HOME-Au
HOME-Au
24h
24h
USA
USA
GOP
GOP
Phim Bộ
Phim Bộ
Videoauto
VIDEO-Au
Donation
Donation
News Book
News Book
News 50
News 50
worldautoscroll
WORLD-Au
Breaking
Breaking
 

Go Back   VietBF > Other > School | Kiến thức > School | Kiến thức 2006-2019


 
Thread Tools
 
 
  #1  
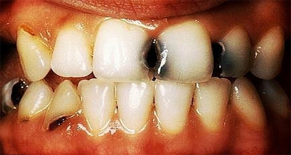
Old  Default Ăn chúng sai cách là bạn đang PHÁ HỦY RĂNG mình
Tiến sĩ, nha sĩ Sameer Patel, chỉ ra những vấn đề nghiêm trọng có thể xảy ra nếu bạn ăn các loại thực phẩm dưới đây không đúng cách, nó sẽ phá hủy hàm rang của bạn.



1. Ngũ cốc
- Nguy hiểm
Một số loại ngũ cốc mà bạn mua chứa rất nhiều chất phụ gia và quan trọng hơn chúng chứa hơn ba muỗng canh đường trong mỗi khẩu phần. Mặc dù các nhà sản xuất ca ngợi sản phẩm của họ là 'lành mạnh', tuy nhiên nó có thể là tác nhân phá hủy răng của bạn.
- Giải pháp
Ăn ngũ cốc với các sản phẩm sữa, để giảm tác động của đường đối với sức khỏe của răng. Canxi và vitamin D trong các sản phẩm từ sữa là những thành phần hữu ích giúp tăng cường răng.

2. Đồ uống nóng
- Nguy hiểm
Cà phê và trà rất có hại cho răng của bạn, nếu bạn ăn dùng với số lượng lớn, các đốm đen có thể xuất hiện trên rang và răng của bạn sẽ chuyển sang màu vàng. Thường xuyên dùng các thức uống này có thể dẫn đến hôi miệng, mà còn dẫn đến tình trạng khô môi.
- Giải pháp
Nó là tốt nhất để súc miệng với nước sau khi uống vì nó làm giảm khả năng bị khô môi.

3. Sandwich
- Nguy hiểm
Bánh Sandwich có chứa rất nhiều đường để cải thiện mùi vị của bánh. Carbohydrate chế biến có thể tạo ra nhiều vi khuẩn trong miệng và do đó dẫn đến sâu răng.
- Giải pháp
Bạn nên ăn bánh mì ngũ cốc nguyên hạt vì nó rất tốt nhất cho răng.

4. Trái cây
- Nguy hiểm
Mặc dù trái cây được coi như là một thực phẩm cực kỳ tốt cho cơ thể, nhưng nó vẫn chứa các axit có thể làm hỏng men răng. Khi uống nước trái cây ép, lượng axit bạn nhận được sẽ nhiều hơn khi ăn quả tươi.
- Giải pháp
Canxi trong sản phẩm sữa và sữa đậu nành có thể tăng cường răng và ngăn chặn thiệt hại từ các axit trái cây.

hoalyly@vietbf sưu
Dịch trang: EnglishEnglish DeutschDeutsch FrançaisFrançais EspañolEspañol ItalianoItaliano PortuguêsPortuguês
NorskNorsk NederlandsNederlands DanskDansk SuomiSuomi PolskiPolski ČeštinaČeština РусскийРусский
日本語日本語 한국어한국어 中文(简体)中文(简体) 中文(繁體)中文(繁體) MagyarMagyar TürkçeTürkçe
العربيةالعربية ไทยไทย LatinaLatina हिन्दीहिन्दी Bahasa IndonesiaBahasa Indonesia Bahasa MelayuBahasa Melayu
VIETBF Hybrid Community Content Hub

