HOME-Au
HOME-Au
24h
24h
USA
USA
GOP
GOP
Phim Bộ
Phim Bộ
Videoauto
VIDEO-Au
Home Classic
Home Classic
Donation
Donation
News Book
News Book
News 50
News 50
worldautoscroll
WORLD-Au
Breaking
Breaking
 

Go Back   VietBF > Other News|Tin Khác > School | Kiến thức


Reply
 
Thread Tools
  #1  
Old  Default Nguyên nhân gây thoái hóa khớp
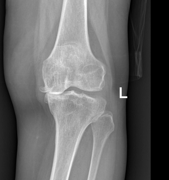
Thừa cân, chấn thương, tập thể dục quá mức hay ít vận động là những nguyên nhân gây ra hoặc thúc đẩy thoái hóa khớp diễn ra nhanh, nghiêm trọng hơn.

Sụn khớp là lớp đệm bao phủ bề mặt xương, cấu tạo từ tế bào sụn và chất căn bản. Sụn khớp có chức năng bảo vệ, giảm ma sát trong khớp và đóng vai trò như "bộ giảm xóc". Sụn và các mô xung quanh khớp bị tổn thương được gọi là thoái hóa khớp.

ThS.BS Phạm Thị Xuân Thư, Đơn vị Nội cơ xương khớp, Phòng khám Đa khoa Tâm Anh Quận 7, cho biết thoái hóa khớp là một phần của quá trình lão hóa tự nhiên. Khi tuổi tác ngày càng cao, sụn khớp có xu hướng mỏng dần, dịch khớp có tác dụng nuôi dưỡng sụn và bôi trơn khớp ngày càng giảm cả về số lượng lẫn chất lượng. Khi tình trạng này diễn ra trong thời gian dài, sụn khớp dễ bị tổn thương, gây bong nứt sụn, gia tăng ma sát giữa khớp, dẫn đến đau và thoái hóa.

Dưới đây là một số yếu tố có thể thúc đẩy thoái hóa khớp diễn ra nhanh hơn.

Thừa cân, béo phì: Phần trọng lượng cơ thể dư thừa làm gia tăng đáng kể áp lực lên khớp, nhất là gối, hông và cột sống, làm cho quá trình thoái hóa khớp nhanh hơn. Duy trì cân nặng phù hợp là một trong những phương pháp kiểm soát và giảm tốc độ phát triển của thoái hóa khớp.

Vận động quá mức: Tình trạng này thường gặp ở người lao động nặng hoặc người thường xuyên sử dụng một số khớp nhất định như vận động viên, nhân viên văn phòng, công nhân dây chuyền sản xuất... Khi các khớp hoạt động liên tục và lặp lại, tốc độ hao mòn diễn ra nhanh hơn, thúc đẩy quá trình thoái hóa khớp sớm hơn.

Ít vận động: Không vận động thường xuyên cũng có thể khiến hệ cơ yếu đi. Khi hoạt động, các khớp không còn nhận được sự hỗ trợ tốt nhất, mất cân bằng và tăng nguy cơ tổn thương. Điều này có thể gây ra sự mài mòn không đều của sụn khớp, làm tăng tốc độ thoái hóa.

Chấn thương: Đây là nguyên nhân có thể trực tiếp làm tổn thương sụn khớp, dẫn đến thoái hóa. Chấn thương cũng có thể tạo điều kiện thuận lợi cho viêm khớp phát triển, làm tổn thương các cấu trúc mềm như dây chằng và gân. Nếu viêm kéo dài có thể làm hỏng sụn và xương, đẩy nhanh tốc độ thoái hóa khớp.

Các bệnh lý: Viêm khớp dạng thấp, viêm cột sống dính khớp, gout, lupus ban đỏ... dễ thúc đẩy thoái hóa khớp diễn ra nhanh và nghiêm trọng hơn.

Di truyền: Một số người có thể bị khiếm khuyết ở những gene có chức năng hình thành sụn, dẫn đến hao hụt sụn khớp, đẩy nhanh tình trạng thoái hóa.

