HOME-Au
HOME-Au
24h
24h
USA
USA
GOP
GOP
Phim Bộ
Phim Bộ
Videoauto
VIDEO-Au
Donation
Donation
News Book
News Book
News 50
News 50
worldautoscroll
WORLD-Au
Breaking
Breaking
 

Go Back   VietBF > Other > School | Kiến thức > School | Kiến thức 2006-2019


 
Thread Tools
 
 
  #1  
Old  Default Nguyên nhân gây nên răng ố vàng
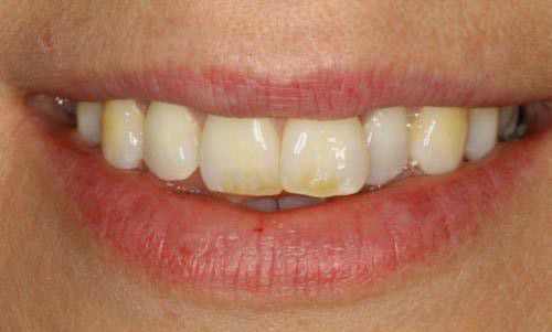
VBF-Nhiều nguyên nhân gây nên răng bạn bị ố vàng. Đặc biệt nếu bạn hút thuốc, uống rượu, uống trà, cà phê. Ngoài ra cũng có thể do gien di truyền hoặc thói quen xấu.

Nếu bạn để ý, bạn sẽ nhận thấy những người mẫu và người nổi tiếng thường có hàm răng trắng đẹp. Trong khi đó, hầu hết răng chúng ta lại có màu ngả vàng.



Tuy vậy, chúng ta không cần ngạc nhiên hay lo ngại về vấn đề này. Có rất nhiều yếu tố khác nhau có thể ảnh hưởng đến màu răng của bạn và khiến chúng ngả màu vàng xỉn không đẹp mắt.

Theo Live Science, các nguyên nhân khiến răng con người chúng ta bị vàng đi được chia thành hai loại chính: Nguyên nhân từ mảng bám bên ngoài và từ mảng bám bên trong. Ngoài ra, màu vàng của răng cũng có thể bị gây ra do tình trạng sức khỏe của bạn.

Các mảng bám bên ngoài

Nếu để ý kỹ, bạn sẽ dễ dàng tìm thấy các mảng bám bên ngoài ngay trên bề mặt của men răng. Nó chính là lớp ngoài cùng cứng ở bề mặt răng của bạn. Mặc dù theo Mayo Clinic, men răng thậm chí còn cứng hơn xương, nó vẫn có thể dễ dàng bị nhuộm vàng bởi các mảng bám bên ngoài.

"Nguyên nhân đầu tiên gây ra vàng răng chính là lối sống" – theo chia sẻ từ tiến sỹ Philipp của phòng khám nha khoa J. Philipp tại Chandler, Arizona. Ông cho biết thêm "Trong đó hút thuốc lá, uống nhiều trà và cà phê, nhai thuốc lá, … là những thói quen tồi tệ nhất".

Các thực phẩm và đồ uống tối màu, bao gồm rượu vang đỏ, cola, nước sốt đậm đặc và một số loại trái cây như nho, việt quất và lựu cũng có thể khiến răng chúng ta bị vàng đi. Những thực phẩm, đồ uống và trái cây nêu trên có hàm lượng chromogen và sắc tố cao, dễ dàng bám vào men răng chúng ta và nhuộm vàng men răng.

Các thực phẩm và đồ uống có tính axit cũng góp phần làm cho vấn đề vàng răng trở nên trầm trọng hơn bằng cách làm mòn men răng, tạo điều kiện cho chromogen bám vào răng. Tannin, một hợp chất được tìm thấy trong rượu và trà, cũng rất tích cực trong việc giúp chromogen bám vào men răng của bạn.



Các vết bẩn bên trong

Các vết bẩn này nằm bên trong răng, hình thành do các yếu tố làm thay đổi các thành phần ánh sáng truyền đến men răng và ngà răng bên dưới.