HOT NEWS 24h

HOT 3 Days

NEWS 3 Days

HOT 7 Days

NEWS 7 Days

HOME

Breaking News

VietOversea

World News

Business News

Car News

Computer News

Game News

USA News

Mobile News

Music News

Movies News

History

Thơ Ca

Sport News

Stranger Stories

Comedy Stories

Cooking Chat

Nice Pictures

Fashion

School

Travelling

Funny Videos

Canada Tin Hay

USA Tin Hay

VietBF Homepage Autoscroll

VietBF Video Autoscroll Portal

Video Classic Master

iPad News Portal

VietBF iPad Music Portal

Tin nóng nhất 50h qua

Phim Bộ Online

iMusic Pro Max



hoalyly
R7 Tuyệt Đỉnh Cao Thủ
Release: 05-07-2015
Reputation: 111


Profile:
Join Date: Mar 2015
Posts: 9,577
Last Update: None Rating: None
Attached Thumbnails
Click image for larger version

Name:	You-Eat-Them-Every-Day-and-They-Destroy-Your-Teeth.jpg
Views:	0
Size:	152.1 KB
ID:	763406  
hoalyly_is_offline
Thanks: 1
Thanked 379 Times in 349 Posts
Mentioned: 2 Post(s)
Tagged: 0 Thread(s)
Quoted: 1 Post(s)
Rep Power: 21
hoalyly Reputation Uy Tín Level 1hoalyly Reputation Uy Tín Level 1
Dịch trang: EnglishEnglish DeutschDeutsch FrançaisFrançais EspañolEspañol ItalianoItaliano PortuguêsPortuguês
NorskNorsk NederlandsNederlands DanskDansk SuomiSuomi PolskiPolski ČeštinaČeština РусскийРусский
日本語日本語 한국어한국어 中文(简体)中文(简体) 中文(繁體)中文(繁體) MagyarMagyar TürkçeTürkçe
العربيةالعربية ไทยไทย LatinaLatina हिन्दीहिन्दी Bahasa IndonesiaBahasa Indonesia Bahasa MelayuBahasa Melayu
 
User Tag List


Những chuyện hài hước nhất hôm nay +292 videos Làm loạn Úc, người Việt ra tay dẹp "Bão giá" năng lượng và bóng ma lạm phát
"Cơn lốc" Hủy diệt nhu cầu Giá Brent chạm mốc 126 USD "Tức Nước Vỡ Bờ" Tại Eo Biển Hormuz
Bão Giá Xăng Dầu Tại Mỹ Operation Epic Fury Hàn Quốc: Yoon Suk Yeol
Những chuyện hài hước nhất hôm nay Bàn Cờ Vây Trung Đông: Khi Những Con Sóng Hormuz Thử Thách Bản Lĩnh Donald Trump Khi Quyền Lực Đối Đầu Đức Tin: Cuộc Tỉ Thí Giữa "Gã Khổng Lồ" Donald Trump Và Đức Giáo Hoàng Leo XIV
Bão Biển Trường Kỳ: Canh Bạc Phong Tỏa Của Tổng Thống Trump Tại Eo Biển Hormuz Cuộc Khẩu Chiến Nảy Lửa Giữa Tổng Thống Trump Và Giáo Hoàng Leo XIV Chảo lửa Hormuz rực cháy: Trump "đóng cửa" eo biển, giá dầu vượt ngưỡng 100 USD - Viễn cảnh tồi tệ cho kinh tế toàn cầu
Thành trì MAGA tại châu Âu bị sụp đổ Địa chấn chính trị Hungary 2026: Đồng minh của ông Trump thất thế, Tisza Párt trỗi dậy như cơn lũ thời đại số Hai mặt trận cùng “im tiếng súng”: Lệnh ngừng bắn của Trump và Putin – khoảng lặng mong manh trước cơn bão lớn?
Sự Thật Sau Làn Sương Tin Giả: Phi Vụ Giải Cứu Phi Công Mỹ Trong Lòng Iran Và Cuộc Chiến Thông Tin Chấn Động Thế Giới Những chuyện hài hước nhất hôm nay +video Mỹ thành công cứu phi công mất tích
Chiến tranh Iran: Khi “bầu trời bất khả xâm phạm” của Mỹ bắt đầu rạn nứt Khủng hoảng dầu mỏ lan thành “cơn bão thiếu hụt”: Khi nhựa, thực phẩm và cả đời sống toàn cầu bị cuốn vào vòng xoáy chiến tranh Tư nhân hóa an ninh sân bay Mỹ: Canh bạc tiết kiệm hay rủi ro an toàn?
Xăng đắt nhất hành tinh: Hong Kong “đốt tiền” vì dầu mỏ, cơn bão năng lượng lan khắp thế giới Iran tung tin bắt sống phi công Mỹ, ngoài F-15 thì còn bắn hạ một trực thăng và một máy bay khác Mỹ xác nhận máy bay bị bắn rơi trên đất Iran: Sự thật dần lộ diện từ mảnh vỡ và chiến dịch giải cứu nghẹt thở
Mục Tát Ba – Tân Giáo chủ Ba Tư giữa khói lửa chiến tranh và những tin đồn chấn động Eo biển Hormuz thành ‘tử lộ’ dầu mỏ: Iran rải thủy lôi, thế giới nín thở chờ cơn địa chấn năng lượng Chiến tranh Ba Tư và bài toán chiến thắng
Iran tung đòn tên lửa nặng nhất, Mỹ – Israel đáp trả, dân Việt Nam đổ xô đi mua xăng Mỹ tiếp tục đánh lớn, Bắc Hàn bênh Iran, Nga hứa giúp đánh bại Trump, dân tình đổ đi mua xăng tích trữ Tân Giáo Chủ Thần Giáo Ba Tư Mojtaba Khamenei: Người kế vị bí ẩn vẫn “mất tích” giữa chiến tranh – Tehran rung chuyển trong mưa bom
Mỹ đốt 2,8 tỷ USD hàng ngày tại Iran Ghét tư bản nhưng gửi con sang tư bản: bài ca muôn thuở của mọi chế độ độc tài, cháu gái Giáo Chủ Iran ở Canada Nhao nhao lên ủng hộ Iran, Việt cộng không biết rằng Thần Quyền Y Lãng đại ghét cộng sản, giết không còn một mống

