HOME-Au
HOME-Au
24h
24h
USA
USA
GOP
GOP
Phim Bộ
Phim Bộ
Videoauto
VIDEO-Au
Home Classic
Home Classic
Donation
Donation
News Book
News Book
News 50
News 50
worldautoscroll
WORLD-Au
Breaking
Breaking
 

Go Back   VietBF > Other News|Tin Khác > School | Kiến thức


Reply
 
Thread Tools
  #1  
Old  Default Tác dụng phụ của tiêm vaccine COVID-19 dễ nhầm với ung thư
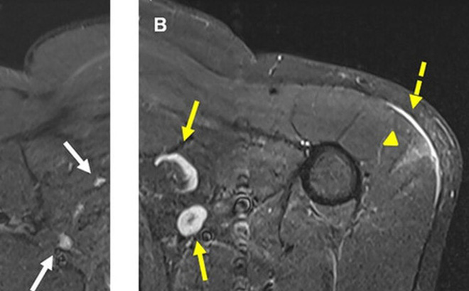
Tờ New York Times dẫn một báo cáo mới cho thấy: Người tiêm vaccine COVID-19 có thể bị nổi hạch bạch huyết ở nách hoặc gần xương đòn, dễ nhầm lẫn với dấu hiệu bệnh ung thư.



Theo các chuyên gia, sưng tấy vùng tiêm là phản ứng bình thường của hệ thống miễn dịch với bất cứ loại vaccine nào, bao gồm mũi tiêm phòng cúm hay ung thư cổ tử cung (HPV). Triệu chứng này là vô hại và sẽ biến mất trong vài tuần.

Sưng hạch ở nách là tác dụng đã được báo cáo trong các thử nghiệm lâm sàng vaccine Moderna và Pfizer-BioNTech. Theo nghiên cứu của Moderna, 11,6% người dùng bị sưng hạch bạch huyết sau liều tiêm đầu tiên, 16% có triệu chứng này sau mũi thứ hai. Pfizer-BioNTech ghi nhận 0,3% tình nguyện viên gặp tình trạng trên.

Tuy nhiên, hạch bạch huyết có thể hiển thị dưới dạng đốm trắng trên kết quả chụp quang tuyến vú hoặc chụp cắt lớp lồng ngực, gần giống với hình ảnh lây lan của khối u. Các chuyên gia X-quang cho rằng con số thực tế có thể cao hơn, nhiều trường hợp hiển thị trên ảnh chụp quang tuyến vú, cắt lớp hoặc CT.

Tiến sĩ Constance D. Lehman, trưởng khoa Phân tích Nhũ ảnh tại Bệnh viện Đa khoa Massachusetts, tác giả của hai báo cáo đăng trên tạp chí Roentgenology về vấn đề này, cho biết: "Tôi đặc biệt muốn phổ biến điều này đến các bệnh nhân đang theo dõi sau khi điều trị thành công ung thư. Họ có thể lo lắng khi tái khám và nghe được rằng bác sĩ tìm thấy một đốm trắng lớn, có thể là dấu hiệu của ung thư’".

Theo bà Lehman, điều quan trọng là các trung tâm chẩn đoán hình ảnh cần nắm được thông tin người bệnh đã từng tiêm phòng COVID-19 hay chưa? ghi lại ngày và vị trí tiêm. Đối với các bệnh nhân khám sàng lọc có đốm trắng trên kết quả chiếu chụp nhưng không gặp vấn đề bất thường nào khác, phòng khám của bà gửi kèm thư lưu ý: "Hạch xuất hiện ở vùng nách bên tiêm vaccine COVID-19 lớn hơn, có hiển thị trên ảnh chụp quang tuyến vú. Điều này rất phổ biến, là phản ứng bình thường của cơ thể với vaccine. Tuy nhiên, nếu cảm thấy có khối u ở nách kéo dài hơn 6 tuần sau khi tiêm phòng, bạn nên thông báo lại với bệnh viện".

Để tránh gây hoang mang, người dân có thể đổi lịch chụp X-quang định kỳ và các thủ tục tương tự sang ít nhất 6 tuần sau tiêm liều vaccine cuối cùng - theo khuyến cáo của Hiệp hội Chẩn đoán Nhũ ảnh. Dù thế, các chuyên gia cũng khuyến cáo không nên trì hoãn tầm soát ung thư vú quá lâu. Người mắc ung thư được khuyến khích tiêm vaccine COVID-19, bởi họ có nguy cơ tử vong cao hơn so với cộng đồng nói chung.