Bác sĩ Thư lưu ý thoái hóa khớp là bệnh lý không thể phòng ngừa. Tuy nhiên, một số thói quen sinh hoạt lành mạnh có thể giúp làm chậm quá trình thoái hóa, duy trì chức năng vận động linh hoạt lâu dài.

Duy trì cân nặng hợp lý giúp giảm áp lực tác động lên các khớp, nhất là ở đầu gối, hông và lưng dưới. Bác sĩ Thư dẫn số nghiên cứu cho thấy phụ nữ béo phì có nguy cơ mắc thoái hóa khớp cao gấp gần 4 lần so với phụ nữ có chỉ số khối cơ thể (BMI) bình thường, còn ở nam giới là gấp 5 lần. Do đó, người thừa cân nên giảm cân bằng cách tập thể dục với cường độ phù hợp và ăn uống khoa học.

Tập luyện thể dục nâng cao sự linh hoạt, dẻo dai cho các khớp. Để tránh chấn thương, mọi người nên tập luyện với cường độ hợp lý, bài bản, có kỹ thuật viên hướng dẫn nếu cần thiết...

Ăn uống khoa học như giàu axit béo omega-3, vitamin D, chất xơ và hạn chế thực phẩm nhiều dầu mỡ, đồ chiên nướng, thực phẩm chế biến sẵn... có thể làm chậm hoặc giảm mức độ thoái hóa khớp. Dù vậy không có chế độ ăn uống cụ thể nào được chứng minh có thể ngăn ngừa thoái hóa khớp.

Khám sức khỏe định kỳ hoặc khi cảm thấy bất thường, giúp phát hiện bệnh kịp thời, điều trị phù hợp, ngăn ngừa biến chứng nguy hiểm ảnh hưởng đến chức năng vận động.
VIETBF Diễn Đàn Hay Nhất Của Người Việt Nam

HOT NEWS 24h

HOT 3 Days

NEWS 3 Days

HOT 7 Days

NEWS 7 Days

HOME

Breaking News

VietOversea

World News

Business News

Car News

Computer News

Game News

USA News

Mobile News

Music News

Movies News

History

Thơ Ca

Sport News

Stranger Stories

Comedy Stories

Cooking Chat

Nice Pictures

Fashion

School

Travelling

Funny Videos

Canada Tin Hay

USA Tin Hay

VietBF Homepage Autoscroll

VietBF Video Autoscroll Portal

Home Classic

Home Classic Master Page

VietBF iPad Music Portal

Tin nóng nhất 50h qua

Phim Bộ Online

Phim Bộ



sunshine1104
R10 Vô Địch Thiên Hạ
Release: 04-15-2025
Reputation: 25190


Profile:
Join Date: Feb 2015
Posts: 80,085
Last Update: None Rating: None
Attached Thumbnails
Click image for larger version

Name:	sl.jpg
Views:	0
Size:	62.0 KB
ID:	2514355  
sunshine1104_is_offline
Thanks: 4
Thanked 4,051 Times in 3,567 Posts
Mentioned: 4 Post(s)
Tagged: 0 Thread(s)
Quoted: 22 Post(s)
Rep Power: 92
sunshine1104 Reputation Uy Tín Level 7sunshine1104 Reputation Uy Tín Level 7
sunshine1104 Reputation Uy Tín Level 7sunshine1104 Reputation Uy Tín Level 7sunshine1104 Reputation Uy Tín Level 7sunshine1104 Reputation Uy Tín Level 7sunshine1104 Reputation Uy Tín Level 7sunshine1104 Reputation Uy Tín Level 7sunshine1104 Reputation Uy Tín Level 7sunshine1104 Reputation Uy Tín Level 7sunshine1104 Reputation Uy Tín Level 7sunshine1104 Reputation Uy Tín Level 7sunshine1104 Reputation Uy Tín Level 7sunshine1104 Reputation Uy Tín Level 7sunshine1104 Reputation Uy Tín Level 7sunshine1104 Reputation Uy Tín Level 7sunshine1104 Reputation Uy Tín Level 7sunshine1104 Reputation Uy Tín Level 7sunshine1104 Reputation Uy Tín Level 7sunshine1104 Reputation Uy Tín Level 7sunshine1104 Reputation Uy Tín Level 7
Reply