Việc dùng thuốc có thể gây ra các vết bẩn bên trong này. Nếu trẻ em uống thuốc kháng sinh tetracycline và doxycycline khi răng của chúng vẫn đang trong quá trình phát triển (trước 8 tuổi), thì hàm răng của trẻ có thể sẽ ngả sang màu vàng nâu. Đối với người lớn, việc sử dụng nước súc miệng có chứa chlorhexidine có thể biến đổi màu của răng. Cũng như vậy, việc dùng thuốc minocycline – thuốc kháng sinh bán tổng hợp nhóm tetracyclin – cũng khiến răng bạn bị ố vàng. Trị liệu hóa chất vùng đầu và cổ và các thuốc được chỉ định cho hóa trị liệu cũng tạo ra các vết bẩn bên trong. Ngay cả các thuốc thông dụng như thuốc kháng sinh histamine, Albuterol và các thuốc huyết áp đôi khi cũng có thể gây ra vấn đề vàng răng.

Flourua cũng là một yếu tố gây ra vàng răng. Nhiễm quá nhiều Flourua không tốt cho răng của bạn. Vàng răng do nhiễm Flourua thường có ở các khu vực con người sử dụng nguồn nước uống có chứa hàm lượng flourua cao, điển hình là nước giếng.

Bạn cũng có thể bị vàng răng do các phương pháp chỉnh nha, điều trị nha khoa. Tiến sĩ Bruno Sharp của Nha khoa Sharp tại Miami, Florida cho biết "Nhiều loại vật liệu, thiết bị nha khoa có thể khiển răng bạn đổi màu, đặc biệt là chất phục hồi hỗn hợp (chất hàn bạc)".

Các nguyên nhân khác

Ngoài các nguyên nhân chính do vết bẩn và mảng bám, thì tuổi tác và sức khỏe cũng là những nguyên nhân khiến răng bạn bị ố vàng.

Theo tiến sĩ Edita Outericka, giám đốc nha khoa của Dynamic Dental – một trung tâm nha khoa thực hành hiện đại tại ở Mansfield, Massachusetts: "Nguyên nhân đầu tiên cần kể đến là do di truyền. Dentinogenesis Imperfecta và Amelogenesis Imperfecta là hai khiếm khuyết di truyền khiến răng phát triển không bình thường gây ra việc đổi màu răng".

Cũng giống như màu da và màu mắt của bạn, có thể ngay từ khi sinh ra, răng của bạn đã hơi hướng có màu vàng hơn (hoặc trắng hơn) những người khác rồi. Điều này một phần phụ thuộc vào độ dày men răng của bạn. Lớp men răng càng mỏng, càng lộ rõ ngà răng vàng bên trong.

Tương tự vậy, men răng sẽ mòn dần khi bạn già đi, khiến răng bạn ngả màu ố vàng. Điều này cũng sẽ gây ra một số bệnh về răng. Theo Mayo Clinic, cách tốt nhất để hạn chế việc bào mòn men răng là vệ sinh răng miệng thật tốt. Bạn nên đánh răng hai lần một ngày với loại kem đánh răng chứa lượng flourua vừa phải, uống nước đã được xử lý flourua và gặp bác sỹ nếu bạn cảm thấy khô miệng để ngăn chặn việc men răng bị bào mòn gây ra vàng răng.



Sức khỏe không tốt có thể là một yếu tố lớn khiến răng bị vàng. Răng bạn có thể bị nhuốm vàng sau một trận ốm nặng khi bạn còn trẻ tuổi. Theo Outericka, bệnh vàng da nặng ở trẻ sơ sinh có khả năng là một nguyên nhân gây ra vàng răng. Bệnh Thiếu Máu do có Hồng Huyết Cầu Lưỡi Liềm cũng có thể làm răng bạn ngả vàng, gây ra các bệnh và tình trạng bất thường của răng.

Biện pháp ngăn ngừa và điều trị

Cách tốt nhất để ngăn ngừa chứng vàng răng là kiểm soát cách ăn uống của bản thân. Bạn cũng nên thực hiện vệ sinh răng miệng tốt và đi kiểm tra răng thường xuyên. Vàng răng do vệ sinh răng miệng kém có thể được cải thiện khá dễ dàng. Mảng bám ngoài bề mặt răng khiến răng bạn xuất hiện màu vàng không đẹp mắt. Loại bỏ những mảng bám đó sẽ giúp bạn có nụ cười tươi tắn và trắng sáng hơn.

