HOME-Au
HOME-Au
24h
24h
USA
USA
GOP
GOP
Phim Bộ
Phim Bộ
Videoauto
VIDEO-Au
Home Classic
Home Classic
Donation
Donation
News Book
News Book
News 50
News 50
worldautoscroll
WORLD-Au
Breaking
Breaking
 

Go Back   VietBF > Other News|Tin Khác > School | Kiến thức


Reply
 
Thread Tools
  #1  
Old  Default Bác sĩ cảnh báo thói quen nhiều người cứ ăn xong là làm, khiến răng càng ngày càng thưa, thậm chí làm teo nướu

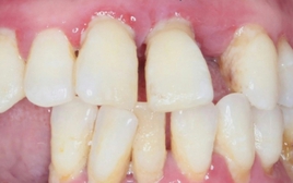
Theo như lời của bác sĩ cảnh báo thói quen nhiều người cứ ăn xong là làm, mà ít ai ngờ rằng việc mình đang làm mỗi ngày này lại khiến các kẽ răng bị lung lay và mô nướu bị teo, vì vậy răng càng ngày càng thưa, thậm chí làm teo nướu. Do thói quen được nhắc đến ở đây là việc xỉa răng bằng tăm sau khi ăn.


Nhiều người có thói quen xỉa răng bằng tăm sau bữa ăn, nhưng ít ai biết rằng điều này ít có tác dụng loại bỏ mảng bám trên răng mà còn có thể khiến các kẽ răng bị lung lay và mô nướu bị teo. Bác sĩ Chen Yiqian, chuyên gia về điều trị nha chu Hồng Kông (Trung Quốc) đã giải thích lý do tại sao thói quen này lại dẫn đến răng lung lay và teo nướu cũng như các phương pháp để phòng ngừa.

Bác sĩ Chen Yiqian, chuyên gia về điều trị nha chu Hồng Kông (Trung Quốc)

Bác sĩ Chen cho biết, việc sử dụng tăm không đúng cách có thể làm tổn thương hoặc thậm chí làm viêm mô nướu, dẫn đến nới lỏng khoảng cách giữa các răng, teo mô nướu hoặc thậm chí là lung lay về lâu dài. Các chấn thương thường gặp do "ngoáy răng" có thể được chia thành 3 khía cạnh:

- Tác hại trực tiếp: Dùng tăm nhọn để nâng răng quá mạnh có thể làm tổn thương nướu, gây tụt nướu và làm lỏng khoảng trống giữa các răng.

- Tác hại tiềm ẩn: Khi dùng tăm để làm sạch kẽ răng, cặn thức ăn có thể bị đẩy sâu vào các kẽ răng, không vệ sinh sạch sẽ có thể gây viêm nướu.

- Tăm gãy, chấn thương thứ phát: Tăm dễ gãy và dùng lực quá mạnh có thể làm thủng nướu. Ngoài ra, những mảnh tăm còn sót lại giữa các kẽ răng cũng có thể làm tăng nguy cơ viêm nướu.

Bác sĩ Chen chỉ ra rằng tăm có thể loại bỏ cặn thức ăn, nhưng chìa khóa để giữ vệ sinh răng miệng là loại bỏ mảng bám trên răng - điều mà xỉa răng bằng tăm khó làm được. Nhiều người không thể làm sạch miệng chỉ bằng cách loại bỏ cặn thức ăn mà họ nhìn thấy mà bỏ qua điều quan trọng nhất là làm sạch kẽ răng.

Ông cho rằng, điều quan trọng nhất để làm sạch răng đúng cách là chú ý đến vị trí của mép nướu, đánh răng bằng bàn chải lông mềm ở góc 45 độ, bao gồm mặt trong, mặt ngoài. mặt bên và bề mặt nhai. Ngoài ra, bác sĩ cũng nhắc nhở người dân lựa chọn những dụng cụ thích hợp để làm sạch kẽ hở giữa các răng như tăm chỉ nha khoa, máy tăm nước hoặc bàn chải kẽ răng tùy theo kích thước khe hở giữa các răng.

