HOME-Au
HOME-Au
24h
24h
USA
USA
GOP
GOP
Phim Bộ
Phim Bộ
Videoauto
VIDEO-Au
Home Classic
Home Classic
Donation
Donation
News Book
News Book
News 50
News 50
worldautoscroll
WORLD-Au
Breaking
Breaking
 

Go Back   VietBF > USA NEWS > USA News| Tin Tức Hoa Kỳ


Reply
 
Thread Tools
  #1  
Old  Default Phim chụp chân của bệnh nhân khiến bác sĩ Mỹ sửng sốt
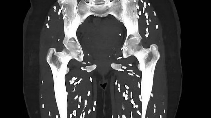
H́nh chụp chân của người bệnh chi chít kư sinh trùng khiến bác sĩ thốt lên “đây là một trong số các bản chụp đáng sợ nhất” mà ông từng thấy.
Ăn thịt chưa nấu chín có thể gây ra những rủi ro nghiêm trọng cho sức khỏe. Mới đây, Tiến sĩ Sam Ghali, bác sĩ cấp cứu tại Đại học Florida Health (Mỹ), đă chia sẻ một trường hợp nhiễm kư sinh trùng nặng sau khi ăn thịt lợn.

Tiến sĩ Ghali đăng h́nh CT chân của người bệnh kèm chú thích: "Đây là một trong những bản chụp đáng sợ nhất mà tôi từng thấy". Phim cho thấy sự hiện diện của bệnh sán dây do Taenia solium (sán dây lợn) gây ra.


Phim chụp chân cho thấy bệnh nhân nhiễm sán dây lợn. Nguồn: Em_resus
“Người bệnh ăn phải nang sán trong thịt lợn nấu chưa chín. Sau vài tuần (khoảng 5-12 tuần), những nang sán đó phát triển trong đường tiêu hóa thành sán dây trưởng thành tiếp tục đẻ trứng. T́nh trạng này được gọi là bệnh sán dây ruột”, Tiến sĩ Ghali giải thích.

Tiến sĩ người Ấn Độ Pranav Honnavara Srinivasan, chuyên gia cao cấp về tiêu hóa, chia sẻ với Indian Express: “Ăn thịt chưa nấu chín có thể khiến mọi người tiếp xúc với nhiều mầm bệnh có hại, bao gồm vi khuẩn, kư sinh trùng và virus dẫn tới các bệnh liên quan tới thực phẩm”.

Các tác nhân gây bệnh trong thịt chưa nấu chín

Salmonella: Đây là một trong những loại vi khuẩn nổi tiếng nhất liên quan đến gia cầm chưa nấu chín, gây ra các triệu chứng như tiêu chảy, sốt, đau bụng và nôn mửa.

E. coli: Một số chủng E. coli được t́m thấy trong thịt ḅ xay chưa nấu chín và có thể gây ra t́nh trạng rối loạn tiêu hóa bao gồm tiêu chảy ra máu, đau bụng và nôn mửa.

Campylobacter: Hay thấy ở gia cầm nấu chưa chín, loại vi khuẩn này dẫn tới tiêu chảy (thường có máu), sốt và đau bụng. Các triệu chứng xuất hiện từ 2 đến 5 ngày sau khi người bệnh ăn thịt và có thể kéo dài tới 1 tuần.

Listeria monocytogenes: Vi khuẩn này có thể dẫn đến viêm màng năo hoặc nhiễm trùng huyết, đặc biệt ở phụ nữ mang thai, trẻ sơ sinh, người già và người suy giảm miễn dịch. Các triệu chứng bao gồm sốt, đau nhức cơ và bất ổn đường tiêu hóa.

Toxoplasma gondii: Kư sinh trùng này thường được t́m thấy trong thịt lợn và thịt cừu nấu chưa chín, gây ra các triệu chứng giống cúm, sưng hạch bạch huyết và đau nhức cơ, biến chứng nghiêm trọng ở phụ nữ mang thai.

Cách bảo quản và chế biến thịt an toàn

“Vi khuẩn sinh sôi nhanh chóng trong khoảng từ 4 đến 60 độ C. Thịt nấu chưa chín hoặc bảo quản không đúng cách trong phạm vi này sẽ trở thành nơi sinh sôi của các tác nhân gây bệnh”, Tiến sĩ Srinivasan cho hay.

Hàm lượng nước cao trong thịt tạo ra môi trường lư tưởng cho vi khuẩn phát triển. Giàu protein và chất béo, thịt cung cấp nhiều chất dinh dưỡng cho vi khuẩn và kư sinh trùng sinh sôi, làm tăng nguy cơ mắc bệnh khi nấu chưa chín. Việc xử lư hoặc bảo quản kém cũng có thể khiến mầm bệnh lây lan từ thịt sống sang các loại thực phẩm, đồ dùng, bề mặt khác.

