HOME-Au
HOME-Au
24h
24h
USA
USA
GOP
GOP
Phim Bộ
Phim Bộ
Videoauto
VIDEO-Au
Home Classic
Home Classic
Donation
Donation
News Book
News Book
News 50
News 50
worldautoscroll
WORLD-Au
Breaking
Breaking
 

Go Back   VietBF > World Box| Thế Giới > World News|Tin Thế Giới > World News |Tin Thế Giới 2019-2021


 
 
Thread Tools
  #1  
Old  Default "Hành trình" virus SARS-CoV-2 từ gây hắt hơi sổ mũi chuyển sang có thể gây tử vong ở người
Mọi người đang hoảng loạn vì dịch Covid-19. Bởi vậy chúng ta nên biết thời điểm virus SARS-CoV-2 từ gây hắt hơi sổ mũi chuyển sang có thể gây tử vong ở người

Virus SARS-CoV-2 ít nguy hiểm hơn khi nó mới xuất hiện ở mũi và họng, gây triệu chứng giống như cảm lạnh. Tình trạng nghiêm trọng bắt đầu khi loại virus này tấn công vào phổi của người bệnh.

Ông Bruce Aylward – trợ lý Tổng giám đốc WHO, người lãnh đạo một nhóm điều tra viên làm nhiệm vụ tại Trung Quốc đã xem xét dữ liệu của 56.000 bệnh nhân nhiễm Covid-19 có biểu hiện từ nhẹ đến nặng.

Ông Bruce Aylward cho rằng, nắm được tiến trình tấn công của Covid-19 trong cơ thể những người có biểu hiện nặng là rất quan trọng để tối ưu hóa việc điều trị cho những bệnh nhân khác.

Theo WHO, có khoảng 10 – 15% bệnh nhân nhiễm Covid-19 có triệu chứng nhẹ tiến triển lên nặng và trong số này, lại có 15 – 20% bệnh nhân rơi vào tình trạng nguy kịch. Bệnh nhân có nguy cơ tử vong cao nhất là những người tuổi từ 60 trở lên và mắc các bệnh nền như huyết áp cao, tiểu đường, tim mạch.



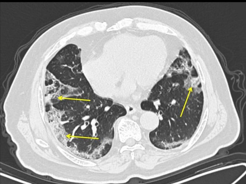
Hình ảnh chụp CT cho thấy Covid-19 tấn công phổi người bệnh (ảnh: Bloomberg)

“Hình ảnh lâm sàng cho thấy Covid-19 không giống với những gì chúng ta thấy ở bệnh cúm. Covid-19 có thể lây lan qua việc tiếp xúc với những giọt chứa đầy virus bắn ra khi ho, hắt hơi hoặc từ hơi thở của người nhiễm bệnh”, ông Jeffery K.Taubenberger người đã nghiên cứu về sự lây nhiễm của bệnh cúm ở Tây Ban Nha, cho biết.

“Sự nhiễm virus thường bắt đầu từ mũi. Khi vào trong cơ thể, Covid-19 xâm chiếm các tế bào biểu mô tuyến bảo vệ đường hô hấp. Nếu Covid-19 chỉ xâm nhập ở khu vực đường hô hấp trên (mũi, họng), nó sẽ ít nguy hiểm hơn.

Tuy nhiên, khi virus tràn xuống khí quản và mô phổi, tình trạng sẽ ngày càng trở nên nghiêm trọng. Covid-19 sẽ gây tổn thương trực tiếp tại phối kèm theo những ảnh hưởng thứ phát do phản ứng bài dịch của cơ thể”, ông Taubenberger, lãnh đạo Viện Dị ứng và Bệnh truyền nhiễm Quốc gia tại thành phố Bethesda, bang Maryland (Mỹ), cho biết.

“Cơ thể của bạn sẽ ngay lập tức cố gắng sửa chữa những tổn thương trong phối ngay khi bị virus tấn công. Các tế bào bạch cầu sẽ tiêu thụ mầm bệnh và giúp chữa lành những mô phổi bị tổn hại. Thông thường, điều này diễn ra rất tốt đẹp, bạn có thể loại bỏ sự nhiễm trùng chỉ trong vài ngày.