Cũng theo Outericka: "Tốt hơn hết bạn nên để các chuyên gia nha khoa vệ sinh răng cho bạn. Họ sẽ giúp bạn loại bỏ tối đa các vết bẩn ở răng. Ngoài ra, bạn nên uống thuốc bằng ống hút để giảm thiểu các chất vàng răng bám trên bề mặt răng. Nếu bạn không hài lòng với màu răng của mình, hãy tham khảo lời khuyên của nha sỹ. Có rất nhiều phương pháp điều trị sẽ giúp bạn có một nụ cười trắng sáng như ý!"
Dịch trang: EnglishEnglish DeutschDeutsch FrançaisFrançais EspañolEspañol ItalianoItaliano PortuguêsPortuguês
NorskNorsk NederlandsNederlands DanskDansk SuomiSuomi PolskiPolski ČeštinaČeština РусскийРусский
日本語日本語 한국어한국어 中文(简体)中文(简体) 中文(繁體)中文(繁體) MagyarMagyar TürkçeTürkçe
العربيةالعربية ไทยไทย LatinaLatina हिन्दीहिन्दी Bahasa IndonesiaBahasa Indonesia Bahasa MelayuBahasa Melayu
VIETBF Hybrid Community Content Hub

HOT NEWS 24h

HOT 3 Days

NEWS 3 Days

HOT 7 Days

NEWS 7 Days

HOME

Breaking News

VietOversea

World News

Business News

Car News

Computer News

Game News

USA News

Mobile News

Music News

Movies News

History

Thơ Ca

Sport News

Stranger Stories

Comedy Stories

Cooking Chat

Nice Pictures

Fashion

School

Travelling

Funny Videos

Canada Tin Hay

USA Tin Hay

VietBF Homepage Autoscroll

VietBF Video Autoscroll Portal

Video Classic Master

iPad News Portal

VietBF iPad Music Portal

Tin nóng nhất 50h qua

Phim Bộ Online

Phim Bộ



Hanna
R10 Vô Địch Thiên Hạ
Release: 02-08-2017
Reputation: 58282


Profile:
Join Date: Dec 2006
Posts: 88,250
Last Update: None Rating: None
Attached Thumbnails
Click image for larger version

Name:	3.jpg
Views:	0
Size:	53.2 KB
ID:	994377   Click image for larger version

Name:	1.jpg
Views:	0
Size:	21.8 KB
ID:	994378   Click image for larger version

Name:	2.jpg
Views:	0
Size:	37.1 KB
ID:	994379  

Hanna_is_offline
Thanks: 11
Thanked 3,751 Times in 3,090 Posts
Mentioned: 5 Post(s)
Tagged: 0 Thread(s)
Quoted: 8 Post(s)
Rep Power: 110
Hanna Reputation Uy Tín Level 8
Hanna Reputation Uy Tín Level 8Hanna Reputation Uy Tín Level 8Hanna Reputation Uy Tín Level 8Hanna Reputation Uy Tín Level 8Hanna Reputation Uy Tín Level 8Hanna Reputation Uy Tín Level 8Hanna Reputation Uy Tín Level 8Hanna Reputation Uy Tín Level 8Hanna Reputation Uy Tín Level 8Hanna Reputation Uy Tín Level 8Hanna Reputation Uy Tín Level 8Hanna Reputation Uy Tín Level 8Hanna Reputation Uy Tín Level 8Hanna Reputation Uy Tín Level 8Hanna Reputation Uy Tín Level 8Hanna Reputation Uy Tín Level 8Hanna Reputation Uy Tín Level 8Hanna Reputation Uy Tín Level 8Hanna Reputation Uy Tín Level 8Hanna Reputation Uy Tín Level 8Hanna Reputation Uy Tín Level 8Hanna Reputation Uy Tín Level 8Hanna Reputation Uy Tín Level 8
Dịch trang: EnglishEnglish DeutschDeutsch FrançaisFrançais EspañolEspañol ItalianoItaliano PortuguêsPortuguês
NorskNorsk NederlandsNederlands DanskDansk SuomiSuomi PolskiPolski ČeštinaČeština РусскийРусский
日本語日本語 한국어한국어 中文(简体)中文(简体) 中文(繁體)中文(繁體) MagyarMagyar TürkçeTürkçe
العربيةالعربية ไทยไทย LatinaLatina हिन्दीहिन्दी Bahasa IndonesiaBahasa Indonesia Bahasa MelayuBahasa Melayu
 
