HOME-Au
HOME-Au
24h
24h
USA
USA
GOP
GOP
Phim Bộ
Phim Bộ
Videoauto
VIDEO-Au
Home Classic
Home Classic
Donation
Donation
News Book
News Book
News 50
News 50
worldautoscroll
WORLD-Au
Breaking
Breaking
 

Go Back   VietBF > World Box| Thế Giới > World News|Tin Thế Giới


Reply
 
Thread Tools
  #1  
Old  Default Đi nhổ răng sữa, bé gái khiến nha sĩ sốc nặng khi có 81 chiếc răng
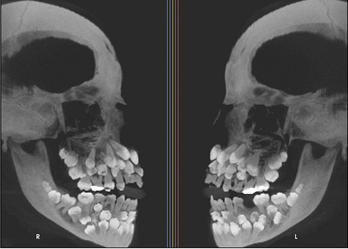
Đi nhổ răng sữa, một bé gái 11 tuổi đã khiến nha sĩ sốc nặng khi phát hiện phim chụp X-quang cho thấy cô bé có 81 chiếc răng trong miệng.

Các hãng thông tấn nước ngoài đã đưa tin về một trường hợp y khoa xảy ra ở Brazil, nơi một bé gái 11 tuổi đến gặp nha sĩ để nhổ răng sữa. Tuy nhiên, kết quả chụp X-quang cho thấy miệng bé có tổng cộng 81 chiếc răng, bao gồm 31 chiếc răng thừa. Trường hợp hiếm gặp này sau đó đã được đăng trên một tạp chí y khoa và trở thành chủ đề nóng hổi.

Cụ thể, bé gái 11 tuổi 8 tháng ở Minas Gerais, Brazil, đã đến một phòng khám nha khoa để kiểm tra răng miệng và dự định nhổ hàng răng sữa trên cùng vốn vẫn chưa rụng. Tuy nhiên, kết quả chụp X-quang cho thấy một phát hiện gây sốc, thực tế bé có 18 răng sữa, 32 răng vĩnh viễn và 31 răng thừa, tổng cộng là 81 răng.


Bé gái có 81 chiếc răng khiến nha sĩ bất ngờ.

Khi khám răng, bác sĩ nhận thấy chỉ có 5 răng vĩnh viễn đã mọc, trong khi vẫn còn khá nhiều răng sữa. Để đánh giá toàn diện hơn tình trạng răng miệng của bé, bác sĩ đã chỉ định chụp X-quang tổng quát và chụp sọ nghiêng.

Những hình ảnh cho thấy nhiều răng bị biến dạng và nằm sâu trong nướu, khiến việc phân biệt giữa răng bình thường và răng thừa rất khó khăn. Trung bình, một người trưởng thành có 32 chiếc răng và những chiếc răng thừa này được gọi là "siêu răng". Thông thường, chỉ có 1 hoặc 2 chiếc răng thừa.

Theo giải thích của các bác sĩ, răng thừa là một bất thường phát triển hiếm gặp, có thể xuất hiện ở bất kỳ vị trí nào trên cung răng và ảnh hưởng đến răng bình thường. Việc có nhiều răng thừa cực kỳ hiếm gặp ở những người không mắc các bệnh lý hoặc tình trạng di truyền khác.

Một nhóm các nhà nghiên cứu từ Bệnh viện Nha khoa thuộc Đại học Liên bang Huesca ở Brazil đã công bố nghiên cứu trường hợp hiếm gặp này trên Tạp chí của Viện Hàn lâm Chỉnh nha và Phẫu thuật Miệng và Hàm mặt Mỹ.

Các nhà nghiên cứu đã sử dụng hình ảnh chính xác để xác định vị trí răng và thực hiện xét nghiệm di truyền để tìm hiểu xem có yếu tố di truyền nào liên quan đến căn bệnh này hay không. Xét nghiệm nhiễm sắc thể cho thấy bé gái người Brazil này có một đột biến gen hiếm gặp, nhưng mối liên hệ trực tiếp với những chiếc răng thừa vẫn cần được làm sáng tỏ.

