạng lưới mạch máu đã bị biến dạng với các mao mạch bị vặn vẹo.
Trong phổi bệnh nhân COVID-19, các mao mạch đã thay đổi đột ngột về kích thước.
Đặc biệt các nhà nghiên cứu nhận thấy nhiều mạch máu mới hình thành. Hiện tượng này được gọi là hiện tượng hình thành mạch.
Thông thường hiện tượng hình thành mạch xuất hiện khi các tế bào nội mô sinh sôi từ phía đầu và vách các mạch máu có sẵn rồi di chuyển và tập hợp thành các cấu trúc hình ống kết nối với các mạch lân cận.
Song trong phổi các bệnh nhân COVID-19, các nhà nghiên cứu nhận thấy hiện tượng tạo mạch hình thành theo mô hình thứ hai. Đó là hình thành mạch bằng cách sắp xếp lại cấu trúc mạch máu có sẵn.
Các nhà nghiên cứu nhận thấy mức độ hình thành mạch máu gia tăng đáng kể phù hợp với thời gian nằm viện ở bệnh nhân COVID-19.
Ngược lại, trong phổi các bệnh nhân cúm H1N1, hiện tượng hình thành mạch xảy ra với mức độ không đáng kể và không tăng dần theo thời gian nằm viện.

Tế bào lympho của bệnh nhân tử vong do COVID-19 bị viêm nhiễm - Ảnh: NEJM
Tổn thương tế bào nội mô
Một nhận xét khác là đối với bệnh nhân nhiễm COVID-19, các tế bào lót bên trong nội mạc các mạch máu và tiếp xúc trực tiếp với máu đã bị tổn thương nghiêm trọng.
Các nhà nghiên cứu quan sát thấy trong nhóm bệnh nhân COVID-19 có số lượng lớn tế bào mang thụ thể ACE2 trên bề mặt (đóng vai trò cửa ngõ xâm nhập của virus SARS-CoV-2) nhiều hơn so với bệnh nhân cúm H1N1.
Tương tự như vậy, các tế bào nội mô trong bệnh nhân COVID-19 không còn kết dính chặt với nhau bằng các mối nối.
Chúng gia tăng khối lượng và mất tiếp xúc với màng nền mà thông thường chúng bám lấy.
Ngoài ra, các nhà nghiên cứu còn quan sát thấy virus SARS-CoV-2 bên trong các tế bào nội mô phổi cũng như trong không gian ngoại bào.
Kết quả quan sát này trùng hợp với nghiên cứu của các nhà khoa học Thụy Sĩ công bố vào cuối tháng 4-2020.
Nghiên cứu cho thấy virus hiện diện trong các tế bào nội mô trong thận và ruột non.
Như vậy các tế bào nội mô phổi bị tổn thương có thể là hậu quả do tác động trực tiếp từ virus SARS-CoV-2 và các tế bào bị viêm trong mạch máu.
Phát hiện này chứng tỏ vai trò trung tâm của các tế bào nội mô đối với bệnh COVID-19.

Tế bào nội mô bị tổn thương với virus SARS-CoV-2 hiện diện trên màng tế bào (mũi tên) - Ảnh: NEJM
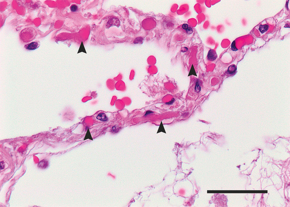
Các cục máu đông trong mao mạch phế nang
Trong phổi của hai nhóm bệnh nhân COVID-19 và bệnh nhân cúm H1N1 có các cục máu đông nhỏ trong động mạch phổi (đường kính từ 1-2 mm) nhưng không làm nghẽn mạch hoàn toàn.
Các nhà nghiên cứu quan sát thấy số cục máu đông nhỏ trong mao mạch phế nang của bệnh nhân COVID19 gấp 9 lần hơn so với bệnh nhân cúm H1N1.
Các cục máu đông nhỏ cũng được tìm thấy trong các tĩnh mạch con sau mao mạch có đường kính dưới 1mm.
Cuối cùng, các nhà nghiên cứu đã phân tích 323 gen liên quan đến hiện tượng hình thành mạch. Kết quả cho thấy chỉ có 69 gen biểu hiện trong mô phổi bệnh nhân COVID-19.
Công trình nghiên cứu nêu trên nhấn mạnh đến tầm quan trọng của công tác khám nghiệm tử thi để mô tả chính xác và phân tích sâu hơn về các tổn thương liên quan đến COVID-19.
Nghiên cứu đã làm rõ hơn tổn thương gây viêm của các tế bào nội mô phổi và vai trò của các tế bào này trong quá trình hình thành huyết khối và hình thành mạch máu mới.
Nghiên cứu liên quan các tế bào nội mô có thể thúc đẩy phát triển chiến lược điều trị COVID-19.
VietBF@sưu tập