 

iPad Videos Portal Autoscroll

VietBF Music Portal Autoscroll

iPad News Portal Autoscroll

VietBF Homepage Autoscroll

VietBF Video Autoscroll Portal

USA News Autoscroll Portall

VietBF WORLD Autoscroll Portal

Video Classic Master Page

Super Widescreen

iPad World Portal Autoscroll

iPad USA Portal Autoscroll

Phim Bộ Online
Lên đầu Xuống dưới Lên 3000px Xuống 3000px

Tin nóng nhất 24h qua

Tin nóng nhất 3 ngày qua

Tin nóng nhất 7 ngày qua

Tin nóng nhất 30 ngày qua

Albums

Total Videos Online

Tranh luận sôi nổi nhất 7 ngày qua

Tranh luận sôi nổi nhất 14 ngày qua

Tranh luận sôi nổi nhất 30 ngày qua

10.000 Tin mới nhất

Tin tức Hoa Kỳ

Tin tức Công nghệ
Lên đầu Xuống dưới Lên 3000px Xuống 3000px

Duo Series Movies Portal

Duo Music Portal

Phim Bộ

Tỷ Giá

Thời Tiết

Tin Nóng Nhất 50h

Super News

School Cooking Traveling Portal

Enter Portal

Series Shows and Movies Online

Home Classic Master Page

Donation Ủng hộ $3 cho VietBF
Lên đầu Xuống dưới Lên 3000px Xuống 3000px
Diễn Đàn Người Việt Hải Ngoại. Tự do ngôn luận, an toàn và uy tín. Vì một tương lai tươi đẹp cho các thế hệ Việt Nam hãy ghé thăm chúng tôi, hãy tâm sự với chúng tôi mỗi ngày, mỗi giờ và mỗi giây phút có thể. VietBF.Com Xin cám ơn các bạn, chúc tất cả các bạn vui vẻ và gặp nhiều may mắn.
Welcome to Vietnamese American Community, Vietnamese European, Canadian, Australian Forum, Vietnamese Overseas Forum. Freedom of speech, safety and prestige. For a beautiful future for Vietnamese generations, please visit us, talk to us every day, every hour and every moment possible. VietBF.Com Thank you all and good luck.

Lên đầu Xuống dưới Lên 3000px Xuống 3000px

All times are GMT. The time now is 14:20.
VietBF - Vietnamese Best Forum Copyright ©2005 - 2026
User Alert System provided by Advanced User Tagging (Pro) - vBulletin Mods & Addons Copyright © 2026 DragonByte Technologies Ltd.
Log Out Unregistered

Page generated in 0.09819 seconds with 13 queries