Do một số răng thừa nằm sâu trong nướu hoặc khó phân biệt với răng bình thường, việc nhổ răng bừa bãi có thể gây tổn thương xương hàm. Vì vậy, nhóm nghiên cứu đã mời các chuyên gia về chỉnh nha, phẫu thuật miệng, nha chu và phục hình răng để thảo luận và xây dựng một kế hoạch điều trị lâu dài, hy vọng sẽ bảo vệ sức khỏe răng miệng và giữ cho răng của cô bé luôn trong tình trạng tốt trong tương lai.

VietBF@ sưu tập
Dịch trang: EnglishEnglish DeutschDeutsch FrançaisFrançais EspañolEspañol ItalianoItaliano PortuguêsPortuguês
NorskNorsk NederlandsNederlands DanskDansk SuomiSuomi PolskiPolski ČeštinaČeština РусскийРусский
日本語日本語 한국어한국어 中文(简体)中文(简体) 中文(繁體)中文(繁體) MagyarMagyar TürkçeTürkçe
العربيةالعربية ไทยไทย LatinaLatina हिन्दीहिन्दी Bahasa IndonesiaBahasa Indonesia Bahasa MelayuBahasa Melayu
VIETBF Diễn Đàn Hay Nhất Của Người Việt Nam

HOT NEWS 24h

HOT 3 Days

NEWS 3 Days

HOT 7 Days

NEWS 7 Days

HOME

Breaking News

VietOversea

World News

Business News

Car News

Computer News

Game News

USA News

Mobile News

Music News

Movies News

History

Thơ Ca

Sport News

Stranger Stories

Comedy Stories

Cooking Chat

Nice Pictures

Fashion

School

Travelling

Funny Videos

Canada Tin Hay

USA Tin Hay

VietBF Homepage Autoscroll

VietBF Video Autoscroll Portal

Super Widescreen

Home Master Page

VietBF iPad Music Portal

Tin nóng nhất 50h qua

Phim Bộ Online

Phim Bộ
Dịch trang: English | Deutsch |
Français | Español | Italiano |
Português | Norsk | Nederlands |
Dansk | Suomi | Polski |
Čeština | Русский | 日本語 |
한국어 | 中文(简体) | 中文(繁體) |
Magyar | Türkçe | العربية |



troopy
R10 Vô Địch Thiên Hạ
Release: 07-22-2025
Reputation: 227853


Profile:
Join Date: Oct 2014
Posts: 91,097
Last Update: None Rating: None
Attached Thumbnails
Click image for larger version

Name:	21.jpg
Views:	0
Size:	49.7 KB
ID:	2551975  
troopy_is_offline
Thanks: 76
Thanked 6,863 Times in 5,970 Posts
Mentioned: 5 Post(s)
Tagged: 0 Thread(s)
Quoted: 34 Post(s)
Rep Power: 114
troopy Reputation Uy Tín Level 10troopy Reputation Uy Tín Level 10troopy Reputation Uy Tín Level 10troopy Reputation Uy Tín Level 10troopy Reputation Uy Tín Level 10troopy Reputation Uy Tín Level 10
troopy Reputation Uy Tín Level 10troopy Reputation Uy Tín Level 10troopy Reputation Uy Tín Level 10troopy Reputation Uy Tín Level 10troopy Reputation Uy Tín Level 10troopy Reputation Uy Tín Level 10troopy Reputation Uy Tín Level 10troopy Reputation Uy Tín Level 10troopy Reputation Uy Tín Level 10troopy Reputation Uy Tín Level 10troopy Reputation Uy Tín Level 10troopy Reputation Uy Tín Level 10troopy Reputation Uy Tín Level 10troopy Reputation Uy Tín Level 10troopy Reputation Uy Tín Level 10troopy Reputation Uy Tín Level 10troopy Reputation Uy Tín Level 10troopy Reputation Uy Tín Level 10troopy Reputation Uy Tín Level 10troopy Reputation Uy Tín Level 10troopy Reputation Uy Tín Level 10troopy Reputation Uy Tín Level 10
Dịch trang: EnglishEnglish DeutschDeutsch FrançaisFrançais EspañolEspañol ItalianoItaliano PortuguêsPortuguês
NorskNorsk NederlandsNederlands DanskDansk SuomiSuomi PolskiPolski ČeštinaČeština РусскийРусский
日本語日本語 한국어한국어 中文(简体)中文(简体) 中文(繁體)中文(繁體) MagyarMagyar TürkçeTürkçe
العربيةالعربية ไทยไทย LatinaLatina हिन्दीहिन्दी Bahasa IndonesiaBahasa Indonesia Bahasa MelayuBahasa Melayu
Reply