Bởi vậy, hăy để thịt sống tách biệt với thực phẩm ăn liền như rau củ quả. Thịt sống nên để ở ngăn thấp nhất của tủ lạnh tránh nước thịt nhỏ giọt vào các thực phẩm khác. Thịt nên giữ ở khoang 4 độ C hoặc thấp hơn cho đến khi chuẩn bị nấu.

Sử dụng thớt, đồ dùng và đĩa riêng cho thực phẩm sống và chín để ngăn ngừa sự lây lan của vi khuẩn có hại. Bạn cũng cần rửa tay, thớt, dao và mặt bàn bằng nước xà pḥng nóng sau khi chế biến thịt sống.
VIETBF Diễn Đàn Hay Nhất Của Người Việt Nam

HOT NEWS 24h

HOT 3 Days

NEWS 3 Days

HOT 7 Days

NEWS 7 Days

HOME

Breaking News

VietOversea

World News

Business News

Car News

Computer News

Game News

USA News

Mobile News

Music News

Movies News

History

Thơ Ca

Sport News

Stranger Stories

Comedy Stories

Cooking Chat

Nice Pictures

Fashion

School

Travelling

Funny Videos

Canada Tin Hay

USA Tin Hay

VietBF Homepage Autoscroll

VietBF Video Autoscroll Portal

Home Classic

Home Classic Master Page

VietBF iPad Music Portal

Tin nóng nhất 50h qua

Phim Bộ Online

Phim Bộ



june04
R10 Vô Địch Thiên Hạ
june04's Avatar
Release: 09-08-2024
Reputation: 17571


Profile:
Join Date: Oct 2014
Posts: 69,819
Last Update: None Rating: None
Attached Thumbnails
Click image for larger version

Name:	121.jpg
Views:	0
Size:	44.3 KB
ID:	2423832  
june04_is_offline
Thanks: 4
Thanked 3,340 Times in 2,944 Posts
Mentioned: 0 Post(s)
Tagged: 0 Thread(s)
Quoted: 22 Post(s)
Rep Power: 81
june04 Reputation Uy Tín Level 6
june04 Reputation Uy Tín Level 6june04 Reputation Uy Tín Level 6june04 Reputation Uy Tín Level 6june04 Reputation Uy Tín Level 6june04 Reputation Uy Tín Level 6june04 Reputation Uy Tín Level 6june04 Reputation Uy Tín Level 6june04 Reputation Uy Tín Level 6june04 Reputation Uy Tín Level 6june04 Reputation Uy Tín Level 6june04 Reputation Uy Tín Level 6june04 Reputation Uy Tín Level 6june04 Reputation Uy Tín Level 6june04 Reputation Uy Tín Level 6june04 Reputation Uy Tín Level 6june04 Reputation Uy Tín Level 6june04 Reputation Uy Tín Level 6june04 Reputation Uy Tín Level 6june04 Reputation Uy Tín Level 6june04 Reputation Uy Tín Level 6june04 Reputation Uy Tín Level 6june04 Reputation Uy Tín Level 6
Reply

