Chuyên gia tại California phát hiện 121 bài viết nghiên cứu, đứng tên bởi các nhà nghiên cứu từ bệnh viện và đại học y tại Trung Quốc, có dấu hiệu bất thường về dữ liệu.
Các tạp chí khoa học quốc tế, có quy trình đánh giá ngang hàng hay "bình duyệt" (peer-review), đã xuất bản ít nhất 121 bài viết nghiên cứu có dấu hiệu sử dụng cùng những hình ảnh dữ liệu y hệt nhau.
Số bài viết này do những tác giả Trung Quốc đứng tên. Điểm bất thường làm dấy lên hoài nghi cách làm khoa học gây tranh cãi đang phổ biến tại Trung Quốc, đặc biệt khi các tổ chức đẩy nhanh công bố nghiên cứu giữa tình hình đại dịch Covid-19.
Elisabeth Bik, chuyên gia vi sinh vật và phân tích hình ảnh ở California, là người phát hiện điểm bất thường ở 121 bài nghiên cứu được đứng tên bởi các nhà khoa học từ những bệnh viện và đại học y ở 50 thành phố tại Trung Quốc. Tất cả đều chia sẻ ít nhất một hình ảnh làm dữ liệu.
Theo bà, đây là dấu hiệu cho thấy có khả năng nhiều bài nghiên cứu trong số đó được sản xuất bởi cùng một đơn vị. Mô hình này còn gọi là "xưởng viết".

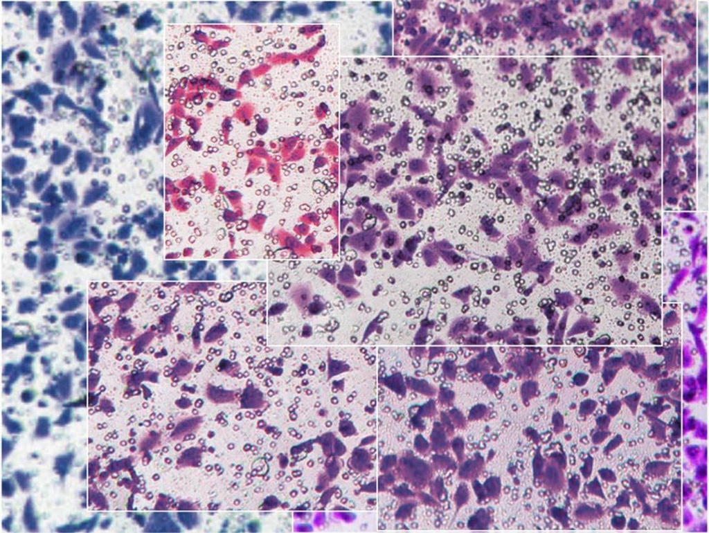
Cùng một ảnh chụp tế bào được sử dụng trong 7 nghiên cứu y khoa khác nhau do các tác giả Trung Quốc đứng tên. Ảnh: Elisabeth Bik.
Dùng cùng ảnh, chép nguyên văn
Các bài viết được đăng tải rải rác trong vòng 4 năm bởi những tác giả khác nhau. Tuy nhiên, nhiều bài viết bao gồm ảnh chụp tế bào gần như giống hệt nhau dù tập trung vào các chủ đề nghiên cứu riêng biệt.
Những ảnh này đôi khi được xoay hướng nhìn khác hoặc cắt xén để tạo vẻ khác biệt. Chú thích hình ảnh đôi khi được dùng lại nguyên văn, không khác một từ.
Số bài viết đáng ngờ vẫn vượt qua được quy trình đánh giá ngang hàng tại 6 tạp chí khoa học quốc tế. Có 113/121 bài viết được đăng trên tạp chí Europe Review for Medical and Pharmacological Sciences (Tạp chí Y học và Dược học Châu Âu).
Một trong các bài viết đáng ngờ được trích dẫn bởi những nhà khoa học khác hơn 50 lần trong năm 2017, theo nền tảng Google Scholar. Có 3 bài viết được trích dẫn hơn 20 lần. Việc tài liệu có vấn đề về học thuật được trích dẫn nhiều có khả năng tác động đến độ khả tín của những nghiên cứu khác.
Bik nhận định những "xưởng viết" đang làm ô nhiễm môi trường làm việc khoa học. Vị cựu chuyên gia của Trường Y Đại học Stanford lo ngại những bài viết bị phát hiện "mới là phần nổi của tảng băng".
European Review for Medical and Pharmacological Sciences thông báo sẽ liên lạc với các tác giả để chứng minh tính nguyên bản của dữ liệu. Có 3 tạp chí khác thông báo họ đang điều tra, gồm Journal of Cancer, Bioscience Reports và Biomedicine & Pharmacotherapy.
"Các xưởng viết ngày một trở nên tinh vi đáng báo động", Richard Reece, đại diện Portland Press, nhà xuất bản của Bioscience Reports, cho biết.
Theo Wall Street Journal, có khả năng tác giả một số bài viết nghiên cứu là nạn nhân của hành vi đạo văn từ các "xưởng viết". Ít nhất 15/121 nhà nghiên cứu sau khi được liên hệ đã hỏi thêm thông tin để kiểm tra lại bài viết của mình và tìm cách bảo vệ tên tuổi. Một số sẵn sàng công bố dữ liệu thô.
Báo động tư duy xuất bản vì tiền
Lỗ hổng trong quá trình kiểm duyệt nổi lên thành vấn đề nhức nhối giữa bối cảnh đại dịch Covid-19, khi giới khoa học hối hả chia sẻ các phát hiện.