User Tag List

Thread Tools

Trung Quốc sẽ sụp đổ kinh tế nhanh chóng vì nguyên nhân này ... Đêm kinh hoàng ở Andalusia: Hai tàu cao tốc Tây Ban Nha lao vào nhau, ít nhất 39 người thiệt mạng Vũ khí hóa mùa đông: Điện tắt ở Zaporizhzhia, hỏa lực dồn dập và cuộc chạy đua ngoại giao trước Davos
Canh bạc Greenland và ‘trade bazooka’: Khi chiến tranh thuế quan có thể làm cả Mỹ lẫn châu Âu cùng đau Thứ trưởng Hùng Cao cảnh báo bắt bất kỳ lãnh đạo độc tài nào nếu làm điều này ! Sóng ngầm Washington: Trump ép hạ lãi suất, Powell bị điều tra, ngân hàng “nín thở” chờ hạn 20/1
Minnesota căng như dây đàn: 1.500 quân chính quy trực chiến, Vệ binh Quốc gia “đứng chờ” giữa làn sóng phản đối ICE Châu Âu “nói một tiếng”: khủng hoảng Greenland buộc EU họp khẩn, liên minh Đại Tây Dương rung chuyển Bùng nổ biểu tình, Trump “đánh thuế Greenland”: áp 10% lên Đan Mạch và 7 nước châu Âu, dọa tăng 25% trước hạn 1/6
Thủ tướng Sanae Takaichi tính “canh bạc” bầu cử sớm: Bài toán ngân sách 783 tỷ USD và sóng gió Trung–Nhật Iran bước sang tuần thứ ba rực lửa: “xác chồng” trong bệnh viện, 78 người chết, 2.600 bị bắt, Tehran cảnh cáo sẽ nhắm vào căn cứ Mỹ Một phụ nữ VNCH bị dân Tây đẩy xe hàng gãy chân trong Costco thì phải làm sao?
Hạ Thủy Chiến Hạm EPF-16 “USNS Lansing”: Khoảnh Khắc Trang Nghiêm, Niềm Tự Hào Và Lời Nhắn Gửi Từ Thứ Trưởng Hải Quân Hùng Cao Orlando rợp sắc cờ vàng ngày đầu năm: Lễ Thượng Kỳ VNCH nhắc nhớ một lời thề tự do Người phụ nữ VNCH cao tuổi nhất ở Atalanta qua đời
Chiến "Oppa" đã bị kỷ luật ! “Brain Cave” của Amazon: Người đàn ông muốn thay đổi cách cả nước Mỹ xem bóng bầu dục Trump tuyên bố “chủ quyền” Tây Bán Cầu sau vụ bắt Maduro: Cảnh cáo Trung Quốc, nhưng Bắc Kinh khó bị hất khỏi Mỹ Latin
Đoàn xe bọc thép, trực thăng, và thẩm phán 92 tuổi: ngày ra tòa của Maduro ở New York Delta Force – “The Unit”: bóng ma kiêu hùng bước ra ánh sáng “Như xem truyền hình trực tiếp”: Đêm Delta Force ập vào Caracas bắt sống Maduro
Thuế quan 2025 chưa “đau”: Kho hàng cạn dần, thuế quan bắt đầu ngấm: 2026 sẽ thử lửa túi tiền nước Mỹ Sau đòn bắt sống Maduro: Cuba chấn động, Trung Quốc giận dữ, Triều Tiên thử hỏa tiễn – bóng ma đối đầu Mỹ–Trung phủ lên Đài Loan 32 đặc công Cuba bị nghi là Delta Mỹ tiêu diệt trong vụ bắt sống Maduro
Rubio “giải nghĩa” câu nói Mỹ sẽ ‘chạy’ Venezuela: Không phải cai trị, mà là ‘chạy chính sách’ Người dân Venezuela ăn mừng vì chế độ độc tài cộng sản Maduro sụp đổ Maduro bị áp giải tới nhà giam khét tiếng New York, chờ ra tòa giữa bão phản ứng quốc tế
Khi “nhà báo độc lập” gặp đúng sóng MAGA: câu chuyện Nick Shirley ở Minnesota Năm 1998 đoán về 2025: người Mỹ đúng bất ngờ, sai cũng… bất ngờ 5 tỷ chuyến bay và “năm của những du khách hư”: 6 lời hứa làm người tử tế năm 2026