Các bác sĩ đưa người bệnh nhiễm Covid-19 nhập viện (ảnh: Bloomberg)

Tuy nhiên, trong trường hợp nhiễm Covid-19 nặng, nỗ lực tự chữa lành của cơ thể có thể quá mạnh mẽ, dẫn tới sự phá hủy không chỉ các tế bào bị nhiễm virus mà cả những mô phổi khỏe lạnh. Tổn thương mô phổi, khí quản, phế quản sẽ ảnh hưởng nghiêm trọng đến quá trình sản xuất các chất dịch bảo vệ phổi khỏi bụi bẩn, vi khuẩn.

Bạn sẽ mất dần khả năng chống nhiễm trùng ở vùng hô hấp dưới (phổi, phế quản, khí quản), kết quả là phối sẽ bị vi khuẩn xâm nhập. Phổi bị tổn thương sẽ làm các cơ quan khác thiếu oxy, làm suy yếu thận, gan, não và tim”, ông Taubenberger cho biết.

“Một số người có thể dễ bị nhiễm Covid-19 hơn do họ có nhiều thụ thể tương thích với virus. Một số người có hệ miễn dịch yếu cũng dễ bị lây nhiễm loại virus này”, ông Taubenberger nói thêm.



Diễn biến dịch Covid-19 trên thế giới vẫn còn phức tạp (ảnh: Bloomberg)

Đồng quan điểm trên, ông David Morens cố vấn khoa học cấp cao của Viện Dị ứng và Bệnh truyền nhiễm Quốc gia cho biết:

“Khi phổi của bạn bị nhiễm trùng quá nặng, mọi thứ bắt đầu sụp đổ. Nếu vượt quá điểm giới hạn ở một mức nào đó, bạn sẽ không thể phục hồi”.

“Điểm giới hạn” khi nhiễm Covid-19 có lẽ xảy ra sớm hơn với người cao tuổi, cũng tương tự như thí nghiệm đối với chuột già”, ông Stanley Perlman, giáo sư vi sinh học và miễn dịch học tại Đại học Iowa (Mỹ), cho biết.

Tuy nhiên, ngay cả những người trẻ tuổi khỏe mạnh cũng có thể là nạn nhân của dịch bệnh này. Lý Văn Lượng, vị bác sĩ 34 tuổi – người đầu tiên cảnh báo về Covid-19, đã tử vong vì loại virus này sau khi được truyền kháng thể, thuốc, oxy và sử dụng cả phổi nhân tạo.

Khi có dấu hiệu nghi nhiễm mà có yếu tố dịch tễ, cần:

- Cách ly tại nhà, hạn chế tiếp xúc với nhiều người

- Thường xuyên đeo khẩu trang, che miệng khi ho, hắt hơi

- Tuân thủ rửa tay bằng xà phòng liên tục để tránh nguy cơ lây truyền bệnh cho những người khác

- Theo dõi các dấu hiệu dưới đây: Sốt (đo nhiệt độ 2 lần một ngày), ho, khó thở hoặc khó thở. Các triệu chứng ban đầu khác cần theo dõi là ớn lạnh, đau nhức cơ thể, đau họng, nhức đầu, tiêu chảy, buồn nôn/nôn và sổ mũi.

- Nếu bị sốt hoặc có bất kỳ triệu chứng nào trong số này, hãy đến cơ sở y tế ngay lập tức để được khám, chẩn đoán chính xác, cách ly và điều trị kịp thời.

- Chia sẻ lịch trình di chuyển của bản thân với nhân viên y tế.

- Khi tiếp xúc với người nghi nhiễm Covid-19, cần lập tức tự cách ly bản thân trong vòng 14 ngày để theo dõi các triệu chứng bất thường của cơ thể và đến ngay cơ sở y tế.


