HOME-Au
HOME-Au
24h
24h
USA
USA
GOP
GOP
Phim Bộ
Phim Bộ
Videoauto
VIDEO-Au
Home Classic
Home Classic
Donation
Donation
News Book
News Book
News 50
News 50
worldautoscroll
WORLD-Au
Breaking
Breaking
 

Go Back   VietBF > World Box| Thế Giới > Vietnam News | Tin Việt Nam


Reply
 
Thread Tools
  #1  
Old  Default Bác sĩ cũng hốt hoảng với con cá đồ chơi 'bơi' trong thực quản khiến bệnh nhi nhập viện
Ngày 24/9, BS Lý Phạm Hoàng Vinh, khoa Tai Mũi Họng, Bệnh viện Nhi Đồng 1 TPHCM cho biết, tại đây vừa tiếp nhận và can thiệp cho một trường hợp bị hóc dị vật là con cá đồ chơi rất nguy hiểm.
Bệnh nhi là bé trai L.X.P. (4 tuổi, ngụ tại Tiền Giang) được gia đình đưa đến bệnh viện địa phương cấp cứu trong tình trạng khó thở, đau cổ, không thể ăn uống được. Người nhà cho biết, khoảng 5 giờ trước, bé đang chơi trò câu cá thì nuốt con cá đồ chơi.

Bệnh nhi nhanh chóng được chuyển lên Bệnh viện Nhi Đồng 1 với chẩn đoán hóc dị vật. Qua kiểm tra, bác sĩ phát hiện, dị vật có hình con cá với nhiều cạnh sắc nhọn đang nằm trong thực quản bệnh nhi. Sau hội chẩn, bệnh nhi đã được bác sĩ chỉ định nội soi lấy dị vật.


Hình ảnh con cá đồ chơi bị kẹt lại trong thực quản khiến bệnh nhi không thể ăn uống được

BS Hoàng Vinh cho biết, trong quá trình nội soi, hình ảnh trên camera cho thấy dị vật là con cá nhựa dài khoảng 2cm, có nguy cơ gây tổn thương thực quản của trẻ. Ê kíp nội soi đã gắp thành công dị vật ra ngoài. Bệnh nhi may mắn khi không bị tổn thương thực quản. Sau khi lấy được dị vật, sức khỏe của trẻ đang bình phục tốt.

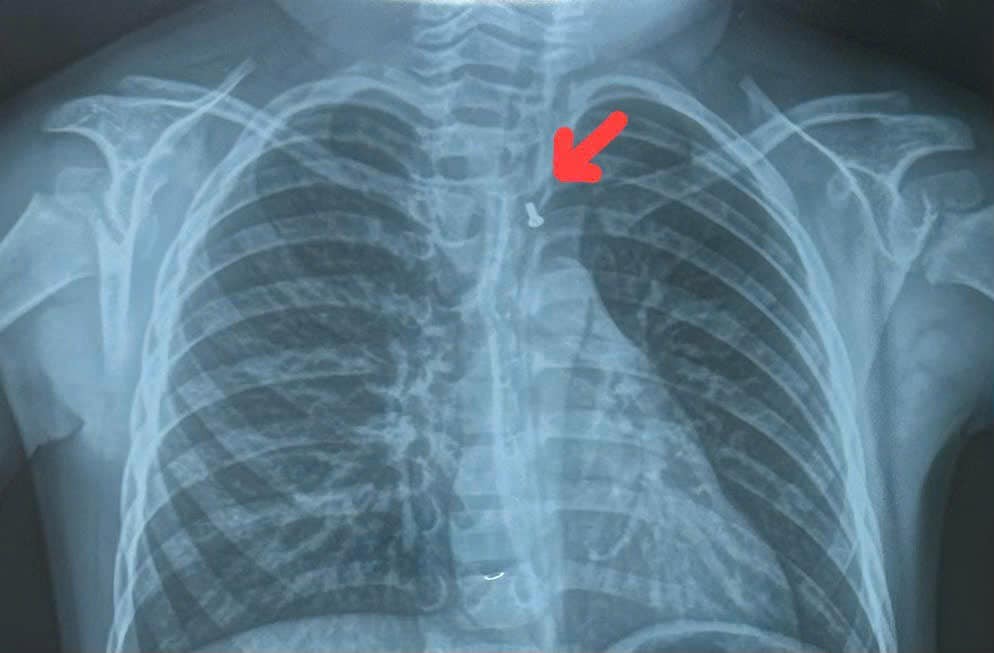
Cùng ngày, Bệnh viện Đa khoa Xuyên Á cho biết, tại đây cũng vừa tiếp nhận cấp cứu gắp dị vật là mảnh kim loại tròn, kích thước 17mm kẹt ở vùng hạ họng của bé trai T.P.T. (30 tháng tuổi, ngụ tại tỉnh Đồng Tháp). Trước đó, bệnh nhi đã ngậm mảnh kim loại trong miệng, khi chơi đùa đã vô thức nuốt dị vật, ngay lập tức trẻ rơi vào tình trạng khó thở, đau ở vùng họng, nôn ói.