User Tag List


Nguyên nhân tàu dầu Nga lại đến được Cuba? Vì Sao Mỹ – Israel lại không giết tổng thống và bộ trưởng ngoại giao Iran? Trump Và Canh Bạc NATO: Khi Đồng Minh Trở Thành Gánh Nặng Và Luật Pháp Thành Rào Cản
Lại thêm một người đẹp "mê hồn" sắp bị ông Trump sa thải? (hoặc bị chuyển qua vị trí khác) Nhất Thống Giang Hồ, Phá đảo thành công, ông Trump sẽ lên ngôi Bá Chủ Trung Đông Pete Hegseth và chiến tranh Iran: Từ người dẫn chương trình truyền hình đến ‘bộ mặt’ của Lầu Năm Góc
Sandro Castro – cháu nội của cố lãnh tụ Fidel Castro - ‘Thái tử ăn chơi’ của Cuba và tấm gương phản chiếu cơn khủng hoảng của đảo quốc Thế cờ eo biển Hormuz: Ông Trump mạnh hơn Iran, nhưng chưa chắc đã nắm phần thắng “Làn Sóng ‘Plan B’: Người Mỹ Đổ Xô Tìm Quốc Tịch Canada Giữa Biến Động Chính Trị”
Vàng lên cơn sốt: Vì sao thế giới lại ôm vàng, tích vàng và đẩy giá vàng bay cao? Người Ả Rập tại Mỹ: một cộng đồng đông đảo, âm thầm nhưng có ảnh hưởng ngày càng lớn Giáo Chủ Thần Quyền Y Lãng Mục Kiệt Tháp Ba (Mojtaba Khamenei) là ai?
Iran tuyên bố leo thang chiến tranh, Mỹ tuyên bố đã tấn công hơn 5.000 mục tiêu tại Iran, Khủng hoảng dầu mỏ lớn nhất trong lịch sử Những nghề nguy hiểm nhất thế giới: miếng cơm nào cũng có cái giá của nó Nga lập tức chống lưng Mojtaba, Iran tuyên bố không đàm phán, Starmer giữ khoảng cách với Trump
Chiều cao của các nguyên thủ quốc gia: Có người cao tới 1m90, nhưng cũng có người chỉ vỏn vẹn 1m37 Iran đổi ngôi giữa khói lửa: Mojtaba Khamenei lên nắm quyền, chiến tranh lan khắp Vùng Vịnh, dầu vượt 111 USD/thùng Giá xăng tại các tiểu bang Mỹ: vì sao cùng một nước mà nơi rẻ bất ngờ, nơi lại đắt đỏ đến chóng mặt?
“Dạy AI làm bác sĩ”: Nghề mới hái ra tiền, nỗi lo mất việc và cuộc đua không phanh của kỷ nguyên chatbot “Kung-fu robot” lên sóng Gala Xuân: Khi Trung Quốc gửi lời nhắn công nghệ vượt Thái Bình Dương Tô Lâm sang Washington: Hòa bình Gaza, ngoại giao Việt–Mỹ và những điều nói – không nói
Cuba trong bóng tối: Khi “thiên đường cách mạng” cạn dầu, cạn niềm tin Hòa bình “rất rất tốt”, Trump muốn chốt “deal”, Putin muốn viết lại lịch sử: Vì sao đàm phán cứ giậm chân? “Quốc mẫu” và bi kịch ngôn từ của một nền sùng bái cá nhân
Khi phẩm giá phụ nữ va vào “thể diện quyền lực”: Hai scandal, hai cách hành xử “30 phút tới Long Thành”: khi khẩu hiệu chạy nhanh hơn con đường Hai bức tranh về chuyến đi Mỹ của Tô Lâm: báo trong nước nói “vị thế”, báo quốc tế nói “giải cứu”
Những chuyện hài hước nhất hôm nay 2/2/2026 Bán 49% công ty crypto cho hoàng gia UAE trước ngày nhậm chức: World Liberty Financial và làn sóng nghi vấn xung đột lợi ích Úc ‘tỉnh mộng’ Darwin: Hợp đồng 99 năm với Trung Quốc và cái giá của một phút ngây thơ
Thái Lan tấn công Chong Chom, phát hiện nhiều ổ lừa đảo của Việt Cộng thành lập tại Campuchia Paris Q13 tưởng niệm Thảm sát Tết Mậu Thân 1968: Đừng quên, để tội ác không thể lặp lại 561 hồ sơ bị ICE bắt – Khi “Worst of the Worst” gọi tên: Người Việt trong danh sách ICE và cái giá của một đời trượt dài