VietBF@ sưu tầm.
VIETBF Diễn Đàn Hay Nhất Của Người Việt Nam

HOT NEWS 24h

HOT 3 Days

NEWS 3 Days

HOT 7 Days

NEWS 7 Days

HOME

Breaking News

VietOversea

World News

Business News

Car News

Computer News

Game News

USA News

Mobile News

Music News

Movies News

History

Thơ Ca

Sport News

Stranger Stories

Comedy Stories

Cooking Chat

Nice Pictures

Fashion

School

Travelling

Funny Videos

Canada Tin Hay

USA Tin Hay

VietBF Homepage Autoscroll

VietBF Video Autoscroll Portal

Home Classic

Home Classic Master Page

VietBF iPad Music Portal

Tin nóng nhất 50h qua

Phim Bộ Online

Phim Bộ



pizza
R11 Tuyệt Thế Thiên Hạ
Release: 03-08-2020
Reputation: 237160


Profile:
Join Date: Sep 2014
Posts: 107,240
Last Update: None Rating: None
Attached Thumbnails
Click image for larger version

Name:	481.jpg
Views:	0
Size:	63.9 KB
ID:	1542724   Click image for larger version

Name:	482.jpg
Views:	0
Size:	237.4 KB
ID:	1542725   Click image for larger version

Name:	483.jpg
Views:	0
Size:	198.6 KB
ID:	1542726  

pizza_is_offline
Thanks: 7
Thanked 8,109 Times in 7,219 Posts
Mentioned: 6 Post(s)
Tagged: 0 Thread(s)
Quoted: 41 Post(s)
Rep Power: 130
pizza Reputation Uy Tín Level 10pizza Reputation Uy Tín Level 10pizza Reputation Uy Tín Level 10pizza Reputation Uy Tín Level 10pizza Reputation Uy Tín Level 10pizza Reputation Uy Tín Level 10pizza Reputation Uy Tín Level 10
pizza Reputation Uy Tín Level 10pizza Reputation Uy Tín Level 10pizza Reputation Uy Tín Level 10pizza Reputation Uy Tín Level 10pizza Reputation Uy Tín Level 10pizza Reputation Uy Tín Level 10pizza Reputation Uy Tín Level 10pizza Reputation Uy Tín Level 10pizza Reputation Uy Tín Level 10pizza Reputation Uy Tín Level 10pizza Reputation Uy Tín Level 10pizza Reputation Uy Tín Level 10pizza Reputation Uy Tín Level 10pizza Reputation Uy Tín Level 10pizza Reputation Uy Tín Level 10pizza Reputation Uy Tín Level 10pizza Reputation Uy Tín Level 10pizza Reputation Uy Tín Level 10pizza Reputation Uy Tín Level 10pizza Reputation Uy Tín Level 10pizza Reputation Uy Tín Level 10pizza Reputation Uy Tín Level 10
The Following User Says Thank You to pizza For This Useful Post:
minhhanhnguyen (03-09-2020)
 