Ông cảnh báo: "Một khi nướu co lại, tất cả những gì bác sĩ thực sự có thể làm là giảm sự tiến triển của bệnh nha chu. Tuy nhiên, xương răng bị mòn chỉ có thể được cải thiện trong một số trường hợp hiếm gặp, thậm chí phẫu thuật cũng có thể không hiệu quả, nhiều lúc không thể lấy lại được như trước. Do đó, vệ sinh miệng hàng ngày đúng cách là phương pháp vàng".
VIETBF Diễn Đàn Hay Nhất Của Người Việt Nam

HOT NEWS 24h

HOT 3 Days

NEWS 3 Days

HOT 7 Days

NEWS 7 Days

HOME

Breaking News

VietOversea

World News

Business News

Car News

Computer News

Game News

USA News

Mobile News

Music News

Movies News

History

Thơ Ca

Sport News

Stranger Stories

Comedy Stories

Cooking Chat

Nice Pictures

Fashion

School

Travelling

Funny Videos

Canada Tin Hay

USA Tin Hay

VietBF Homepage Autoscroll

VietBF Video Autoscroll Portal

Home Classic

Home Classic Master Page

VietBF iPad Music Portal

Tin nóng nhất 50h qua

Phim Bộ Online

Phim Bộ



vuitoichat
R11 Tuyệt Thế Thiên Hạ
Release: 05-07-2024
Reputation: 370380


Profile:
Join Date: Jan 2008
Posts: 149,059
Last Update: None Rating: None
Attached Thumbnails
Click image for larger version

Name:	avatar1715071000081-17150710008651479358339.jpg
Views:	0
Size:	28.9 KB
ID:	2371065  
vuitoichat_is_offline
Thanks: 11
Thanked 14,104 Times in 11,265 Posts
Mentioned: 3 Post(s)
Tagged: 1 Thread(s)
Quoted: 44 Post(s)
Rep Power: 185
vuitoichat Reputation Uy Tín Level 10vuitoichat Reputation Uy Tín Level 10vuitoichat Reputation Uy Tín Level 10vuitoichat Reputation Uy Tín Level 10vuitoichat Reputation Uy Tín Level 10
vuitoichat Reputation Uy Tín Level 10vuitoichat Reputation Uy Tín Level 10vuitoichat Reputation Uy Tín Level 10vuitoichat Reputation Uy Tín Level 10
Reply

User Tag List

Thread Tools

Xả súng kinh hoàng tại Mỹ: Thảm Kịch Tại Brown University - Cơn Ác Mộng Giáng Sinh Và Nỗi Đau Chưa Từng Có Của Một Trường Ivy League Melissa Trần – Tâm thư từ Việt Nam của cô chủ tiệm nail bị trục xuất Úc: Khủng bố xả súng bắn vào cư dân Israel tại bải biển, giết chết 11 người và hàng chục người khác bị thương
Bác sĩ Mũ Đỏ Phạm Gia Cổn: Từ chiến trường Tam Biên đến Khí Công Hoàng Hạc Xả súng ở bãi biển Úc, ít nhất 11 người chết Người Việt tại Đức xuống đường tố cáo bàn tay đàn áp xuyên quốc gia của CSVN
Giữa Tô Lâm và Phan Văn Giang: Cuộc cờ quyền lực, lợi ích nhóm và thân phận 100 triệu dân Target “chơi lớn” ở SoHo: Cửa hàng kiểu mẫu để giành lại hào quang “Tar-zhay” Mỹ bất ngờ thu hẹp thâm hụt thương mại: vàng, thuế quan và những mặt trái sau các con số đẹp
Bài học Nokia giữa mùa đông Phần Lan: Thua từ bên trong trước khi thua thị trường Liuzhi – Bóng tối mới phủ xuống giới doanh nhân Trung Quốc 5 tiểu bang vàng cho nghề nail – hair – spa của người Việt tại Mỹ
Phố Tây Bùi Viện náo nhiệt và bóng dáng nhà canh tân cuối thế kỷ XIX Từ mafia thuốc lá đến tú bà Chemnitz: Vết nhơ kéo dài của một bộ phận người Việt Đông Đức Khi xe Trung Quốc viết lại trật tự ngành ô tô thế giới
Dự luật ‘một quốc tịch Mỹ’: ồn ào trên mặt báo, nhưng rất khó thành hiện thực Netflix nuốt chửng Warner Bros: Địa chấn 72 tỷ đô làm rung chuyển Hollywood Apple rung chuyển: Lãnh đạo lần lượt ra đi, Tim Cook trước cơn bão AI
Kế hoạch y tế mới của Trump: Chưa kịp ra mắt đã vỡ trận ngay trong nội bộ Cộng Hòa Cuộc trả thù chính trị của Trump: Từ vụ Comey, Letitia James đến đòn nhắm vào Mark Kelly Cơn say trên mây: Ai chịu trách nhiệm về hành khách nhậu nhẹt trên máy bay?
Giáng Sinh thắt lưng buộc bụng mà vẫn đủ ấm và đủ vui Mùa mua sắm Giáng Sinh 2025: Kinh tế chữ K và ảo giác “chi tiêu vẫn tăng” DOGE – thí nghiệm quyền lực thất bại của Trump và Musk
Ukraine, Trump và bản hòa ước mong manh giữa tiếng drone gầm rú Dũng Taylor: Căng thẳng đỉnh điểm giữa người Việt MAGA và người Việt Dân Chủ Hùng Cao về thăm Việt Nam: Từ đứa bé tị nạn đến kiến trúc sư an ninh Thái Bình Dương
“Ngày Tri Ân Trump” ở Little Saigon: khi tượng đài chiến sĩ bị biến thành sân khấu chính trị “Giải thưởng Neville Chamberlain” cho Trump và bản thỏa thuận 28 điểm bẩn thỉu Biển lửa Hồng Kông: giàn giáo tre bốc cháy, chung cư Tai Po hóa địa ngục giữa trời
Từ iPod đến “Delete Day”: Hành trình Gabriela Nguyễn thoát khỏi cơn nghiện mạng xã hội “Cha già dân tộc” đã khép lại: khi thần tượng chính trị bị kéo xuống mặt đất DOGE đã chết: “cải cách” 135 tỷ đô la đốt sạch tiền thuế của người Mỹ
VinFast VF 8 ở Mỹ: từ cáo buộc “sạc rùa bò” đến nguy cơ mất lái và lệnh triệu hồi hàng loạt Trump, Putin và ván cờ hòa bình Ukraine: khi “hạn chót” chỉ còn là lời nói gió bay 1.000 tỷ USD bốc hơi: Bitcoin bước vào thời kỳ ‘dành cho người thường’ và cơn say tiền số tan vỡ

