HOME-Au
HOME-Au
24h
24h
USA
USA
GOP
GOP
Phim Bộ
Phim Bộ
Videoauto
VIDEO-Au
Home Classic
Home Classic
Donation
Donation
News Book
News Book
News 50
News 50
worldautoscroll
WORLD-Au
Breaking
Breaking
 

Go Back   VietBF > World Box| Thế Giới > Vietnam News | Tin Việt Nam


Reply
 
Thread Tools
  #1  
Old  Default Nam sinh 15 tuổi tử vong sau cơn đau đầu dữ dội, bác sĩ cảnh báo bệnh nguy hiểm
Sau cơn đau đầu dữ dội, thanh niên 15 tuổi nhanh chóng rơi vào tình trạng hôn mê. Dù được đưa đi cấp cứu nhưng bệnh nhân đã không còn khả năng cứu chữa.

Ngày 17/1, thông tin từ Bệnh viện Bạch Mai cho biết, thời gian qua, bệnh viện tiếp nhận 3 bệnh nhân trẻ, tình trạng bệnh trầm trọng sau cơn đau đầu dữ dội.

Trường hợp thứ nhất là bệnh nhân 15 tuổi. Sau cơn đau đầu dữ dội, em nhanh chóng rơi vào tình trạng hôn mê.

Bệnh nhân được chuyển đến Trung tâm Đột quỵ, Bệnh viện Bạch Mai trong tình trạng rất nghiêm trọng, thở máy, giãn đồng tử.

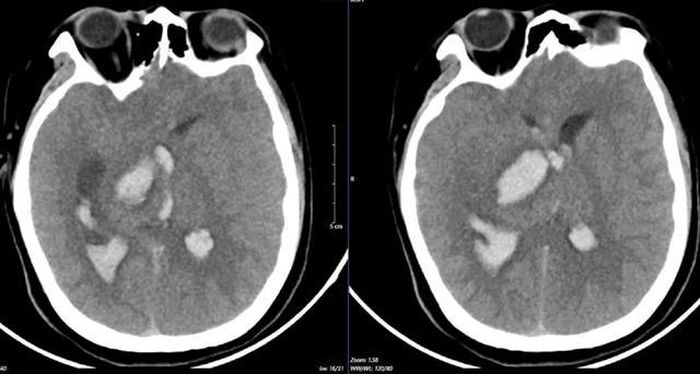
Sau khi thăm khám và kết quả chụp lại phim MSCT mạch não cho thấy tình trạng chảy máu não do vỡ khối dị dạng mạch máu não. Bệnh nhân biến chứng giãn não thất cấp, rối loạn thân nhiệt, sốt cao liên tục 39 - 40 độ C.

Các bác sĩ đã nỗ lực cứu chữa, nhưng tình trạng diễn biến nhanh, bệnh nhân tụt huyết áp, rối loạn thân nhiệt, hôn mê sâu...

Sau 2 ngày điều trị, khi được bác sĩ giải thích không còn khả năng cứu chữa, gia đình đưa bệnh nhi về và đã tử vong sau đó.


Hình ảnh chụp phim MSCT cho thấy tình trạng chảy máu não do vỡ khối dị dạng.

Một trường hợp tương tự, bệnh nhân (19 tuổi) chưa có tiền sử phát hiện bệnh lý, nhập Trung tâm Đột quỵ - Bệnh viện Bạch Mai trong tình trạng co giật, hôn mê sâu, Glasgow 6 điểm, thở máy qua ống nội khí quản, liệt tứ chi.

Kết quả chụp phim MSCT mạch não: Hình ảnh chảy máu não thùy đỉnh chẩm bên trái và não thất - phù não lan tỏa do vỡ ổ dị dạng AVM thùy đỉnh chẩm trái (điểm Spetzler- Martin 3 điểm). Sau đó, người bệnh được phẫu thuật hút khối máu tụ và lấy ổ dị dạng mạch não. Hiện, bệnh nhân vẫn đang điều trị tích cực tại khoa Hồi sức Ngoại, tiên lượng khả năng hồi phục hạn chế.

Thêm trường hợp, nữ bệnh nhân (29 tuổi) có tiền sử khỏe mạnh. Người bệnh đến viện vì đột ngột đau đầu, tê tay, nôn nhiều vật vã. Tại bệnh viện tỉnh, bệnh nhân được chẩn đoán chảy máu não, các bác sĩ đã đặt ống nội khí quản thở máy rồi chuyển tuyến lên Trung tâm Đột quỵ, Bệnh viện Bạch Mai.

Bác sĩ Lê Tuấn Anh, Trung tâm Đột quỵ - Bệnh viện Bạch Mai cho biết, dị dạng thông động tĩnh mạch não (AVMs- Arteriovenous malformations) là một dị tật phát triển của hệ thống mạch máu trong đó các động mạch nuôi được kết nối trực tiếp với mạng lưới tĩnh mạch dẫn lưu mà không qua hệ thống mao mạch.