VietBF @ Sưu tầm
VIETBF Diễn Đàn Hay Nhất Của Người Việt Nam

HOT NEWS 24h

HOT 3 Days

NEWS 3 Days

HOT 7 Days

NEWS 7 Days

HOME

Breaking News

VietOversea

World News

Business News

Car News

Computer News

Game News

USA News

Mobile News

Music News

Movies News

History

Thơ Ca

Sport News

Stranger Stories

Comedy Stories

Cooking Chat

Nice Pictures

Fashion

School

Travelling

Funny Videos

Canada Tin Hay

USA Tin Hay

VietBF Homepage Autoscroll

VietBF Video Autoscroll Portal

Home Classic

Home Classic Master Page

VietBF iPad Music Portal

Tin nóng nhất 50h qua

Phim Bộ Online

Phim Bộ



Cupcake01
R10 Vô Địch Thiên Hạ
Release: 03-05-2021
Reputation: 158481


Profile:
Join Date: May 2019
Posts: 57,564
Last Update: None Rating: None
Attached Thumbnails
Click image for larger version

Name:	i.jpg
Views:	0
Size:	56.6 KB
ID:	1750727  
Cupcake01_is_offline
Thanks: 46
Thanked 3,736 Times in 3,256 Posts
Mentioned: 0 Post(s)
Tagged: 0 Thread(s)
Quoted: 14 Post(s)
Rep Power: 71
Cupcake01 Reputation Uy Tín Level 9Cupcake01 Reputation Uy Tín Level 9Cupcake01 Reputation Uy Tín Level 9
Cupcake01 Reputation Uy Tín Level 9Cupcake01 Reputation Uy Tín Level 9Cupcake01 Reputation Uy Tín Level 9Cupcake01 Reputation Uy Tín Level 9Cupcake01 Reputation Uy Tín Level 9Cupcake01 Reputation Uy Tín Level 9Cupcake01 Reputation Uy Tín Level 9Cupcake01 Reputation Uy Tín Level 9Cupcake01 Reputation Uy Tín Level 9Cupcake01 Reputation Uy Tín Level 9Cupcake01 Reputation Uy Tín Level 9Cupcake01 Reputation Uy Tín Level 9Cupcake01 Reputation Uy Tín Level 9Cupcake01 Reputation Uy Tín Level 9Cupcake01 Reputation Uy Tín Level 9Cupcake01 Reputation Uy Tín Level 9Cupcake01 Reputation Uy Tín Level 9Cupcake01 Reputation Uy Tín Level 9Cupcake01 Reputation Uy Tín Level 9Cupcake01 Reputation Uy Tín Level 9Cupcake01 Reputation Uy Tín Level 9Cupcake01 Reputation Uy Tín Level 9Cupcake01 Reputation Uy Tín Level 9
Reply

User Tag List


Rò Rỉ Nhân Sự Đại Hội 14: Cuộc Mặc Cả Quyền Lực Giữa Công An – Quân Đội? Yamaguchi-gumi Rầm Rộ Họp Cuối Năm: Xã Hội Đen Lớn Nhật Nhật Bản Vẫn Sống Khỏe Giữa Thời “Văn Minh” Công nghiệp đẻ thuê cho tài phiệt Trung Quốc: Khi hộ chiếu Mỹ bị biến thành món hàng
Mẹ Cường "đô la" nguy cơ lại bị bắt Từ hiện tượng "Trumpugee", làm như thế nào để đi ra khỏi nước Mỹ? Kinh tế Việt Cộng nát như tương, Khi Gánh Thuế Nặng Hơn Gánh Hàng: Tiểu Thương Vật Vã Giữa Chợ Vắng Và Dự Án Tỷ Đô
Nhiều "nhà giàu" đi BMW, Lexus, Mercedes bán rau ở Bolsa : Bãi Đậu Xe Hóa Chợ Đuôi Xe Trần Đồng Lan (Lana Condor) – Cô Bé Mồ Côi Cần Thơ Trở Thành Minh Tinh Hollywood Những chuyện hài hước nhất hôm nay
Tướng tình báo Venezuela tiết lộ mạng lưới ma túy – gián điệp cắm sâu vào nước Mỹ? 5 tiểu bang lạnh nhất nước Mỹ (trừ Alaska) – và những nơi mùa đông ‘dễ thở’ cho người Việt Đàm phán Miami: Trump sốt ruột tìm hòa bình, Putin ung dung chờ thắng chậm
Khi Trump tái khởi động ‘chiến tranh ma túy’: từ tàu ma túy bị bắn chìm đến nỗi mất ngủ ở Caracas Mỹ thời Trump: Trục xuất người Iran về ‘địa ngục’, rồi dùng drone Iran để đánh Iran Donald Trump và học thuyết mới: Mỹ không còn làm ‘cảnh sát toàn cầu’
GDP giảm 0,1% và những con người mất trắng 100% sau bão lũ Michael và Susan Dell donate 6,25 tỷ USD vào “Tài khoản Trump”: Kho báu cho trẻ em Mỹ hay chỉ là cú khuyến đẻ kể cho vui? Đường sắt cao tốc 61 tỷ USD và ‘doanh nhân xù nợ’ 30 triệu
Những chuyện hài hước nhất hôm nay Mailisa bất ngờ “đóng cửa” giữa bão điều tra: Đế chế làm đẹp nghìn tỷ khép lại MAGA Đen - MAGA Đỏ - Giấc mơ đế chế dữ liệu của Peter Thiel và giới trọc phú công nghệ
Ánh đèn hiên nhà trong đêm bão tuyết: câu chuyện Lễ Tạ Ơn kỳ diệu sau 41 năm Xả súng gần Nhà Trắng: Bi kịch Lễ Tạ Ơn và cuộc chơi chính trị của Trump với hồ sơ di dân Afghanistan Từ Frankenstein đến Game of Drones: Khi công nghệ biến chiến tranh thành cuộc hỗn loạn vĩnh viễn
Biển lửa Wang Fuk Court: 65 người chết, Hồng Kông choáng váng trước “thảm họa giàn giáo tre” Biển lửa Wang Fuk Court: Thảm họa người già Hồng Kông và cuộc điều tra “sự cứu thả chết người” Chết cháy hàng loạt tại Hồng Kông, các toà nhà biến thành địa ngục, hàng trăm người mất tích
Black Friday ảm đạm ngoài phố, rực lửa trên livestream: Người Việt đổi kiểu săn sale Cánh tay phải của Zelensky ngã ngựa: Ukraine bị ép chọn giữa danh dự và đồng minh Tryptophan trên tiểu hành tinh Bennu: Phát hiện mới cho thấy “công thức sự sống” đến từ vũ trụ
Trump, Donetsk và “thỏa thuận không thể”: Ukraine bị ép vào góc hẹp của một nền hòa bình đẫm máu Từ Stalin tới Putin: 86 năm sau, bóng ma chiến tranh mùa đông vẫn ám ảnh đế quốc Nga Putin khen kế hoạch hòa bình của Mỹ nhưng dọa chiếm thêm đất nếu Kyiv không rút quân
Trump siết nhập cư sau vụ nổ súng: Rà soát toàn bộ thẻ xanh từ 19 “quốc gia đáng lo ngại” Thảm họa cháy chung cư ở Hong Kong: 128 người chết, hàng trăm người mất tích và những câu hỏi nhức nhối Cô gái Brazil bị trục xuất và nghịch lý cay đắng ngay trong gia đình phát ngôn viên Nhà Trắng