Đồng hồ Ngày Tận Thế tiến sát “nửa đêm”: chỉ còn 85 giây cho nhân loại Dân Chủ “xếp lại” lịch 2028 giữa cơn bão thời Trump: Ai sẽ đi trước trong 2028? DNC mở “hộp đen” lịch bầu cử, còn 2026 đã nóng rực Chicago “đặt ICE vào tầm ngắm”: Khi các thành phố nổi dậy sau những phát súng ở Minneapolis
Trump lại nghi ngờ NATO: “Họ có ở đó cho Mỹ không?” – Afghanistan thành điểm nổ mới Cà chớn đúng lúc, may mắn đúng chỗ: chuyện đậu visa nhờ một phút bực mình “Em không lấy chồng Mỹ” Chốt deal TikTok tại Mỹ: Oracle–Silver Lake–MGX nắm 50%, ByteDance giữ 19,9%
Zelensky ở Davos: Châu Âu “đang ở chế độ Greenland”, còn công lý và chiến tranh thì bị bỏ quên Cuộc gọi xuyên đại dương “Xin hãy tới ngay!”: Barron Trump gọi cảnh sát London giữa phiên tòa bạo hành gây chấn động Trump kiện JPMorgan 5 tỷ USD: “đóng tài khoản vì chính trị” hay vì rủi ro pháp lý?
Texas sắp “thi lại” bài kiểm tra mùa đông: ERCOT trấn an, Abbott ban bố thảm họa Lương Cường và Phạm Minh Chính chính thức "về hưu" 5 “ông lớn” bảo hiểm y tế Mỹ ra điều trần: Quốc hội truy giá, dân gánh phí tăng vọt
Iran chìm trong biển máu: Trump hủy đàm phán, nói “cứ xuống đường – cứu trợ đang tới” Robotaxi Tesla: lời hứa bay cao, thực tế “đi chậm” — cổ phiếu lập đỉnh trong khi xe điện hụt hơi Kyiv chìm trong băng giá và bóng tối: Nga tung hơn 300 drone, đánh vào điện – sưởi giữa lúc -10°C
Nước Pháp 2025: lần đầu “chết nhiều hơn sinh” từ sau Thế chiến II, trong lúc Marine Le Pen bước vào phiên tòa sinh tử Trump nhắm Greenland vì “đất hiếm”: nhưng giấc mơ mỏ khoáng ở Bắc Cực bị chê như… đào vàng trên Mặt Trăng Ba lực kéo hội tụ khiến chế độ độc tài Iran lung lay
Bí ẩn “Havana Syndrome” nóng trở lại: Mỹ âm thầm mua thiết bị “sóng radio xung”, giá tới hàng chục triệu USD Hộ chiếu quyền lực nhất thế giới 2026: Singapore số 1, Mỹ tụt dốc, UAE bứt phá ngoạn mục Cuộc chiến Trump – Powell leo thang: trát đòi DOJ, video 2 phút làm rung chuyển “độc lập Fed”
Minnesota bật lại sau vụ ICE bắn chết phụ nữ 37 tuổi Mỹ tóm 2 tàu chở dầu - Rượt đuổi “tàu ma” : Anh tiếp sức, Mỹ ập lên tàu treo cờ Nga giữa Bắc Đại Tây Dương Con trai Maduro lên tiếng, Mỹ giữ quyền bán dầu Venezuela: Bắc Kinh tố “bắt nạt”
Mỹ mở chiến dịch “tóm” tàu dầu bóng ma liên quan Venezuela mang cờ Nga Bắc Cực dậy sóng: Mỹ chuẩn bị chiếm đóng Greenland Sau Venezuela, Trump hướng mũi nhọn sang Greenland: NATO rạn nứt vì lời đe dọa “an ninh quốc gia”
Từ cung điện Miraflores đến “nhà kho” MDC Brooklyn: Maduro bước vào chiếc lồng sắt nước Mỹ Cược Maduro bị bắt “trúng đậm” 400.000 USD trên Polymarket: May mắn phi thường, hay mùi… tin mật? Trump dọa GOP: Thua bầu cử giữa kỳ là tôi sẽ bị luận tội!
New York có thị trưởng Hồi giáo đầu tiên: Mamdani nhậm chức giữa biển người, Bernie Sanders tuyên thệ và tiếng hô “tax the rich!” Cuộc rượt đuổi lạnh gáy: Tàu dầu rỉ sét vẽ “cờ Nga” lên mạn tàu bị nghi chở dầu Iran tìm cách thoát lệnh tịch thu của Mỹ Chánh án Roberts nhắc người Mỹ: Tòa án phải độc lập, Hiến pháp là “điểm tựa” giữa bão đảng phái
