HOME-Au
HOME-Au
24h
24h
USA
USA
GOP
GOP
Phim Bộ
Phim Bộ
Videoauto
VIDEO-Au
Home Classic
Home Classic
Donation
Donation
News Book
News Book
News 50
News 50
worldautoscroll
WORLD-Au
Breaking
Breaking
 

Go Back   VietBF > Breaking News | Tin Nóng > Albums - Gallery - Nice Pictures


Reply
 
Thread Tools
  #1  
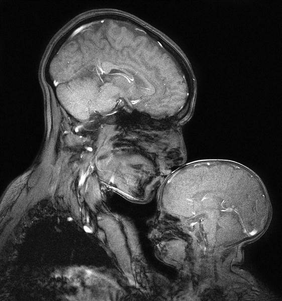
Old  Arrow Một bức ảnh chụp cộng hưởng từ mang nhiều thông điệp
Bức ảnh chụp cộng hưởng từ được cho là đầu tiên thể hiện tình cảm mẹ con. Điều hấp dẫn trong bức ảnh chỉnh là mối quan hệ nó diễn tả. Hình ảnh người mẹ đang ôm ấp và hôn cậu con trai bé nhỏ mang nhiều ý nghĩa.


Hình ảnh chụp cộng hưởng từ (MRI) cung cấp cái nhìn thoáng qua về bên trong cơ thể của chúng ta, nhưng cũng có thể chụp lại được một tình yêu thuần khiết. Chuyên gia thần kinh học Rebecca Saxe đã chứng minh điều này khi chia sẻ bức ảnh đang ôm ấp và hôn cậu con trai 2 tháng tuổi Percy của mình vài năm trước.

"Điều hấp dẫn trong bức ảnh là mối quan hệ mà nó diễn tả", Saxe nói với TODAY. Hình ảnh này không được thực hiện để chẩn đoán bất kỳ vấn đề nào, nhưng chỉ vì Saxe và các đồng nghiệp của cô muốn nhìn thấy nó.


Saxe sử dụng máy chụp cộng hưởng từ không bức xạ để không gây hại cho mẹ và bé.

Nhiều người tập trung vào so sánh hình ảnh bộ não của người lớn và trẻ em: "Một số người nhìn vào bức ảnh và thấy phần lớn sự khác biệt: Xương sọ của cậu bé mỏng làm sao, không gian nhỏ thế nào giữa thế giới bên ngoài và não cậu bé. Nó chỉ là một vỏ sò rất mỏng và mong manh", Saxe nói.

"Mặt khác, bạn có thể nhìn vào nó và xem điều tương tự như thế nào đối với bộ não của người mẹ. Kích thước gần bằng bàn tay của cậu bé".

Một khác biệt lớn là não của bé hầu như không có myelin - "lớp cách điện" làm nhiệm vụ truyền thông điệp bên trong não của bạn, theo Saxe.

Advertisement
Saxe, giáo sư về thần kinh học ở MIT, nghiên cứu cách não chúng ta xây dựng tư tưởng và ngôn ngữ. Cô ấy đặc biệt quan tâm đến cách chúng phát triển trong suốt thời thơ ấy. Điều đó có nghĩa là lén nhìn vào đầu của đứa trẻ với sự trợ giúp từ hình ảnh cộng hưởng từ, chi tiết bên trong bộ não được thể hiện rõ. Saxe sử dụng máy MRI của phòng thí nghiệm "cả ngày, mỗi ngày".

Sau khi sinh con đầu lòng, Saxe đã dành nhiều giờ nằm trong máy chụp cộng hưởng từ cùng cậu bé để theo dõi não của con phát triển. "Giống như bất cứ người mẹ nào, tôi yêu trẻ con một cách điên rồ. Nhưng tôi cũng phải quan sát bộ não của con phát triển ngay trước mắt mình", Saxe cho biết.

"Nó giống như trải nghiệm của tôi về việc làm mẹ và trải nghiệm của tôi về việc trở thành một nhà thần kinh học" - đó là cách cô ấy bắt đầu nghĩ đến việc chụp MRI hai mẹ con. Cô đã phải mất vài tháng làm việc với kỹ thuật viên để tìm ra cách chụp ảnh mẹ con bằng máy cộng hưởng từ.

Hơn hai ngày, cô và Percy đã dành vài giờ để chụp được những bức ảnh như ý (MRI không sử dụng bức xạ và không có khả năng gây hại).

"Nó rất, rất khó để thực hiện. Bạn phải giữ nguyên trong vài phút để có được hình ảnh. Cố gắng thuyết phục một đứa trẻ", Saxe nói.

Máy hoạt động ồn ào, vì vậy Saxe phải đeo tay nghe trong khi Percy dùng miếng đệm tai. Cả hai phối hợp tốt và cậu bé đang ngủ trong bức ảnh mà bạn nhìn thấy.