User Tag List


Tướng Nga thiệt mạng vì bom gài dưới gầm xe ở Moscow Tự tử vì bị Trump trục xuất Mỹ bán gói vũ khí 11,1 tỷ USD cho Đài Loan: HIMARS, drone cảm tử và lời cảnh cáo từ Bắc Kinh
Hàn Quốc xin “vé” vào CLB tàu ngầm hạt nhân: Trump gật đầu, nhưng cái giá là gì? Số người gốc Việt sống chui ở nước ngoài tăng lên mức kỷ lục 517.000 người Vì sao “vượt biển” của họ Hồ là cứu nước, còn vượt biển của dân Việt sau 1975 là “Cali, đu càng”?
Con trai người lính VNCH hôm nay là Captain Hải quân Mỹ và Giáo sư tại Walter Reed Chính quyền Trump muốn trục xuất khoảng 100.000 người gốc Việt khỏi Mỹ Dân Việt Nam làm mờ biển số xe khiến AI của Công An không biết đường nào mà phạt
Công dân Mỹ cũng có thể bị ICE bắt nhầm: ‘Xứ tự do’ và nỗi sợ gõ cửa lúc nửa đêm Khi CIA mù tịt, còn một tướng VNCH đã nhìn ra trước Kinh tế Trung Quốc kẹt giữa lạm phát và giảm phát
Hàng Tàu phá vây thuế quan, Trump khoe kinh tế A+++ và chiếc ví rỗng của người Mỹ Nguyễn Cao Kỳ, cái chết bất ngờ và bài học đắt giá về ‘hòa hợp hòa giải’ Trung Quốc siết cổ doanh nghiệp Việt: Cuộc xâm lược thương mại ngay trên sân nhà
Mỹ đuổi thẳng tay nếu chửi Mỹ trên Facebook Hòa bình mong manh cho Ukraine: Kế hoạch 20 điểm, sức ép từ Trump và bài toán bầu cử giữa làn đạn Fed cắt lãi suất lần thứ ba liên tiếp: Powell “phanh gấp”, túi tiền người Mỹ thay đổi ra sao?
IKEA khai trương cửa hàng đầu tiên ở New Zealand: Người Kiwi xếp hàng từ tờ mờ sáng Nước Mỹ không dung dưỡng kẻ vô ơn: Tị nạn, di dân và cơn giận của Donald Trump Dư âm Giáng Sinh Sài Gòn xưa: Từ mùa sao sáng đến thánh ca buồn
Lê Duẩn – Mao Trạch Đông và cái giá “lá chắn phương Nam” của Việt Nam Trung Quốc hủy 540.000 vé sang Nhật: Đòn răn đe hay cú “tự bắn vào chân”? Trump xóa bỏ tiêu chuẩn nhiên liệu thời Biden
Mỹ đã hiểu sai tham vọng của Đảng Cộng sản Trung Quốc và đánh giá thấp sự quyết liệt tàn nhẫn của họ Tị nạn, thẻ xanh, visa du học cùng bị “khóa cửa” Khi bia Mexico gặp búa trừng phạt di trú của Trump: Cú ngã đau của đế chế Modelo – Corona
Biển số 37.77: Thông điệp ngầm của Thủ tướng Nhật Takaichi Sanae gửi Bắc Kinh Quốc tịch Mỹ: Tường thành gần như tuyệt đối cho người nhập tịch Con gái Hà Nội, giọt nước dưới mặt lá
Những tay giang hồ miền Nam: huyền thoại, bóng tối và cái giá phải trả Huỳnh Điều – “anh lớp Ba” mà Cộng sản sợ cái miệng hơn sợ khẩu M.79 Tiếng súng 9 giờ sáng ở Florida và hành trình cuối của nữ deputy Terri Sweeting-Mashkow
“Giang sơn” nào được sắp xếp, và sắp xếp cho ai? Sau 40 tuổi, khuôn mặt là “bản lý lịch” của tâm hồn Siêu biệt phủ trăm tỷ của Chủ tịch phường Hải Phòng: “Đại Lộc Thiên tử” giữa làng nghèo
Từ vụ sạc 24 giờ ở Mỹ đến chết yểu ở Ấn Độ: VinFast và câu hỏi dành cho người Việt Khi chú Hòa xây nhà bình dân: những kiệt tác âm thầm giữa lòng Sài Gòn Việt Nam – Xứ sở của những người bị bắt phải học nghề đói
Mailisa bị bắt và ký ức đôi vợ chồng ăn chay đi chùa Đi Hàn, đi Nhật rồi nhìn lại Việt Nam: yêu nước đâu chỉ nói trên môi Nepal – Đất nước sống ở năm 2082 giữa trái tim Himalaya
Nicholas Winton – Người hùng thầm lặng cứu 669 đứa trẻ khỏi bóng đen Đức Quốc Xã Bi kịch giáo sư Yoshihiro Sato: khi dữ liệu đẹp đổi lấy danh dự và cái chết Sự ngu dốt của bọn có học – từ Nguyễn Huy Thiệp đến thời những lời nói lật ngược sự thật
Việt kiều về nước mua vé business, không ngờ bị Việt Cộng đẩy xuống ngồi hạng bét, nguyên nhân thật hãi hùng Đàn ông Việt ở Mỹ vs đàn ông ở Việt Nam: rửa chén hay rửa… cái tôi? Bách chiến kiêu hùng, ông gốc Việt đi chiến xa giữa lòng nước Mỹ
Ra phi trường rồi mới biết không xuất cảnh được, lý do thật bất ngờ ở 'thiên đường' Việt Cộng “Tôi sẽ tiếp tục vận động đòi tự do”: Derek Trần gửi thông điệp Giáng sinh cho TNLT Việt Nam Little Saigon dậy sóng