Ván bài lật ngửa và những nghịch lý “thú vị” sau 1975 Đêm dài nhất của Kyiv năm nay: cháy gần 10 giờ, Zelensky bay sang Florida, 519 drone, 40 tên lửa và cuộc hẹn với Trump Rial chạm đáy kỷ lục, chợ Lớn Tehran đóng cửa: biểu tình lớn nhất Iran từ 2022
Khi thùng thư biến mất: Đan Mạch trở thành quốc gia đầu tiên “chia tay” thư tay “Justice Mission-2025”: Trung Quốc diễn tập phong tỏa Đài Loan, 130 phi cơ áp sát “Đu càng” có nhục không: nhục nhất là sự đạo đức giả
“Ác mộng trước Giáng Sinh”: bài diễn văn u ám của Trump và cuộc chiến với thực tế đời sống Mỹ bước vào đợt thắt chặt nhập cư mới Châu Âu vay tiền cứu Ukraine, không đụng tài sản Nga bị phong tỏa: vì sao?
Facebook chuẩn bị thu phí tài khoản, chia sẻ link bài có nguy cơ bị khóa từ 2026 Rơi máy bay tại Mỹ, 7 người đã thiệt mạng Hơn 12.000 người gốc Việt đến Mỹ trước 1995 cầm chắc vé trục xuất về Việt Nam?
Ông Trump có thể ra lệnh cấm công dân VN nhập cảnh Mỹ với những nguyên nhân rất giống Lào Sau Lào, ông Trump muốn cấm công dân Việt Nam nhập cảnh nước Mỹ? Úc: Giới chức an ninh đã ngăn chặn kịp thời âm mưu khủng bố mới ở bãi biển Bondi
Úc cấm thiếu niên dưới 16 tuổi dùng Facebook vì quá độc hại, Mỹ có lẽ tiếp bước? Cái chết bí ẩn của Tulku Hungkar Dorje tại Sài Gòn: Bàn tay Bắc Kinh và sự im lặng của Hà Nội Thương Tín qua đời : Đám Tang Lặng Lẽ Ở Phan Rang Và Hào Quang Vang Bóng
85.000 tấm visa bị xé bỏ: chân dung nước Mỹ thời truy bức di dân 48 Giờ Cùm Tay Trên Bầu Trời: Số Phận Bà Melissa Trần Và Bóng Đen Luật Di Trú Mỹ Từ Tử Thủ Đến Công Chức Xứ Người – Đời Lưu Vong Của Trung Tướng Ngô Quang Trưởng
Mùa Noel “Ông Già Định Ở Lại” – Góc Đời Riêng Của Vợ Chồng Tổng Thống Nguyễn Văn Thiệu Trump, Obamacare và bài trắc nghiệm đạo đức mang tên “Make America Great Again” Từ giọt nước sông Rio Grande đến bóng ma sụp đổ USMCA
Lá Cờ Vàng – Giấc Mơ Nhỏ Và Vận Mệnh Lớn Của Dân Tộc Những trùng hợp rợn người trong lịch sử nhân loại Những bí mật bên trong xác ướp Ba Đình
Dân kinh doanh trả giá đắt vì chính sách thuế của Cộng Sản Trăm năm bia đá cũng mòn, bia hám danh thì còn mãi Sài Gòn ‘bỏ phố’: Mặt bằng trăm triệu, đèn tắt và kỷ nguyên thu mình của người kinh doanh
Costco kiện thuế quan: Cú tát 2.000 USD vào lời hứa ‘năm sau’ của ông Trump 401k – IRA – IUL: Ba cái ‘hũ để dành’ ở Mỹ, xài trật là mất toi tuổi già Chi bộn tiền làm đẹp, giờ ôm rổ mỹ phẩm mà run: Nỗi hoang mang của khách Mailisa sau ngày thẩm mỹ viện tắt đèn
Cột điện gỗ Mỹ để: Nửa thế kỷ vẫn đứng vững ở miền Nam Việt Nam Việt Nam sau 50 năm: Quyền được tự hào và nghĩa vụ… tự chịu đựng Thất thủ trước mưa lũ: Khi bộ máy cứu nạn chỉ còn là những công điện trên giấy