Trong khối dị dạng, thành động mạch thường mỏng hơn, tĩnh mạch giãn rộng do lưu lượng máu cao, không được điều tiết, nguy cơ có thể vỡ bất cứ lúc nào gây chảy máu não, tăng áp lực nội sọ, co giật, suy giảm ý thức, thậm chí tử vong nhanh chóng.

Dị dạng mạch máu não rất nguy hiểm, lại thường xảy ra ở người trẻ tuổi, không có sự khác biệt về giới tính. Thông thường, bệnh chỉ được phát hiện khi dị dạng mạch vỡ. Tuy nhiên đôi khi, người bệnh được phát hiện sớm vì tình cờ đi chụp chiếu kiểm tra.
VIETBF Diễn Đàn Hay Nhất Của Người Việt Nam

HOT NEWS 24h

HOT 3 Days

NEWS 3 Days

HOT 7 Days

NEWS 7 Days

HOME

Breaking News

VietOversea

World News

Business News

Car News

Computer News

Game News

USA News

Mobile News

Music News

Movies News

History

Thơ Ca

Sport News

Stranger Stories

Comedy Stories

Cooking Chat

Nice Pictures

Fashion

School

Travelling

Funny Videos

Canada Tin Hay

USA Tin Hay

VietBF Homepage Autoscroll

VietBF Video Autoscroll Portal

Home Classic

Home Classic Master Page



TinNhanh247
R9 Tuyệt Đỉnh Tôn Sư
Release: 01-18-2025
Reputation: 14051


Profile:
Join Date: Oct 2014
Posts: 38,794
Last Update: None Rating: None
Attached Thumbnails
Click image for larger version

Name:	959459cf918078de2191.jpg
Views:	0
Size:	41.6 KB
ID:	2479290  
TinNhanh247_is_offline
Thanks: 16
Thanked 1,795 Times in 1,633 Posts
Mentioned: 3 Post(s)
Tagged: 0 Thread(s)
Quoted: 11 Post(s)
Rep Power: 50
TinNhanh247 Reputation Uy Tín Level 6
TinNhanh247 Reputation Uy Tín Level 6TinNhanh247 Reputation Uy Tín Level 6TinNhanh247 Reputation Uy Tín Level 6TinNhanh247 Reputation Uy Tín Level 6TinNhanh247 Reputation Uy Tín Level 6TinNhanh247 Reputation Uy Tín Level 6TinNhanh247 Reputation Uy Tín Level 6TinNhanh247 Reputation Uy Tín Level 6TinNhanh247 Reputation Uy Tín Level 6TinNhanh247 Reputation Uy Tín Level 6TinNhanh247 Reputation Uy Tín Level 6TinNhanh247 Reputation Uy Tín Level 6TinNhanh247 Reputation Uy Tín Level 6TinNhanh247 Reputation Uy Tín Level 6TinNhanh247 Reputation Uy Tín Level 6TinNhanh247 Reputation Uy Tín Level 6TinNhanh247 Reputation Uy Tín Level 6
Reply