Đêm Giao Thừa ở Mar-a-Lago: Trump xem vẽ “tóc họa” Chúa Jesus rồi đấu giá 2,75 triệu đô Bảy ngày chờ phép màu sau Giáng Sinh: thiếu nữ 19 tuổi ở Texas được tìm thấy đã qua đời, gia đình xin “hãy tôn trọng nỗi đau” Nhà Trắng đổi thái độ sau đánh giá của CIA về vụ drone ở Valdai
Từ ép sinh ít đến khuyến sinh nhiều: Trung Quốc loay hoay cứu tỷ lệ sinh giữa bão chi phí và thất vọng tuổi trẻ Washington sau một năm Trump trở lại: bộ máy liên bang bị đảo lộn như một công trường phá dỡ Obamacare đã hết hạn: Hàng triệu người Mỹ bước vào 2026 với cú sốc tiền bảo hiểm
Opera, Proton VPN, SetupVPN ... cung cấp VPN miễn phí để người trong nước vượt tường lửa Một ngày làm khách ở Sài Gòn: Taxi công nghệ đưa bạn đi từ bất ngờ này sang… bực bội khác Nhà thờ cũng phải “ra thông báo”: Để quên ví coi chừng… thành phép màu cho người khác!
Thứ trưởng Hải quân Hung Cao và lễ tốt nghiệp khiến cả khán phòng nghẹn lại Trump ra mắt “Trump Class”: Hạm đội Vàng, soái hạm Kiêu Hùng khổng lồ nhất thế giới và tham vọng áp đảo đại dương Trump “đạp phanh” điện gió ngoài khơi: hàng tỷ đô la đứng hình, giá điện có nguy cơ leo thang
Ông Trump sẽ đưa 200 vạn quân tinh nhuệ đánh Đan Mạch, chiếm Greenland? Hải quan xem phim XXX khi làm việc, thảo nào nhập cảnh-xuất cảnh ở Việt Nam chậm như rùa bò Ngày đồng hương nói “đủ rồi”: Cộng Đồng NSW tái ổn định sau nhiều năm chia rẽ
Cuộc đua gom vàng của ngân hàng trung ương và ‘khối cầu’ 47.000 tỉ USD Đằng sau nội các Trump: Những người vợ kể chuyện “đội ngũ lớn” trong Tòa Bạch Ốc Kim Jong Un ôm lính thương tật, tung hô ‘anh hùng’ Bắc Hàn trở về từ chiến trường Kursk
Con trai của nhà hoạt động cộng đồng, nữ MC Mã Tiểu Linh qua đời “Lời chúc bất hạnh” của Chánh án John Roberts: Bài học trưởng thành không ai dạy chúng ta ở trường Đừng biến ICE thành “con ngáo ộp”: Hiểu luật để bớt sợ và biết tự bảo vệ mình
Westminster dậy sóng vì con đường “Charlie Kirk Way”: Dân phản đối, hội đồng vẫn phớt lờ Thăm nước Mỹ thời Trump: Từ dĩa cơm tấm Cali đến bi kịch Melissa Trần Vua Charles III và hành trình ung thư: Khi nhà vua nói về nỗi sợ, hy vọng và “phép màu” phát hiện sớm
Bi kịch quán bún ốc Trần Hưng Đạo: 3 mẹ con chết ngạt sau cửa cuốn khóa kín ‘America Alone’ – Khi Trump vẽ lại trật tự thế giới theo cách của mình Cuộc chơi liều lĩnh của Trump với Tu chính án 14 và quyền có quốc tịch khi chào đời
LeBron James: Chấp nhận đánh mất kỷ lục 1.297 trận chỉ để làm một đường chuyền đúng Ciel Tower – khách sạn cao nhất thế giới Chiếc nhẫn cưới ‘mất tích’ và nghi ngờ Phó Tổng Thống Mỹ bỏ cô vợ Ấn Độ
Karoline Leavitt: Từ ‘thánh cô nói láo’ đến biểu tượng của Trump 2.0 Bong bóng AI, khí hậu nổi giận và năm 2026 Khi Vingroup phải vay trái phiếu lãi 12%: Phao cứu sinh hay bước đi liều mạng?