Từ quán phở tị nạn đến tiệm ăn làn sóng mới Hai cái bắt tay lịch sử Nixon – Thiệu và bi kịch một đồng minh bị bỏ rơi Lũ đã dâng tới nóc nhà rồi, lệnh cứu hộ mới ký: 24 giờ vàng bị đánh cắp bởi hai chữ “chờ lệnh”
Việt Nam dưới chế độ cộng sản: Có thật đáng để tự hào? Từ thuyền nhân Việt Nam đến công tố viên hạ gục “Kẻ sát nhân Golden State” Mỹ chính thức “khai tử” đồng penny: Chia tay 1 cent sau 232 năm lặng lẽ trong túi áo người dân
Địa đạo Củ Chi: Huyền thoại tuyên truyền và sự thật bị chôn trong đất đỏ Saudi bắt tay đại gia AI Mỹ: canh bạc nghìn tỷ USD của Thái tử Mohammed bin Salman Walmart – “liều thuốc giải” cho cơn khủng hoảng chi phí sinh hoạt ở nước Mỹ
Trump khoe “thời hoàng kim” dưới mái vòm McDonald’s, trong khi người Mỹ vẫn ngộp vì tiền chợ tiền nhà Doanh nghiệp nhỏ nước Mỹ oằn mình dưới thuế quan Trump và cơn bão chi phí sinh hoạt Trump xoay sang “Plan B”: Giấc mơ làm nước Mỹ rẻ hơn và thực tế hóa đơn ngày một dày
Trump “ảo thuật” giá cả: nói lạm phát giảm, nhưng hóa đơn người Mỹ vẫn tăng Trump trong lâu đài mạ vàng: hứa cứu tầng lớp lao động, rồi lạc khỏi nỗi lo tiền chợ “No Kings” rầm rộ khắp nước Mỹ: Gần 7 triệu người xuống đường, khẳng định “Không có vua trong nền dân chủ”
Thắng Pháp, thắng Mỹ, thắng Tàu... trừ cái hộ chiếu: Việt Nam đứng sau Campuchia, cười ra nước mắt! Vì sao Campuchia cô độc khi khủng hoảng nổ ra: “Bạn bè” không tự nhiên mà có Làn sóng “America First” quét qua Bộ Ngoại Giao: Đại sứ Marc Knapper rời Việt Nam từ tháng Giêng
Vợ của nhạc sĩ, đại tá VNCH Nguyễn Văn Đông qua đời Việt kiều Mỹ mất nhà 100 tỷ 10A Cửu Long tại Sài Gòn vì nhờ bạn đứng tên Tô Lâm đưa 20.000 cảnh sát cơ động khống chế Hà Nội, vô hiệu hoá chủ tịch nước Lương Cường và thủ tướng Phạm Minh Chính
Sân bay Long Thành của Việt Nam hoá ra là 'hàng Trung Quốc' Vụ “UPS giả” vào nhà giết cả gia đình: tin cũ gần 2 năm vẫn hâm nóng cộng đồng người Việt Qua được Mỹ rồi, xin đừng “qua cầu rút ván”
Xả súng kinh hoàng tại Mỹ: Thảm Kịch Tại Brown University - Cơn Ác Mộng Giáng Sinh Và Nỗi Đau Chưa Từng Có Của Một Trường Ivy League Melissa Trần – Tâm thư từ Việt Nam của cô chủ tiệm nail bị trục xuất Úc: Khủng bố xả súng bắn vào cư dân Israel tại bải biển, giết chết 11 người và hàng chục người khác bị thương
Bác sĩ Mũ Đỏ Phạm Gia Cổn: Từ chiến trường Tam Biên đến Khí Công Hoàng Hạc Xả súng ở bãi biển Úc, ít nhất 11 người chết Người Việt tại Đức xuống đường tố cáo bàn tay đàn áp xuyên quốc gia của CSVN
Giữa Tô Lâm và Phan Văn Giang: Cuộc cờ quyền lực, lợi ích nhóm và thân phận 100 triệu dân Target “chơi lớn” ở SoHo: Cửa hàng kiểu mẫu để giành lại hào quang “Tar-zhay” Mỹ bất ngờ thu hẹp thâm hụt thương mại: vàng, thuế quan và những mặt trái sau các con số đẹp