 
Lên đầu Xuống dưới Lên 3000px Xuống 3000px

iPad Videos Portal Autoscroll

VietBF Music Portal Autoscroll

iPad News Portal Autoscroll

VietBF Homepage Autoscroll

VietBF Video Autoscroll Portal

USA News Autoscroll Portall

VietBF WORLD Autoscroll Portal

Home Classic

Super Widescreen

iPad World Portal Autoscroll

iPad USA Portal Autoscroll

Phim Bộ Online

Tin nóng nhất 24h qua

Tin nóng nhất 3 ngày qua

Tin nóng nhất 7 ngày qua

Tin nóng nhất 30 ngày qua

Albums

Total Videos Online
Lên đầu Xuống dưới Lên 3000px Xuống 3000px

Tranh luận sôi nổi nhất 7 ngày qua

Tranh luận sôi nổi nhất 14 ngày qua

Tranh luận sôi nổi nhất 30 ngày qua

10.000 Tin mới nhất

Tin tức Hoa Kỳ

Tin tức Công nghệ
Lên đầu Xuống dưới Lên 3000px Xuống 3000px

Super News

School Cooking Traveling Portal

Enter Portal

Series Shows and Movies Online

Home Classic Master Page

Donation Ủng hộ $3 cho VietBF
Lên đầu Xuống dưới Lên 3000px Xuống 3000px
Diễn Đàn Người Việt Hải Ngoại. Tự do ngôn luận, an toàn và uy tín. Vì một tương lai tươi đẹp cho các thế hệ Việt Nam hãy ghé thăm chúng tôi, hãy tâm sự với chúng tôi mỗi ngày, mỗi giờ và mỗi giây phút có thể. VietBF.Com Xin cám ơn các bạn, chúc tất cả các bạn vui vẻ và gặp nhiều may mắn.
Welcome to Vietnamese American Community, Vietnamese European, Canadian, Australian Forum, Vietnamese Overseas Forum. Freedom of speech, safety and prestige. For a beautiful future for Vietnamese generations, please visit us, talk to us every day, every hour and every moment possible. VietBF.Com Thank you all and good luck.

Lên đầu Xuống dưới Lên 3000px Xuống 3000px

All times are GMT. The time now is 00:14.
VietBF - Vietnamese Best Forum Copyright ©2005 - 2025
User Alert System provided by Advanced User Tagging (Pro) - vBulletin Mods & Addons Copyright © 2025 DragonByte Technologies Ltd.
Log Out Unregistered

Page generated in 0.10388 seconds with 15 queries