User Tag List


Thời mafia lộng hành: Donald Trump và Vladimir Putin biến nền ngoại giao cổ điển trở thành chuyện làm ăn Sáu câu hỏi của thế hệ sau chiến tranh: Giải phóng ai, giải phóng khỏi điều ǵ? Báo động ngành nails: 5 người bị bắt, 2 tiệm niêm phong, chủ đối mặt án tù v́ thuê người không giấy tờ
VinFast ở North Carolina đứng trước nguy cơ bị “thu hồi đất vàng”, Vingroup quay xe sang Ấn Độ với canh bạc 3 tỷ USD Bệnh khoe của và cơn nghiện “chứng tỏ ḿnh” của người Việt thời mạng xă hội Khi Nhật Bản đứng trước cám dỗ hạt nhân: Bao lâu nữa Tokyo phải tự vơ trang?
Sài G̣n “chập mạch” dễ thương: thành phố không thiếu tiền, chỉ dư t́nh người Zelensky tuyên bố sẵn sàng bầu cử giữa làn đạn, bác cáo buộc “trốn phiếu” của Trump Lời hứa muộn màng của người lính cũ
Khi doanh nghiệp Mỹ nổi loạn v́ thuế quan Trump muốn học mô h́nh hưu trí “super” của Úc: Bắt buộc tiết kiệm cho tuổi già Từ cô thợ nails tị nạn đến chủ nhân căn nhà đắt nhất Atlanta
Thuế mới, phố vắng, chợ buồn: Nếu tiểu thương gục ngă, ai bán hàng cho 100 triệu dân? K+ khép lại sau 16 năm: Đế chế bóng đá trả tiền tàn cuộc chơi Người Vợ Lực Lượng Đặc Biệt – Hồi ức về Thiếu Tá Hồ Đăng Nhựt trong mùa Quốc Nạn
Viên tướng nhỏ thó gánh oan khiên Mậu Thân John Riordan – người Mỹ quay lại Sài G̣n để cứu 105 người Việt Evergrande: Từ đế chế số 1 đến quả bom nợ – Bài học nào cho Việt Nam?
Campuchia: Từ Thiên Đường Angkor Đến “Công Xưởng Tội Phạm” Của Mafia Trung Quốc Cuộc Xâm Lược Cuối Cùng Của Trung Quốc Và Trang Sử Bị Xóa Khỏi Kư Ức Việt Nam V́ Sao Số Nhà Ở Mỹ “Nhảy Cóc”? Giải Mă Từ House Number Đến ZIP Code
David Thái, Highlands Coffee Và Những Hành Tŕnh “Đi Rồi Trở Về” Của Thuyền Nhân Việt V́ Sao Quân Đội Trung Quốc Không Đảo Chính? “Đảng Chỉ Huy Quân Đội” Và Nỗi Sợ Được Thể Chế Hóa Tâm Lư Vọng Ngoại Và Căn Bệnh “Bụt Nhà Không Thiêng”
Từ Giọt Nước Mắt Của Mẹ Đến Đế Chế Zara: Hành Tŕnh Của Amancio Ortega “Tâm Hồn Nga” Và Cơn Say Đế Quốc: Từ Crimea Đến Putin “Bên kia vĩ tuyến” và lời tự thú của một Bắc Kỳ 1985
Hiệu ứng Elon Musk: Khi một CEO “tham chính” làm Tesla mất hơn một triệu chiếc xe Điện thoại – phát minh bắt đầu từ một lời gọi yêu thương Thứ trưởng Cao Hùng và nỗi buồn ḥa hợp dân tộc: Không thể không nói
Mười phát minh vĩ đại của người Hồi giáo đă âm thầm làm nên thế giới hiện đại Bẻ găy “chiến dịch” báng bổ tiền nhân: Lịch sử Việt Nam giữa hai cách kể Từ “janitor da đen” đến người cứu sống vạn “em bé xanh”
Cơn mê “phục sinh Liên Xô”: Hoang tưởng đế quốc trong kỷ nguyên mạng xă hội Trung Quốc có c̣n xă hội chủ nghĩa không – hay chỉ là tư bản thân hữu khoác áo đỏ? Kỷ nguyên Tô Lâm: Thiên tai, tham nhũng và những vết nứt dẫn tới sụp đổ

 
Lên đầu Xuống dưới Lên 3000px Xuống 3000px

iPad Videos Portal Autoscroll

VietBF Music Portal Autoscroll

iPad News Portal Autoscroll

VietBF Homepage Autoscroll

VietBF Video Autoscroll Portal

USA News Autoscroll Portall

VietBF WORLD Autoscroll Portal

Home Classic

Super Widescreen

iPad World Portal Autoscroll

iPad USA Portal Autoscroll

Phim Bộ Online

Tin nóng nhất 24h qua

Tin nóng nhất 3 ngày qua

Tin nóng nhất 7 ngày qua

Tin nóng nhất 30 ngày qua

Albums

Total Videos Online
Lên đầu Xuống dưới Lên 3000px Xuống 3000px

Tranh luận sôi nổi nhất 7 ngày qua

Tranh luận sôi nổi nhất 14 ngày qua

Tranh luận sôi nổi nhất 30 ngày qua

10.000 Tin mới nhất

Tin tức Hoa Kỳ

Tin tức Công nghệ
Lên đầu Xuống dưới Lên 3000px Xuống 3000px

Super News

School Cooking Traveling Portal

Enter Portal

Series Shows and Movies Online

Home Classic Master Page

Donation Ủng hộ $3 cho VietBF
Lên đầu Xuống dưới Lên 3000px Xuống 3000px
Diễn Đàn Người Việt Hải Ngoại. Tự do ngôn luận, an toàn và uy tín. V́ một tương lai tươi đẹp cho các thế hệ Việt Nam hăy ghé thăm chúng tôi, hăy tâm sự với chúng tôi mỗi ngày, mỗi giờ và mỗi giây phút có thể. VietBF.Com Xin cám ơn các bạn, chúc tất cả các bạn vui vẻ và gặp nhiều may mắn.
Welcome to Vietnamese American Community, Vietnamese European, Canadian, Australian Forum, Vietnamese Overseas Forum. Freedom of speech, safety and prestige. For a beautiful future for Vietnamese generations, please visit us, talk to us every day, every hour and every moment possible. VietBF.Com Thank you all and good luck.

Lên đầu Xuống dưới Lên 3000px Xuống 3000px

All times are GMT. The time now is 08:01.
VietBF - Vietnamese Best Forum Copyright ©2005 - 2025
User Alert System provided by Advanced User Tagging (Pro) - vBulletin Mods & Addons Copyright © 2025 DragonByte Technologies Ltd.
Log Out Unregistered

Page generated in 0.11661 seconds with 15 queries