 
Lên đầu Xuống dưới Lên 3000px Xuống 3000px

iPad Videos Portal Autoscroll

VietBF Music Portal Autoscroll

iPad News Portal Autoscroll

VietBF Homepage Autoscroll

VietBF Video Autoscroll Portal

USA News Autoscroll Portall

VietBF WORLD Autoscroll Portal

Home Classic

Super Widescreen

iPad World Portal Autoscroll

iPad USA Portal Autoscroll

Phim Bộ Online

Tin nóng nhất 24h qua

Tin nóng nhất 3 ngày qua

Tin nóng nhất 7 ngày qua

Tin nóng nhất 30 ngày qua

Albums

Total Videos Online
Lên đầu Xuống dưới Lên 3000px Xuống 3000px

Tranh luận sôi nổi nhất 7 ngày qua

Tranh luận sôi nổi nhất 14 ngày qua

Tranh luận sôi nổi nhất 30 ngày qua

10.000 Tin mới nhất

Tin tức Hoa Kỳ

Tin tức Công nghệ
Lên đầu Xuống dưới Lên 3000px Xuống 3000px

Super News

School Cooking Traveling Portal

Enter Portal

Series Shows and Movies Online

Home Classic Master Page

Donation Ủng hộ $3 cho VietBF
Lên đầu Xuống dưới Lên 3000px Xuống 3000px
Diễn Đàn Người Việt Hải Ngoại. Tự do ngôn luận, an toàn và uy tín. Vì một tương lai tươi đẹp cho các thế hệ Việt Nam hãy ghé thăm chúng tôi, hãy tâm sự với chúng tôi mỗi ngày, mỗi giờ và mỗi giây phút có thể. VietBF.Com Xin cám ơn các bạn, chúc tất cả các bạn vui vẻ và gặp nhiều may mắn.
Welcome to Vietnamese American Community, Vietnamese European, Canadian, Australian Forum, Vietnamese Overseas Forum. Freedom of speech, safety and prestige. For a beautiful future for Vietnamese generations, please visit us, talk to us every day, every hour and every moment possible. VietBF.Com Thank you all and good luck.

Lên đầu Xuống dưới Lên 3000px Xuống 3000px

All times are GMT. The time now is 07:10.
VietBF - Vietnamese Best Forum Copyright ©2005 - 2026
User Alert System provided by Advanced User Tagging (Pro) - vBulletin Mods & Addons Copyright © 2026 DragonByte Technologies Ltd.
Log Out Unregistered

Page generated in 0.12439 seconds with 13 queries