Bằng phương pháp nội soi, các bác sĩ đã lấy thành công dị vật ra ngoài. Tuy nhiên, mảnh kim loại sắc nhọn đã gây tổn thương thực quản, phải tiếp tục theo dõi, điều trị để tránh nguy cơ biến chứng có thể xảy ra.


Dị vật là mảnh kim loại gây tổn thương thực quản cho bé trai 30 tháng tuổi

Tai nạn hóc sặc dị vật rất nguy hiểm nhưng thường xuyên xảy ra ở trẻ. Từ các trường hợp trên, bác sĩ cảnh báo, khi nuốt phải dị vật, trẻ có thể bị tắc nghẽn đường thở hoặc thực quản, nuốt đau, nuốt khó, không ăn uống được, nặng hơn sẽ dẫn tới nhiễm trùng tạo ổ mũ trong thực quản, nhiễm thủng thực quản, nhiễm trùng trung thất đe dọa tính mạng.

VietBF @ sưu tập
VIETBF Diễn Đàn Hay Nhất Của Người Việt Nam

HOT NEWS 24h

HOT 3 Days

NEWS 3 Days

HOT 7 Days

NEWS 7 Days

HOME

Breaking News

VietOversea

World News

Business News

Car News

Computer News

Game News

USA News

Mobile News

Music News

Movies News

History

Thơ Ca

Sport News

Stranger Stories

Comedy Stories

Cooking Chat

Nice Pictures

Fashion

School

Travelling

Funny Videos

Canada Tin Hay

USA Tin Hay

VietBF Homepage Autoscroll

VietBF Video Autoscroll Portal

Home Classic

Home Classic Master Page



PinaColada
R11 Tuyệt Thế Thiên Hạ
Release: 09-24-2024
Reputation: 136975


Profile:
Join Date: Oct 2013
Posts: 119,261
Last Update: None Rating: None
Attached Thumbnails
Click image for larger version

Name:	271.jpg
Views:	0
Size:	53.4 KB
ID:	2432009   Click image for larger version

Name:	272.jpg
Views:	0
Size:	99.0 KB
ID:	2432010  
PinaColada_is_offline
Thanks: 9
Thanked 7,866 Times in 6,995 Posts
Mentioned: 2 Post(s)
Tagged: 0 Thread(s)
Quoted: 23 Post(s)
Rep Power: 138
PinaColada Reputation Uy Tín Level 9PinaColada Reputation Uy Tín Level 9PinaColada Reputation Uy Tín Level 9PinaColada Reputation Uy Tín Level 9PinaColada Reputation Uy Tín Level 9
PinaColada Reputation Uy Tín Level 9PinaColada Reputation Uy Tín Level 9PinaColada Reputation Uy Tín Level 9PinaColada Reputation Uy Tín Level 9PinaColada Reputation Uy Tín Level 9PinaColada Reputation Uy Tín Level 9PinaColada Reputation Uy Tín Level 9PinaColada Reputation Uy Tín Level 9PinaColada Reputation Uy Tín Level 9PinaColada Reputation Uy Tín Level 9PinaColada Reputation Uy Tín Level 9PinaColada Reputation Uy Tín Level 9PinaColada Reputation Uy Tín Level 9PinaColada Reputation Uy Tín Level 9PinaColada Reputation Uy Tín Level 9PinaColada Reputation Uy Tín Level 9PinaColada Reputation Uy Tín Level 9PinaColada Reputation Uy Tín Level 9PinaColada Reputation Uy Tín Level 9PinaColada Reputation Uy Tín Level 9PinaColada Reputation Uy Tín Level 9
Reply