User Tag List

Thread Tools

“Ác mộng trước Giáng Sinh”: bài diễn văn u ám của Trump và cuộc chiến với thực tế đời sống Mỹ bước vào đợt thắt chặt nhập cư mới Châu Âu vay tiền cứu Ukraine, không đụng tài sản Nga bị phong tỏa: vì sao?
Facebook chuẩn bị thu phí tài khoản, chia sẻ link bài có nguy cơ bị khóa từ 2026 Rơi máy bay tại Mỹ, 7 người đã thiệt mạng Hơn 12.000 người gốc Việt đến Mỹ trước 1995 cầm chắc vé trục xuất về Việt Nam?
Ông Trump có thể ra lệnh cấm công dân VN nhập cảnh Mỹ với những nguyên nhân rất giống Lào Sau Lào, ông Trump muốn cấm công dân Việt Nam nhập cảnh nước Mỹ? Úc: Giới chức an ninh đã ngăn chặn kịp thời âm mưu khủng bố mới ở bãi biển Bondi
Úc cấm thiếu niên dưới 16 tuổi dùng Facebook vì quá độc hại, Mỹ có lẽ tiếp bước? Cái chết bí ẩn của Tulku Hungkar Dorje tại Sài Gòn: Bàn tay Bắc Kinh và sự im lặng của Hà Nội Thương Tín qua đời : Đám Tang Lặng Lẽ Ở Phan Rang Và Hào Quang Vang Bóng
85.000 tấm visa bị xé bỏ: chân dung nước Mỹ thời truy bức di dân 48 Giờ Cùm Tay Trên Bầu Trời: Số Phận Bà Melissa Trần Và Bóng Đen Luật Di Trú Mỹ Từ Tử Thủ Đến Công Chức Xứ Người – Đời Lưu Vong Của Trung Tướng Ngô Quang Trưởng
Mùa Noel “Ông Già Định Ở Lại” – Góc Đời Riêng Của Vợ Chồng Tổng Thống Nguyễn Văn Thiệu Trump, Obamacare và bài trắc nghiệm đạo đức mang tên “Make America Great Again” Từ giọt nước sông Rio Grande đến bóng ma sụp đổ USMCA
Lá Cờ Vàng – Giấc Mơ Nhỏ Và Vận Mệnh Lớn Của Dân Tộc Những trùng hợp rợn người trong lịch sử nhân loại Những bí mật bên trong xác ướp Ba Đình
Dân kinh doanh trả giá đắt vì chính sách thuế của Cộng Sản Trăm năm bia đá cũng mòn, bia hám danh thì còn mãi Sài Gòn ‘bỏ phố’: Mặt bằng trăm triệu, đèn tắt và kỷ nguyên thu mình của người kinh doanh
Costco kiện thuế quan: Cú tát 2.000 USD vào lời hứa ‘năm sau’ của ông Trump 401k – IRA – IUL: Ba cái ‘hũ để dành’ ở Mỹ, xài trật là mất toi tuổi già Chi bộn tiền làm đẹp, giờ ôm rổ mỹ phẩm mà run: Nỗi hoang mang của khách Mailisa sau ngày thẩm mỹ viện tắt đèn
Cột điện gỗ Mỹ để: Nửa thế kỷ vẫn đứng vững ở miền Nam Việt Nam Việt Nam sau 50 năm: Quyền được tự hào và nghĩa vụ… tự chịu đựng Thất thủ trước mưa lũ: Khi bộ máy cứu nạn chỉ còn là những công điện trên giấy
Từ quán phở tị nạn đến tiệm ăn làn sóng mới Hai cái bắt tay lịch sử Nixon – Thiệu và bi kịch một đồng minh bị bỏ rơi Lũ đã dâng tới nóc nhà rồi, lệnh cứu hộ mới ký: 24 giờ vàng bị đánh cắp bởi hai chữ “chờ lệnh”
Việt Nam dưới chế độ cộng sản: Có thật đáng để tự hào? Từ thuyền nhân Việt Nam đến công tố viên hạ gục “Kẻ sát nhân Golden State” Mỹ chính thức “khai tử” đồng penny: Chia tay 1 cent sau 232 năm lặng lẽ trong túi áo người dân
Địa đạo Củ Chi: Huyền thoại tuyên truyền và sự thật bị chôn trong đất đỏ Saudi bắt tay đại gia AI Mỹ: canh bạc nghìn tỷ USD của Thái tử Mohammed bin Salman Walmart – “liều thuốc giải” cho cơn khủng hoảng chi phí sinh hoạt ở nước Mỹ
Trump khoe “thời hoàng kim” dưới mái vòm McDonald’s, trong khi người Mỹ vẫn ngộp vì tiền chợ tiền nhà Doanh nghiệp nhỏ nước Mỹ oằn mình dưới thuế quan Trump và cơn bão chi phí sinh hoạt Trump xoay sang “Plan B”: Giấc mơ làm nước Mỹ rẻ hơn và thực tế hóa đơn ngày một dày
Trump “ảo thuật” giá cả: nói lạm phát giảm, nhưng hóa đơn người Mỹ vẫn tăng Trump trong lâu đài mạ vàng: hứa cứu tầng lớp lao động, rồi lạc khỏi nỗi lo tiền chợ “No Kings” rầm rộ khắp nước Mỹ: Gần 7 triệu người xuống đường, khẳng định “Không có vua trong nền dân chủ”

