Tạp chí y khoa of The New England Journal Medicine (Mỹ) đă công bố nghiên cứu của các nhà giải phẫu bệnh học và bệnh phổi ở Đức (Wuppertal, Mainz, Hanover), Bỉ (Louvain), Thụy Sĩ (Bâle) và Mỹ (Đại học Y khoa Harvard).
Các mạch máu phổi đă giữ vai tṛ quan trọng trong quá tŕnh nhiễm virus SARS-CoV-2. Nghiên cứu quan trọng này sẽ góp phần thúc đẩy phát triển thuốc điều trị COVID-19.

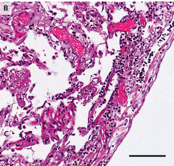
Số cục máu đông nhỏ trong mao mạch phế nang bệnh nhân COVID-19 nhiều gấp 9 lần hơn so với bệnh nhân cúm H1N1 - Ảnh: NEJM
So sánh phổi của tử thi
Các nhà nghiên cứu đă so sánh 7 lá phổi lấy từ thi thể các bệnh nhân nhiễm COVID-19 với 7 lá phổi các bệnh nhân tử vong năm 2009 do viêm phổi do virus cúm H1N1 và 10 lá phổi khỏe mạnh không mắc bệnh dùng làm mẫu đối chứng.
Nhiều kỹ thuật tiến tiến được áp dụng để phân tích phổi như hóa mô miễn dịch (kết hợp hóa chất với phản ứng miễn dịch để t́m tế bào bệnh trong mô bệnh phẩm), kính hiển vi điện tử quét, dựng bản sao mạng lưới mạch máu.
Kết quả quan sát cho thấy tất cả lá phổi của các bệnh nhân COVID-19 và cúm H1N1 đều có dấu hiệu bị tổn thương lan tỏa ở phế nang, nhất là hiện tượng hoại tử của các tế bào nhỏ quanh phế nang và các sợi fibrin trong khoang phế nang.
Ngoài ra, các tế bào lympho T CD4+ cạnh các mạch máu phổi cũng bị viêm nhiễm ở hai nhóm bệnh nhân trên với số lượng nhiều hơn trong nhóm bệnh nhân COVID-19.

Phổi các bệnh nhân COVID-19 và cúm H1N1 đều bị tổn thương lan tỏa ở phế nang - Ảnh: AFP
Hiện tượng h́nh thành mạch máu
Kiểm tra cấu trúc các vi mạch phổi, các nhà nghiên cứu nhận thấy mạng lưới mạch máu đă bị biến dạng với các mao mạch bị vặn vẹo.
Trong phổi bệnh nhân COVID-19, các mao mạch đă thay đổi đột ngột về kích thước.
Đặc biệt các nhà nghiên cứu nhận thấy nhiều mạch máu mới h́nh thành. Hiện tượng này được gọi là hiện tượng h́nh thành mạch.
Thông thường hiện tượng h́nh thành mạch xuất hiện khi các tế bào nội mô sinh sôi từ phía đầu và vách các mạch máu có sẵn rồi di chuyển và tập hợp thành các cấu trúc h́nh ống kết nối với các mạch lân cận.
Song trong phổi các bệnh nhân COVID-19, các nhà nghiên cứu nhận thấy hiện tượng tạo mạch h́nh thành theo mô h́nh thứ hai. Đó là h́nh thành mạch bằng cách sắp xếp lại cấu trúc mạch máu có sẵn.
Các nhà nghiên cứu nhận thấy mức độ h́nh thành mạch máu gia tăng đáng kể phù hợp với thời gian nằm viện ở bệnh nhân COVID-19.
Ngược lại, trong phổi các bệnh nhân cúm H1N1, hiện tượng h́nh thành mạch xảy ra với mức độ không đáng kể và không tăng dần theo thời gian nằm viện.

Tế bào lympho của bệnh nhân tử vong do COVID-19 bị viêm nhiễm - Ảnh: NEJM
Tổn thương tế bào nội mô
Một nhận xét khác là đối với bệnh nhân nhiễm COVID-19, các tế bào lót bên trong nội mạc các mạch máu và tiếp xúc trực tiếp với máu đă bị tổn thương nghiêm trọng.
Các nhà nghiên cứu quan sát thấy trong nhóm bệnh nhân COVID-19 có số lượng lớn tế bào mang thụ thể ACE2 trên bề mặt (đóng vai tṛ cửa ngơ xâm nhập của virus SARS-CoV-2) nhiều hơn so với bệnh nhân cúm H1N1.
Tương tự như vậy, các tế bào nội mô trong bệnh nhân COVID-19 không c̣n kết dính chặt với nhau bằng các mối nối.
Chúng gia tăng khối lượng và mất tiếp xúc với màng nền mà thông thường chúng bám lấy.
Ngoài ra, các nhà nghiên cứu c̣n quan sát thấy virus SARS-CoV-2 bên trong các tế bào nội mô phổi cũng như trong không gian ngoại bào.
Kết quả quan sát này trùng hợp với nghiên cứu của các nhà khoa học Thụy Sĩ công bố vào cuối tháng 4-2020.
Nghiên cứu cho thấy virus hiện diện trong các tế bào nội mô trong thận và ruột non.
Như vậy các tế bào nội mô phổi bị tổn thương có thể là hậu quả do tác động trực tiếp từ virus SARS-CoV-2 và các tế bào bị viêm trong mạch máu.
Phát hiện này chứng tỏ vai tṛ trung tâm của các tế bào nội mô đối với bệnh COVID-19.

Tế bào nội mô bị tổn thương với virus SARS-CoV-2 hiện diện trên màng tế bào (mũi tên) - Ảnh: NEJM
Các cục máu đông trong mao mạch phế nang
Trong phổi của hai nhóm bệnh nhân COVID-19 và bệnh nhân cúm H1N1 có các cục máu đông nhỏ trong động mạch phổi (đường kính từ 1-2 mm) nhưng không làm nghẽn mạch hoàn toàn.
Các nhà nghiên cứu quan sát thấy số cục máu đông nhỏ trong mao mạch phế nang của bệnh nhân COVID19 gấp 9 lần hơn so với bệnh nhân cúm H1N1.
Các cục máu đông nhỏ cũng được t́m thấy trong các tĩnh mạch con sau mao mạch có đường kính dưới 1mm.
Cuối cùng, các nhà nghiên cứu đă phân tích 323 gen liên quan đến hiện tượng h́nh thành mạch. Kết quả cho thấy chỉ có 69 gen biểu hiện trong mô phổi bệnh nhân COVID-19.
Công tŕnh nghiên cứu nêu trên nhấn mạnh đến tầm quan trọng của công tác khám nghiệm tử thi để mô tả chính xác và phân tích sâu hơn về các tổn thương liên quan đến COVID-19.
Nghiên cứu đă làm rơ hơn tổn thương gây viêm của các tế bào nội mô phổi và vai tṛ của các tế bào này trong quá tŕnh h́nh thành huyết khối và h́nh thành mạch máu mới.
Nghiên cứu liên quan các tế bào nội mô có thể thúc đẩy phát triển chiến lược điều trị COVID-19.
VietBF@sưu tập