 
Lên đầu Xuống dưới Lên 3000px Xuống 3000px

iPad Videos Portal Autoscroll

VietBF Music Portal Autoscroll

iPad News Portal Autoscroll

VietBF Homepage Autoscroll

VietBF Video Autoscroll Portal

USA News Autoscroll Portall

VietBF WORLD Autoscroll Portal

Home Classic

Super Widescreen

iPad World Portal Autoscroll

iPad USA Portal Autoscroll

Phim Bộ Online

Tin nóng nhất 24h qua

Tin nóng nhất 3 ngày qua

Tin nóng nhất 7 ngày qua

Tin nóng nhất 30 ngày qua

Albums

Total Videos Online
Lên đầu Xuống dưới Lên 3000px Xuống 3000px

Tranh luận sôi nổi nhất 7 ngày qua

Tranh luận sôi nổi nhất 14 ngày qua

Tranh luận sôi nổi nhất 30 ngày qua

10.000 Tin mới nhất

Tin tức Hoa Kỳ

Tin tức Công nghệ
Lên đầu Xuống dưới Lên 3000px Xuống 3000px

Super News

School Cooking Traveling Portal

Enter Portal

Series Shows and Movies Online

Home Classic Master Page

Donation Ủng hộ $3 cho VietBF
Lên đầu Xuống dưới Lên 3000px Xuống 3000px
Diễn Đàn Người Việt Hải Ngoại. Tự do ngôn luận, an toàn và uy tín. Vì một tương lai tươi đẹp cho các thế hệ Việt Nam hãy ghé thăm chúng tôi, hãy tâm sự với chúng tôi mỗi ngày, mỗi giờ và mỗi giây phút có thể. VietBF.Com Xin cám ơn các bạn, chúc tất cả các bạn vui vẻ và gặp nhiều may mắn.
Welcome to Vietnamese American Community, Vietnamese European, Canadian, Australian Forum, Vietnamese Overseas Forum. Freedom of speech, safety and prestige. For a beautiful future for Vietnamese generations, please visit us, talk to us every day, every hour and every moment possible. VietBF.Com Thank you all and good luck.

Lên đầu Xuống dưới Lên 3000px Xuống 3000px

All times are GMT. The time now is 03:24.
VietBF - Vietnamese Best Forum Copyright ©2005 - 2026
User Alert System provided by Advanced User Tagging (Pro) - vBulletin Mods & Addons Copyright © 2026 DragonByte Technologies Ltd.
Log Out Unregistered

Page generated in 0.10335 seconds with 13 queries