Những nguyên nhân khiến Chiến dịch của quân đội thất bại lật đổ Thế Lực Hưng Yên Châu Âu tỉnh giấc muộn: “Nếu chiến tranh tới trong 3–5 năm, ta đã sẵn sàng chưa?” Từ sân khấu thành chiến tuyến, một cái tên, một cơn sóng: “Trump Kennedy Center” và buổi diễn Giáng Sinh bị hủy phút chót
Trump kiện BBC đòi 10 tỷ đô: đòn dằn mặt báo chí hay cuộc chiến danh dự thật sự? Ba người hùng đã mãi mãi ngã xuống khi ra tay ngăn chặn 2 tên khủng bố ở bải biển Bondi, Úc Mỹ tràn ngập người thất nghiệp, năm tệ nhất từ sau đại dịch
Tiền ảo nhà Trump mất sạch giá trị, Melania coin mất 99%, bong bóng cổ phiếu sụp đổ và bài toán “nước Mỹ giàu lắm” Ford thắng lớn với xe xăng, “để đó” xe điện – và vì sao giấc mơ xe tí hon giá rẻ vẫn xa tầm tay người Mỹ Little Saigon Landmark Seattle: “Ngôi nhà neo đậu” mới cho cộng đồng người Việt
Boba & Beans – Quán ăn Việt thắp hương quê giữa trung tâm Meriden Bellaire Market District 100 triệu USD: ‘Chợ 3 Miền’ đưa Little Saigon Houston bước sang trang mới Hà Nội xếp hàng thẳng tắp: khi camera AI dạy lại văn hoá đèn đỏ
Tổng thống ‘Hòa Bình’ và những biên giới đỏ lửa: Thái–Miên, Pakistan–Afghanistan và vở kịch giải thưởng cho Trump Chernobyl lại báo động đỏ: Lá chắn thép 2,1 tỷ euro bị drone đánh thủng, IAEA cảnh báo mất chức năng an toàn Paris lại đăng quang, Bangkok đông nghẹt, Viêng Chăn vẫn lặng lẽ: Bản đồ du lịch 2025 giữa kỷ lục mới và những góc bình yên
Trump Thắng Lớn Trong Cuộc Chiến ‘Bãi Nhiệm Không Cần Lý Do Vì Sao Tôi Chống Trump: Từ Nước Mắt Trong ICU Đến Chiếc Ô Đỏ MAGA Và Trò Hề ‘Giải Hòa Bình’ Từ Okinawa đến màn hình điện thoại: Trung Quốc leo thang quân sự, siết kiểm soát số và cuộc chiến bóng ma quanh Đài Loan
Cú quay đầu của lá phiếu Latino: từ ‘kỳ tích’ Trump 2024 đến khối cử tri dao động nhất nước Mỹ Cộng đồng Somali ở Minnesota đứng dậy giữa bão trục xuất Trung Quốc ăn cắp máy quang khắc bất thành – vì sao ‘đốt cháy giai đoạn’ trong ngành chip là chuyện bất khả?
Cú “cắn ghế” thần tốc ở Hà Nội: Mailisa, Doctor Magic và ván cờ phe phái Ngân sách tăng thuế của Labour và nước Anh nơi 1/3 trẻ em sống trong nghèo đói Đĩa mì Ý ở Mỹ trước bão thuế 107%: từ “xa xỉ phẩm 4 đô” đến nỗi lo mất luôn món ăn bình dân
Mùa mua sắm Mỹ thời bão giá: Macy’s, Old Navy, Walmart xoay xở, Sears hấp hối – trong khi Đài Loan bứt tốc nhờ cơn sốt AI Tịch thu 100 sổ đỏ, 300 cây vàng SJC, 400k USD, 3 tỷ đồng của Mailisa và còn nhiều nữa, siêu xe hàng tá, tiền hàng ...tấn Giáo hoàng Leo XIV kêu gọi chấm dứt lợi dụng tôn giáo cho chiến tranh trong chuyến công du Thổ Nhĩ Kỳ – Li Băng
Louvre tăng giá vé 45% với khách ngoài châu Âu: bức tranh đắt đỏ mới của “ngôi đền nghệ thuật” Paris Bão Mặt Trời đe dọa buồng lái: hơn 6.000 máy bay Airbus A320 phải sửa gấp vì nguy cơ mất kiểm soát 10 ngày ở ghế Chủ tịch Hà Nội: Nguyễn Đức Trung và bài toán nhân sự trước Đại hội 14
Nếu VinFast thua sạch ở Mỹ: Hoá đơn có thể lên tới 1,5 tỷ USD Từ Việt Minh đến Chuyên Chính Đỏ: Chiến lược che giấu và thanh trừng có chủ đích Từ Nội Chiến Mỹ đến Việt Nam: Hai cách đối xử với người lính bại trận
“Hãy công bố kết quả MRI đi!” – Tim Walz dội gáo nước lạnh vào cơn thịnh nộ Lễ Tạ Ơn của Donald Trump Từ Vệ Binh Quốc Gia đến Quân Lực Việt Nam Cộng Hòa – hành trình một đạo quân quốc gia “Người Cày Có Ruộng” – ngày vui nhất đời Tổng thống Thiệu và ký ức tem thư của một thằng bé Sài Gòn
Tiền tuyến rực lửa, bàn đàm phán nóng lên: Ukraine vạch lằn ranh đỏ trước kế hoạch hòa bình của Trump Starbucks – Target và ly socola bạc hà cứu vãn mùa Giáng sinh ảm đạm Phố thời trang tắt đèn trước Tết: Tiểu thương Hà Nội kẹt giữa gánh thuê nhà và thuế khóa