 
Lên đầu Xuống dưới Lên 3000px Xuống 3000px

iPad Videos Portal Autoscroll

VietBF Music Portal Autoscroll

iPad News Portal Autoscroll

VietBF Homepage Autoscroll

VietBF Video Autoscroll Portal

USA News Autoscroll Portall

VietBF WORLD Autoscroll Portal

Home Classic

Super Widescreen

iPad World Portal Autoscroll

iPad USA Portal Autoscroll

Phim Bộ Online

Tin nóng nhất 24h qua

Tin nóng nhất 3 ngày qua

Tin nóng nhất 7 ngày qua

Tin nóng nhất 30 ngày qua

Albums

Total Videos Online
Lên đầu Xuống dưới Lên 3000px Xuống 3000px

Tranh luận sôi nổi nhất 7 ngày qua

Tranh luận sôi nổi nhất 14 ngày qua

Tranh luận sôi nổi nhất 30 ngày qua

10.000 Tin mới nhất

Tin tức Hoa Kỳ

Tin tức Công nghệ
Lên đầu Xuống dưới Lên 3000px Xuống 3000px

Super News

School Cooking Traveling Portal

Enter Portal

Series Shows and Movies Online

Home Classic Master Page

Donation Ủng hộ $3 cho VietBF
Lên đầu Xuống dưới Lên 3000px Xuống 3000px
Diễn Đàn Người Việt Hải Ngoại. Tự do ngôn luận, an toàn và uy tín. Vì một tương lai tươi đẹp cho các thế hệ Việt Nam hãy ghé thăm chúng tôi, hãy tâm sự với chúng tôi mỗi ngày, mỗi giờ và mỗi giây phút có thể. VietBF.Com Xin cám ơn các bạn, chúc tất cả các bạn vui vẻ và gặp nhiều may mắn.
Welcome to Vietnamese American Community, Vietnamese European, Canadian, Australian Forum, Vietnamese Overseas Forum. Freedom of speech, safety and prestige. For a beautiful future for Vietnamese generations, please visit us, talk to us every day, every hour and every moment possible. VietBF.Com Thank you all and good luck.

Lên đầu Xuống dưới Lên 3000px Xuống 3000px

All times are GMT. The time now is 20:24.
VietBF - Vietnamese Best Forum Copyright ©2005 - 2025
User Alert System provided by Advanced User Tagging (Pro) - vBulletin Mods & Addons Copyright © 2025 DragonByte Technologies Ltd.
Log Out Unregistered

Page generated in 0.12158 seconds with 15 queries