Phải mất 25 lần thử mỗi ngày để tạo ra bức ảnh đó - được lựa chọn là tốt nhất trong các bức ảnh chụp được. "Tôi nghĩ nó đẹp. Tôi không thể rời mắt khỏi nó", Saxe chia sẻ.
VIETBF Diễn Đàn Hay Nhất Của Người Việt Nam

HOT NEWS 24h

HOT 3 Days

NEWS 3 Days

HOT 7 Days

NEWS 7 Days

HOME

Breaking News

VietOversea

World News

Business News

Car News

Computer News

Game News

USA News

Mobile News

Music News

Movies News

History

Thơ Ca

Sport News

Stranger Stories

Comedy Stories

Cooking Chat

Nice Pictures

Fashion

School

Travelling

Funny Videos

Canada Tin Hay

USA Tin Hay

VietBF Homepage Autoscroll

VietBF Video Autoscroll Portal

Home Classic

Home Classic Master Page

VietBF iPad Music Portal

Tin nóng nhất 50h qua

Phim Bộ Online

Phim Bộ



june04
R10 Vô Địch Thiên Hạ
june04's Avatar
Release: 01-07-2018
Reputation: 17571


Profile:
Join Date: Oct 2014
Posts: 69,819
Last Update: None Rating: None
Attached Thumbnails
Click image for larger version

Name:	69.jpg
Views:	0
Size:	47.6 KB
ID:	1157693  
june04_is_offline
Thanks: 4
Thanked 3,340 Times in 2,944 Posts
Mentioned: 0 Post(s)
Tagged: 0 Thread(s)
Quoted: 22 Post(s)
Rep Power: 81
june04 Reputation Uy Tín Level 6
june04 Reputation Uy Tín Level 6june04 Reputation Uy Tín Level 6june04 Reputation Uy Tín Level 6june04 Reputation Uy Tín Level 6june04 Reputation Uy Tín Level 6june04 Reputation Uy Tín Level 6june04 Reputation Uy Tín Level 6june04 Reputation Uy Tín Level 6june04 Reputation Uy Tín Level 6june04 Reputation Uy Tín Level 6june04 Reputation Uy Tín Level 6june04 Reputation Uy Tín Level 6june04 Reputation Uy Tín Level 6june04 Reputation Uy Tín Level 6june04 Reputation Uy Tín Level 6june04 Reputation Uy Tín Level 6june04 Reputation Uy Tín Level 6june04 Reputation Uy Tín Level 6june04 Reputation Uy Tín Level 6june04 Reputation Uy Tín Level 6june04 Reputation Uy Tín Level 6june04 Reputation Uy Tín Level 6
Reply