 
Lên đầu Xuống dưới Lên 3000px Xuống 3000px

iPad Videos Portal Autoscroll

VietBF Music Portal Autoscroll

iPad News Portal Autoscroll

VietBF Homepage Autoscroll

VietBF Video Autoscroll Portal

USA News Autoscroll Portall

VietBF WORLD Autoscroll Portal

Home Classic

Super Widescreen

iPad World Portal Autoscroll

iPad USA Portal Autoscroll

Phim Bộ Online

Tin nóng nhất 24h qua

Tin nóng nhất 3 ngày qua

Tin nóng nhất 7 ngày qua

Tin nóng nhất 30 ngày qua

Albums

Total Videos Online
Lên đầu Xuống dưới Lên 3000px Xuống 3000px

Tranh luận sôi nổi nhất 7 ngày qua

Tranh luận sôi nổi nhất 14 ngày qua

Tranh luận sôi nổi nhất 30 ngày qua

10.000 Tin mới nhất

Tin tức Hoa Kỳ

Tin tức Công nghệ
Lên đầu Xuống dưới Lên 3000px Xuống 3000px

Super News

School Cooking Traveling Portal

Enter Portal

Series Shows and Movies Online

Home Classic Master Page

Donation Ủng hộ $3 cho VietBF
Lên đầu Xuống dưới Lên 3000px Xuống 3000px
Diễn Đàn Người Việt Hải Ngoại. Tự do ngôn luận, an toàn và uy tín. Vì một tương lai tươi đẹp cho các thế hệ Việt Nam hãy ghé thăm chúng tôi, hãy tâm sự với chúng tôi mỗi ngày, mỗi giờ và mỗi giây phút có thể. VietBF.Com Xin cám ơn các bạn, chúc tất cả các bạn vui vẻ và gặp nhiều may mắn.
Welcome to Vietnamese American Community, Vietnamese European, Canadian, Australian Forum, Vietnamese Overseas Forum. Freedom of speech, safety and prestige. For a beautiful future for Vietnamese generations, please visit us, talk to us every day, every hour and every moment possible. VietBF.Com Thank you all and good luck.

Lên đầu Xuống dưới Lên 3000px Xuống 3000px

All times are GMT. The time now is 16:40.
VietBF - Vietnamese Best Forum Copyright ©2005 - 2025
User Alert System provided by Advanced User Tagging (Pro) - vBulletin Mods & Addons Copyright © 2025 DragonByte Technologies Ltd.
Log Out Unregistered

Page generated in 0.09971 seconds with 13 queries