User Tag List


Bài học Nokia giữa mùa đông Phần Lan: Thua từ bên trong trước khi thua thị trường Liuzhi – Bóng tối mới phủ xuống giới doanh nhân Trung Quốc 5 tiểu bang vàng cho nghề nail – hair – spa của người Việt tại Mỹ
Phố Tây Bùi Viện náo nhiệt và bóng dáng nhà canh tân cuối thế kỷ XIX Từ mafia thuốc lá đến tú bà Chemnitz: Vết nhơ kéo dài của một bộ phận người Việt Đông Đức Khi xe Trung Quốc viết lại trật tự ngành ô tô thế giới
Dự luật ‘một quốc tịch Mỹ’: ồn ào trên mặt báo, nhưng rất khó thành hiện thực Netflix nuốt chửng Warner Bros: Địa chấn 72 tỷ đô làm rung chuyển Hollywood Apple rung chuyển: Lãnh đạo lần lượt ra đi, Tim Cook trước cơn bão AI
Kế hoạch y tế mới của Trump: Chưa kịp ra mắt đã vỡ trận ngay trong nội bộ Cộng Hòa Cuộc trả thù chính trị của Trump: Từ vụ Comey, Letitia James đến đòn nhắm vào Mark Kelly Cơn say trên mây: Ai chịu trách nhiệm về hành khách nhậu nhẹt trên máy bay?
Giáng Sinh thắt lưng buộc bụng mà vẫn đủ ấm và đủ vui Mùa mua sắm Giáng Sinh 2025: Kinh tế chữ K và ảo giác “chi tiêu vẫn tăng” DOGE – thí nghiệm quyền lực thất bại của Trump và Musk
Ukraine, Trump và bản hòa ước mong manh giữa tiếng drone gầm rú Dũng Taylor: Căng thẳng đỉnh điểm giữa người Việt MAGA và người Việt Dân Chủ Hùng Cao về thăm Việt Nam: Từ đứa bé tị nạn đến kiến trúc sư an ninh Thái Bình Dương
“Ngày Tri Ân Trump” ở Little Saigon: khi tượng đài chiến sĩ bị biến thành sân khấu chính trị “Giải thưởng Neville Chamberlain” cho Trump và bản thỏa thuận 28 điểm bẩn thỉu Biển lửa Hồng Kông: giàn giáo tre bốc cháy, chung cư Tai Po hóa địa ngục giữa trời
Từ iPod đến “Delete Day”: Hành trình Gabriela Nguyễn thoát khỏi cơn nghiện mạng xã hội “Cha già dân tộc” đã khép lại: khi thần tượng chính trị bị kéo xuống mặt đất DOGE đã chết: “cải cách” 135 tỷ đô la đốt sạch tiền thuế của người Mỹ
VinFast VF 8 ở Mỹ: từ cáo buộc “sạc rùa bò” đến nguy cơ mất lái và lệnh triệu hồi hàng loạt Trump, Putin và ván cờ hòa bình Ukraine: khi “hạn chót” chỉ còn là lời nói gió bay 1.000 tỷ USD bốc hơi: Bitcoin bước vào thời kỳ ‘dành cho người thường’ và cơn say tiền số tan vỡ

 
Lên đầu Xuống dưới Lên 3000px Xuống 3000px

iPad Videos Portal Autoscroll

VietBF Music Portal Autoscroll

iPad News Portal Autoscroll

VietBF Homepage Autoscroll

VietBF Video Autoscroll Portal

USA News Autoscroll Portall

VietBF WORLD Autoscroll Portal

Home Classic

Super Widescreen

iPad World Portal Autoscroll

iPad USA Portal Autoscroll

Phim Bộ Online

Tin nóng nhất 24h qua

Tin nóng nhất 3 ngày qua

Tin nóng nhất 7 ngày qua

Tin nóng nhất 30 ngày qua

Albums

Total Videos Online
Lên đầu Xuống dưới Lên 3000px Xuống 3000px

Tranh luận sôi nổi nhất 7 ngày qua

Tranh luận sôi nổi nhất 14 ngày qua

Tranh luận sôi nổi nhất 30 ngày qua

10.000 Tin mới nhất

Tin tức Hoa Kỳ

Tin tức Công nghệ
Lên đầu Xuống dưới Lên 3000px Xuống 3000px

Super News

School Cooking Traveling Portal

Enter Portal

Series Shows and Movies Online

Home Classic Master Page

Donation Ủng hộ $3 cho VietBF
Lên đầu Xuống dưới Lên 3000px Xuống 3000px
Diễn Đàn Người Việt Hải Ngoại. Tự do ngôn luận, an toàn và uy tín. Vì một tương lai tươi đẹp cho các thế hệ Việt Nam hãy ghé thăm chúng tôi, hãy tâm sự với chúng tôi mỗi ngày, mỗi giờ và mỗi giây phút có thể. VietBF.Com Xin cám ơn các bạn, chúc tất cả các bạn vui vẻ và gặp nhiều may mắn.
Welcome to Vietnamese American Community, Vietnamese European, Canadian, Australian Forum, Vietnamese Overseas Forum. Freedom of speech, safety and prestige. For a beautiful future for Vietnamese generations, please visit us, talk to us every day, every hour and every moment possible. VietBF.Com Thank you all and good luck.

Lên đầu Xuống dưới Lên 3000px Xuống 3000px

All times are GMT. The time now is 16:12.
VietBF - Vietnamese Best Forum Copyright ©2005 - 2025
User Alert System provided by Advanced User Tagging (Pro) - vBulletin Mods & Addons Copyright © 2025 DragonByte Technologies Ltd.
Log Out Unregistered

Page generated in 0.11052 seconds with 15 queries