Tháng 6, tạp chí y học danh tiếng The Lancet của Anh đã rút một bài viết nghiên cứu sau khi hàng chục nhà khoa học hoài nghi về tín xác thực của dữ liệu. Bài viết tuyên bố thuốc trị sốt xuất huyết không những không giúp điều trị Covid-19 mà còn tăng rủi ro bệnh lý về tim, thậm chí là tử vong.
Trong nỗ lực tìm hiểu nhanh nhất có thể về chủng virus mới, nhiều nhà khoa học chọn đăng tải nghiên cứu trên những nền tảng chia sẻ sơ thảo, thay vì trải qua quá trình đánh giá ngang hàng kỹ lưỡng mà tốn nhiều thời gian.
Phương án này giúp tăng tốc chia sẻ dữ liệu, nhưng làm dấy lên lo ngại về phát hiện khoa học thiếu chính xác hoặc được công bố quá hấp tấp.
"Khoa học được xây dựng từ khoa học. Nó như bức tường gạch, xây chồng lên nhau. Nếu một thỏi gạch không tốt, cả bức tường có thể đổ sụp", Bik cảnh báo.
Hồi tháng 2, nhóm nghiên cứu trong đó có Elisabeth Bik còn phát hiện hơn 400 bài viết nghiên cứu với hình ảnh giống nhau đáng ngờ. Số bài viết này có liên quan đến nhiều tác giả ở Trung Quốc.
Giới nghiên cứu và bác sĩ tại Trung Quốc thường làm việc dưới áp lực phải xuất bản được công trình nghiên cứu để thăng tiến hoặc kiếm tiền thưởng. Năm 2019, một đại học y tỉnh Vân Nam treo thưởng đến 42.000 USD cho bài viết được đăng trên tạp chí khoa học có sức ảnh hưởng lớn.
"Đôi khi mục tiêu đánh giá nghiên cứu tại Trung Quốc không nhằm thúc đẩy nghiên cứu mà để phân loại mọi người", Fei Shu, nhà nghiên cứu cấp cao tại Đại học Hàng Châu Điện Tử Khoa kỹ, chia sẻ.
Năm 2017, ông Shu và một số nhà khoa học khác phát hiện các trường tại Trung Quốc treo thưởng từ 30.000-165.000 USD cho những bài viết được đưa vào Web of Sciences. Đây là mục lục dữ liệu các tạp chí có đánh giá ngang hàng.
Theo Shu, việc xuất hiện trong Web of Sciences đã trở thành tiêu chuẩn vàng cho đánh giá sự nghiệp học thuật tại Trung Quốc. Hệ thống này cũng trở thành cơ hội đắt giá cho các "xưởng viết".
Không đuổi kịp các "xưởng viết"
Quảng cáo dịch vụ thuê làm nghiên cứu đã xuất hiện trên nền tảng thương mại điện tử Taobao của tập đoàn Alibaba. Thậm chí, có tài khoản rao bán dịch vụ trọn gói, từ chọn đề tài nghiên cứu đến xuất bản sản phẩm hoàn thiện. Theo truyền thông Trung Quốc, các dịch vụ này có giá dao động từ 4.200-28.000 USD.
Mô hình "xưởng viết" không chỉ bán nghiên cứu cho các nhà khoa học trong ngành y dược. Theo báo cáo vào tháng 6, một số tạp chí thời gian qua còn đăng tải nghiên cứu toán học có đồng tác giả là người Trung Quốc, nhưng thật ra không hề tồn tại. Một số đã bị gỡ bài.
"Trung Quốc là phiên bản cực đoan của 'xuất bản hay diệt vong'... Đó là công thức cho thảm họa", Ivan Oransky, đồng sáng lập tổ chức Retraction Watch, nhận định hệ thống thưởng tiền mặt cũng tồn tại ở nhiều nước nhưng điểm đáng lo ngại ở Trung Quốc là những người không có khả năng nghiên cứu vẫn có cơ hội trục lợi.
Chính phủ Trung Quốc vào tháng 2 có ban hành một số văn bản hướng dẫn, cảnh báo các đại học không lạm dụng tiêu chí liên quan đến đăng tải khoa học, chẳng hạn như số trích dẫn trong nghiên cứu, để đánh giá nhà nghiên cứu.
Thách thức lớn hơn là khắc phục hệ quả từ các bài viết đáng ngờ đã được đăng tải và lan truyền trong cộng đồng khoa học. Quá trình rút bài viết nghiên cứu còn tốn nhiều thời gian hơn giai đoạn kiểm tra trước khi xuất bản. Đôi khi muốn rút bài phải mất nhiều năm. Đó là nếu nhà xuất bản chịu ra tay.
Theo Oransky, số bài viết nghiên cứu phải đính chính hàng năm trên toàn thế giới là khoảng 1.500. So với gần 2 thập kỷ trước, con số này chỉ có 40.
Tuy nhiên, theo Oransky, việc rút bài và đính chính cần quyết liệt hơn nữa. Một báo cáo năm 2018 của Retraction Watch phát hiện tỷ lệ bài bị rút trên toàn cầu đang giảm, trong khi số bài viết khoa học được đăng tải lại tăng vọt.
"Hệ thống hiện nay được thiết kế để xuất bản, không phải để dọn dẹp", Jennifer Byrne, nhà nghiên cứu về ung thư tại Đại học Sydney, nhận định. "Không ai thăng tiến trong trường đại học nhờ đánh giá bài viết của người khác một cách xuất sắc".
VietBF @ Sưu Tầm