User Tag List

Thread Tools

Rò Rỉ Nhân Sự Đại Hội 14: Cuộc Mặc Cả Quyền Lực Giữa Công An – Quân Đội? Yamaguchi-gumi Rầm Rộ Họp Cuối Năm: Xã Hội Đen Lớn Nhật Nhật Bản Vẫn Sống Khỏe Giữa Thời “Văn Minh” Công nghiệp đẻ thuê cho tài phiệt Trung Quốc: Khi hộ chiếu Mỹ bị biến thành món hàng
Mẹ Cường "đô la" nguy cơ lại bị bắt Từ hiện tượng "Trumpugee", làm như thế nào để đi ra khỏi nước Mỹ? Kinh tế Việt Cộng nát như tương, Khi Gánh Thuế Nặng Hơn Gánh Hàng: Tiểu Thương Vật Vã Giữa Chợ Vắng Và Dự Án Tỷ Đô
Nhiều "nhà giàu" đi BMW, Lexus, Mercedes bán rau ở Bolsa : Bãi Đậu Xe Hóa Chợ Đuôi Xe Trần Đồng Lan (Lana Condor) – Cô Bé Mồ Côi Cần Thơ Trở Thành Minh Tinh Hollywood Những chuyện hài hước nhất hôm nay
Tướng tình báo Venezuela tiết lộ mạng lưới ma túy – gián điệp cắm sâu vào nước Mỹ? 5 tiểu bang lạnh nhất nước Mỹ (trừ Alaska) – và những nơi mùa đông ‘dễ thở’ cho người Việt Đàm phán Miami: Trump sốt ruột tìm hòa bình, Putin ung dung chờ thắng chậm
Khi Trump tái khởi động ‘chiến tranh ma túy’: từ tàu ma túy bị bắn chìm đến nỗi mất ngủ ở Caracas Mỹ thời Trump: Trục xuất người Iran về ‘địa ngục’, rồi dùng drone Iran để đánh Iran Donald Trump và học thuyết mới: Mỹ không còn làm ‘cảnh sát toàn cầu’
GDP giảm 0,1% và những con người mất trắng 100% sau bão lũ Michael và Susan Dell donate 6,25 tỷ USD vào “Tài khoản Trump”: Kho báu cho trẻ em Mỹ hay chỉ là cú khuyến đẻ kể cho vui? Đường sắt cao tốc 61 tỷ USD và ‘doanh nhân xù nợ’ 30 triệu
Những chuyện hài hước nhất hôm nay Mailisa bất ngờ “đóng cửa” giữa bão điều tra: Đế chế làm đẹp nghìn tỷ khép lại MAGA Đen - MAGA Đỏ - Giấc mơ đế chế dữ liệu của Peter Thiel và giới trọc phú công nghệ
Ánh đèn hiên nhà trong đêm bão tuyết: câu chuyện Lễ Tạ Ơn kỳ diệu sau 41 năm Xả súng gần Nhà Trắng: Bi kịch Lễ Tạ Ơn và cuộc chơi chính trị của Trump với hồ sơ di dân Afghanistan Từ Frankenstein đến Game of Drones: Khi công nghệ biến chiến tranh thành cuộc hỗn loạn vĩnh viễn
Biển lửa Wang Fuk Court: 65 người chết, Hồng Kông choáng váng trước “thảm họa giàn giáo tre” Biển lửa Wang Fuk Court: Thảm họa người già Hồng Kông và cuộc điều tra “sự cứu thả chết người” Chết cháy hàng loạt tại Hồng Kông, các toà nhà biến thành địa ngục, hàng trăm người mất tích
Black Friday ảm đạm ngoài phố, rực lửa trên livestream: Người Việt đổi kiểu săn sale Cánh tay phải của Zelensky ngã ngựa: Ukraine bị ép chọn giữa danh dự và đồng minh Tryptophan trên tiểu hành tinh Bennu: Phát hiện mới cho thấy “công thức sự sống” đến từ vũ trụ
Trump, Donetsk và “thỏa thuận không thể”: Ukraine bị ép vào góc hẹp của một nền hòa bình đẫm máu Từ Stalin tới Putin: 86 năm sau, bóng ma chiến tranh mùa đông vẫn ám ảnh đế quốc Nga Putin khen kế hoạch hòa bình của Mỹ nhưng dọa chiếm thêm đất nếu Kyiv không rút quân
Trump siết nhập cư sau vụ nổ súng: Rà soát toàn bộ thẻ xanh từ 19 “quốc gia đáng lo ngại” Thảm họa cháy chung cư ở Hong Kong: 128 người chết, hàng trăm người mất tích và những câu hỏi nhức nhối Cô gái Brazil bị trục xuất và nghịch lý cay đắng ngay trong gia đình phát ngôn viên Nhà Trắng

 
Lên đầu Xuống dưới Lên 3000px Xuống 3000px

iPad Videos Portal Autoscroll

VietBF Music Portal Autoscroll

iPad News Portal Autoscroll

VietBF Homepage Autoscroll

VietBF Video Autoscroll Portal

USA News Autoscroll Portall

VietBF WORLD Autoscroll Portal

Home Classic

Super Widescreen

iPad World Portal Autoscroll

iPad USA Portal Autoscroll

Phim Bộ Online

Tin nóng nhất 24h qua

Tin nóng nhất 3 ngày qua

Tin nóng nhất 7 ngày qua

Tin nóng nhất 30 ngày qua

Albums

Total Videos Online
Lên đầu Xuống dưới Lên 3000px Xuống 3000px

Tranh luận sôi nổi nhất 7 ngày qua

Tranh luận sôi nổi nhất 14 ngày qua

Tranh luận sôi nổi nhất 30 ngày qua

10.000 Tin mới nhất

Tin tức Hoa Kỳ

Tin tức Công nghệ
Lên đầu Xuống dưới Lên 3000px Xuống 3000px

Super News

School Cooking Traveling Portal

Enter Portal

Series Shows and Movies Online

Home Classic Master Page

Donation Ủng hộ $3 cho VietBF
Lên đầu Xuống dưới Lên 3000px Xuống 3000px
Diễn Đàn Người Việt Hải Ngoại. Tự do ngôn luận, an toàn và uy tín. Vì một tương lai tươi đẹp cho các thế hệ Việt Nam hãy ghé thăm chúng tôi, hãy tâm sự với chúng tôi mỗi ngày, mỗi giờ và mỗi giây phút có thể. VietBF.Com Xin cám ơn các bạn, chúc tất cả các bạn vui vẻ và gặp nhiều may mắn.
Welcome to Vietnamese American Community, Vietnamese European, Canadian, Australian Forum, Vietnamese Overseas Forum. Freedom of speech, safety and prestige. For a beautiful future for Vietnamese generations, please visit us, talk to us every day, every hour and every moment possible. VietBF.Com Thank you all and good luck.

Lên đầu Xuống dưới Lên 3000px Xuống 3000px

All times are GMT. The time now is 20:20.
VietBF - Vietnamese Best Forum Copyright ©2005 - 2025
User Alert System provided by Advanced User Tagging (Pro) - vBulletin Mods & Addons Copyright © 2025 DragonByte Technologies Ltd.
Log Out Unregistered

Page generated in 0.13900 seconds with 15 queries