User Tag List


Công dân Mỹ cũng có thể bị ICE bắt nhầm: ‘Xứ tự do’ và nỗi sợ gõ cửa lúc nửa đêm Khi CIA mù tịt, còn một tướng VNCH đã nhìn ra trước Kinh tế Trung Quốc kẹt giữa lạm phát và giảm phát
Hàng Tàu phá vây thuế quan, Trump khoe kinh tế A+++ và chiếc ví rỗng của người Mỹ Nguyễn Cao Kỳ, cái chết bất ngờ và bài học đắt giá về ‘hòa hợp hòa giải’ Trung Quốc siết cổ doanh nghiệp Việt: Cuộc xâm lược thương mại ngay trên sân nhà
Mỹ đuổi thẳng tay nếu chửi Mỹ trên Facebook Hòa bình mong manh cho Ukraine: Kế hoạch 20 điểm, sức ép từ Trump và bài toán bầu cử giữa làn đạn Fed cắt lãi suất lần thứ ba liên tiếp: Powell “phanh gấp”, túi tiền người Mỹ thay đổi ra sao?
IKEA khai trương cửa hàng đầu tiên ở New Zealand: Người Kiwi xếp hàng từ tờ mờ sáng Nước Mỹ không dung dưỡng kẻ vô ơn: Tị nạn, di dân và cơn giận của Donald Trump Dư âm Giáng Sinh Sài Gòn xưa: Từ mùa sao sáng đến thánh ca buồn
Lê Duẩn – Mao Trạch Đông và cái giá “lá chắn phương Nam” của Việt Nam Trung Quốc hủy 540.000 vé sang Nhật: Đòn răn đe hay cú “tự bắn vào chân”? Trump xóa bỏ tiêu chuẩn nhiên liệu thời Biden
Mỹ đã hiểu sai tham vọng của Đảng Cộng sản Trung Quốc và đánh giá thấp sự quyết liệt tàn nhẫn của họ Tị nạn, thẻ xanh, visa du học cùng bị “khóa cửa” Khi bia Mexico gặp búa trừng phạt di trú của Trump: Cú ngã đau của đế chế Modelo – Corona
Biển số 37.77: Thông điệp ngầm của Thủ tướng Nhật Takaichi Sanae gửi Bắc Kinh Quốc tịch Mỹ: Tường thành gần như tuyệt đối cho người nhập tịch Con gái Hà Nội, giọt nước dưới mặt lá
Những tay giang hồ miền Nam: huyền thoại, bóng tối và cái giá phải trả Huỳnh Điều – “anh lớp Ba” mà Cộng sản sợ cái miệng hơn sợ khẩu M.79 Tiếng súng 9 giờ sáng ở Florida và hành trình cuối của nữ deputy Terri Sweeting-Mashkow
“Giang sơn” nào được sắp xếp, và sắp xếp cho ai? Sau 40 tuổi, khuôn mặt là “bản lý lịch” của tâm hồn Siêu biệt phủ trăm tỷ của Chủ tịch phường Hải Phòng: “Đại Lộc Thiên tử” giữa làng nghèo
Từ vụ sạc 24 giờ ở Mỹ đến chết yểu ở Ấn Độ: VinFast và câu hỏi dành cho người Việt Khi chú Hòa xây nhà bình dân: những kiệt tác âm thầm giữa lòng Sài Gòn Việt Nam – Xứ sở của những người bị bắt phải học nghề đói
Mailisa bị bắt và ký ức đôi vợ chồng ăn chay đi chùa Đi Hàn, đi Nhật rồi nhìn lại Việt Nam: yêu nước đâu chỉ nói trên môi Nepal – Đất nước sống ở năm 2082 giữa trái tim Himalaya
Nicholas Winton – Người hùng thầm lặng cứu 669 đứa trẻ khỏi bóng đen Đức Quốc Xã Bi kịch giáo sư Yoshihiro Sato: khi dữ liệu đẹp đổi lấy danh dự và cái chết Sự ngu dốt của bọn có học – từ Nguyễn Huy Thiệp đến thời những lời nói lật ngược sự thật

 
Lên đầu Xuống dưới Lên 3000px Xuống 3000px

iPad Videos Portal Autoscroll

VietBF Music Portal Autoscroll

iPad News Portal Autoscroll

VietBF Homepage Autoscroll

VietBF Video Autoscroll Portal

USA News Autoscroll Portall

VietBF WORLD Autoscroll Portal

Home Classic

Super Widescreen

iPad World Portal Autoscroll

iPad USA Portal Autoscroll

Phim Bộ Online

Tin nóng nhất 24h qua

Tin nóng nhất 3 ngày qua

Tin nóng nhất 7 ngày qua

Tin nóng nhất 30 ngày qua

Albums

Total Videos Online
Lên đầu Xuống dưới Lên 3000px Xuống 3000px

Tranh luận sôi nổi nhất 7 ngày qua

Tranh luận sôi nổi nhất 14 ngày qua

Tranh luận sôi nổi nhất 30 ngày qua

10.000 Tin mới nhất

Tin tức Hoa Kỳ

Tin tức Công nghệ
Lên đầu Xuống dưới Lên 3000px Xuống 3000px

Super News

School Cooking Traveling Portal

Enter Portal

Series Shows and Movies Online

Home Classic Master Page

Donation Ủng hộ $3 cho VietBF
Lên đầu Xuống dưới Lên 3000px Xuống 3000px
Diễn Đàn Người Việt Hải Ngoại. Tự do ngôn luận, an toàn và uy tín. Vì một tương lai tươi đẹp cho các thế hệ Việt Nam hãy ghé thăm chúng tôi, hãy tâm sự với chúng tôi mỗi ngày, mỗi giờ và mỗi giây phút có thể. VietBF.Com Xin cám ơn các bạn, chúc tất cả các bạn vui vẻ và gặp nhiều may mắn.
Welcome to Vietnamese American Community, Vietnamese European, Canadian, Australian Forum, Vietnamese Overseas Forum. Freedom of speech, safety and prestige. For a beautiful future for Vietnamese generations, please visit us, talk to us every day, every hour and every moment possible. VietBF.Com Thank you all and good luck.

Lên đầu Xuống dưới Lên 3000px Xuống 3000px

All times are GMT. The time now is 17:43.
VietBF - Vietnamese Best Forum Copyright ©2005 - 2025
User Alert System provided by Advanced User Tagging (Pro) - vBulletin Mods & Addons Copyright © 2025 DragonByte Technologies Ltd.
Log Out Unregistered

Page generated in 0.11525 seconds with 15 queries