 
Lên đầu Xuống dưới Lên 3000px Xuống 3000px

iPad Videos Portal Autoscroll

VietBF Music Portal Autoscroll

iPad News Portal Autoscroll

VietBF Homepage Autoscroll

VietBF Video Autoscroll Portal

USA News Autoscroll Portall

VietBF WORLD Autoscroll Portal

Home Classic

Super Widescreen

iPad World Portal Autoscroll

iPad USA Portal Autoscroll

Phim Bộ Online

Tin nóng nhất 24h qua

Tin nóng nhất 3 ngày qua

Tin nóng nhất 7 ngày qua

Tin nóng nhất 30 ngày qua

Albums

Total Videos Online
Lên đầu Xuống dưới Lên 3000px Xuống 3000px

Tranh luận sôi nổi nhất 7 ngày qua

Tranh luận sôi nổi nhất 14 ngày qua

Tranh luận sôi nổi nhất 30 ngày qua

10.000 Tin mới nhất

Tin tức Hoa Kỳ

Tin tức Công nghệ
Lên đầu Xuống dưới Lên 3000px Xuống 3000px

Super News

School Cooking Traveling Portal

Enter Portal

Series Shows and Movies Online

Home Classic Master Page

Donation Ủng hộ $3 cho VietBF
Lên đầu Xuống dưới Lên 3000px Xuống 3000px
Diễn Đàn Người Việt Hải Ngoại. Tự do ngôn luận, an toàn và uy tín. Vì một tương lai tươi đẹp cho các thế hệ Việt Nam hãy ghé thăm chúng tôi, hãy tâm sự với chúng tôi mỗi ngày, mỗi giờ và mỗi giây phút có thể. VietBF.Com Xin cám ơn các bạn, chúc tất cả các bạn vui vẻ và gặp nhiều may mắn.
Welcome to Vietnamese American Community, Vietnamese European, Canadian, Australian Forum, Vietnamese Overseas Forum. Freedom of speech, safety and prestige. For a beautiful future for Vietnamese generations, please visit us, talk to us every day, every hour and every moment possible. VietBF.Com Thank you all and good luck.

Lên đầu Xuống dưới Lên 3000px Xuống 3000px

All times are GMT. The time now is 01:44.
VietBF - Vietnamese Best Forum Copyright ©2005 - 2025
User Alert System provided by Advanced User Tagging (Pro) - vBulletin Mods & Addons Copyright © 2025 DragonByte Technologies Ltd.
Log Out Unregistered

Page generated in 0.13023 seconds with 15 queries